机器人尾状叶切除术:达芬奇Xi和SP系统的可行性和技术。

IF 1.8 4区 医学 Q3 SURGERY
Eun Jeong Jang, Kwan Woo Kim
{"title":"机器人尾状叶切除术:达芬奇Xi和SP系统的可行性和技术。","authors":"Eun Jeong Jang, Kwan Woo Kim","doi":"10.4293/JSLS.2024.00057","DOIUrl":null,"url":null,"abstract":"<p><strong>Background and objectives: </strong>Minimally invasive hepatectomies, including laparoscopy and robotics, offer potential advantages over traditional open surgery, such as reduced postoperative pain, lower complication rates, and improved oncological outcomes. However, resections involving the caudate lobe remain technically demanding owing to its complex anatomy and proximity to major vasculature. This study aimed to evaluate the feasibility and safety of robotic caudate lobectomy in a small-volume center using both multiport and single-port systems.</p><p><strong>Methods: </strong>From January 2023 to May 2024, 3 patients underwent robotic caudate lobectomy at Dong-A University Hospital. Two procedures utilized the Da Vinci Xi multiport system, whereas 1 employed the Da Vinci SP single-port system. The surgical techniques and outcomes were analyzed in detail.</p><p><strong>Results: </strong>The first patient, with a 6.8-cm hemangioma, underwent Spiegel lobectomy with the Xi system in 157 minutes and was discharged on day 3 without complications. The second patient, with a 2.5-cm hepatocellular carcinoma, underwent complete caudate lobectomy using the Xi system and was discharged on day 5. The last patient, with a 3-cm cystic lesion, underwent Spiegel lobectomy with the SP system and was discharged on day 6.</p><p><strong>Conclusion: </strong>Our findings indicate that robotic caudate lobectomy is feasible and safe even in small-volume centers. Advanced robotic systems enable minimally invasive approaches to challenging liver resections, potentially achieving outcomes comparable with those in larger institutions. Further studies with larger patient cohorts are required to validate these findings.</p>","PeriodicalId":17679,"journal":{"name":"JSLS : Journal of the Society of Laparoendoscopic Surgeons","volume":"29 1","pages":""},"PeriodicalIF":1.8000,"publicationDate":"2025-01-01","publicationTypes":"Journal Article","fieldsOfStudy":null,"isOpenAccess":false,"openAccessPdf":"https://www.ncbi.nlm.nih.gov/pmc/articles/PMC11973472/pdf/","citationCount":"0","resultStr":"{\"title\":\"Robotic Caudate Lobectomy: Feasibility and Techniques with Da Vinci Xi and SP Systems.\",\"authors\":\"Eun Jeong Jang, Kwan Woo Kim\",\"doi\":\"10.4293/JSLS.2024.00057\",\"DOIUrl\":null,\"url\":null,\"abstract\":\"<p><strong>Background and objectives: </strong>Minimally invasive hepatectomies, including laparoscopy and robotics, offer potential advantages over traditional open surgery, such as reduced postoperative pain, lower complication rates, and improved oncological outcomes. However, resections involving the caudate lobe remain technically demanding owing to its complex anatomy and proximity to major vasculature. This study aimed to evaluate the feasibility and safety of robotic caudate lobectomy in a small-volume center using both multiport and single-port systems.</p><p><strong>Methods: </strong>From January 2023 to May 2024, 3 patients underwent robotic caudate lobectomy at Dong-A University Hospital. Two procedures utilized the Da Vinci Xi multiport system, whereas 1 employed the Da Vinci SP single-port system. The surgical techniques and outcomes were analyzed in detail.</p><p><strong>Results: </strong>The first patient, with a 6.8-cm hemangioma, underwent Spiegel lobectomy with the Xi system in 157 minutes and was discharged on day 3 without complications. The second patient, with a 2.5-cm hepatocellular carcinoma, underwent complete caudate lobectomy using the Xi system and was discharged on day 5. The last patient, with a 3-cm cystic lesion, underwent Spiegel lobectomy with the SP system and was discharged on day 6.</p><p><strong>Conclusion: </strong>Our findings indicate that robotic caudate lobectomy is feasible and safe even in small-volume centers. Advanced robotic systems enable minimally invasive approaches to challenging liver resections, potentially achieving outcomes comparable with those in larger institutions. Further studies with larger patient cohorts are required to validate these findings.</p>\",\"PeriodicalId\":17679,\"journal\":{\"name\":\"JSLS : Journal of the Society of Laparoendoscopic Surgeons\",\"volume\":\"29 1\",\"pages\":\"\"},\"PeriodicalIF\":1.8000,\"publicationDate\":\"2025-01-01\",\"publicationTypes\":\"Journal Article\",\"fieldsOfStudy\":null,\"isOpenAccess\":false,\"openAccessPdf\":\"https://www.ncbi.nlm.nih.gov/pmc/articles/PMC11973472/pdf/\",\"citationCount\":\"0\",\"resultStr\":null,\"platform\":\"Semanticscholar\",\"paperid\":null,\"PeriodicalName\":\"JSLS : Journal of the Society of Laparoendoscopic Surgeons\",\"FirstCategoryId\":\"3\",\"ListUrlMain\":\"https://doi.org/10.4293/JSLS.2024.00057\",\"RegionNum\":4,\"RegionCategory\":\"医学\",\"ArticlePicture\":[],\"TitleCN\":null,\"AbstractTextCN\":null,\"PMCID\":null,\"EPubDate\":\"2025/4/7 0:00:00\",\"PubModel\":\"Epub\",\"JCR\":\"Q3\",\"JCRName\":\"SURGERY\",\"Score\":null,\"Total\":0}","platform":"Semanticscholar","paperid":null,"PeriodicalName":"JSLS : Journal of the Society of Laparoendoscopic Surgeons","FirstCategoryId":"3","ListUrlMain":"https://doi.org/10.4293/JSLS.2024.00057","RegionNum":4,"RegionCategory":"医学","ArticlePicture":[],"TitleCN":null,"AbstractTextCN":null,"PMCID":null,"EPubDate":"2025/4/7 0:00:00","PubModel":"Epub","JCR":"Q3","JCRName":"SURGERY","Score":null,"Total":0}
引用次数: 0

