抑制心房利钠肽清除可减少糖尿病大鼠心肌纤维化,改善心功能。

European heart journal open Pub Date : 2025-03-19 eCollection Date: 2025-03-01 DOI:10.1093/ehjopen/oeaf031
Jules Joel Bakhos, Youakim Saliba, Joelle Hajal, Guy Achkouty, Hrag Oskaridjian, Miguel Albuquerque, Chloé Azevedo, Albert Semaan, Nadine Suffee, Elise Balse, Stéphane N Hatem, Nassim Fares
{"title":"抑制心房利钠肽清除可减少糖尿病大鼠心肌纤维化,改善心功能。","authors":"Jules Joel Bakhos, Youakim Saliba, Joelle Hajal, Guy Achkouty, Hrag Oskaridjian, Miguel Albuquerque, Chloé Azevedo, Albert Semaan, Nadine Suffee, Elise Balse, Stéphane N Hatem, Nassim Fares","doi":"10.1093/ehjopen/oeaf031","DOIUrl":null,"url":null,"abstract":"<p><strong>Aims: </strong>Natriuretic peptides (NPs) exert pleiotropic effects through the recruitment of cyclic guanosine monophosphate (cGMP) signalling pathways depending on their bioavailability, which is regulated by clearance receptors and peptidases. Here, we tested the hypothesis that increasing myocardial bioavailability of NP has a beneficial effect on heart failure. We studied the effects of a mutated NP, M-atrial natriuretic peptide (MANP), resistant to neprilysin in a model of diabetic cardiomyopathy characterized by marked myocardial fibrosis.</p><p><strong>Methods and results: </strong>Natriuretic peptides as well as sacubitril were delivered via osmotic mini-pumps to high-fat/streptozotocin-induced Type 2 diabetic (T2D) rats. Cardiac function was evaluated by echocardiography. Myocardial remodelling was studied by histological approaches, collagen phenotype, and atrial natriuretic peptide (ANP)/cGMP concentrations. Live-cell cGMP biosensing was conducted on cultured rat cardiac fibroblasts to investigate the biological effects of NP. Cyclic guanosine monophosphate signalling pathway was studied using multiple antibody arrays and biochemical assays in cardiac tissue and cultured fibroblasts. M-atrial natriuretic peptide exhibits superior efficacy than ANP in reducing left ventricular dysfunction and myocardial fibrosis with less extracellular matrix deposition. <i>In vitro</i>, MANP and ANP similarly generated cGMP and activated the protein kinase G (PKG) signalling pathway in cardiac fibroblasts, attenuating Mothers against decapentaplegic homolog 2 (SMAD) activation, collagen secretion, and cell proliferation. Nevertheless, <i>in vivo</i>, MANP specifically enhanced cardiac cGMP accumulation and was more potent than ANP in activating myocardial cGMP/PKG signalling and inhibiting the profibrotic SMAD, extracellular signal-regulated kinases 1/2, and nuclear factor of activated T cells 3 pathways. Endopeptidase inhibition using sacubitril also led to cardiac ANP/cGMP accumulation and reduced myocardial fibrosis.</p><p><strong>Conclusion: </strong>Myocardial bioavailability of ANP is a major determinant of peptide efficacy in reducing cardiac fibrosis and improving pump function during diabetic cardiomyopathy.</p>","PeriodicalId":93995,"journal":{"name":"European heart journal open","volume":"5 2","pages":"oeaf031"},"PeriodicalIF":0.0000,"publicationDate":"2025-03-19","publicationTypes":"Journal Article","fieldsOfStudy":null,"isOpenAccess":false,"openAccessPdf":"https://www.ncbi.nlm.nih.gov/pmc/articles/PMC11977460/pdf/","citationCount":"0","resultStr":"{\"title\":\"Inhibiting atrial natriuretic peptide clearance reduces myocardial fibrosis and improves cardiac function in diabetic rats.\",\"authors\":\"Jules Joel Bakhos, Youakim Saliba, Joelle Hajal, Guy Achkouty, Hrag Oskaridjian, Miguel Albuquerque, Chloé Azevedo, Albert Semaan, Nadine Suffee, Elise Balse, Stéphane N Hatem, Nassim Fares\",\"doi\":\"10.1093/ehjopen/oeaf031\",\"DOIUrl\":null,\"url\":null,\"abstract\":\"<p><strong>Aims: </strong>Natriuretic peptides (NPs) exert pleiotropic effects through the recruitment of cyclic guanosine monophosphate (cGMP) signalling pathways depending on their bioavailability, which is regulated by clearance receptors and peptidases. Here, we tested the hypothesis that increasing myocardial bioavailability of NP has a beneficial effect on heart failure. We studied the effects of a mutated NP, M-atrial natriuretic peptide (MANP), resistant to neprilysin in a model of diabetic cardiomyopathy characterized by marked myocardial fibrosis.</p><p><strong>Methods and results: </strong>Natriuretic peptides as well as sacubitril were delivered via osmotic mini-pumps to high-fat/streptozotocin-induced Type 2 diabetic (T2D) rats. Cardiac function was evaluated by echocardiography. Myocardial remodelling was studied by histological approaches, collagen phenotype, and atrial natriuretic peptide (ANP)/cGMP concentrations. Live-cell cGMP biosensing was conducted on cultured rat cardiac fibroblasts to investigate the biological effects of NP. Cyclic guanosine monophosphate signalling pathway was studied using multiple antibody arrays and biochemical assays in cardiac tissue and cultured fibroblasts. M-atrial natriuretic peptide exhibits superior efficacy than ANP in reducing left ventricular dysfunction and myocardial fibrosis with less extracellular matrix deposition. <i>In vitro</i>, MANP and ANP similarly generated cGMP and activated the protein kinase G (PKG) signalling pathway in cardiac fibroblasts, attenuating Mothers against decapentaplegic homolog 2 (SMAD) activation, collagen secretion, and cell proliferation. Nevertheless, <i>in vivo</i>, MANP specifically enhanced cardiac cGMP accumulation and was more potent than ANP in activating myocardial cGMP/PKG signalling and inhibiting the profibrotic SMAD, extracellular signal-regulated kinases 1/2, and nuclear factor of activated T cells 3 pathways. Endopeptidase inhibition using sacubitril also led to cardiac ANP/cGMP accumulation and reduced myocardial fibrosis.</p><p><strong>Conclusion: </strong>Myocardial bioavailability of ANP is a major determinant of peptide efficacy in reducing cardiac fibrosis and improving pump function during diabetic cardiomyopathy.</p>\",\"PeriodicalId\":93995,\"journal\":{\"name\":\"European heart journal open\",\"volume\":\"5 2\",\"pages\":\"oeaf031\"},\"PeriodicalIF\":0.0000,\"publicationDate\":\"2025-03-19\",\"publicationTypes\":\"Journal Article\",\"fieldsOfStudy\":null,\"isOpenAccess\":false,\"openAccessPdf\":\"https://www.ncbi.nlm.nih.gov/pmc/articles/PMC11977460/pdf/\",\"citationCount\":\"0\",\"resultStr\":null,\"platform\":\"Semanticscholar\",\"paperid\":null,\"PeriodicalName\":\"European heart journal open\",\"FirstCategoryId\":\"1085\",\"ListUrlMain\":\"https://doi.org/10.1093/ehjopen/oeaf031\",\"RegionNum\":0,\"RegionCategory\":null,\"ArticlePicture\":[],\"TitleCN\":null,\"AbstractTextCN\":null,\"PMCID\":null,\"EPubDate\":\"2025/3/1 0:00:00\",\"PubModel\":\"eCollection\",\"JCR\":\"\",\"JCRName\":\"\",\"Score\":null,\"Total\":0}","platform":"Semanticscholar","paperid":null,"PeriodicalName":"European heart journal open","FirstCategoryId":"1085","ListUrlMain":"https://doi.org/10.1093/ehjopen/oeaf031","RegionNum":0,"RegionCategory":null,"ArticlePicture":[],"TitleCN":null,"AbstractTextCN":null,"PMCID":null,"EPubDate":"2025/3/1 0:00:00","PubModel":"eCollection","JCR":"","JCRName":"","Score":null,"Total":0}
引用次数: 0

