CBCT对上颌窦解剖和病理的评估:一项回顾性描述性研究。

IF 1.8 Q3 DENTISTRY, ORAL SURGERY & MEDICINE
Naida Hadžiabdić, Azra Imamović, Aida Džanković, Samra Korać, Irmina Tahmiščija
{"title":"CBCT对上颌窦解剖和病理的评估:一项回顾性描述性研究。","authors":"Naida Hadžiabdić, Azra Imamović, Aida Džanković, Samra Korać, Irmina Tahmiščija","doi":"10.15644/asc59/1/6","DOIUrl":null,"url":null,"abstract":"<p><strong>Background: </strong>A comprehensive understanding of the anatomy and pathology of the maxillary sinus is paramount for precise diagnosis and effective planning of dental interventions. Cone Beam Computed Tomography (CBCT) offers enhanced visualization of sinus structures, thus facilitating the identification of anatomical variations and pathological conditions which are critical for surgical and dental treatment strategies.</p><p><strong>Materials and methods: </strong>This retrospective descriptive study analyzed 200 CBCT scans, comprising 400 maxillary sinuses from patients treated at the Faculty of Dentistry University of Sarajevo. The study assessed sinus dimensions, volumes, anatomical features, their relationships with adjacent anatomical structures, and the occurrence of pathological alterations. Furthermore, the patient's gender and dental status were studied in relation to these features. The sinus measurements were performed with Sidexis 4 software (Dentsply Sirona, Germany), which is intended for precise linear measurements in three orthogonal planes.</p><p><strong>Results: </strong>Significant differences were found in sinus width between patients with full dentition and those with partial or complete edentulism (p<0.01). Male participants exhibited larger mean sinus dimensions compared to females in all dimensions. The maxillary sinus floor was inferior to the nasal floor in 91.5% of cases. Various types of sinus membrane abnormalities were observed, with normal membrane thickness in 53.75% of cases. Sinus septa were most frequently located on the roof of the sinus, and their frequency varied significantly among patients with different dentition statuses. The study also identified 274 Haller cells and documented several pathological changes, with mucosal thickening exceeding 3 mm being the most common alteration.</p><p><strong>Conclusion: </strong>This radiographic study of Bosnian and Herzegovian population revealed significant anatomical variations and pathological changes in maxillary sinuses, thus emphasizing the importance of careful preoperative evaluation using CBCT for surgical planning in the posterior maxillary area. The findings highlight gender-based differences in sinus volumes, the impact of dentition status on sinus anatomy, and the prevalence of various pathological conditions, thus contributing to valuable insights in the field of maxillofacial radiology.</p>","PeriodicalId":7154,"journal":{"name":"Acta Stomatologica Croatica","volume":"59 1","pages":"53-67"},"PeriodicalIF":1.8000,"publicationDate":"2025-03-01","publicationTypes":"Journal Article","fieldsOfStudy":null,"isOpenAccess":false,"openAccessPdf":"https://www.ncbi.nlm.nih.gov/pmc/articles/PMC11984808/pdf/","citationCount":"0","resultStr":"{\"title\":\"Anatomical and Pathological Assessment of the Maxillary Sinus Using CBCT Imaging: A Retrospective Descriptive Study.\",\"authors\":\"Naida Hadžiabdić, Azra Imamović, Aida Džanković, Samra Korać, Irmina Tahmiščija\",\"doi\":\"10.15644/asc59/1/6\",\"DOIUrl\":null,\"url\":null,\"abstract\":\"<p><strong>Background: </strong>A comprehensive understanding of the anatomy and pathology of the maxillary sinus is paramount for precise diagnosis and effective planning of dental interventions. Cone Beam Computed Tomography (CBCT) offers enhanced visualization of sinus structures, thus facilitating the identification of anatomical variations and pathological conditions which are critical for surgical and dental treatment strategies.</p><p><strong>Materials and methods: </strong>This retrospective descriptive study analyzed 200 CBCT scans, comprising 400 maxillary sinuses from patients treated at the Faculty of Dentistry University of Sarajevo. The study assessed sinus dimensions, volumes, anatomical features, their relationships with adjacent anatomical structures, and the occurrence of pathological alterations. Furthermore, the patient's gender and dental status were studied in relation to these features. The sinus measurements were performed with Sidexis 4 software (Dentsply Sirona, Germany), which is intended for precise linear measurements in three orthogonal planes.</p><p><strong>Results: </strong>Significant differences were found in sinus width between patients with full dentition and those with partial or complete edentulism (p<0.01). Male participants exhibited larger mean sinus dimensions compared to females in all dimensions. The maxillary sinus floor was inferior to the nasal floor in 91.5% of cases. Various types of sinus membrane abnormalities were observed, with normal membrane thickness in 53.75% of cases. Sinus septa were most frequently located on the roof of the sinus, and their frequency varied significantly among patients with different dentition statuses. The study also identified 274 Haller cells and documented several pathological changes, with mucosal thickening exceeding 3 mm being the most common alteration.</p><p><strong>Conclusion: </strong>This radiographic study of Bosnian and Herzegovian population revealed significant anatomical variations and pathological changes in maxillary sinuses, thus emphasizing the importance of careful preoperative evaluation using CBCT for surgical planning in the posterior maxillary area. The findings highlight gender-based differences in sinus volumes, the impact of dentition status on sinus anatomy, and the prevalence of various pathological conditions, thus contributing to valuable insights in the field of maxillofacial radiology.</p>\",\"PeriodicalId\":7154,\"journal\":{\"name\":\"Acta Stomatologica Croatica\",\"volume\":\"59 1\",\"pages\":\"53-67\"},\"PeriodicalIF\":1.8000,\"publicationDate\":\"2025-03-01\",\"publicationTypes\":\"Journal Article\",\"fieldsOfStudy\":null,\"isOpenAccess\":false,\"openAccessPdf\":\"https://www.ncbi.nlm.nih.gov/pmc/articles/PMC11984808/pdf/\",\"citationCount\":\"0\",\"resultStr\":null,\"platform\":\"Semanticscholar\",\"paperid\":null,\"PeriodicalName\":\"Acta Stomatologica Croatica\",\"FirstCategoryId\":\"1085\",\"ListUrlMain\":\"https://doi.org/10.15644/asc59/1/6\",\"RegionNum\":0,\"RegionCategory\":null,\"ArticlePicture\":[],\"TitleCN\":null,\"AbstractTextCN\":null,\"PMCID\":null,\"EPubDate\":\"\",\"PubModel\":\"\",\"JCR\":\"Q3\",\"JCRName\":\"DENTISTRY, ORAL SURGERY & MEDICINE\",\"Score\":null,\"Total\":0}","platform":"Semanticscholar","paperid":null,"PeriodicalName":"Acta Stomatologica Croatica","FirstCategoryId":"1085","ListUrlMain":"https://doi.org/10.15644/asc59/1/6","RegionNum":0,"RegionCategory":null,"ArticlePicture":[],"TitleCN":null,"AbstractTextCN":null,"PMCID":null,"EPubDate":"","PubModel":"","JCR":"Q3","JCRName":"DENTISTRY, ORAL SURGERY & MEDICINE","Score":null,"Total":0}
引用次数: 0

