2,8-二羟基腺嘌呤(DHA)结晶肾病1例报告。

Clinical nephrology. Case studies Pub Date : 2025-03-25 eCollection Date: 2025-01-01 DOI:10.5414/CNCS111590
Jawad Iqbal Rather, Mukaresh Fatima, Muzafar Maqsood Wani, Imran Khan, Muzamil Ahmad Wani, Amir Farooq
{"title":"2,8-二羟基腺嘌呤(DHA)结晶肾病1例报告。","authors":"Jawad Iqbal Rather, Mukaresh Fatima, Muzafar Maqsood Wani, Imran Khan, Muzamil Ahmad Wani, Amir Farooq","doi":"10.5414/CNCS111590","DOIUrl":null,"url":null,"abstract":"<p><p>Adenine phosphoribosyltransferase (APRT) deficiency is a rare autosomal disorder with extremely variable presentation. The disease spectrum ranges from completely asymptomatic to 2,8-dihydroxyadenine (DHA) stones to massive deposition of DHA crystals leading to DHA crystalline nephropathy. We report a case of a 45-year-old woman who presented with acute kidney injury and recurrent vomiting. Kidney biopsy revealed precipitation of brown crystals in tubular lumina with acute tubular injury with characteristic birefringence on polarizing light, confirming the unexpected diagnosis of DHA crystalline nephropathy. She was started on a xanthine oxidase inhibitor which resulted in an improvement of kidney function. This case highlights the fact that APRT deficiency can have varied presentations and is an important hereditary cause of crystalline nephropathy.</p>","PeriodicalId":510898,"journal":{"name":"Clinical nephrology. Case studies","volume":"13 ","pages":"37-40"},"PeriodicalIF":0.0000,"publicationDate":"2025-03-25","publicationTypes":"Journal Article","fieldsOfStudy":null,"isOpenAccess":false,"openAccessPdf":"https://www.ncbi.nlm.nih.gov/pmc/articles/PMC11966641/pdf/","citationCount":"0","resultStr":"{\"title\":\"2,8-dihyroxyadenine (DHA) crystalline nephropathy: A case report.\",\"authors\":\"Jawad Iqbal Rather, Mukaresh Fatima, Muzafar Maqsood Wani, Imran Khan, Muzamil Ahmad Wani, Amir Farooq\",\"doi\":\"10.5414/CNCS111590\",\"DOIUrl\":null,\"url\":null,\"abstract\":\"<p><p>Adenine phosphoribosyltransferase (APRT) deficiency is a rare autosomal disorder with extremely variable presentation. The disease spectrum ranges from completely asymptomatic to 2,8-dihydroxyadenine (DHA) stones to massive deposition of DHA crystals leading to DHA crystalline nephropathy. We report a case of a 45-year-old woman who presented with acute kidney injury and recurrent vomiting. Kidney biopsy revealed precipitation of brown crystals in tubular lumina with acute tubular injury with characteristic birefringence on polarizing light, confirming the unexpected diagnosis of DHA crystalline nephropathy. She was started on a xanthine oxidase inhibitor which resulted in an improvement of kidney function. This case highlights the fact that APRT deficiency can have varied presentations and is an important hereditary cause of crystalline nephropathy.</p>\",\"PeriodicalId\":510898,\"journal\":{\"name\":\"Clinical nephrology. Case studies\",\"volume\":\"13 \",\"pages\":\"37-40\"},\"PeriodicalIF\":0.0000,\"publicationDate\":\"2025-03-25\",\"publicationTypes\":\"Journal Article\",\"fieldsOfStudy\":null,\"isOpenAccess\":false,\"openAccessPdf\":\"https://www.ncbi.nlm.nih.gov/pmc/articles/PMC11966641/pdf/\",\"citationCount\":\"0\",\"resultStr\":null,\"platform\":\"Semanticscholar\",\"paperid\":null,\"PeriodicalName\":\"Clinical nephrology. Case studies\",\"FirstCategoryId\":\"1085\",\"ListUrlMain\":\"https://doi.org/10.5414/CNCS111590\",\"RegionNum\":0,\"RegionCategory\":null,\"ArticlePicture\":[],\"TitleCN\":null,\"AbstractTextCN\":null,\"PMCID\":null,\"EPubDate\":\"2025/1/1 0:00:00\",\"PubModel\":\"eCollection\",\"JCR\":\"\",\"JCRName\":\"\",\"Score\":null,\"Total\":0}","platform":"Semanticscholar","paperid":null,"PeriodicalName":"Clinical nephrology. Case studies","FirstCategoryId":"1085","ListUrlMain":"https://doi.org/10.5414/CNCS111590","RegionNum":0,"RegionCategory":null,"ArticlePicture":[],"TitleCN":null,"AbstractTextCN":null,"PMCID":null,"EPubDate":"2025/1/1 0:00:00","PubModel":"eCollection","JCR":"","JCRName":"","Score":null,"Total":0}
引用次数: 0

