使用基于人工智能的图像退化补偿提高儿童和新生儿放射成像的图像质量。

IF 2.1 4区 医学
Japanese Journal of Radiology Pub Date : 2025-08-01 Epub Date: 2025-04-07 DOI:10.1007/s11604-025-01775-9
So Ode, Atsuko Fujikawa, Atsushi Hiroishi, Yuki Saito, Takao Tanuma, Daigo Suzuki, Yuichi Sasaki, Hidefumi Mimura
{"title":"使用基于人工智能的图像退化补偿提高儿童和新生儿放射成像的图像质量。","authors":"So Ode, Atsuko Fujikawa, Atsushi Hiroishi, Yuki Saito, Takao Tanuma, Daigo Suzuki, Yuichi Sasaki, Hidefumi Mimura","doi":"10.1007/s11604-025-01775-9","DOIUrl":null,"url":null,"abstract":"<p><strong>Purpose: </strong>To evaluate the impact of an AI-based, noise reduction technique for compensation of image degradation on pediatric and neonatal chest and abdomen radiography using a visual grading analysis.</p><p><strong>Materials and methods: </strong>Forty-six consecutive cases of pediatric and neonatal chest X-rays were identified for the quality evaluation. The images underwent AI-based noise reduction processing (Intelligent NR, Canon Inc.). All the images were randomized, and were evaluated from 1 to 4 for image quality by three board-certified radiologists in consensus. A score of \"1\" indicated the desired anatomy or features were not seen, \"2\" indicated quality between one and three, \"3\" indicated adequate quality, and \"4\" indicated higher than required image quality. A Wilcoxon signed rank test was used to assess the significant difference between images from conventional noise reduction versus those from the AI-based noise reduction.</p><p><strong>Results: </strong>The images processed with the INR(Intelligent NR) noise reduction had a higher image quality than the conventionally processed images, with a significant difference between the two groups (p < 0.05).</p><p><strong>Conclusion: </strong>The AI-based noise reduction technique improved the image quality of pediatric and neonatal chest and abdominal radiography significantly.</p>","PeriodicalId":14691,"journal":{"name":"Japanese Journal of Radiology","volume":" ","pages":"1365-1371"},"PeriodicalIF":2.1000,"publicationDate":"2025-08-01","publicationTypes":"Journal Article","fieldsOfStudy":null,"isOpenAccess":false,"openAccessPdf":"https://www.ncbi.nlm.nih.gov/pmc/articles/PMC12287219/pdf/","citationCount":"0","resultStr":"{\"title\":\"Improving image quality on pediatric and neonatal radiography using AI-based compensation for image degradation.\",\"authors\":\"So Ode, Atsuko Fujikawa, Atsushi Hiroishi, Yuki Saito, Takao Tanuma, Daigo Suzuki, Yuichi Sasaki, Hidefumi Mimura\",\"doi\":\"10.1007/s11604-025-01775-9\",\"DOIUrl\":null,\"url\":null,\"abstract\":\"<p><strong>Purpose: </strong>To evaluate the impact of an AI-based, noise reduction technique for compensation of image degradation on pediatric and neonatal chest and abdomen radiography using a visual grading analysis.</p><p><strong>Materials and methods: </strong>Forty-six consecutive cases of pediatric and neonatal chest X-rays were identified for the quality evaluation. The images underwent AI-based noise reduction processing (Intelligent NR, Canon Inc.). All the images were randomized, and were evaluated from 1 to 4 for image quality by three board-certified radiologists in consensus. A score of \\\"1\\\" indicated the desired anatomy or features were not seen, \\\"2\\\" indicated quality between one and three, \\\"3\\\" indicated adequate quality, and \\\"4\\\" indicated higher than required image quality. A Wilcoxon signed rank test was used to assess the significant difference between images from conventional noise reduction versus those from the AI-based noise reduction.</p><p><strong>Results: </strong>The images processed with the INR(Intelligent NR) noise reduction had a higher image quality than the conventionally processed images, with a significant difference between the two groups (p < 0.05).</p><p><strong>Conclusion: </strong>The AI-based noise reduction technique improved the image quality of pediatric and neonatal chest and abdominal radiography significantly.</p>\",\"PeriodicalId\":14691,\"journal\":{\"name\":\"Japanese Journal of Radiology\",\"volume\":\" \",\"pages\":\"1365-1371\"},\"PeriodicalIF\":2.1000,\"publicationDate\":\"2025-08-01\",\"publicationTypes\":\"Journal Article\",\"fieldsOfStudy\":null,\"isOpenAccess\":false,\"openAccessPdf\":\"https://www.ncbi.nlm.nih.gov/pmc/articles/PMC12287219/pdf/\",\"citationCount\":\"0\",\"resultStr\":null,\"platform\":\"Semanticscholar\",\"paperid\":null,\"PeriodicalName\":\"Japanese Journal of Radiology\",\"FirstCategoryId\":\"3\",\"ListUrlMain\":\"https://doi.org/10.1007/s11604-025-01775-9\",\"RegionNum\":4,\"RegionCategory\":\"医学\",\"ArticlePicture\":[],\"TitleCN\":null,\"AbstractTextCN\":null,\"PMCID\":null,\"EPubDate\":\"2025/4/7 0:00:00\",\"PubModel\":\"Epub\",\"JCR\":\"\",\"JCRName\":\"\",\"Score\":null,\"Total\":0}","platform":"Semanticscholar","paperid":null,"PeriodicalName":"Japanese Journal of Radiology","FirstCategoryId":"3","ListUrlMain":"https://doi.org/10.1007/s11604-025-01775-9","RegionNum":4,"RegionCategory":"医学","ArticlePicture":[],"TitleCN":null,"AbstractTextCN":null,"PMCID":null,"EPubDate":"2025/4/7 0:00:00","PubModel":"Epub","JCR":"","JCRName":"","Score":null,"Total":0}
引用次数: 0

