ao33c股骨远端骨折双钢板与钉钢板:治疗选择影响膝关节对齐、临床结果和生活质量——一项多中心研究

IF 3.7 2区 医学 Q1 ORTHOPEDICS
Domenico De Mauro, Amarildo Smakaj, Alessandro Casiraghi, Claudio Galante, Federico Bove, Mario Arduini, Giovanni Vicenti, Francesco Addevico, Abramo Fratus, Nicola Macellari, Matteo Caredda, Claudio Buono, Giulio Maccauro, Giuseppe Rovere, Francesco Liuzza
{"title":"ao33c股骨远端骨折双钢板与钉钢板:治疗选择影响膝关节对齐、临床结果和生活质量——一项多中心研究","authors":"Domenico De Mauro, Amarildo Smakaj, Alessandro Casiraghi, Claudio Galante, Federico Bove, Mario Arduini, Giovanni Vicenti, Francesco Addevico, Abramo Fratus, Nicola Macellari, Matteo Caredda, Claudio Buono, Giulio Maccauro, Giuseppe Rovere, Francesco Liuzza","doi":"10.1186/s10195-025-00834-1","DOIUrl":null,"url":null,"abstract":"<p><strong>Background: </strong>Distal femur fractures present a significant challenge for orthopedic surgeons, accounting for approximately 5% of all femoral fractures. Among the most commonly reported combined techniques in the literature are the double-plate technique and the retrograde nailing plus lateral plating, the nail-plate construct (NPC). The aim of our study is to compare surgical data, quality of life, and functional outcomes in 33-C fractures treated with either double-plate constructs or a retrograde nailing plus lateral plate.</p><p><strong>Materials and methods: </strong>A multicenter retrospective observational study was conducted in accordance with Strengthening the Reporting of Observational Studies in Epidemiology (STROBE) guidelines. Diagnoses were made on the basis of the AO classification, utilizing traditional radiological assessments. Patients were categorized into two groups on the basis of the surgical treatment they received: The NPC group comprised patients who underwent surgery with nail-plate construct, while the Plate group consisted of those who had surgery with double plating.</p><p><strong>Results: </strong>A total of 42 patients were included in the study. The NPC group comprised 26 patients with a mean age of 58.4 ± 18.8 years, while the Plate group consisted of 16 patients with a mean age of 61.3 ± 16.4 years. Significant differences were observed in knee extension recovery (p = 0.010) and lateral distal femur angle (LDFA) (p < 0.001). Linear regression showed a significant influence from treatment choice on all the Knee Injury and Osteoarthritis Outcome Score (KOOS) subscales, as well as in all domains of the European Quality of Life Five Dimensions Five-Level Version (EQ-5D-5L), except for the Daily Self-Care domain.</p><p><strong>Conclusions: </strong>Nail-plate constructs seems to lead to significantly better outcomes in AO type C distal femur fractures, compared with double plating, in terms of knee function and quality of life. Significant differences are shown also in anatomical outcomes, especially in extension gap, and LDFA.</p><p><strong>Level of evidence: </strong>III.</p>","PeriodicalId":48603,"journal":{"name":"Journal of Orthopaedics and Traumatology","volume":"26 1","pages":"22"},"PeriodicalIF":3.7000,"publicationDate":"2025-04-02","publicationTypes":"Journal Article","fieldsOfStudy":null,"isOpenAccess":false,"openAccessPdf":"https://www.ncbi.nlm.nih.gov/pmc/articles/PMC11965052/pdf/","citationCount":"0","resultStr":"{\"title\":\"Double plating versus nail-plate construct in AO 33C distal femur fractures: treatment choice affects knee alignment, clinical outcomes, and quality of life-a multicenter study.\",\"authors\":\"Domenico De Mauro, Amarildo Smakaj, Alessandro Casiraghi, Claudio Galante, Federico Bove, Mario Arduini, Giovanni Vicenti, Francesco Addevico, Abramo Fratus, Nicola Macellari, Matteo Caredda, Claudio Buono, Giulio Maccauro, Giuseppe Rovere, Francesco Liuzza\",\"doi\":\"10.1186/s10195-025-00834-1\",\"DOIUrl\":null,\"url\":null,\"abstract\":\"<p><strong>Background: </strong>Distal femur fractures present a significant challenge for orthopedic surgeons, accounting for approximately 5% of all femoral fractures. Among the most commonly reported combined techniques in the literature are the double-plate technique and the retrograde nailing plus lateral plating, the nail-plate construct (NPC). The aim of our study is to compare surgical data, quality of life, and functional outcomes in 33-C fractures treated with either double-plate constructs or a retrograde nailing plus lateral plate.</p><p><strong>Materials and methods: </strong>A multicenter retrospective observational study was conducted in accordance with Strengthening the Reporting of Observational Studies in Epidemiology (STROBE) guidelines. Diagnoses were made on the basis of the AO classification, utilizing traditional radiological assessments. Patients were categorized into two groups on the basis of the surgical treatment they received: The NPC group comprised patients who underwent surgery with nail-plate construct, while the Plate group consisted of those who had surgery with double plating.</p><p><strong>Results: </strong>A total of 42 patients were included in the study. The NPC group comprised 26 patients with a mean age of 58.4 ± 18.8 years, while the Plate group consisted of 16 patients with a mean age of 61.3 ± 16.4 years. Significant differences were observed in knee extension recovery (p = 0.010) and lateral distal femur angle (LDFA) (p < 0.001). Linear regression showed a significant influence from treatment choice on all the Knee Injury and Osteoarthritis Outcome Score (KOOS) subscales, as well as in all domains of the European Quality of Life Five Dimensions Five-Level Version (EQ-5D-5L), except for the Daily Self-Care domain.</p><p><strong>Conclusions: </strong>Nail-plate constructs seems to lead to significantly better outcomes in AO type C distal femur fractures, compared with double plating, in terms of knee function and quality of life. Significant differences are shown also in anatomical outcomes, especially in extension gap, and LDFA.</p><p><strong>Level of evidence: </strong>III.</p>\",\"PeriodicalId\":48603,\"journal\":{\"name\":\"Journal of Orthopaedics and Traumatology\",\"volume\":\"26 1\",\"pages\":\"22\"},\"PeriodicalIF\":3.7000,\"publicationDate\":\"2025-04-02\",\"publicationTypes\":\"Journal Article\",\"fieldsOfStudy\":null,\"isOpenAccess\":false,\"openAccessPdf\":\"https://www.ncbi.nlm.nih.gov/pmc/articles/PMC11965052/pdf/\",\"citationCount\":\"0\",\"resultStr\":null,\"platform\":\"Semanticscholar\",\"paperid\":null,\"PeriodicalName\":\"Journal of Orthopaedics and Traumatology\",\"FirstCategoryId\":\"3\",\"ListUrlMain\":\"https://doi.org/10.1186/s10195-025-00834-1\",\"RegionNum\":2,\"RegionCategory\":\"医学\",\"ArticlePicture\":[],\"TitleCN\":null,\"AbstractTextCN\":null,\"PMCID\":null,\"EPubDate\":\"\",\"PubModel\":\"\",\"JCR\":\"Q1\",\"JCRName\":\"ORTHOPEDICS\",\"Score\":null,\"Total\":0}","platform":"Semanticscholar","paperid":null,"PeriodicalName":"Journal of Orthopaedics and Traumatology","FirstCategoryId":"3","ListUrlMain":"https://doi.org/10.1186/s10195-025-00834-1","RegionNum":2,"RegionCategory":"医学","ArticlePicture":[],"TitleCN":null,"AbstractTextCN":null,"PMCID":null,"EPubDate":"","PubModel":"","JCR":"Q1","JCRName":"ORTHOPEDICS","Score":null,"Total":0}
引用次数: 0