摘要

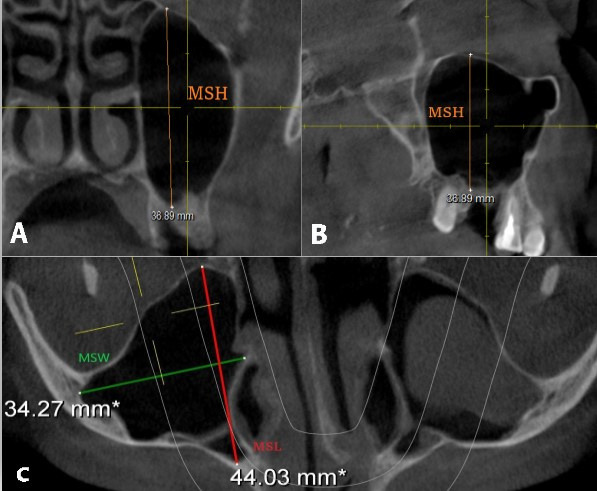
背景:全面了解上颌窦的解剖和病理对准确诊断和有效规划牙科干预至关重要。锥形束计算机断层扫描(CBCT)增强了鼻窦结构的可视化,从而促进了解剖变异和病理状况的识别,这对外科和牙科治疗策略至关重要。材料和方法:本回顾性描述性研究分析了在萨拉热窝牙科大学接受治疗的患者的200个CBCT扫描,包括400个上颌窦。该研究评估了鼻窦的尺寸、体积、解剖特征、与邻近解剖结构的关系以及病理改变的发生。此外,研究了患者的性别和牙齿状况与这些特征的关系。使用Sidexis 4软件(Dentsply Sirona, Germany)进行鼻窦测量,该软件用于在三个正交平面上进行精确的线性测量。结果:全牙列患者与部分全牙列患者或全牙列患者的鼻窦宽度存在显著差异(p结论:波黑人群的x线摄影研究显示上颌鼻窦的解剖差异和病理改变,因此强调了在上颌后区域进行手术计划时使用CBCT进行仔细术前评估的重要性。研究结果强调了鼻窦体积的性别差异,牙列状态对鼻窦解剖的影响,以及各种病理情况的患病率,从而为颌面放射学领域提供了有价值的见解。
本文章由计算机程序翻译,如有差异,请以英文原文为准。

Anatomical and Pathological Assessment of the Maxillary Sinus Using CBCT Imaging: A Retrospective Descriptive Study.

