多学科合作诊断巴塞杜氏病患者的胸腺增生症。

IF 0.7 Q4 ENDOCRINOLOGY & METABOLISM
Khin Yadanar Kyaw, Min Thant Lwin, Alistair Gummow, Antonia Ugur
{"title":"多学科合作诊断巴塞杜氏病患者的胸腺增生症。","authors":"Khin Yadanar Kyaw, Min Thant Lwin, Alistair Gummow, Antonia Ugur","doi":"10.1530/EDM-24-0125","DOIUrl":null,"url":null,"abstract":"<p><strong>Summary: </strong>Thymic hyperplasia in Graves' disease is rarely identified due to the absence of routine imaging, but not uncommonly present. It is usually seen when imaging is performed for other reasons. Despite thymic hyperplasia becoming a more commonly identified occurrence, follow-up imaging scans and multi-disciplinary team (MDT) approach are still recommended to distinguish this benign transformation from more significant differentials. These steps can lead to distress in patients. Therefore, clinicians and radiologists being aware of this correlation between thymic hyperplasia and Graves' disease can add reassurances about the most likely diagnosis whilst the patient is undergoing limited further investigation to rule out differentials and subsequently, avoid unnecessary intervention. Here, we report a case of Graves' disease with thymic hyperplasia in a young woman who initially presented with non-specific eye symptoms and incidental mediastinal mass, in which involvement of multiple speciality teams was important to rule out thymoma and myasthenia gravis (MG).</p><p><strong>Learning points: </strong>Although Graves' disease with thymic hyperplasia is not uncommon, it is sometimes difficult to diagnose with one imaging scan due to the overlap of radiological characteristics of other important differentials; an MDT discussion and further imaging scans are needed to confirm the diagnosis in some cases. Getting MDT involvement early would quickly assist in ruling out more significant differentials and avoid unnecessary surgical intervention by concluding thymic hyperplasia. Clinicians having knowledge on the relation between Graves' disease and thymic hyperplasia may reassure the patient by explaining the possible resolution with treatment, while awaiting further MDT discussion. To rule out ocular MG in Graves' disease patients, additional investigations and neurology referral are often required as the serum antibody tests are less sensitive in ocular MG than generalised MG.</p>","PeriodicalId":37467,"journal":{"name":"Endocrinology, Diabetes and Metabolism Case Reports","volume":"2025 2","pages":""},"PeriodicalIF":0.7000,"publicationDate":"2025-04-08","publicationTypes":"Journal Article","fieldsOfStudy":null,"isOpenAccess":false,"openAccessPdf":"https://www.ncbi.nlm.nih.gov/pmc/articles/PMC12272821/pdf/","citationCount":"0","resultStr":"{\"title\":\"Multi-disciplinary collaboration in diagnosing thymic hyperplasia in a Graves' disease patient.