摘要

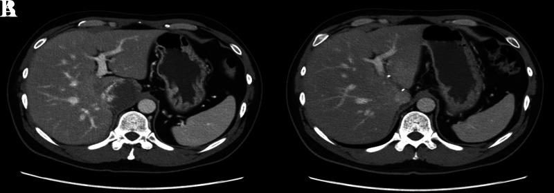
背景和目的:包括腹腔镜和机器人在内的微创肝切除术与传统开腹手术相比具有潜在优势,如减少术后疼痛、降低并发症发生率和改善肿瘤治疗效果。然而,由于尾状叶的解剖结构复杂且靠近主要血管,涉及尾状叶的切除术在技术上仍然要求很高。本研究旨在评估在一个小容量中心使用多端口和单端口系统进行机器人尾状叶切除术的可行性和安全性:方法:2023年1月至2024年5月,3名患者在东亚大学附属医院接受了机器人尾状叶切除术。其中两例使用了达芬奇Xi多孔口系统,一例使用了达芬奇SP单孔口系统。对手术技巧和结果进行了详细分析:第一例患者患有6.8厘米的血管瘤,使用Xi系统在157分钟内完成了Spiegel肺叶切除术,术后第3天出院,无并发症。第二名患者患有 2.5 厘米肝细胞癌,使用 Xi 系统进行了尾状叶全切除术,并于第 5 天出院。最后一名患者患有3厘米的囊性病变,使用SP系统进行了Spiegel肝叶切除术,并于第6天出院:我们的研究结果表明,机器人尾状叶切除术既可行又安全,即使是在小手术量中心也是如此。先进的机器人系统能以微创方式进行具有挑战性的肝脏切除术,可能取得与大型机构相当的疗效。要验证这些研究结果,还需要对更大的患者群体进行进一步研究。
本文章由计算机程序翻译,如有差异,请以英文原文为准。

Robotic Caudate Lobectomy: Feasibility and Techniques with Da Vinci Xi and SP Systems.

Robotic Caudate Lobectomy: Feasibility and Techniques with Da Vinci Xi and SP Systems.

Robotic Caudate Lobectomy: Feasibility and Techniques with Da Vinci Xi and SP Systems.

Robotic Caudate Lobectomy: Feasibility and Techniques with Da Vinci Xi and SP Systems.

Background and objectives: Minimally invasive hepatectomies, including laparoscopy and robotics, offer potential advantages over traditional open surgery, such as reduced postoperative pain, lower complication rates, and improved oncological outcomes. However, resections involving the caudate lobe remain technically demanding owing to its complex anatomy and proximity to major vasculature. This study aimed to evaluate the feasibility and safety of robotic caudate lobectomy in a small-volume center using both multiport and single-port systems.

Methods: From January 2023 to May 2024, 3 patients underwent robotic caudate lobectomy at Dong-A University Hospital. Two procedures utilized the Da Vinci Xi multiport system, whereas 1 employed the Da Vinci SP single-port system. The surgical techniques and outcomes were analyzed in detail.

Results: The first patient, with a 6.8-cm hemangioma, underwent Spiegel lobectomy with the Xi system in 157 minutes and was discharged on day 3 without complications. The second patient, with a 2.5-cm hepatocellular carcinoma, underwent complete caudate lobectomy using the Xi system and was discharged on day 5. The last patient, with a 3-cm cystic lesion, underwent Spiegel lobectomy with the SP system and was discharged on day 6.

Conclusion: Our findings indicate that robotic caudate lobectomy is feasible and safe even in small-volume centers. Advanced robotic systems enable minimally invasive approaches to challenging liver resections, potentially achieving outcomes comparable with those in larger institutions. Further studies with larger patient cohorts are required to validate these findings.

求助全文
通过发布文献求助,成功后即可免费获取论文全文。 去求助
来源期刊
CiteScore
2.40
自引率
0.00%
发文量
69
审稿时长
4-8 weeks
期刊介绍: JSLS, Journal of the Society of Laparoscopic & Robotic Surgeons publishes original scientific articles on basic science and technical topics in all the fields involved with laparoscopic, robotic, and minimally invasive surgery. CRSLS, MIS Case Reports from SLS is dedicated to the publication of Case Reports in the field of minimally invasive surgery. The journals seek to advance our understandings and practice of minimally invasive, image-guided surgery by providing a forum for all relevant disciplines and by promoting the exchange of information and ideas across specialties.
×
引用
GB/T 7714-2015
复制
MLA
复制
APA
复制
导出至
BibTeX EndNote RefMan NoteFirst NoteExpress
×
提示
您的信息不完整,为了账户安全,请先补充。
现在去补充
×
提示
您因"违规操作"
具体请查看互助需知
我知道了
×
提示
确定
请完成安全验证×
copy
已复制链接
快去分享给好友吧!
我知道了
右上角分享
点击右上角分享
0
联系我们:info@booksci.cn Book学术提供免费学术资源搜索服务,方便国内外学者检索中英文文献。致力于提供最便捷和优质的服务体验。 Copyright © 2023 布克学术 All rights reserved.
京ICP备2023020795号-1
ghs 京公网安备 11010802042870号
Book学术文献互助
Book学术文献互助群
群 号:604180095
Book学术官方微信