婴儿GM1神经节脂质沉积症的影像学表现:一种罕见的溶酶体贮积症:一个儿科病例报告。

IF 0.5 Q4 RADIOLOGY, NUCLEAR MEDICINE & MEDICAL IMAGING
BJR Case Reports Pub Date : 2025-04-01 eCollection Date: 2025-03-01 DOI:10.1093/bjrcr/uaaf009
Shreya Bhat, Sachin Sharma, Sunil Bhat, Anjana Kaul
{"title":"婴儿GM1神经节脂质沉积症的影像学表现:一种罕见的溶酶体贮积症:一个儿科病例报告。","authors":"Shreya Bhat, Sachin Sharma, Sunil Bhat, Anjana Kaul","doi":"10.1093/bjrcr/uaaf009","DOIUrl":null,"url":null,"abstract":"<p><p>Mono-sialo-tetra-hexosylganglioside, also known as infantile GM1 gangliosidosis, is an autosomal recessive lysosomal storage disorder caused by a mutation in the GLB1 gene that stops the β-galactosidase enzyme from working. We have discussed a case of infantile GM1 gangliosidosis which presented with abnormal body movements, extensive dermal melanocytosis over back and gluteal region, coarse facial features, and macrocephaly. Radiological features included antero-inferior beaking of second, third, and fourth lumbar vertebrae, bilateral hyperdense thalami on non-contrast CT. On T2-weighted images, there is a persistently high signal intensity of the white matter and subcortical U fibres, which indicates bilateral bulky thalami with T2 hypointense and significantly impaired myelination. Reduced β-galactosidase activity verified the diagnosis.</p>","PeriodicalId":45216,"journal":{"name":"BJR Case Reports","volume":"11 2","pages":"uaaf009"},"PeriodicalIF":0.5000,"publicationDate":"2025-04-01","publicationTypes":"Journal Article","fieldsOfStudy":null,"isOpenAccess":false,"openAccessPdf":"https://www.ncbi.nlm.nih.gov/pmc/articles/PMC11961198/pdf/","citationCount":"0","resultStr":"{\"title\":\"Imaging manifestations in infantile GM1 gangliosidosis: a rare lysosomal storage disorder: a paediatric case report.\",\"authors\":\"Shreya Bhat, Sachin Sharma, Sunil Bhat, Anjana Kaul\",\"doi\":\"10.1093/bjrcr/uaaf009\",\"DOIUrl\":null,\"url\":null,\"abstract\":\"<p><p>Mono-sialo-tetra-hexosylganglioside, also known as infantile GM1 gangliosidosis, is an autosomal recessive lysosomal storage disorder caused by a mutation in the GLB1 gene that stops the β-galactosidase enzyme from working. We have discussed a case of infantile GM1 gangliosidosis which presented with abnormal body movements, extensive dermal melanocytosis over back and gluteal region, coarse facial features, and macrocephaly. Radiological features included antero-inferior beaking of second, third, and fourth lumbar vertebrae, bilateral hyperdense thalami on non-contrast CT. On T2-weighted images, there is a persistently high signal intensity of the white matter and subcortical U fibres, which indicates bilateral bulky thalami with T2 hypointense and significantly impaired myelination. Reduced β-galactosidase activity verified the diagnosis.</p>\",\"PeriodicalId\":45216,\"journal\":{\"name\":\"BJR Case Reports\",\"volume\":\"11 2\",\"pages\":\"uaaf009\"},\"PeriodicalIF\":0.5000,\"publicationDate\":\"2025-04-01\",\"publicationTypes\":\"Journal Article\",\"fieldsOfStudy\":null,\"isOpenAccess\":false,\"openAccessPdf\":\"https://www.ncbi.nlm.nih.gov/pmc/articles/PMC11961198/pdf/\",\"citationCount\":\"0\",\"resultStr\":null,\"platform\":\"Semanticscholar\",\"paperid\":null,\"PeriodicalName\":\"BJR Case Reports\",\"FirstCategoryId\":\"1085\",\"ListUrlMain\":\"https://doi.org/10.1093/bjrcr/uaaf009\",\"RegionNum\":0,\"RegionCategory\":null,\"ArticlePicture\":[],\"TitleCN\":null,\"AbstractTextCN\":null,\"PMCID\":null,\"EPubDate\":\"2025/3/1 0:00:00\",\"PubModel\":\"eCollection\",\"JCR\":\"Q4\",\"JCRName\":\"RADIOLOGY, NUCLEAR MEDICINE & MEDICAL IMAGING\",\"Score\":null,\"Total\":0}","platform":"Semanticscholar","paperid":null,"PeriodicalName":"BJR Case Reports","FirstCategoryId":"1085","ListUrlMain":"https://doi.org/10.1093/bjrcr/uaaf009","RegionNum":0,"RegionCategory":null,"ArticlePicture":[],"TitleCN":null,"AbstractTextCN":null,"PMCID":null,"EPubDate":"2025/3/1 0:00:00","PubModel":"eCollection","JCR":"Q4","JCRName":"RADIOLOGY, NUCLEAR MEDICINE & MEDICAL IMAGING","Score":null,"Total":0}
引用次数: 0