摘要

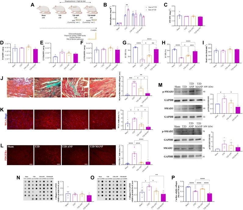
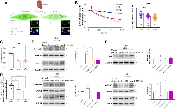
目的:钠肽(NPs)通过招募环鸟苷单磷酸(cGMP)信号通路发挥多效作用,这取决于其生物利用度,受清除受体和肽酶的调节。在这里,我们验证了增加NP的心肌生物利用度对心力衰竭有益的假设。我们在一个以心肌纤维化为特征的糖尿病心肌病模型中研究了突变的NP,即m -心房利钠肽(MANP)对neprilysin耐药的影响。方法与结果:通过微型渗透泵给高脂/链脲佐菌素诱导的2型糖尿病(T2D)大鼠输注利钠肽和苏比利。超声心动图评价心功能。通过组织学方法、胶原表型和心房利钠肽(ANP)/cGMP浓度研究心肌重构。采用体外培养的大鼠心脏成纤维细胞进行活细胞cGMP生物传感实验,探讨NP的生物学效应。在心脏组织和培养成纤维细胞中,采用多重抗体阵列和生化实验研究环鸟苷单磷酸信号通路。心房利钠肽在减轻左心室功能障碍和心肌纤维化方面的疗效优于ANP,且细胞外基质沉积较少。在体外,MANP和ANP类似地产生cGMP,并激活心脏成纤维细胞中的蛋白激酶G (PKG)信号通路,减弱母抗十肢瘫痪同源物2 (SMAD)的激活、胶原分泌和细胞增殖。然而,在体内,MANP特异性地增强了心脏cGMP的积累,并且在激活心肌cGMP/PKG信号传导和抑制促纤维化SMAD、细胞外信号调节激酶1/2和活化T细胞核因子3途径方面比ANP更有效。使用苏比利抑制内肽酶也导致心脏ANP/cGMP积累和减少心肌纤维化。结论:ANP的心肌生物利用度是影响肽在糖尿病心肌病中减少心肌纤维化和改善泵功能的主要决定因素。
本文章由计算机程序翻译,如有差异,请以英文原文为准。