\",\"authors\":\"Khin Yadanar Kyaw, Min Thant Lwin, Alistair Gummow, Antonia Ugur\",\"doi\":\"10.1530/EDM-24-0125\",\"DOIUrl\":null,\"url\":null,\"abstract\":\"<p><strong>Summary: </strong>Thymic hyperplasia in Graves' disease is rarely identified due to the absence of routine imaging, but not uncommonly present. It is usually seen when imaging is performed for other reasons. Despite thymic hyperplasia becoming a more commonly identified occurrence, follow-up imaging scans and multi-disciplinary team (MDT) approach are still recommended to distinguish this benign transformation from more significant differentials. These steps can lead to distress in patients. Therefore, clinicians and radiologists being aware of this correlation between thymic hyperplasia and Graves' disease can add reassurances about the most likely diagnosis whilst the patient is undergoing limited further investigation to rule out differentials and subsequently, avoid unnecessary intervention. Here, we report a case of Graves' disease with thymic hyperplasia in a young woman who initially presented with non-specific eye symptoms and incidental mediastinal mass, in which involvement of multiple speciality teams was important to rule out thymoma and myasthenia gravis (MG).</p><p><strong>Learning points: </strong>Although Graves' disease with thymic hyperplasia is not uncommon, it is sometimes difficult to diagnose with one imaging scan due to the overlap of radiological characteristics of other important differentials; an MDT discussion and further imaging scans are needed to confirm the diagnosis in some cases. Getting MDT involvement early would quickly assist in ruling out more significant differentials and avoid unnecessary surgical intervention by concluding thymic hyperplasia. Clinicians having knowledge on the relation between Graves' disease and thymic hyperplasia may reassure the patient by explaining the possible resolution with treatment, while awaiting further MDT discussion. To rule out ocular MG in Graves' disease patients, additional investigations and neurology referral are often required as the serum antibody tests are less sensitive in ocular MG than generalised MG.</p>\",\"PeriodicalId\":37467,\"journal\":{\"name\":\"Endocrinology, Diabetes and Metabolism Case Reports\",\"volume\":\"2025 2\",\"pages\":\"\"},\"PeriodicalIF\":0.7000,\"publicationDate\":\"2025-04-08\",\"publicationTypes\":\"Journal Article\",\"fieldsOfStudy\":null,\"isOpenAccess\":false,\"openAccessPdf\":\"https://www.ncbi.nlm.nih.gov/pmc/articles/PMC12272821/pdf/\",\"citationCount\":\"0\",\"resultStr\":null,\"platform\":\"Semanticscholar\",\"paperid\":null,\"PeriodicalName\":\"Endocrinology, Diabetes and Metabolism Case Reports\",\"FirstCategoryId\":\"1085\",\"ListUrlMain\":\"https://doi.org/10.1530/EDM-24-0125\",\"RegionNum\":0,\"RegionCategory\":null,\"ArticlePicture\":[],\"TitleCN\":null,\"AbstractTextCN\":null,\"PMCID\":null,\"EPubDate\":\"2025/4/1 0:00:00\",\"PubModel\":\"Print\",\"JCR\":\"Q4\",\"JCRName\":\"ENDOCRINOLOGY & METABOLISM\",\"Score\":null,\"Total\":0}","platform":"Semanticscholar","paperid":null,"PeriodicalName":"Endocrinology, Diabetes and Metabolism Case Reports","FirstCategoryId":"1085","ListUrlMain":"https://doi.org/10.1530/EDM-24-0125","RegionNum":0,"RegionCategory":null,"ArticlePicture":[],"TitleCN":null,"AbstractTextCN":null,"PMCID":null,"EPubDate":"2025/4/1 0:00:00","PubModel":"Print","JCR":"Q4","JCRName":"ENDOCRINOLOGY & METABOLISM","Score":null,"Total":0}
引用次数: 0