摘要

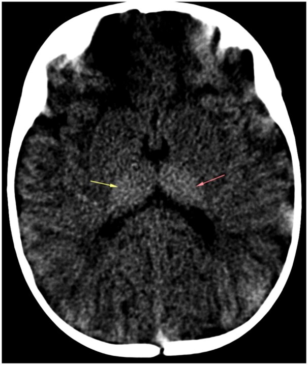
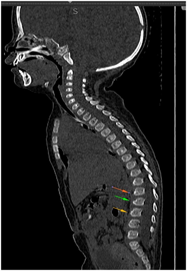
单唾液-四己糖神经节苷脂,也被称为婴儿GM1神经节苷脂病,是一种常染色体隐性溶酶体储存疾病,由GLB1基因突变引起,该突变阻止了β-半乳糖苷酶的工作。我们讨论了一例婴儿GM1神经节脂质沉积症,其表现为异常的身体运动,背部和臀区广泛的皮肤黑色素细胞增多,面部特征粗糙,以及大头畸形。影像学表现为第二、第三、第四腰椎前下喙状突起,非对比CT显示双侧丘脑高密度。在T2加权图像上,白质和皮质下U纤维持续高信号强度,表明双侧丘脑体积大,T2低,髓鞘形成明显受损。β-半乳糖苷酶活性降低证实了诊断。
本文章由计算机程序翻译,如有差异,请以英文原文为准。

Imaging manifestations in infantile GM1 gangliosidosis: a rare lysosomal storage disorder: a paediatric case report.

Imaging manifestations in infantile GM1 gangliosidosis: a rare lysosomal storage disorder: a paediatric case report.

Imaging manifestations in infantile GM1 gangliosidosis: a rare lysosomal storage disorder: a paediatric case report.

Imaging manifestations in infantile GM1 gangliosidosis: a rare lysosomal storage disorder: a paediatric case report.

Mono-sialo-tetra-hexosylganglioside, also known as infantile GM1 gangliosidosis, is an autosomal recessive lysosomal storage disorder caused by a mutation in the GLB1 gene that stops the β-galactosidase enzyme from working. We have discussed a case of infantile GM1 gangliosidosis which presented with abnormal body movements, extensive dermal melanocytosis over back and gluteal region, coarse facial features, and macrocephaly. Radiological features included antero-inferior beaking of second, third, and fourth lumbar vertebrae, bilateral hyperdense thalami on non-contrast CT. On T2-weighted images, there is a persistently high signal intensity of the white matter and subcortical U fibres, which indicates bilateral bulky thalami with T2 hypointense and significantly impaired myelination. Reduced β-galactosidase activity verified the diagnosis.

求助全文
通过发布文献求助,成功后即可免费获取论文全文。 去求助
来源期刊
BJR Case Reports
BJR Case Reports RADIOLOGY, NUCLEAR MEDICINE & MEDICAL IMAGING-
自引率
0.00%
发文量
77
审稿时长
11 weeks
×
引用
GB/T 7714-2015
复制
MLA
复制
APA
复制
导出至
BibTeX EndNote RefMan NoteFirst NoteExpress
×
提示
您的信息不完整,为了账户安全,请先补充。
现在去补充
×
提示
您因"违规操作"
具体请查看互助需知
我知道了
×
提示
确定
请完成安全验证×
copy
已复制链接
快去分享给好友吧!
我知道了
右上角分享
点击右上角分享
0
联系我们:info@booksci.cn Book学术提供免费学术资源搜索服务,方便国内外学者检索中英文文献。致力于提供最便捷和优质的服务体验。 Copyright © 2023 布克学术 All rights reserved.
京ICP备2023020795号-1
ghs 京公网安备 11010802042870号
Book学术文献互助
Book学术文献互助群
群 号:604180095
Book学术官方微信