摘要

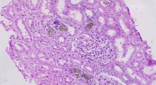
腺嘌呤磷酸核糖基转移酶(APRT)缺乏症是一种罕见的常染色体疾病,具有非常不同的表现。疾病范围从完全无症状到2,8-二羟基腺嘌呤(DHA)结石到大量沉积DHA晶体导致DHA结晶肾病。我们报告一例45岁的妇女谁提出了急性肾损伤和反复呕吐。肾活检显示急性肾小管损伤肾小管腔内棕色结晶沉淀,偏振光双折射特征,证实了DHA结晶肾病的意外诊断。她开始服用黄嘌呤氧化酶抑制剂,结果肾功能有所改善。本病例强调了一个事实,即APRT缺乏可以有多种表现,并且是结晶性肾病的重要遗传原因。
本文章由计算机程序翻译,如有差异,请以英文原文为准。

2,8-dihyroxyadenine (DHA) crystalline nephropathy: A case report.

2,8-dihyroxyadenine (DHA) crystalline nephropathy: A case report.

Adenine phosphoribosyltransferase (APRT) deficiency is a rare autosomal disorder with extremely variable presentation. The disease spectrum ranges from completely asymptomatic to 2,8-dihydroxyadenine (DHA) stones to massive deposition of DHA crystals leading to DHA crystalline nephropathy. We report a case of a 45-year-old woman who presented with acute kidney injury and recurrent vomiting. Kidney biopsy revealed precipitation of brown crystals in tubular lumina with acute tubular injury with characteristic birefringence on polarizing light, confirming the unexpected diagnosis of DHA crystalline nephropathy. She was started on a xanthine oxidase inhibitor which resulted in an improvement of kidney function. This case highlights the fact that APRT deficiency can have varied presentations and is an important hereditary cause of crystalline nephropathy.

求助全文
通过发布文献求助,成功后即可免费获取论文全文。 去求助
来源期刊
自引率
0.00%
发文量
0
×
引用
GB/T 7714-2015
复制
MLA
复制
APA
复制
导出至
BibTeX EndNote RefMan NoteFirst NoteExpress
×
提示
您的信息不完整,为了账户安全,请先补充。
现在去补充
×
提示
您因"违规操作"
具体请查看互助需知
我知道了
×
提示
确定
请完成安全验证×
copy
已复制链接
快去分享给好友吧!
我知道了
右上角分享
点击右上角分享
0
联系我们:info@booksci.cn Book学术提供免费学术资源搜索服务,方便国内外学者检索中英文文献。致力于提供最便捷和优质的服务体验。 Copyright © 2023 布克学术 All rights reserved.
京ICP备2023020795号-1
ghs 京公网安备 11010802042870号
Book学术文献互助
Book学术文献互助群
群 号:604180095
Book学术官方微信