摘要

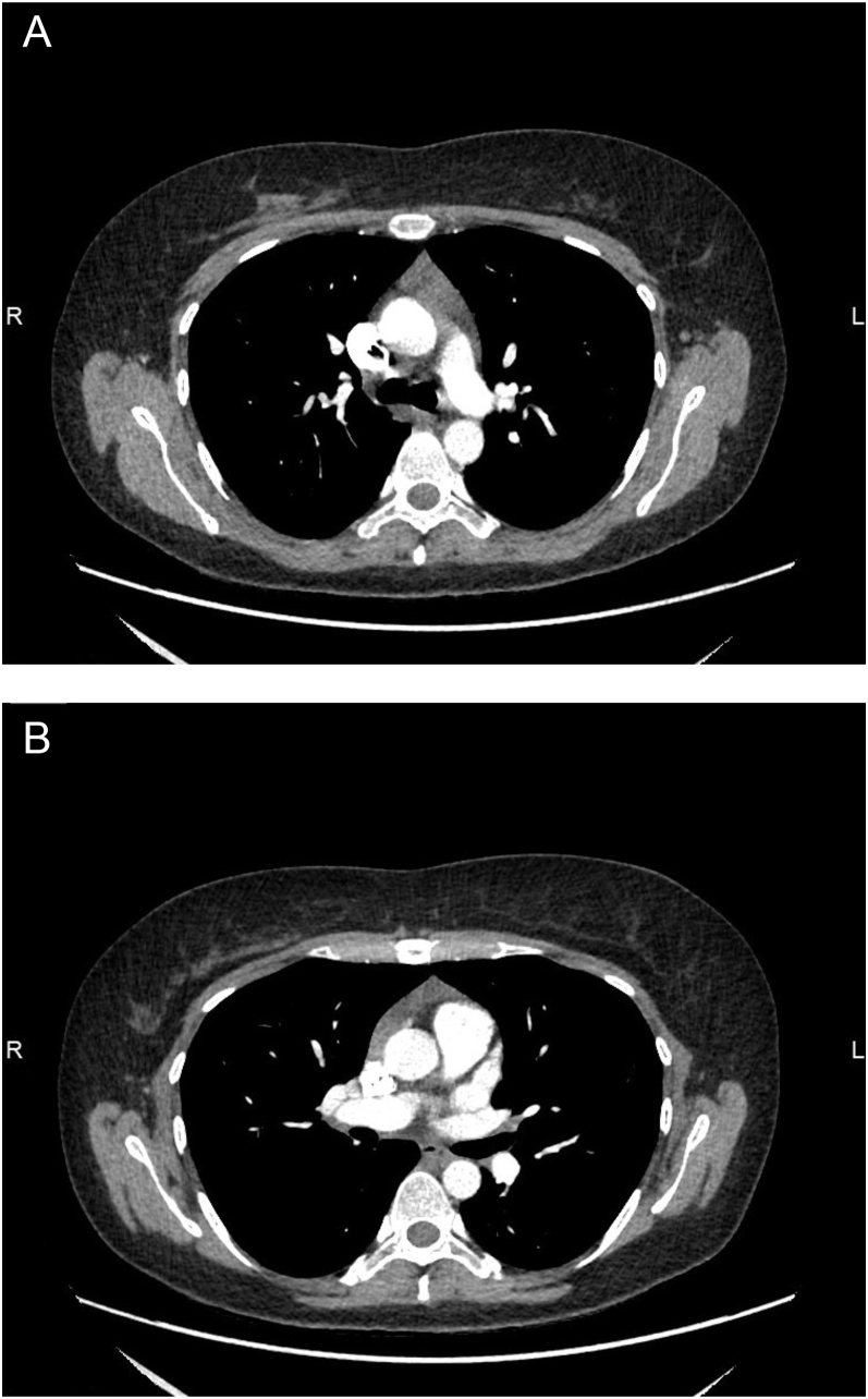
摘要:由于缺乏常规影像学检查,格雷夫斯病的胸腺增生很少被发现,但并不罕见。通常在其他原因进行影像学检查时出现。尽管胸腺增生已成为一种更常见的疾病,但仍建议采用随访成像扫描和多学科团队(MDT)方法来区分这种良性转变和其他更重要的差异。这些步骤可能导致病人痛苦。因此,临床医生和放射科医生意识到胸腺增生与格雷夫斯病之间的相关性,可以在患者进行有限的进一步调查以排除鉴别并随后避免不必要的干预时,增加对最有可能诊断的保证。在这里,我们报告一例Graves病合并胸腺增生的年轻女性,她最初表现为非特异性眼部症状和偶发纵隔肿块,多个专业团队的参与对于排除胸腺瘤和重症肌无力(MG)很重要。学习要点:虽然Graves病合并胸腺增生并不罕见,但由于其他重要鉴别特征的放射学特征重叠,有时单次影像学扫描很难诊断;在某些情况下,需要进行MDT讨论和进一步的成像扫描以确认诊断。早期介入MDT有助于迅速排除更重要的鉴别,避免不必要的胸腺增生手术干预。了解Graves病与胸腺增生之间关系的临床医生可以通过解释治疗可能的解决方案来安抚患者,同时等待进一步的MDT讨论。为了排除Graves病患者眼部MG,通常需要额外的检查和神经病学转诊,因为血清抗体测试对眼部MG的敏感性低于全身性MG。
本文章由计算机程序翻译,如有差异,请以英文原文为准。

Multi-disciplinary collaboration in diagnosing thymic hyperplasia in a Graves' disease patient.

