全景x线摄影对土耳其不同地区牙齿发育的回顾性评价。

IF 1.8 Q3 DENTISTRY, ORAL SURGERY & MEDICINE
Neşe Oral, Şükran Ayran, Aslıhan Aslan Balci, Gülay Özdoğan, Selma Ece Karabiyikoğlu, Hilal Peker Öztürk, Hüseyin Aykut Özyiğit, Ercan Türerer, Gürdoğan Aydin
{"title":"全景x线摄影对土耳其不同地区牙齿发育的回顾性评价。","authors":"Neşe Oral, Şükran Ayran, Aslıhan Aslan Balci, Gülay Özdoğan, Selma Ece Karabiyikoğlu, Hilal Peker Öztürk, Hüseyin Aykut Özyiğit, Ercan Türerer, Gürdoğan Aydin","doi":"10.15644/asc59/1/5","DOIUrl":null,"url":null,"abstract":"<p><strong>Objectives: </strong>Dental agenesis refers to the absence of one or more teeth, occurring in both primary and permanent dentitions. It can result in several complications, impacting functional aspects of the dentition, such as chewing and speech. This study aimed to evaluate the prevalence of agenesis of permanent incisors, premolars, and third molars in patients aged 8-18. The prevalences were compared according to age, gender, and the regions they live in.</p><p><strong>Material and methods: </strong>This study was conducted in the Central Anatolia and Mediterranean regions of Turkey. It included data from 593 patients, 304 females and 289 males. The study involved a retrospective evaluation of the patients' orthopantomographic images. Descriptive statistics were employed for the analysis.</p><p><strong>Results: </strong>In the study, the prevalence of incisor agenesis among all patients was 2.4%. Premolar agenesis was found in 3.9% of patients, with the mandibular second premolar being the most commonly missing premolar (missing in 19 patients). The prevalence of third molar agenesis was 19.9% (118 patients). Incisor and premolar agenesis were more common in the Central Anatolia region than the Mediterranean region, whereas third molar agenesis was more prevalent in the Mediterranean region. In both regions, the left mandibular premolar was the most frequently missing premolar tooth, and the left maxillary third molar was the most frequently missing third molar tooth.</p><p><strong>Conclusion: </strong>This study presents a thorough analysis of the prevalence and distribution of tooth agenesis, with a particular focus on incisors, premolars, and third molars. The results emphasize the necessity of considering gender differences and specific tooth locations in the diagnostic and therapeutic approaches to tooth agenesis.</p>","PeriodicalId":7154,"journal":{"name":"Acta Stomatologica Croatica","volume":"59 1","pages":"44-52"},"PeriodicalIF":1.8000,"publicationDate":"2025-03-01","publicationTypes":"Journal Article","fieldsOfStudy":null,"isOpenAccess":false,"openAccessPdf":"https://www.ncbi.nlm.nih.gov/pmc/articles/PMC11984807/pdf/","citationCount":"0","resultStr":"{\"title\":\"Retrospective Evaluation of Tooth Agenesis in Different Regions of Turkey with Panoramic Radiography.