一种感染猕猴桃肠外组织的艾美耳球虫(顶复合体)的形态学和分子描述。

IF 1.2 4区 医学 Q4 PARASITOLOGY
Emma Scheltema, Kerri Morgan, Preet Singh, Barbara Adlington, Laryssa Howe
{"title":"一种感染猕猴桃肠外组织的艾美耳球虫(顶复合体)的形态学和分子描述。","authors":"Emma Scheltema, Kerri Morgan, Preet Singh, Barbara Adlington, Laryssa Howe","doi":"10.1007/s11230-025-10227-x","DOIUrl":null,"url":null,"abstract":"<p><p>Coccidia (Apiconmplexa) are naturally occurring and occasionally detrimental parasites of kiwi (Apteryx spp.), a unique, flightless bird species dependent upon conservation efforts for survival. Using morphological and molecular data, a new coccidia species, Eimeria koka n. sp., isolated from two closely related but geographically isolated kiwi host species, Apteryx rowi Tennyson et al. (rowi) and Apteryx mantelli Bartlett (North Island brown kiwi), is described. Oocysts are oval (20.8 × 15.9 μm) with a mean L/W ratio of 1.3, and a distinctive rough, crenellated brown oocyst wall (mean 1.2 μm), an oocyst residuum, 1-2 polar granules, and no micropyle. Sporocysts are ellipsoidal (11.6 × 6.3 μm) with a Stieda body and sporocyst residuum. Phylogenetic analysis of the cytochrome C oxidase subunit 1 (CO1) placed E. koka n. sp. in a separate clade to other Eimeria species previously identified from kiwi (Coker et al., Syst Parasitol 100(3):269-281, 2023). Comparison of DNA from oocysts with infected tissues from a single juvenile North Island brown kiwi confirmed parasitism of the kidney and lung tissues. This is the first Eimeria species identified from extraintestinal tissues in kiwi. Further molecular studies are recommended to determine the tissue distribution of E. koka n. sp. and other Eimeria species in kiwi.</p>","PeriodicalId":54436,"journal":{"name":"Systematic Parasitology","volume":"102 3","pages":"30"},"PeriodicalIF":1.2000,"publicationDate":"2025-04-09","publicationTypes":"Journal Article","fieldsOfStudy":null,"isOpenAccess":false,"openAccessPdf":"https://www.ncbi.nlm.nih.gov/pmc/articles/PMC11982086/pdf/","citationCount":"0","resultStr":"{\"title\":\"Morphological and molecular description of a novel species of Eimeria (Apicomplexa) that infects extraintestinal tissues of kiwi (Aves: Apteryx spp.).\",\"authors\":\"Emma Scheltema, Kerri Morgan, Preet Singh, Barbara Adlington, Laryssa Howe\",\"doi\":\"10.1007/s11230-025-10227-x\",\"DOIUrl\":null,\"url\":null,\"abstract\":\"<p><p>Coccidia (Apiconmplexa) are naturally occurring and occasionally detrimental parasites of kiwi (Apteryx spp.), a unique, flightless bird species dependent upon conservation efforts for survival. Using morphological and molecular data, a new coccidia species, Eimeria koka n. sp., isolated from two closely related but geographically isolated kiwi host species, Apteryx rowi Tennyson et al. (rowi) and Apteryx mantelli Bartlett (North Island brown kiwi), is described. Oocysts are oval (20.8 × 15.9 μm) with a mean L/W ratio of 1.3, and a distinctive rough, crenellated brown oocyst wall (mean 1.2 μm), an oocyst residuum, 1-2 polar granules, and no micropyle. Sporocysts are ellipsoidal (11.6 × 6.3 μm) with a Stieda body and sporocyst residuum. Phylogenetic analysis of the cytochrome C oxidase subunit 1 (CO1) placed E. koka n. sp. in a separate clade to other Eimeria species previously identified from kiwi (Coker et al., Syst Parasitol 100(3):269-281, 2023). Comparison of DNA from oocysts with infected tissues from a single juvenile North Island brown kiwi confirmed parasitism of the kidney and lung tissues. This is the first Eimeria species identified from extraintestinal tissues in kiwi. Further molecular studies are recommended to determine the tissue distribution of E. koka n. sp. and other Eimeria species in kiwi.</p>\",\"PeriodicalId\":54436,\"journal\":{\"name\":\"Systematic Parasitology\",\"volume\":\"102 3\",\"pages\":\"30\"},\"PeriodicalIF\":1.2000,\"publicationDate\":\"2025-04-09\",\"publicationTypes\":\"Journal Article\",\"fieldsOfStudy\":null,\"isOpenAccess\":false,\"openAccessPdf\":\"https://www.ncbi.nlm.nih.gov/pmc/articles/PMC11982086/pdf/\",\"citationCount\":\"0\",\"resultStr\":null,\"platform\":\"Semanticscholar\",\"paperid\":null,\"PeriodicalName\":\"Systematic Parasitology\",\"FirstCategoryId\":\"3\",\"ListUrlMain\":\"https://doi.org/10.1007/s11230-025-10227-x\",\"RegionNum\":4,\"RegionCategory\":\"医学\",\"ArticlePicture\":[],\"TitleCN\":null,\"AbstractTextCN\":null,\"PMCID\":null,\"EPubDate\":\"\",\"PubModel\":\"\",\"JCR\":\"Q4\",\"JCRName\":\"PARASITOLOGY\",\"Score\":null,\"Total\":0}","platform":"Semanticscholar","paperid":null,"PeriodicalName":"Systematic Parasitology","FirstCategoryId":"3","ListUrlMain":"https://doi.org/10.1007/s11230-025-10227-x","RegionNum":4,"RegionCategory":"医学","ArticlePicture":[],"TitleCN":null,"AbstractTextCN":null,"PMCID":null,"EPubDate":"","PubModel":"","JCR":"Q4","JCRName":"PARASITOLOGY","Score":null,"Total":0}
引用次数: 0