Anatomical and Pathological Assessment of the Maxillary Sinus Using CBCT Imaging: A Retrospective Descriptive Study.

Anatomical and Pathological Assessment of the Maxillary Sinus Using CBCT Imaging: A Retrospective Descriptive Study.

Anatomical and Pathological Assessment of the Maxillary Sinus Using CBCT Imaging: A Retrospective Descriptive Study.

Background: A comprehensive understanding of the anatomy and pathology of the maxillary sinus is paramount for precise diagnosis and effective planning of dental interventions. Cone Beam Computed Tomography (CBCT) offers enhanced visualization of sinus structures, thus facilitating the identification of anatomical variations and pathological conditions which are critical for surgical and dental treatment strategies.

Materials and methods: This retrospective descriptive study analyzed 200 CBCT scans, comprising 400 maxillary sinuses from patients treated at the Faculty of Dentistry University of Sarajevo. The study assessed sinus dimensions, volumes, anatomical features, their relationships with adjacent anatomical structures, and the occurrence of pathological alterations. Furthermore, the patient's gender and dental status were studied in relation to these features. The sinus measurements were performed with Sidexis 4 software (Dentsply Sirona, Germany), which is intended for precise linear measurements in three orthogonal planes.

Results: Significant differences were found in sinus width between patients with full dentition and those with partial or complete edentulism (p<0.01). Male participants exhibited larger mean sinus dimensions compared to females in all dimensions. The maxillary sinus floor was inferior to the nasal floor in 91.5% of cases. Various types of sinus membrane abnormalities were observed, with normal membrane thickness in 53.75% of cases. Sinus septa were most frequently located on the roof of the sinus, and their frequency varied significantly among patients with different dentition statuses. The study also identified 274 Haller cells and documented several pathological changes, with mucosal thickening exceeding 3 mm being the most common alteration.

Conclusion: This radiographic study of Bosnian and Herzegovian population revealed significant anatomical variations and pathological changes in maxillary sinuses, thus emphasizing the importance of careful preoperative evaluation using CBCT for surgical planning in the posterior maxillary area. The findings highlight gender-based differences in sinus volumes, the impact of dentition status on sinus anatomy, and the prevalence of various pathological conditions, thus contributing to valuable insights in the field of maxillofacial radiology.

求助全文
通过发布文献求助,成功后即可免费获取论文全文。 去求助
来源期刊
Acta Stomatologica Croatica
Acta Stomatologica Croatica DENTISTRY, ORAL SURGERY & MEDICINE-
CiteScore
2.40
自引率
28.60%
发文量
32
审稿时长
12 weeks
期刊介绍: The Acta Stomatologica Croatica (ASCRO) is a leading scientific non-profit journal in the field of dental, oral and cranio-facial sciences during the past 44 years in Croatia. ASCRO publishes original scientific and clinical papers, preliminary communications, case reports, book reviews, letters to the editor and news. Review articles are published by invitation from the Editor-in-Chief by acclaimed professionals in distinct fields of dental medicine. All manuscripts are subjected to peer review process.
×
引用
GB/T 7714-2015
复制
MLA
复制
APA
复制
导出至
BibTeX EndNote RefMan NoteFirst NoteExpress
×
提示
您的信息不完整,为了账户安全,请先补充。
现在去补充
×
提示
您因"违规操作"
具体请查看互助需知
我知道了
×
提示
确定
请完成安全验证×
copy
已复制链接
快去分享给好友吧!
我知道了
右上角分享
点击右上角分享
0
联系我们:info@booksci.cn Book学术提供免费学术资源搜索服务,方便国内外学者检索中英文文献。致力于提供最便捷和优质的服务体验。 Copyright © 2023 布克学术 All rights reserved.
京ICP备2023020795号-1
ghs 京公网安备 11010802042870号
Book学术文献互助
Book学术文献互助群
群 号:604180095
Book学术官方微信