胸腺醌通过平衡氧化还原状态、调节Bax/Bcl-2/caspase-3凋亡途径和NF-κB信号转导,减轻双氯芬酸诱导的雄性Wistar大鼠肝肾毒性。

IF 2.1 Q3 CHEMISTRY, MEDICINAL
Research in Pharmaceutical Sciences Pub Date : 2025-02-20 eCollection Date: 2025-02-01 DOI:10.4103/RPS.RPS_141_24
Amir Safi, Shakila Mohammadi, Mina Emami, Alireza Radaei, Ali Kalantari-Hesari, Ali Nouri, Mohammad Rahimi-Madiseh, Reza Ahmadi
{"title":"胸腺醌通过平衡氧化还原状态、调节Bax/Bcl-2/caspase-3凋亡途径和NF-κB信号转导,减轻双氯芬酸诱导的雄性Wistar大鼠肝肾毒性。","authors":"Amir Safi, Shakila Mohammadi, Mina Emami, Alireza Radaei, Ali Kalantari-Hesari, Ali Nouri, Mohammad Rahimi-Madiseh, Reza Ahmadi","doi":"10.4103/RPS.RPS_141_24","DOIUrl":null,"url":null,"abstract":"<p><strong>Background and purpose: </strong>Diclofenac (DF), a widely used non-steroidal anti-inflammatory drug, can induce hepatotoxicity and nephrotoxicity. This study investigated the protective effects of thymoquinone (TQ), a bioactive compound from <i>Nigella sativa</i>, against DF-induced organ damage in rats.</p><p><strong>Experimental approach: </strong>Forty-eight male rats were divided into six groups (8 each) and treated orally for seven days as follows: group 1 (control): normal saline; group 2: DF (50 mg/kg); group 3: DF (50 mg/kg) + silymarin (50 mg/kg); groups 4-6: DF (50 mg/kg) + TQ at 10, 20, or 40 mg/kg, respectively. Serum biochemical parameters, hepatorenal oxidative stress markers, pro-inflammatory cytokines, and apoptosis-related genes were assessed. Histopathological examinations of liver and kidney tissues were also performed.</p><p><strong>Findings/results: </strong>DF administration induced significant liver and kidney damage, evidenced by elevated serum biochemical markers, increased oxidative stress, inflammation, apoptosis-related gene expression, and histopathological alterations. TQ treatment, particularly at the highest dose (40 mg/kg) effectively attenuated these changes. TQ improved liver and kidney function, reduced oxidative stress markers, suppressed inflammation, modulated apoptosis-related gene expression, and ameliorated histopathological damage.</p><p><strong>Conclusion and implication: </strong>TQ exerted significant protective effects against DF-induced hepatorenal toxicity in rats, potentially through its antioxidant, anti-inflammatory, and anti-apoptotic properties. These findings suggest that TQ may be a promising therapeutic agent for mitigating DF-induced organ damage. However, further research, including clinical trials, is needed to confirm its efficacy and safety in humans.</p>","PeriodicalId":21075,"journal":{"name":"Research in Pharmaceutical Sciences","volume":"20 1","pages":"95-108"},"PeriodicalIF":2.1000,"publicationDate":"2025-02-20","publicationTypes":"Journal Article","fieldsOfStudy":null,"isOpenAccess":false,"openAccessPdf":"https://www.ncbi.nlm.nih.gov/pmc/articles/PMC11972026/pdf/","citationCount":"0","resultStr":"{\"title\":\"Thymoquinone mitigates diclofenac-induced hepatorenal toxicity in male Wistar rats by balancing the redox state and modulating Bax/Bcl-2/caspase-3 apoptotic pathways and NF-κB signaling.\",\"authors\":\"Amir Safi, Shakila Mohammadi, Mina Emami, Alireza Radaei, Ali Kalantari-Hesari, Ali Nouri, Mohammad Rahimi-Madiseh, Reza Ahmadi\",\"doi\":\"10.4103/RPS.RPS_141_24\",\"DOIUrl\":null,\"url\":null,\"abstract\":\"<p><strong>Background and purpose: </strong>Diclofenac (DF), a widely used non-steroidal anti-inflammatory drug, can induce hepatotoxicity and nephrotoxicity. This study investigated the protective effects of thymoquinone (TQ), a bioactive compound from <i>Nigella sativa</i>, against DF-induced organ damage in rats.</p><p><strong>Experimental approach: </strong>Forty-eight male rats were divided into six groups (8 each) and treated orally for seven days as follows: group 1 (control): normal saline; group 2: DF (50 mg/kg); group 3: DF (50 mg/kg) + silymarin (50 mg/kg); groups 4-6: DF (50 mg/kg) + TQ at 10, 20, or 40 mg/kg, respectively. Serum biochemical parameters, hepatorenal oxidative stress markers, pro-inflammatory cytokines, and apoptosis-related genes were assessed. Histopathological examinations of liver and kidney tissues were also performed.</p><p><strong>Findings/results: </strong>DF administration induced significant liver and kidney damage, evidenced by elevated serum biochemical markers, increased oxidative stress, inflammation, apoptosis-related gene expression, and histopathological alterations. TQ treatment, particularly at the highest dose (40 mg/kg) effectively attenuated these changes. TQ improved liver and kidney function, reduced oxidative stress markers, suppressed inflammation, modulated apoptosis-related gene expression, and ameliorated histopathological damage.</p><p><strong>Conclusion and implication: </strong>TQ exerted significant protective effects against DF-induced hepatorenal toxicity in rats, potentially through its antioxidant, anti-inflammatory, and anti-apoptotic properties. These findings suggest that TQ may be a promising therapeutic agent for mitigating DF-induced organ damage. However, further research, including clinical trials, is needed to confirm its efficacy and safety in humans.</p>\",\"PeriodicalId\":21075,\"journal\":{\"name\":\"Research in Pharmaceutical Sciences\",\"volume\":\"20 1\",\"pages\":\"95-108\"},\"PeriodicalIF\":2.1000,\"publicationDate\":\"2025-02-20\",\"publicationTypes\":\"Journal Article\",\"fieldsOfStudy\":null,\"isOpenAccess\":false,\"openAccessPdf\":\"https://www.ncbi.nlm.nih.gov/pmc/articles/PMC11972026/pdf/\",\"citationCount\":\"0\",\"resultStr\":null,\"platform\":\"Semanticscholar\",\"paperid\":null,\"PeriodicalName\":\"Research in Pharmaceutical Sciences\",\"FirstCategoryId\":\"1085\",\"ListUrlMain\":\"https://doi.org/10.4103/RPS.RPS_141_24\",\"RegionNum\":0,\"RegionCategory\":null,\"ArticlePicture\":[],\"TitleCN\":null,\"AbstractTextCN\":null,\"PMCID\":null,\"EPubDate\":\"2025/2/1 0:00:00\",\"PubModel\":\"eCollection\",\"JCR\":\"Q3\",\"JCRName\":\"CHEMISTRY, MEDICINAL\",\"Score\":null,\"Total\":0}","platform":"Semanticscholar","paperid":null,"PeriodicalName":"Research in Pharmaceutical Sciences","FirstCategoryId":"1085","ListUrlMain":"https://doi.org/10.4103/RPS.RPS_141_24","RegionNum":0,"RegionCategory":null,"ArticlePicture":[],"TitleCN":null,"AbstractTextCN":null,"PMCID":null,"EPubDate":"2025/2/1 0:00:00","PubModel":"eCollection","JCR":"Q3","JCRName":"CHEMISTRY, MEDICINAL","Score":null,"Total":0}
引用次数: 0

