侵袭性曲霉菌病致颈内动脉全闭塞的进行性脑梗死,经颞浅动脉-大脑中动脉旁路治疗一例罕见病例并文献复习。

Minje Jeon, Sung-Tae Kim, Suckyoon Lee, Jin Lee, Jung Hae Ko, Se-Young Pyo, Won-Hee Lee, Hangwoo Lee, Yeong Gyun Jeong
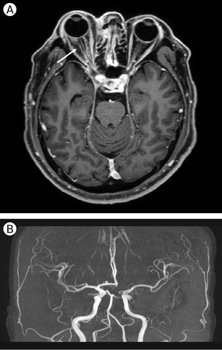
{"title":"侵袭性曲霉菌病致颈内动脉全闭塞的进行性脑梗死,经颞浅动脉-大脑中动脉旁路治疗一例罕见病例并文献复习。","authors":"Minje Jeon, Sung-Tae Kim, Suckyoon Lee, Jin Lee, Jung Hae Ko, Se-Young Pyo, Won-Hee Lee, Hangwoo Lee, Yeong Gyun Jeong","doi":"10.7461/jcen.2025.E2024.06.003","DOIUrl":null,"url":null,"abstract":"<p><p>Central nervous system (CNS) aspergillosis is a life-threatening infection primarily affecting immunocompromised patients and may lead to severe cerebral infarction through vascular invasion. However, there is limited data on the treatment options for aspergillosis-induced cerebral infarction especially surgical treatments such as superficial temporal artery (STA)-middle cerebral artery (MCA) bypass surgery. Herein, we present a case of cerebral infarction in a 59-year-old male with progressive right eye ptosis. Specifically, he had ipsilateral MCA stenosis originating from paranasal sinusitis due to invasive aspergillosis. After 3 months, the patient was readmitted due to worsening cerebral infarction and complete internal carotid artery (ICA) occlusion. Conservative treatment failed to improve cerebral perfusion, leading to gradual neurological decline. Consequently, STA-MCA bypass was performed to stabilise the patient. Postoperative imaging revealed a patent bypass graft and an enhanced cerebral perfusion. Although the patient experienced persistent left-sided hemiparesis, his overall neurological condition remained stable for 1 year, with a Glasgow Coma Scale score of 15. STA-MCA bypass should be considered a potential treatment option for patients with aspergillosis-induced vasculitis resulting in cerebral infarction secondary to total ICA occlusion.</p>","PeriodicalId":94072,"journal":{"name":"Journal of cerebrovascular and endovascular neurosurgery","volume":" ","pages":"261-270"},"PeriodicalIF":0.0000,"publicationDate":"2025-09-01","publicationTypes":"Journal Article","fieldsOfStudy":null,"isOpenAccess":false,"openAccessPdf":"https://www.ncbi.nlm.nih.gov/pmc/articles/PMC12488328/pdf/","citationCount":"0","resultStr":"{\"title\":\"Superficial temporal artery-middle cerebral artery bypass for progressive cerebral infarction in invasive aspergillosis-induced total occlusion of internal carotid artery: A rare case and literature review.\",\"authors\":\"Minje Jeon, Sung-Tae Kim, Suckyoon Lee, Jin Lee, Jung Hae Ko, Se-Young Pyo, Won-Hee Lee, Hangwoo Lee, Yeong Gyun Jeong\",\"doi\":\"10.7461/jcen.2025.E2024.06.003\",\"DOIUrl\":null,\"url\":null,\"abstract\":\"<p><p>Central nervous system (CNS) aspergillosis is a life-threatening infection primarily affecting immunocompromised patients and may lead to severe cerebral infarction through vascular invasion. However, there is limited data on the treatment options for aspergillosis-induced cerebral infarction especially surgical treatments such as superficial temporal artery (STA)-middle cerebral artery (MCA) bypass surgery. Herein, we present a case of cerebral infarction in a 59-year-old male with progressive right eye ptosis. Specifically, he had ipsilateral MCA stenosis originating from paranasal sinusitis due to invasive aspergillosis. After 3 months, the patient was readmitted due to worsening cerebral infarction and complete internal carotid artery (ICA) occlusion. Conservative treatment failed to improve cerebral perfusion, leading to gradual neurological decline. Consequently, STA-MCA bypass was performed to stabilise the patient. Postoperative imaging revealed a patent bypass graft and an enhanced cerebral perfusion. Although the patient experienced persistent left-sided hemiparesis, his overall neurological condition remained stable for 1 year, with a Glasgow Coma Scale score of 15. STA-MCA bypass should be considered a potential treatment option for patients with aspergillosis-induced vasculitis resulting in cerebral infarction secondary to total ICA occlusion.</p>\",\"PeriodicalId\":94072,\"journal\":{\"name\":\"Journal of cerebrovascular and endovascular neurosurgery\",\"volume\":\" \",\"pages\":\"261-270\"},\"PeriodicalIF\":0.0000,\"publicationDate\":\"2025-09-01\",\"publicationTypes\":\"Journal Article\",\"fieldsOfStudy\":null,\"isOpenAccess\":false,\"openAccessPdf\":\"https://www.ncbi.nlm.nih.gov/pmc/articles/PMC12488328/pdf/\",\"citationCount\":\"0\",\"resultStr\":null,\"platform\":\"Semanticscholar\",\"paperid\":null,\"PeriodicalName\":\"Journal of cerebrovascular and endovascular neurosurgery\",\"FirstCategoryId\":\"1085\",\"ListUrlMain\":\"https://doi.org/10.7461/jcen.2025.E2024.06.003\",\"RegionNum\":0,\"RegionCategory\":null,\"ArticlePicture\":[],\"TitleCN\":null,\"AbstractTextCN\":null,\"PMCID\":null,\"EPubDate\":\"2025/4/8 0:00:00\",\"PubModel\":\"Epub\",\"JCR\":\"\",\"JCRName\":\"\",\"Score\":null,\"Total\":0}","platform":"Semanticscholar","paperid":null,"PeriodicalName":"Journal of cerebrovascular and endovascular neurosurgery","FirstCategoryId":"1085","ListUrlMain":"https://doi.org/10.7461/jcen.2025.E2024.06.003","RegionNum":0,"RegionCategory":null,"ArticlePicture":[],"TitleCN":null,"AbstractTextCN":null,"PMCID":null,"EPubDate":"2025/4/8 0:00:00","PubModel":"Epub","JCR":"","JCRName":"","Score":null,"Total":0}
引用次数: 0