摘要

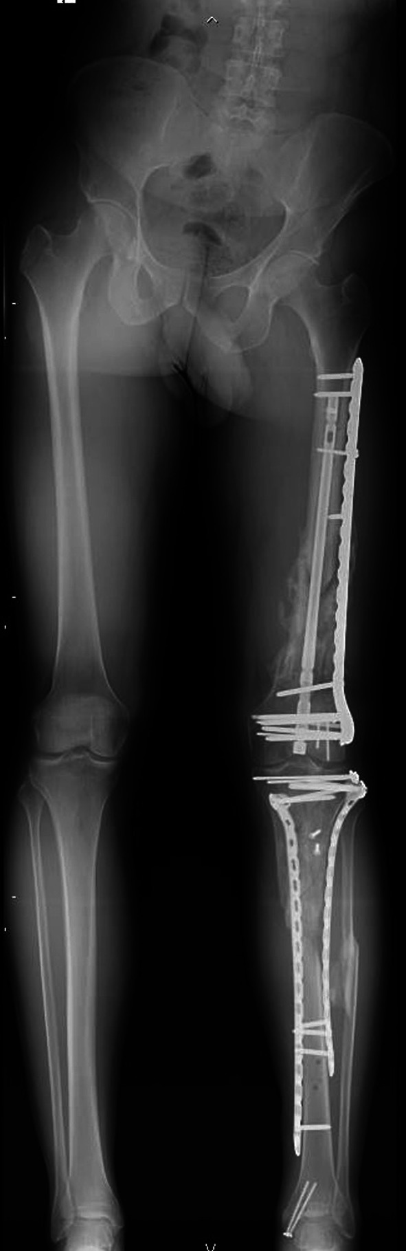
背景:股骨远端骨折是骨科医生面临的一个重大挑战,约占所有股骨骨折的5%。文献中最常报道的联合技术是双钢板技术和逆行钉入加侧钢板,即钉-钢板结构(NPC)。本研究的目的是比较双钢板或逆行内钉加侧钢板治疗33-C骨折的手术数据、生活质量和功能结果。材料和方法:根据加强流行病学观察性研究报告(STROBE)指南进行多中心回顾性观察性研究。诊断是基于AO分类,利用传统的放射学评估。根据患者接受的手术治疗将患者分为两组:NPC组包括接受钉子-钢板结构手术的患者,而Plate组包括接受双钢板手术的患者。结果:共纳入42例患者。鼻咽癌组26例,平均年龄58.4±18.8岁;钢板组16例,平均年龄61.3±16.4岁。在膝关节伸展恢复(p = 0.010)和股骨远端外侧角度(LDFA)方面观察到显著差异(p)。结论:在AO型C型股骨远端骨折中,与双钢板相比,钉钢板结构在膝关节功能和生活质量方面似乎具有明显更好的结果。解剖结果也显示出显著差异,特别是伸展间隙和LDFA。证据水平:III。
本文章由计算机程序翻译,如有差异,请以英文原文为准。