Multi-disciplinary collaboration in diagnosing thymic hyperplasia in a Graves' disease patient.

Multi-disciplinary collaboration in diagnosing thymic hyperplasia in a Graves' disease patient.

Multi-disciplinary collaboration in diagnosing thymic hyperplasia in a Graves' disease patient.

Summary: Thymic hyperplasia in Graves' disease is rarely identified due to the absence of routine imaging, but not uncommonly present. It is usually seen when imaging is performed for other reasons. Despite thymic hyperplasia becoming a more commonly identified occurrence, follow-up imaging scans and multi-disciplinary team (MDT) approach are still recommended to distinguish this benign transformation from more significant differentials. These steps can lead to distress in patients. Therefore, clinicians and radiologists being aware of this correlation between thymic hyperplasia and Graves' disease can add reassurances about the most likely diagnosis whilst the patient is undergoing limited further investigation to rule out differentials and subsequently, avoid unnecessary intervention. Here, we report a case of Graves' disease with thymic hyperplasia in a young woman who initially presented with non-specific eye symptoms and incidental mediastinal mass, in which involvement of multiple speciality teams was important to rule out thymoma and myasthenia gravis (MG).

Learning points: Although Graves' disease with thymic hyperplasia is not uncommon, it is sometimes difficult to diagnose with one imaging scan due to the overlap of radiological characteristics of other important differentials; an MDT discussion and further imaging scans are needed to confirm the diagnosis in some cases. Getting MDT involvement early would quickly assist in ruling out more significant differentials and avoid unnecessary surgical intervention by concluding thymic hyperplasia. Clinicians having knowledge on the relation between Graves' disease and thymic hyperplasia may reassure the patient by explaining the possible resolution with treatment, while awaiting further MDT discussion. To rule out ocular MG in Graves' disease patients, additional investigations and neurology referral are often required as the serum antibody tests are less sensitive in ocular MG than generalised MG.

求助全文
通过发布文献求助,成功后即可免费获取论文全文。 去求助
来源期刊
CiteScore
1.50
自引率
0.00%
发文量
142
审稿时长
9 weeks
期刊介绍: Endocrinology, Diabetes & Metabolism Case Reports publishes case reports on common and rare conditions in all areas of clinical endocrinology, diabetes and metabolism. Articles should include clear learning points which readers can use to inform medical education or clinical practice. The types of cases of interest to Endocrinology, Diabetes & Metabolism Case Reports include: -Insight into disease pathogenesis or mechanism of therapy - Novel diagnostic procedure - Novel treatment - Unique/unexpected symptoms or presentations of a disease - New disease or syndrome: presentations/diagnosis/management - Unusual effects of medical treatment - Error in diagnosis/pitfalls and caveats
×
引用
GB/T 7714-2015
复制
MLA
复制
APA
复制
导出至
BibTeX EndNote RefMan NoteFirst NoteExpress
×
提示
您的信息不完整,为了账户安全,请先补充。
现在去补充
×
提示
您因"违规操作"
具体请查看互助需知
我知道了
×
提示
确定
请完成安全验证×
copy
已复制链接
快去分享给好友吧!
我知道了
右上角分享
点击右上角分享
0
联系我们:info@booksci.cn Book学术提供免费学术资源搜索服务,方便国内外学者检索中英文文献。致力于提供最便捷和优质的服务体验。 Copyright © 2023 布克学术 All rights reserved.
京ICP备2023020795号-1
ghs 京公网安备 11010802042870号
Book学术文献互助
Book学术文献互助群
群 号:604180095
Book学术官方微信