摘要

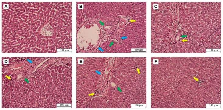
背景和目的:双氯芬酸(DF)是一种广泛使用的非甾体抗炎药,可诱发肝毒性和肾毒性。本研究调查了胸腺醌(TQ)对 DF 诱导的大鼠器官损伤的保护作用:实验方法:将 48 只雄性大鼠分为 6 组(每组 8 只),按以下方法口服治疗 7 天:第 1 组(对照组):生理盐水;第 2 组:DF(50 mg/kg);第 3 组:DF(50 mg/kg);第 4 组:DF(50 mg/kg):DF(50 毫克/千克);第 3 组:DF(50 毫克/千克)+ 水飞蓟素(50 毫克/千克);第 4-6 组:DF(50 毫克/千克)+ TQ,剂量分别为 10、20 或 40 毫克/千克。对血清生化指标、肝肾氧化应激指标、促炎细胞因子和细胞凋亡相关基因进行了评估。还对肝脏和肾脏组织进行了组织病理学检查:DF 给药诱发了严重的肝肾损伤,表现为血清生化指标升高、氧化应激增加、炎症、细胞凋亡相关基因表达和组织病理学改变。TQ 治疗,尤其是最高剂量(40 毫克/千克),可有效缓解这些变化。TQ 改善了肝肾功能,降低了氧化应激指标,抑制了炎症,调节了细胞凋亡相关基因的表达,并改善了组织病理学损伤:TQ对DF诱导的大鼠肝肾毒性具有明显的保护作用,这可能是通过其抗氧化、抗炎和抗细胞凋亡的特性实现的。这些研究结果表明,TQ可能是减轻DF诱导的器官损伤的一种有前途的治疗药物。不过,还需要进一步的研究,包括临床试验,以确认其对人体的有效性和安全性。
本文章由计算机程序翻译,如有差异,请以英文原文为准。

Thymoquinone mitigates diclofenac-induced hepatorenal toxicity in male Wistar rats by balancing the redox state and modulating Bax/Bcl-2/caspase-3 apoptotic pathways and NF-κB signaling.