Double plating versus nail-plate construct in AO 33C distal femur fractures: treatment choice affects knee alignment, clinical outcomes, and quality of life-a multicenter study.

Double plating versus nail-plate construct in AO 33C distal femur fractures: treatment choice affects knee alignment, clinical outcomes, and quality of life-a multicenter study.

Double plating versus nail-plate construct in AO 33C distal femur fractures: treatment choice affects knee alignment, clinical outcomes, and quality of life-a multicenter study.

Double plating versus nail-plate construct in AO 33C distal femur fractures: treatment choice affects knee alignment, clinical outcomes, and quality of life-a multicenter study.

Background: Distal femur fractures present a significant challenge for orthopedic surgeons, accounting for approximately 5% of all femoral fractures. Among the most commonly reported combined techniques in the literature are the double-plate technique and the retrograde nailing plus lateral plating, the nail-plate construct (NPC). The aim of our study is to compare surgical data, quality of life, and functional outcomes in 33-C fractures treated with either double-plate constructs or a retrograde nailing plus lateral plate.

Materials and methods: A multicenter retrospective observational study was conducted in accordance with Strengthening the Reporting of Observational Studies in Epidemiology (STROBE) guidelines. Diagnoses were made on the basis of the AO classification, utilizing traditional radiological assessments. Patients were categorized into two groups on the basis of the surgical treatment they received: The NPC group comprised patients who underwent surgery with nail-plate construct, while the Plate group consisted of those who had surgery with double plating.

Results: A total of 42 patients were included in the study. The NPC group comprised 26 patients with a mean age of 58.4 ± 18.8 years, while the Plate group consisted of 16 patients with a mean age of 61.3 ± 16.4 years. Significant differences were observed in knee extension recovery (p = 0.010) and lateral distal femur angle (LDFA) (p < 0.001). Linear regression showed a significant influence from treatment choice on all the Knee Injury and Osteoarthritis Outcome Score (KOOS) subscales, as well as in all domains of the European Quality of Life Five Dimensions Five-Level Version (EQ-5D-5L), except for the Daily Self-Care domain.

Conclusions: Nail-plate constructs seems to lead to significantly better outcomes in AO type C distal femur fractures, compared with double plating, in terms of knee function and quality of life. Significant differences are shown also in anatomical outcomes, especially in extension gap, and LDFA.

Level of evidence: III.

求助全文
通过发布文献求助,成功后即可免费获取论文全文。 去求助
来源期刊
Journal of Orthopaedics and Traumatology
Journal of Orthopaedics and Traumatology Medicine-Orthopedics and Sports Medicine
CiteScore
4.30
自引率
0.00%
发文量
56
审稿时长
13 weeks
期刊介绍: The Journal of Orthopaedics and Traumatology, the official open access peer-reviewed journal of the Italian Society of Orthopaedics and Traumatology, publishes original papers reporting basic or clinical research in the field of orthopaedic and traumatologic surgery, as well as systematic reviews, brief communications, case reports and letters to the Editor. Narrative instructional reviews and commentaries to original articles may be commissioned by Editors from eminent colleagues. The Journal of Orthopaedics and Traumatology aims to be an international forum for the communication and exchange of ideas concerning the various aspects of orthopaedics and musculoskeletal trauma.
×
引用
GB/T 7714-2015
复制
MLA
复制
APA
复制
导出至
BibTeX EndNote RefMan NoteFirst NoteExpress
×
提示
您的信息不完整,为了账户安全,请先补充。
现在去补充
×
提示
您因"违规操作"
具体请查看互助需知
我知道了
×
提示
确定
请完成安全验证×
copy
已复制链接
快去分享给好友吧!
我知道了
右上角分享
点击右上角分享
0
联系我们:info@booksci.cn Book学术提供免费学术资源搜索服务,方便国内外学者检索中英文文献。致力于提供最便捷和优质的服务体验。 Copyright © 2023 布克学术 All rights reserved.
京ICP备2023020795号-1
ghs 京公网安备 11010802042870号
Book学术文献互助
Book学术文献互助群
群 号:604180095
Book学术官方微信