摘要

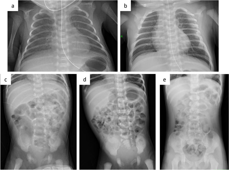
目的:通过视觉分级分析,评估基于人工智能的降噪技术对儿童和新生儿胸腹x线摄影图像退化的补偿影响。材料与方法:选取连续46例儿童和新生儿胸部x线片进行质量评价。图像进行了基于人工智能的降噪处理(智能NR,佳能公司)。所有的图像都是随机的,并由三名委员会认证的放射科医生一致评估从1到4的图像质量。“1”表示没有看到所需的解剖结构或特征,“2”表示质量在1到3之间,“3”表示质量足够,“4”表示高于所需的图像质量。使用Wilcoxon符号秩检验来评估传统降噪图像与基于人工智能的降噪图像之间的显著差异。结果:经过INR(Intelligent NR)降噪处理后的图像质量高于常规处理后的图像质量,两组图像质量差异有统计学意义(p)。结论:基于人工智能的降噪技术可显著提高儿童和新生儿胸腹x线片的图像质量。
本文章由计算机程序翻译,如有差异,请以英文原文为准。

Improving image quality on pediatric and neonatal radiography using AI-based compensation for image degradation.

Improving image quality on pediatric and neonatal radiography using AI-based compensation for image degradation.

Improving image quality on pediatric and neonatal radiography using AI-based compensation for image degradation.

Improving image quality on pediatric and neonatal radiography using AI-based compensation for image degradation.

Purpose: To evaluate the impact of an AI-based, noise reduction technique for compensation of image degradation on pediatric and neonatal chest and abdomen radiography using a visual grading analysis.

Materials and methods: Forty-six consecutive cases of pediatric and neonatal chest X-rays were identified for the quality evaluation. The images underwent AI-based noise reduction processing (Intelligent NR, Canon Inc.). All the images were randomized, and were evaluated from 1 to 4 for image quality by three board-certified radiologists in consensus. A score of "1" indicated the desired anatomy or features were not seen, "2" indicated quality between one and three, "3" indicated adequate quality, and "4" indicated higher than required image quality. A Wilcoxon signed rank test was used to assess the significant difference between images from conventional noise reduction versus those from the AI-based noise reduction.

Results: The images processed with the INR(Intelligent NR) noise reduction had a higher image quality than the conventionally processed images, with a significant difference between the two groups (p < 0.05).

Conclusion: The AI-based noise reduction technique improved the image quality of pediatric and neonatal chest and abdominal radiography significantly.

求助全文
通过发布文献求助,成功后即可免费获取论文全文。 去求助
来源期刊
Japanese Journal of Radiology
Japanese Journal of Radiology Medicine-Radiology, Nuclear Medicine and Imaging
自引率
4.80%
发文量
133
期刊介绍: Japanese Journal of Radiology is a peer-reviewed journal, officially published by the Japan Radiological Society. The main purpose of the journal is to provide a forum for the publication of papers documenting recent advances and new developments in the field of radiology in medicine and biology. The scope of Japanese Journal of Radiology encompasses but is not restricted to diagnostic radiology, interventional radiology, radiation oncology, nuclear medicine, radiation physics, and radiation biology. Additionally, the journal covers technical and industrial innovations. The journal welcomes original articles, technical notes, review articles, pictorial essays and letters to the editor. The journal also provides announcements from the boards and the committees of the society. Membership in the Japan Radiological Society is not a prerequisite for submission. Contributions are welcomed from all parts of the world.
×
引用
GB/T 7714-2015
复制
MLA
复制
APA
复制
导出至
BibTeX EndNote RefMan NoteFirst NoteExpress
×
提示
您的信息不完整,为了账户安全,请先补充。
现在去补充
×
提示
您因"违规操作"
具体请查看互助需知
我知道了
×
提示
确定
请完成安全验证×
copy
已复制链接
快去分享给好友吧!
我知道了
右上角分享
点击右上角分享
0
联系我们:info@booksci.cn Book学术提供免费学术资源搜索服务,方便国内外学者检索中英文文献。致力于提供最便捷和优质的服务体验。 Copyright © 2023 布克学术 All rights reserved.
京ICP备2023020795号-1
ghs 京公网安备 11010802042870号
Book学术文献互助
Book学术文献互助群
群 号:604180095
Book学术官方微信