饱和脂肪酸诱导的中性粒细胞胞外陷阱有助于肥胖相关银屑病的恶化和生物治疗抵抗。

IF 19.8 1区 医学 Q1 IMMUNOLOGY
Yuting Xia, Jiajia Lan, Jing Yang, Shijie Yuan, Xiaorong Xie, Qiuyang Du, Hongyao Du, Wenjia Nie, Biling Jiang, Liang Zhao, Zhen Cai, Xin Zhang, Yan Xiong, Yan Li, Ran He, Juan Tao
{"title":"饱和脂肪酸诱导的中性粒细胞胞外陷阱有助于肥胖相关银屑病的恶化和生物治疗抵抗。","authors":"Yuting Xia, Jiajia Lan, Jing Yang, Shijie Yuan, Xiaorong Xie, Qiuyang Du, Hongyao Du, Wenjia Nie, Biling Jiang, Liang Zhao, Zhen Cai, Xin Zhang, Yan Xiong, Yan Li, Ran He, Juan Tao","doi":"10.1038/s41423-025-01278-7","DOIUrl":null,"url":null,"abstract":"Psoriasis patients who are obese tend to have serious clinical manifestations and poor responses to various biological agents in most cases. However, the mechanisms by which obesity exacerbates psoriasis remain enigmatic. In this study, we found that the abundance of systemic and localized cutaneous neutrophil extracellular traps (NETs) associated with the obesity-induced aggravation of psoriasis was positively correlated with disease severity and that the inhibition of NETs alleviated psoriatic dermatitis in obese mice. Mechanistically, we found that changes in fatty acid composition in obese subjects resulted in the deposition of saturated fatty acids (SFAs), which promoted the release of NETs via the TLR4-MD2/ROS signaling pathway. We further revealed that NETs potentiate IL-17 inflammation, especially γδT17-mediated immune responses, in obesity-exacerbated psoriasis patients. Moreover, SFAs induced a decreased response to anti-IL17A treatment in psoriasis-like mice, whereas the inhibition of NETs improved the beneficial effects of anti-IL17A in psoriasis-like mice with lipid metabolism disorders. Our findings collectively suggest that SFA-induced NETs play a critical role in the exacerbation of obesity-related psoriasis and provide potential new strategies for the clinical treatment of refractory psoriasis patients with lipid metabolism disorders.","PeriodicalId":9950,"journal":{"name":"Cellular &Molecular Immunology","volume":"22 6","pages":"597-611"},"PeriodicalIF":19.8000,"publicationDate":"2025-04-01","publicationTypes":"Journal Article","fieldsOfStudy":null,"isOpenAccess":false,"openAccessPdf":"","citationCount":"0","resultStr":"{\"title\":\"Saturated fatty acid-induced neutrophil extracellular traps contribute to exacerbation and biologic therapy resistance in obesity-related psoriasis\",\"authors\":\"Yuting Xia, Jiajia Lan, Jing Yang, Shijie Yuan, Xiaorong Xie, Qiuyang Du, Hongyao Du, Wenjia Nie, Biling Jiang, Liang Zhao, Zhen Cai, Xin Zhang, Yan Xiong, Yan Li, Ran He, Juan Tao\",\"doi\":\"10.1038/s41423-025-01278-7\",\"DOIUrl\":null,\"url\":null,\"abstract\":\"Psoriasis patients who are obese tend to have serious clinical manifestations and poor responses to various biological agents in most cases. However, the mechanisms by which obesity exacerbates psoriasis remain enigmatic. In this study, we found that the abundance of systemic and localized cutaneous neutrophil extracellular traps (NETs) associated with the obesity-induced aggravation of psoriasis was positively correlated with disease severity and that the inhibition of NETs alleviated psoriatic dermatitis in obese mice. Mechanistically, we found that changes in fatty acid composition in obese subjects resulted in the deposition of saturated fatty acids (SFAs), which promoted the release of NETs via the TLR4-MD2/ROS signaling pathway. We further revealed that NETs potentiate IL-17 inflammation, especially γδT17-mediated immune responses, in obesity-exacerbated psoriasis patients. Moreover, SFAs induced a decreased response to anti-IL17A treatment in psoriasis-like mice, whereas the inhibition of NETs improved the beneficial effects of anti-IL17A in psoriasis-like mice with lipid metabolism disorders. Our findings collectively suggest that SFA-induced NETs play a critical role in the exacerbation of obesity-related psoriasis and provide potential new strategies for the clinical treatment of refractory psoriasis patients with lipid metabolism disorders.\",\"PeriodicalId\":9950,\"journal\":{\"name\":\"Cellular &Molecular Immunology\",\"volume\":\"22 6\",\"pages\":\"597-611\"},\"PeriodicalIF\":19.8000,\"publicationDate\":\"2025-04-01\",\"publicationTypes\":\"Journal Article\",\"fieldsOfStudy\":null,\"isOpenAccess\":false,\"openAccessPdf\":\"\",\"citationCount\":\"0\",\"resultStr\":null,\"platform\":\"Semanticscholar\",\"paperid\":null,\"PeriodicalName\":\"Cellular &Molecular Immunology\",\"FirstCategoryId\":\"3\",\"ListUrlMain\":\"https://www.nature.com/articles/s41423-025-01278-7\",\"RegionNum\":1,\"RegionCategory\":\"医学\",\"ArticlePicture\":[],\"TitleCN\":null,\"AbstractTextCN\":null,\"PMCID\":null,\"EPubDate\":\"\",\"PubModel\":\"\",\"JCR\":\"Q1\",\"JCRName\":\"IMMUNOLOGY\",\"Score\":null,\"Total\":0}","platform":"Semanticscholar","paperid":null,"PeriodicalName":"Cellular &Molecular Immunology","FirstCategoryId":"3","ListUrlMain":"https://www.nature.com/articles/s41423-025-01278-7","RegionNum":1,"RegionCategory":"医学","ArticlePicture":[],"TitleCN":null,"AbstractTextCN":null,"PMCID":null,"EPubDate":"","PubModel":"","JCR":"Q1","JCRName":"IMMUNOLOGY","Score":null,"Total":0}
引用次数: 0