Inhibiting atrial natriuretic peptide clearance reduces myocardial fibrosis and improves cardiac function in diabetic rats.

Inhibiting atrial natriuretic peptide clearance reduces myocardial fibrosis and improves cardiac function in diabetic rats.

Inhibiting atrial natriuretic peptide clearance reduces myocardial fibrosis and improves cardiac function in diabetic rats.

Inhibiting atrial natriuretic peptide clearance reduces myocardial fibrosis and improves cardiac function in diabetic rats.

Aims: Natriuretic peptides (NPs) exert pleiotropic effects through the recruitment of cyclic guanosine monophosphate (cGMP) signalling pathways depending on their bioavailability, which is regulated by clearance receptors and peptidases. Here, we tested the hypothesis that increasing myocardial bioavailability of NP has a beneficial effect on heart failure. We studied the effects of a mutated NP, M-atrial natriuretic peptide (MANP), resistant to neprilysin in a model of diabetic cardiomyopathy characterized by marked myocardial fibrosis.

Methods and results: Natriuretic peptides as well as sacubitril were delivered via osmotic mini-pumps to high-fat/streptozotocin-induced Type 2 diabetic (T2D) rats. Cardiac function was evaluated by echocardiography. Myocardial remodelling was studied by histological approaches, collagen phenotype, and atrial natriuretic peptide (ANP)/cGMP concentrations. Live-cell cGMP biosensing was conducted on cultured rat cardiac fibroblasts to investigate the biological effects of NP. Cyclic guanosine monophosphate signalling pathway was studied using multiple antibody arrays and biochemical assays in cardiac tissue and cultured fibroblasts. M-atrial natriuretic peptide exhibits superior efficacy than ANP in reducing left ventricular dysfunction and myocardial fibrosis with less extracellular matrix deposition. In vitro, MANP and ANP similarly generated cGMP and activated the protein kinase G (PKG) signalling pathway in cardiac fibroblasts, attenuating Mothers against decapentaplegic homolog 2 (SMAD) activation, collagen secretion, and cell proliferation. Nevertheless, in vivo, MANP specifically enhanced cardiac cGMP accumulation and was more potent than ANP in activating myocardial cGMP/PKG signalling and inhibiting the profibrotic SMAD, extracellular signal-regulated kinases 1/2, and nuclear factor of activated T cells 3 pathways. Endopeptidase inhibition using sacubitril also led to cardiac ANP/cGMP accumulation and reduced myocardial fibrosis.

Conclusion: Myocardial bioavailability of ANP is a major determinant of peptide efficacy in reducing cardiac fibrosis and improving pump function during diabetic cardiomyopathy.

求助全文
通过发布文献求助,成功后即可免费获取论文全文。 去求助
来源期刊
CiteScore
2.80
自引率
0.00%
发文量
0
×
引用
GB/T 7714-2015
复制
MLA
复制
APA
复制
导出至
BibTeX EndNote RefMan NoteFirst NoteExpress
×
提示
您的信息不完整,为了账户安全,请先补充。
现在去补充
×
提示
您因"违规操作"
具体请查看互助需知
我知道了
×
提示
确定
请完成安全验证×
copy
已复制链接
快去分享给好友吧!
我知道了
右上角分享
点击右上角分享
0
联系我们:info@booksci.cn Book学术提供免费学术资源搜索服务,方便国内外学者检索中英文文献。致力于提供最便捷和优质的服务体验。 Copyright © 2023 布克学术 All rights reserved.
京ICP备2023020795号-1
ghs 京公网安备 11010802042870号
Book学术文献互助
Book学术文献互助群
群 号:604180095
Book学术官方微信