摘要

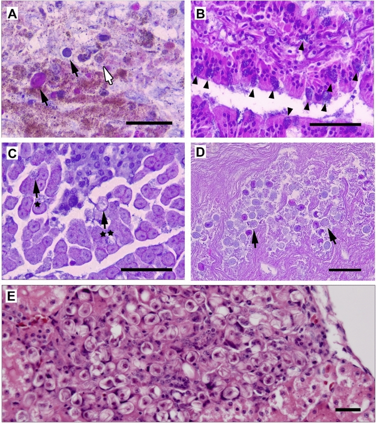
球虫是猕猴桃(Apteryx spp.)的一种自然产生的偶尔有害的寄生虫,猕猴桃是一种独特的、不会飞的鸟类,依靠保护工作才能生存。利用形态学和分子数据,描述了从两个密切相关但地理上分离的猕猴桃寄主物种,Apteryx rowi Tennyson et al. (rowi)和Apteryx mantelli Bartlett(北岛棕色猕猴桃)中分离出的一种新的球虫,艾美利亚koka n. sp.。卵囊呈椭圆形(20.8 × 15.9 μm),平均L/W比为1.3,卵囊壁呈明显粗糙的棕色孔状(平均1.2 μm),卵囊残留物,1-2个极性颗粒,无微孔。孢子囊呈椭圆形(11.6 × 6.3 μm),孢子体和孢子囊残体呈圆形。细胞色素C氧化酶亚基1 (CO1)的系统发育分析将e.k oka n. sp.与先前从猕猴桃中鉴定出的其他艾美耳球虫物种划分为一个单独的分支(Coker et al., Syst Parasitol 100(3):269- 281,2023)。对一只北岛褐几维幼鸟卵囊与受感染组织的DNA进行比较,证实其肾脏和肺组织存在寄生。这是在猕猴桃肠外组织中首次发现的艾美球虫。建议进一步的分子研究来确定e.k oka n. spp .和其他艾美球虫在猕猴桃的组织分布。
本文章由计算机程序翻译,如有差异,请以英文原文为准。

Morphological and molecular description of a novel species of Eimeria (Apicomplexa) that infects extraintestinal tissues of kiwi (Aves: Apteryx spp.).

