由于动脉导管(DA)过早闭合导致的新生儿持续性肺动脉高压(PPHN)。

IF 0.2 Q4 OBSTETRICS & GYNECOLOGY
Case Reports in Perinatal Medicine Pub Date : 2024-04-29 eCollection Date: 2024-01-01 DOI:10.1515/crpm-2024-0001
Ayevbekpen Grace Okoye, Adrita Khawash, Mahesh Nanjundappa, Matthew Jones, Anne Greenough
{"title":"由于动脉导管(DA)过早闭合导致的新生儿持续性肺动脉高压(PPHN)。","authors":"Ayevbekpen Grace Okoye, Adrita Khawash, Mahesh Nanjundappa, Matthew Jones, Anne Greenough","doi":"10.1515/crpm-2024-0001","DOIUrl":null,"url":null,"abstract":"<p><strong>Objectives: </strong>To describe the course of an infant with persistent pulmonary hypertension of the newborn (PPHN) secondary to premature closure of the ductus arteriosus (DA), a very rare phenomenon which can lead to adverse clinical outcomes.</p><p><strong>Case presentation: </strong>A term infant was diagnosed with severe PPHN with echocardiographic features noted at 6 h after birth which included supra-systemic pulmonary pressures, severe isolated right ventricle (RV) hypertrophy, poor RV dysfunction and no ductal flow in the context of a structurally normal heart. There was maternal use of low-dose aspirin in pregnancy due to preeclampsia. There is a known association between use of prostaglandin synthase inhibitors such as aspirin with ductal closure leading to increased RV pressure. Treatment was commenced with positive pressure ventilation, inhaled nitric oxide (iNO) and milrinone. There was a limited response to iNO necessitating increasing the concentration of milrinone with a marked improvement in oxygenation. Following commencement of sildenafil, inhaled nitric oxide was gradually weaned and stopped in the third week and the infant extubated. The infant was discharged home on oral sildenafil at four weeks of age with no respiratory or feeding support. Echocardiographic features of raised right sided pressures persisted, but with reduced RV hypertrophy and septal flattening and improved RV function. Oral sildenafil was subsequently weaned and stopped at four months of age.</p><p><strong>Conclusions: </strong>A severe form of PPHN due to premature closure of the DA requires early discussion with the cardiologist. The use of milrinone and sildenafil can lead to a favourable outcome.</p>","PeriodicalId":9617,"journal":{"name":"Case Reports in Perinatal Medicine","volume":"13 1","pages":"20240001"},"PeriodicalIF":0.2000,"publicationDate":"2024-04-29","publicationTypes":"Journal Article","fieldsOfStudy":null,"isOpenAccess":false,"openAccessPdf":"https://www.ncbi.nlm.nih.gov/pmc/articles/PMC12048142/pdf/","citationCount":"0","resultStr":"{\"title\":\"Persistent pulmonary hypertension of the newborn infant (PPHN) due to premature closure of the ductus arteriosus (DA).\",\"authors\":\"Ayevbekpen Grace Okoye, Adrita Khawash, Mahesh Nanjundappa, Matthew Jones, Anne Greenough\",\"doi\":\"10.1515/crpm-2024-0001\",\"DOIUrl\":null,\"url\":null,\"abstract\":\"<p><strong>Objectives: </strong>To describe the course of an infant with persistent pulmonary hypertension of the newborn (PPHN) secondary to premature closure of the ductus arteriosus (DA), a very rare phenomenon which can lead to adverse clinical outcomes.</p><p><strong>Case presentation: </strong>A term infant was diagnosed with severe PPHN with echocardiographic features noted at 6 h after birth which included supra-systemic pulmonary pressures, severe isolated right ventricle (RV) hypertrophy, poor RV dysfunction and no ductal flow in the context of a structurally normal heart. There was maternal use of low-dose aspirin in pregnancy due to preeclampsia. There is a known association between use of prostaglandin synthase inhibitors such as aspirin with ductal closure leading to increased RV pressure. Treatment was commenced with positive pressure ventilation, inhaled nitric oxide (iNO) and milrinone. There was a limited response to iNO necessitating increasing the concentration of milrinone with a marked improvement in oxygenation. Following commencement of sildenafil, inhaled nitric oxide was gradually weaned and stopped in the third week and the infant extubated. The infant was discharged home on oral sildenafil at four weeks of age with no respiratory or feeding support. Echocardiographic features of raised right sided pressures persisted, but with reduced RV hypertrophy and septal flattening and improved RV function. Oral sildenafil was subsequently weaned and stopped at four months of age.</p><p><strong>Conclusions: </strong>A severe form of PPHN due to premature closure of the DA requires early discussion with the cardiologist. The use of milrinone and sildenafil can lead to a favourable outcome.</p>\",\"PeriodicalId\":9617,\"journal\":{\"name\":\"Case Reports in Perinatal Medicine\",\"volume\":\"13 1\",\"pages\":\"20240001\"},\"PeriodicalIF\":0.2000,\"publicationDate\":\"2024-04-29\",\"publicationTypes\":\"Journal Article\",\"fieldsOfStudy\":null,\"isOpenAccess\":false,\"openAccessPdf\":\"https://www.ncbi.nlm.nih.gov/pmc/articles/PMC12048142/pdf/\",\"citationCount\":\"0\",\"resultStr\":null,\"platform\":\"Semanticscholar\",\"paperid\":null,\"PeriodicalName\":\"Case Reports in Perinatal Medicine\",\"FirstCategoryId\":\"1085\",\"ListUrlMain\":\"https://doi.org/10.1515/crpm-2024-0001\",\"RegionNum\":0,\"RegionCategory\":null,\"ArticlePicture\":[],\"TitleCN\":null,\"AbstractTextCN\":null,\"PMCID\":null,\"EPubDate\":\"2024/1/1 0:00:00\",\"PubModel\":\"eCollection\",\"JCR\":\"Q4\",\"JCRName\":\"OBSTETRICS & GYNECOLOGY\",\"Score\":null,\"Total\":0}","platform":"Semanticscholar","paperid":null,"PeriodicalName":"Case Reports in Perinatal Medicine","FirstCategoryId":"1085","ListUrlMain":"https://doi.org/10.1515/crpm-2024-0001","RegionNum":0,"RegionCategory":null,"ArticlePicture":[],"TitleCN":null,"AbstractTextCN":null,"PMCID":null,"EPubDate":"2024/1/1 0:00:00","PubModel":"eCollection","JCR":"Q4","JCRName":"OBSTETRICS & GYNECOLOGY","Score":null,"Total":0}
引用次数: 0