摘要

中枢神经系统(CNS)曲霉病是一种危及生命的感染,主要影响免疫功能低下患者,并可能通过血管侵入导致严重的脑梗死。然而,关于曲霉病诱发的脑梗死的治疗选择的数据有限,特别是手术治疗,如颞浅动脉(STA)-大脑中动脉(MCA)搭桥手术。在此,我们报告一个59岁男性右眼进行性上睑下垂的脑梗死病例。具体来说,他有同侧MCA狭窄,起源于侵袭性曲霉菌病引起的鼻窦炎。3个月后,患者因脑梗死恶化和颈内动脉完全闭塞再次入院。保守治疗未能改善脑灌注,导致神经功能逐渐衰退。因此,行STA-MCA搭桥以稳定患者。术后影像学显示通畅的旁路移植术和增强的脑灌注。虽然患者经历了持续的左侧偏瘫,但他的整体神经系统状况保持稳定1年,格拉斯哥昏迷评分为15分。对于曲霉菌病引起的血管炎导致脑梗死继发于ICA全闭塞的患者,STA-MCA旁路治疗应被视为一种潜在的治疗选择。
本文章由计算机程序翻译,如有差异,请以英文原文为准。

Superficial temporal artery-middle cerebral artery bypass for progressive cerebral infarction in invasive aspergillosis-induced total occlusion of internal carotid artery: A rare case and literature review.

Superficial temporal artery-middle cerebral artery bypass for progressive cerebral infarction in invasive aspergillosis-induced total occlusion of internal carotid artery: A rare case and literature review.

Superficial temporal artery-middle cerebral artery bypass for progressive cerebral infarction in invasive aspergillosis-induced total occlusion of internal carotid artery: A rare case and literature review.

Superficial temporal artery-middle cerebral artery bypass for progressive cerebral infarction in invasive aspergillosis-induced total occlusion of internal carotid artery: A rare case and literature review.

Central nervous system (CNS) aspergillosis is a life-threatening infection primarily affecting immunocompromised patients and may lead to severe cerebral infarction through vascular invasion. However, there is limited data on the treatment options for aspergillosis-induced cerebral infarction especially surgical treatments such as superficial temporal artery (STA)-middle cerebral artery (MCA) bypass surgery. Herein, we present a case of cerebral infarction in a 59-year-old male with progressive right eye ptosis. Specifically, he had ipsilateral MCA stenosis originating from paranasal sinusitis due to invasive aspergillosis. After 3 months, the patient was readmitted due to worsening cerebral infarction and complete internal carotid artery (ICA) occlusion. Conservative treatment failed to improve cerebral perfusion, leading to gradual neurological decline. Consequently, STA-MCA bypass was performed to stabilise the patient. Postoperative imaging revealed a patent bypass graft and an enhanced cerebral perfusion. Although the patient experienced persistent left-sided hemiparesis, his overall neurological condition remained stable for 1 year, with a Glasgow Coma Scale score of 15. STA-MCA bypass should be considered a potential treatment option for patients with aspergillosis-induced vasculitis resulting in cerebral infarction secondary to total ICA occlusion.

求助全文
通过发布文献求助,成功后即可免费获取论文全文。 去求助
来源期刊
CiteScore
1.10
自引率
0.00%
发文量
0
×
引用
GB/T 7714-2015
复制
MLA
复制
APA
复制
导出至
BibTeX EndNote RefMan NoteFirst NoteExpress
×
提示
您的信息不完整,为了账户安全,请先补充。
现在去补充
×
提示
您因"违规操作"
具体请查看互助需知
我知道了
×
提示
确定
请完成安全验证×
copy
已复制链接
快去分享给好友吧!
我知道了
右上角分享
点击右上角分享
0
联系我们:info@booksci.cn Book学术提供免费学术资源搜索服务,方便国内外学者检索中英文文献。致力于提供最便捷和优质的服务体验。 Copyright © 2023 布克学术 All rights reserved.
京ICP备2023020795号-1
ghs 京公网安备 11010802042870号
Book学术文献互助
Book学术文献互助群
群 号:604180095
Book学术官方微信