\",\"authors\":\"Neşe Oral, Şükran Ayran, Aslıhan Aslan Balci, Gülay Özdoğan, Selma Ece Karabiyikoğlu, Hilal Peker Öztürk, Hüseyin Aykut Özyiğit, Ercan Türerer, Gürdoğan Aydin\",\"doi\":\"10.15644/asc59/1/5\",\"DOIUrl\":null,\"url\":null,\"abstract\":\"<p><strong>Objectives: </strong>Dental agenesis refers to the absence of one or more teeth, occurring in both primary and permanent dentitions. It can result in several complications, impacting functional aspects of the dentition, such as chewing and speech. This study aimed to evaluate the prevalence of agenesis of permanent incisors, premolars, and third molars in patients aged 8-18. The prevalences were compared according to age, gender, and the regions they live in.</p><p><strong>Material and methods: </strong>This study was conducted in the Central Anatolia and Mediterranean regions of Turkey. It included data from 593 patients, 304 females and 289 males. The study involved a retrospective evaluation of the patients' orthopantomographic images. Descriptive statistics were employed for the analysis.</p><p><strong>Results: </strong>In the study, the prevalence of incisor agenesis among all patients was 2.4%. Premolar agenesis was found in 3.9% of patients, with the mandibular second premolar being the most commonly missing premolar (missing in 19 patients). The prevalence of third molar agenesis was 19.9% (118 patients). Incisor and premolar agenesis were more common in the Central Anatolia region than the Mediterranean region, whereas third molar agenesis was more prevalent in the Mediterranean region. In both regions, the left mandibular premolar was the most frequently missing premolar tooth, and the left maxillary third molar was the most frequently missing third molar tooth.</p><p><strong>Conclusion: </strong>This study presents a thorough analysis of the prevalence and distribution of tooth agenesis, with a particular focus on incisors, premolars, and third molars. The results emphasize the necessity of considering gender differences and specific tooth locations in the diagnostic and therapeutic approaches to tooth agenesis.</p>\",\"PeriodicalId\":7154,\"journal\":{\"name\":\"Acta Stomatologica Croatica\",\"volume\":\"59 1\",\"pages\":\"44-52\"},\"PeriodicalIF\":1.8000,\"publicationDate\":\"2025-03-01\",\"publicationTypes\":\"Journal Article\",\"fieldsOfStudy\":null,\"isOpenAccess\":false,\"openAccessPdf\":\"https://www.ncbi.nlm.nih.gov/pmc/articles/PMC11984807/pdf/\",\"citationCount\":\"0\",\"resultStr\":null,\"platform\":\"Semanticscholar\",\"paperid\":null,\"PeriodicalName\":\"Acta Stomatologica Croatica\",\"FirstCategoryId\":\"1085\",\"ListUrlMain\":\"https://doi.org/10.15644/asc59/1/5\",\"RegionNum\":0,\"RegionCategory\":null,\"ArticlePicture\":[],\"TitleCN\":null,\"AbstractTextCN\":null,\"PMCID\":null,\"EPubDate\":\"\",\"PubModel\":\"\",\"JCR\":\"Q3\",\"JCRName\":\"DENTISTRY, ORAL SURGERY & MEDICINE\",\"Score\":null,\"Total\":0}","platform":"Semanticscholar","paperid":null,"PeriodicalName":"Acta Stomatologica Croatica","FirstCategoryId":"1085","ListUrlMain":"https://doi.org/10.15644/asc59/1/5","RegionNum":0,"RegionCategory":null,"ArticlePicture":[],"TitleCN":null,"AbstractTextCN":null,"PMCID":null,"EPubDate":"","PubModel":"","JCR":"Q3","JCRName":"DENTISTRY, ORAL SURGERY & MEDICINE","Score":null,"Total":0}
引用次数: 0