摘要

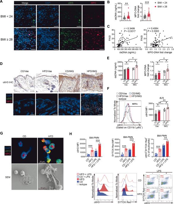
肥胖的银屑病患者往往临床表现严重,多数情况下对各种生物制剂的反应较差。然而,肥胖加重牛皮癣的机制仍然是个谜。在这项研究中,我们发现与肥胖引起的银屑病加重相关的全身和局部皮肤中性粒细胞胞外陷阱(NETs)的丰度与疾病严重程度呈正相关,并且NETs的抑制减轻了肥胖小鼠的银屑病皮炎。在机制上,我们发现肥胖受试者脂肪酸组成的变化导致饱和脂肪酸(sfa)的沉积,饱和脂肪酸通过TLR4-MD2/ROS信号通路促进NETs的释放。我们进一步揭示了NETs在肥胖加重的银屑病患者中增强IL-17炎症,特别是γδ t17介导的免疫反应。此外,SFAs诱导牛皮癣样小鼠对抗il17a治疗的反应降低,而NETs的抑制则提高了抗il17a对脂质代谢紊乱的牛皮癣样小鼠的有益作用。我们的研究结果共同表明,sfa诱导的NETs在肥胖相关性银屑病的恶化中起着关键作用,并为临床治疗难治性银屑病伴脂质代谢紊乱患者提供了潜在的新策略。
本文章由计算机程序翻译,如有差异,请以英文原文为准。

Saturated fatty acid-induced neutrophil extracellular traps contribute to exacerbation and biologic therapy resistance in obesity-related psoriasis

Saturated fatty acid-induced neutrophil extracellular traps contribute to exacerbation and biologic therapy resistance in obesity-related psoriasis
Psoriasis patients who are obese tend to have serious clinical manifestations and poor responses to various biological agents in most cases. However, the mechanisms by which obesity exacerbates psoriasis remain enigmatic. In this study, we found that the abundance of systemic and localized cutaneous neutrophil extracellular traps (NETs) associated with the obesity-induced aggravation of psoriasis was positively correlated with disease severity and that the inhibition of NETs alleviated psoriatic dermatitis in obese mice. Mechanistically, we found that changes in fatty acid composition in obese subjects resulted in the deposition of saturated fatty acids (SFAs), which promoted the release of NETs via the TLR4-MD2/ROS signaling pathway. We further revealed that NETs potentiate IL-17 inflammation, especially γδT17-mediated immune responses, in obesity-exacerbated psoriasis patients. Moreover, SFAs induced a decreased response to anti-IL17A treatment in psoriasis-like mice, whereas the inhibition of NETs improved the beneficial effects of anti-IL17A in psoriasis-like mice with lipid metabolism disorders. Our findings collectively suggest that SFA-induced NETs play a critical role in the exacerbation of obesity-related psoriasis and provide potential new strategies for the clinical treatment of refractory psoriasis patients with lipid metabolism disorders.
求助全文
通过发布文献求助,成功后即可免费获取论文全文。 去求助
来源期刊
CiteScore
31.20
自引率
1.20%
发文量
903
审稿时长
1 months
期刊介绍: Cellular & Molecular Immunology, a monthly journal from the Chinese Society of Immunology and the University of Science and Technology of China, serves as a comprehensive platform covering both basic immunology research and clinical applications. The journal publishes a variety of article types, including Articles, Review Articles, Mini Reviews, and Short Communications, focusing on diverse aspects of cellular and molecular immunology.
×
引用
GB/T 7714-2015
复制
MLA
复制
APA
复制
导出至
BibTeX EndNote RefMan NoteFirst NoteExpress
×
提示
您的信息不完整,为了账户安全,请先补充。
现在去补充
×
提示
您因"违规操作"
具体请查看互助需知
我知道了
×
提示
确定
请完成安全验证×
copy
已复制链接
快去分享给好友吧!
我知道了
右上角分享
点击右上角分享
0
联系我们:info@booksci.cn Book学术提供免费学术资源搜索服务,方便国内外学者检索中英文文献。致力于提供最便捷和优质的服务体验。 Copyright © 2023 布克学术 All rights reserved.
京ICP备2023020795号-1
ghs 京公网安备 11010802042870号
Book学术文献互助
Book学术文献互助群
群 号:604180095
Book学术官方微信