摘要

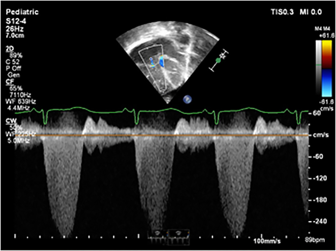
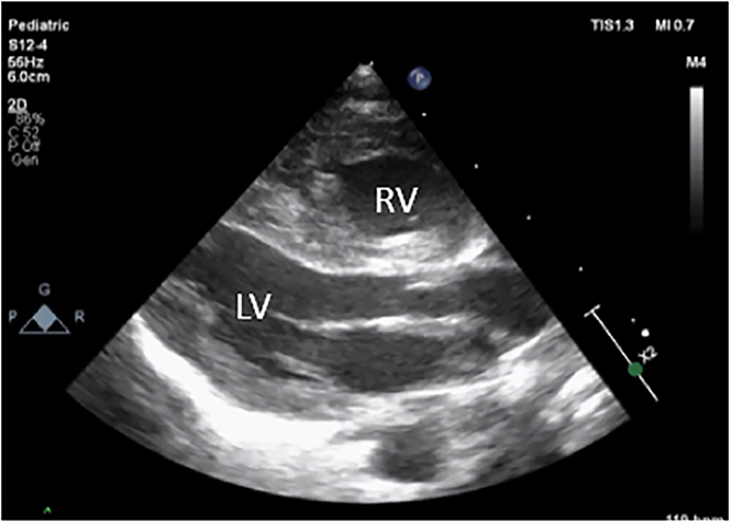
目的:描述一名新生儿持续性肺动脉高压(PPHN)继发于动脉导管(DA)过早闭合的过程,这是一种非常罕见的现象,可导致不良的临床结果。病例介绍:一名足月婴儿被诊断为严重的PPHN,出生后6 h超声心动图特征包括全身上肺动脉压,严重孤立性右心室(RV)肥大,右心室功能不全,心脏结构正常的情况下无导管血流。有孕妇因子痫前期使用低剂量阿司匹林。前列腺素合成酶抑制剂(如阿司匹林)的使用与导管闭合导致右心室压力升高之间存在已知的关联。治疗开始于正压通气,吸入一氧化氮(iNO)和米立酮。对iNO的反应有限,需要增加米林酮的浓度,并显著改善氧合。开始使用西地那非后,逐渐断奶并在第三周停止吸入一氧化氮,婴儿拔管。婴儿在四周大时口服西地那非出院,没有呼吸或喂养支持。超声心动图特征右侧压力升高持续存在,但右室肥大和间隔扁平减少,右室功能改善。口服西地那非随后断奶,并在4个月大时停用。结论:由于DA过早关闭导致的严重形式的PPHN需要尽早与心脏病专家讨论。使用米力农和西地那非可导致良好的结果。
本文章由计算机程序翻译,如有差异,请以英文原文为准。