Thymoquinone mitigates diclofenac-induced hepatorenal toxicity in male Wistar rats by balancing the redox state and modulating Bax/Bcl-2/caspase-3 apoptotic pathways and NF-κB signaling.

Thymoquinone mitigates diclofenac-induced hepatorenal toxicity in male Wistar rats by balancing the redox state and modulating Bax/Bcl-2/caspase-3 apoptotic pathways and NF-κB signaling.

Thymoquinone mitigates diclofenac-induced hepatorenal toxicity in male Wistar rats by balancing the redox state and modulating Bax/Bcl-2/caspase-3 apoptotic pathways and NF-κB signaling.

Background and purpose: Diclofenac (DF), a widely used non-steroidal anti-inflammatory drug, can induce hepatotoxicity and nephrotoxicity. This study investigated the protective effects of thymoquinone (TQ), a bioactive compound from Nigella sativa, against DF-induced organ damage in rats.

Experimental approach: Forty-eight male rats were divided into six groups (8 each) and treated orally for seven days as follows: group 1 (control): normal saline; group 2: DF (50 mg/kg); group 3: DF (50 mg/kg) + silymarin (50 mg/kg); groups 4-6: DF (50 mg/kg) + TQ at 10, 20, or 40 mg/kg, respectively. Serum biochemical parameters, hepatorenal oxidative stress markers, pro-inflammatory cytokines, and apoptosis-related genes were assessed. Histopathological examinations of liver and kidney tissues were also performed.

Findings/results: DF administration induced significant liver and kidney damage, evidenced by elevated serum biochemical markers, increased oxidative stress, inflammation, apoptosis-related gene expression, and histopathological alterations. TQ treatment, particularly at the highest dose (40 mg/kg) effectively attenuated these changes. TQ improved liver and kidney function, reduced oxidative stress markers, suppressed inflammation, modulated apoptosis-related gene expression, and ameliorated histopathological damage.

Conclusion and implication: TQ exerted significant protective effects against DF-induced hepatorenal toxicity in rats, potentially through its antioxidant, anti-inflammatory, and anti-apoptotic properties. These findings suggest that TQ may be a promising therapeutic agent for mitigating DF-induced organ damage. However, further research, including clinical trials, is needed to confirm its efficacy and safety in humans.

求助全文
通过发布文献求助,成功后即可免费获取论文全文。 去求助
来源期刊
Research in Pharmaceutical Sciences
Research in Pharmaceutical Sciences CHEMISTRY, MEDICINAL-
CiteScore
3.60
自引率
19.00%
发文量
50
审稿时长
34 weeks
期刊介绍: Research in Pharmaceutical Sciences (RPS) is included in Thomson Reuters ESCI Web of Science (searchable at WoS master journal list), indexed with PubMed and PubMed Central and abstracted in the Elsevier Bibliographic Databases. Databases include Scopus, EMBASE, EMCare, EMBiology and Elsevier BIOBASE. It is also indexed in several specialized databases including Scientific Information Database (SID), Google Scholar, Iran Medex, Magiran, Index Copernicus (IC) and Islamic World Science Citation Center (ISC).
×
引用
GB/T 7714-2015
复制
MLA
复制
APA
复制
导出至
BibTeX EndNote RefMan NoteFirst NoteExpress
×
提示
您的信息不完整,为了账户安全,请先补充。
现在去补充
×
提示
您因"违规操作"
具体请查看互助需知
我知道了
×
提示
确定
请完成安全验证×
copy
已复制链接
快去分享给好友吧!
我知道了
右上角分享
点击右上角分享
0
联系我们:info@booksci.cn Book学术提供免费学术资源搜索服务,方便国内外学者检索中英文文献。致力于提供最便捷和优质的服务体验。 Copyright © 2023 布克学术 All rights reserved.
京ICP备2023020795号-1
ghs 京公网安备 11010802042870号
Book学术文献互助
Book学术文献互助群
群 号:604180095
Book学术官方微信