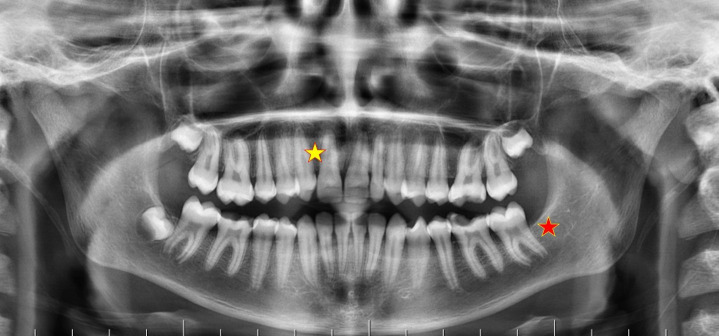
摘要

目的:牙齿发育不全是指一颗或多颗牙齿的缺失,发生在乳牙和恒牙上。它会导致一些并发症,影响牙齿的功能方面,如咀嚼和说话。本研究旨在评估8-18岁患者恒门牙、前磨牙和第三磨牙发育不全的患病率。根据年龄、性别和他们居住的地区对患病率进行比较。材料和方法:本研究在土耳其安纳托利亚中部和地中海地区进行。该研究包括593名患者的数据,其中304名女性和289名男性。该研究包括对患者的骨科断层图像进行回顾性评估。采用描述性统计进行分析。结果:本组患者门牙发育不全发生率为2.4%。3.9%的患者发现前磨牙发育不全,下颌第二前磨牙是最常见的缺失前磨牙(缺失19例)。第三磨牙发育不全的发生率为19.9%(118例)。中安纳托利亚地区门牙和前磨牙发育不全比地中海地区更为普遍,而第三磨牙发育不全在地中海地区更为普遍。在这两个区域中,左侧下颌前磨牙是最常丢失的前磨牙,左侧上颌第三磨牙是最常丢失的第三磨牙。结论:本研究对牙齿发育不全的患病率和分布进行了全面的分析,特别关注门牙、前磨牙和第三磨牙。结果强调了在牙齿发育不全的诊断和治疗方法中考虑性别差异和特定牙齿位置的必要性。
本文章由计算机程序翻译,如有差异,请以英文原文为准。

Retrospective Evaluation of Tooth Agenesis in Different Regions of Turkey with Panoramic Radiography.

Retrospective Evaluation of Tooth Agenesis in Different Regions of Turkey with Panoramic Radiography.

Retrospective Evaluation of Tooth Agenesis in Different Regions of Turkey with Panoramic Radiography.

Objectives: Dental agenesis refers to the absence of one or more teeth, occurring in both primary and permanent dentitions. It can result in several complications, impacting functional aspects of the dentition, such as chewing and speech. This study aimed to evaluate the prevalence of agenesis of permanent incisors, premolars, and third molars in patients aged 8-18. The prevalences were compared according to age, gender, and the regions they live in.

Material and methods: This study was conducted in the Central Anatolia and Mediterranean regions of Turkey. It included data from 593 patients, 304 females and 289 males. The study involved a retrospective evaluation of the patients' orthopantomographic images. Descriptive statistics were employed for the analysis.

Results: In the study, the prevalence of incisor agenesis among all patients was 2.4%. Premolar agenesis was found in 3.9% of patients, with the mandibular second premolar being the most commonly missing premolar (missing in 19 patients). The prevalence of third molar agenesis was 19.9% (118 patients). Incisor and premolar agenesis were more common in the Central Anatolia region than the Mediterranean region, whereas third molar agenesis was more prevalent in the Mediterranean region. In both regions, the left mandibular premolar was the most frequently missing premolar tooth, and the left maxillary third molar was the most frequently missing third molar tooth.

Conclusion: This study presents a thorough analysis of the prevalence and distribution of tooth agenesis, with a particular focus on incisors, premolars, and third molars. The results emphasize the necessity of considering gender differences and specific tooth locations in the diagnostic and therapeutic approaches to tooth agenesis.

求助全文
通过发布文献求助,成功后即可免费获取论文全文。 去求助
来源期刊
Acta Stomatologica Croatica
Acta Stomatologica Croatica DENTISTRY, ORAL SURGERY & MEDICINE-
CiteScore
2.40
自引率
28.60%
发文量
32
审稿时长
12 weeks
期刊介绍: The Acta Stomatologica Croatica (ASCRO) is a leading scientific non-profit journal in the field of dental, oral and cranio-facial sciences during the past 44 years in Croatia. ASCRO publishes original scientific and clinical papers, preliminary communications, case reports, book reviews, letters to the editor and news. Review articles are published by invitation from the Editor-in-Chief by acclaimed professionals in distinct fields of dental medicine. All manuscripts are subjected to peer review process.
×
引用
GB/T 7714-2015
复制
MLA
复制
APA
复制
导出至
BibTeX EndNote RefMan NoteFirst NoteExpress
×
提示
您的信息不完整,为了账户安全,请先补充。
现在去补充
×
提示
您因"违规操作"
具体请查看互助需知
我知道了
×
提示
确定
请完成安全验证×
copy
已复制链接
快去分享给好友吧!
我知道了
右上角分享
点击右上角分享
0
联系我们:info@booksci.cn Book学术提供免费学术资源搜索服务,方便国内外学者检索中英文文献。致力于提供最便捷和优质的服务体验。 Copyright © 2023 布克学术 All rights reserved.
京ICP备2023020795号-1
ghs 京公网安备 11010802042870号
Book学术文献互助
Book学术文献互助群
群 号:604180095
Book学术官方微信