Persistent pulmonary hypertension of the newborn infant (PPHN) due to premature closure of the ductus arteriosus (DA).

Persistent pulmonary hypertension of the newborn infant (PPHN) due to premature closure of the ductus arteriosus (DA).

Persistent pulmonary hypertension of the newborn infant (PPHN) due to premature closure of the ductus arteriosus (DA).

Objectives: To describe the course of an infant with persistent pulmonary hypertension of the newborn (PPHN) secondary to premature closure of the ductus arteriosus (DA), a very rare phenomenon which can lead to adverse clinical outcomes.

Case presentation: A term infant was diagnosed with severe PPHN with echocardiographic features noted at 6 h after birth which included supra-systemic pulmonary pressures, severe isolated right ventricle (RV) hypertrophy, poor RV dysfunction and no ductal flow in the context of a structurally normal heart. There was maternal use of low-dose aspirin in pregnancy due to preeclampsia. There is a known association between use of prostaglandin synthase inhibitors such as aspirin with ductal closure leading to increased RV pressure. Treatment was commenced with positive pressure ventilation, inhaled nitric oxide (iNO) and milrinone. There was a limited response to iNO necessitating increasing the concentration of milrinone with a marked improvement in oxygenation. Following commencement of sildenafil, inhaled nitric oxide was gradually weaned and stopped in the third week and the infant extubated. The infant was discharged home on oral sildenafil at four weeks of age with no respiratory or feeding support. Echocardiographic features of raised right sided pressures persisted, but with reduced RV hypertrophy and septal flattening and improved RV function. Oral sildenafil was subsequently weaned and stopped at four months of age.

Conclusions: A severe form of PPHN due to premature closure of the DA requires early discussion with the cardiologist. The use of milrinone and sildenafil can lead to a favourable outcome.

求助全文
通过发布文献求助,成功后即可免费获取论文全文。 去求助
来源期刊
Case Reports in Perinatal Medicine
Case Reports in Perinatal Medicine OBSTETRICS & GYNECOLOGY-
自引率
0.00%
发文量
37
期刊介绍: Case Reports in Perinatal Medicine is a double-blind peer-reviewed journal. The objective of the new journal is very similar to that of JPM. In addition to evidence-based studies, practitioners in clinical practice esteem especially exemplary reports of cases that reveal specific manifestations of diseases, its progress or its treatment. We consider case reports and series to be brief reports describing an isolated clinical case or a small number of cases. They may describe new or uncommon diagnoses, unusual outcomes or prognosis, new or infrequently used therapies and side effects of therapy not usually discovered in clinical trials. They represent the basic concept of experiences for studies on representative groups for further evidence-based research. The potential roles of case reports and case series are: Recognition and description of new diseases Detection of drug side effects (adverse or beneficial) Study of mechanisms of disease Medical education and audit Recognition of rare manifestations of disease.
×
引用
GB/T 7714-2015
复制
MLA
复制
APA
复制
导出至
BibTeX EndNote RefMan NoteFirst NoteExpress
×
提示
您的信息不完整,为了账户安全,请先补充。
现在去补充
×
提示
您因"违规操作"
具体请查看互助需知
我知道了
×
提示
确定
请完成安全验证×
copy
已复制链接
快去分享给好友吧!
我知道了
右上角分享
点击右上角分享
0
联系我们:info@booksci.cn Book学术提供免费学术资源搜索服务,方便国内外学者检索中英文文献。致力于提供最便捷和优质的服务体验。 Copyright © 2023 布克学术 All rights reserved.
京ICP备2023020795号-1
ghs 京公网安备 11010802042870号
Book学术文献互助
Book学术文献互助群
群 号:604180095
Book学术官方微信