Morphological and molecular description of a novel species of Eimeria (Apicomplexa) that infects extraintestinal tissues of kiwi (Aves: Apteryx spp.).

Morphological and molecular description of a novel species of Eimeria (Apicomplexa) that infects extraintestinal tissues of kiwi (Aves: Apteryx spp.).

Morphological and molecular description of a novel species of Eimeria (Apicomplexa) that infects extraintestinal tissues of kiwi (Aves: Apteryx spp.).

Coccidia (Apiconmplexa) are naturally occurring and occasionally detrimental parasites of kiwi (Apteryx spp.), a unique, flightless bird species dependent upon conservation efforts for survival. Using morphological and molecular data, a new coccidia species, Eimeria koka n. sp., isolated from two closely related but geographically isolated kiwi host species, Apteryx rowi Tennyson et al. (rowi) and Apteryx mantelli Bartlett (North Island brown kiwi), is described. Oocysts are oval (20.8 × 15.9 μm) with a mean L/W ratio of 1.3, and a distinctive rough, crenellated brown oocyst wall (mean 1.2 μm), an oocyst residuum, 1-2 polar granules, and no micropyle. Sporocysts are ellipsoidal (11.6 × 6.3 μm) with a Stieda body and sporocyst residuum. Phylogenetic analysis of the cytochrome C oxidase subunit 1 (CO1) placed E. koka n. sp. in a separate clade to other Eimeria species previously identified from kiwi (Coker et al., Syst Parasitol 100(3):269-281, 2023). Comparison of DNA from oocysts with infected tissues from a single juvenile North Island brown kiwi confirmed parasitism of the kidney and lung tissues. This is the first Eimeria species identified from extraintestinal tissues in kiwi. Further molecular studies are recommended to determine the tissue distribution of E. koka n. sp. and other Eimeria species in kiwi.

求助全文
通过发布文献求助,成功后即可免费获取论文全文。 去求助
来源期刊
Systematic Parasitology
Systematic Parasitology 医学-寄生虫学
CiteScore
2.20
自引率
23.10%
发文量
64
审稿时长
6-12 weeks
期刊介绍: Systematic Parasitology publishes papers on the systematics, taxonomy and nomenclature of the following groups: Nematoda (including plant-parasitic), Monogenea, Digenea, Cestoda, Acanthocephala, Aspidogastrea, Cestodaria, Arthropoda (parasitic copepods, hymenopterans, mites, ticks, etc.), Protozoa (parasitic groups), and parasitic genera in other groups, such as Mollusca, Turbelleria, etc. Systematic Parasitology publishes fully illustrated research papers, brief communications, and fully illustrated major revisions. In order to maintain high standards, all contributors describing new taxa are asked to state clearly where the holotype is deposited and to make paratypes available for examination by the referees. It is recognized that, in some cases, this may cause problems for the authors, but it is hoped that by adhering to this rule authors may be protected against rapid synonymy of their taxa, and the types will be preserved for posterity.
×
引用
GB/T 7714-2015
复制
MLA
复制
APA
复制
导出至
BibTeX EndNote RefMan NoteFirst NoteExpress
×
提示
您的信息不完整,为了账户安全,请先补充。
现在去补充
×
提示
您因"违规操作"
具体请查看互助需知
我知道了
×
提示
确定
请完成安全验证×
copy
已复制链接
快去分享给好友吧!
我知道了
右上角分享
点击右上角分享
0
联系我们:info@booksci.cn Book学术提供免费学术资源搜索服务,方便国内外学者检索中英文文献。致力于提供最便捷和优质的服务体验。 Copyright © 2023 布克学术 All rights reserved.
京ICP备2023020795号-1
ghs 京公网安备 11010802042870号
Book学术文献互助
Book学术文献互助群
群 号:604180095
Book学术官方微信