房间隔脂肪瘤性肥厚

IF 0.9
Journal of medical cases Pub Date : 2025-03-01 Epub Date: 2025-03-25 DOI:10.14740/jmc5108
Adam Golda, Beata Bialkowska-Niepon, Tadeusz Zebik
{"title":"房间隔脂肪瘤性肥厚","authors":"Adam Golda, Beata Bialkowska-Niepon, Tadeusz Zebik","doi":"10.14740/jmc5108","DOIUrl":null,"url":null,"abstract":"<p><p>The abnormal accumulation of lipid-rich adipose tissue within the interatrial septum (IAS) is the hallmark of lipomatous hypertrophy of the interatrial septum (LHIS), a relatively rare medical condition. To accurately distinguish LHIS, it is essential to recognize the characteristic \"dumbbell\" shape of IAS. Here, we present a case of a 59-year-old woman who was suspected of having cardiac myxoma and was subsequently admitted to our hospital. Transthoracic echocardiography of the patient showed that the IAS had a lack of thickening in the region of the foramen ovale and a hyperechogenic structure in the basal and vault portions of IAS. An abnormal mass located in the IAS anterior to the foramen ovale and not infiltrating the foramen ovale was discovered by computed tomography (CT) scan of the heart. The cardiac magnetic resonance imaging (MRI) confirmed the presence of significant fat deposition within the IAS with sparing of the fossa ovalis, which was consistent with the initial findings. The patient was discharged home with the recommendation of regular visits to the cardiology outpatient clinic for LHIS monitoring. The article presents the visualization of LHIS in consecutive diagnostic modalities, summarizes the actual knowledge of LHIS, and enables proper LHIS diagnosis in patients based on available imaging methods.</p>","PeriodicalId":101328,"journal":{"name":"Journal of medical cases","volume":"16 3","pages":"120-126"},"PeriodicalIF":0.9000,"publicationDate":"2025-03-01","publicationTypes":"Journal Article","fieldsOfStudy":null,"isOpenAccess":false,"openAccessPdf":"https://www.ncbi.nlm.nih.gov/pmc/articles/PMC11954602/pdf/","citationCount":"0","resultStr":"{\"title\":\"Lipomatous Hypertrophy of the Interatrial Septum.\",\"authors\":\"Adam Golda, Beata Bialkowska-Niepon, Tadeusz Zebik\",\"doi\":\"10.14740/jmc5108\",\"DOIUrl\":null,\"url\":null,\"abstract\":\"<p><p>The abnormal accumulation of lipid-rich adipose tissue within the interatrial septum (IAS) is the hallmark of lipomatous hypertrophy of the interatrial septum (LHIS), a relatively rare medical condition. To accurately distinguish LHIS, it is essential to recognize the characteristic \\\"dumbbell\\\" shape of IAS. Here, we present a case of a 59-year-old woman who was suspected of having cardiac myxoma and was subsequently admitted to our hospital. Transthoracic echocardiography of the patient showed that the IAS had a lack of thickening in the region of the foramen ovale and a hyperechogenic structure in the basal and vault portions of IAS. An abnormal mass located in the IAS anterior to the foramen ovale and not infiltrating the foramen ovale was discovered by computed tomography (CT) scan of the heart. The cardiac magnetic resonance imaging (MRI) confirmed the presence of significant fat deposition within the IAS with sparing of the fossa ovalis, which was consistent with the initial findings. The patient was discharged home with the recommendation of regular visits to the cardiology outpatient clinic for LHIS monitoring. The article presents the visualization of LHIS in consecutive diagnostic modalities, summarizes the actual knowledge of LHIS, and enables proper LHIS diagnosis in patients based on available imaging methods.</p>\",\"PeriodicalId\":101328,\"journal\":{\"name\":\"Journal of medical cases\",\"volume\":\"16 3\",\"pages\":\"120-126\"},\"PeriodicalIF\":0.9000,\"publicationDate\":\"2025-03-01\",\"publicationTypes\":\"Journal Article\",\"fieldsOfStudy\":null,\"isOpenAccess\":false,\"openAccessPdf\":\"https://www.ncbi.nlm.nih.gov/pmc/articles/PMC11954602/pdf/\",\"citationCount\":\"0\",\"resultStr\":null,\"platform\":\"Semanticscholar\",\"paperid\":null,\"PeriodicalName\":\"Journal of medical cases\",\"FirstCategoryId\":\"1085\",\"ListUrlMain\":\"https://doi.org/10.14740/jmc5108\",\"RegionNum\":0,\"RegionCategory\":null,\"ArticlePicture\":[],\"TitleCN\":null,\"AbstractTextCN\":null,\"PMCID\":null,\"EPubDate\":\"2025/3/25 0:00:00\",\"PubModel\":\"Epub\",\"JCR\":\"\",\"JCRName\":\"\",\"Score\":null,\"Total\":0}","platform":"Semanticscholar","paperid":null,"PeriodicalName":"Journal of medical cases","FirstCategoryId":"1085","ListUrlMain":"https://doi.org/10.14740/jmc5108","RegionNum":0,"RegionCategory":null,"ArticlePicture":[],"TitleCN":null,"AbstractTextCN":null,"PMCID":null,"EPubDate":"2025/3/25 0:00:00","PubModel":"Epub","JCR":"","JCRName":"","Score":null,"Total":0}
引用次数: 0

摘要

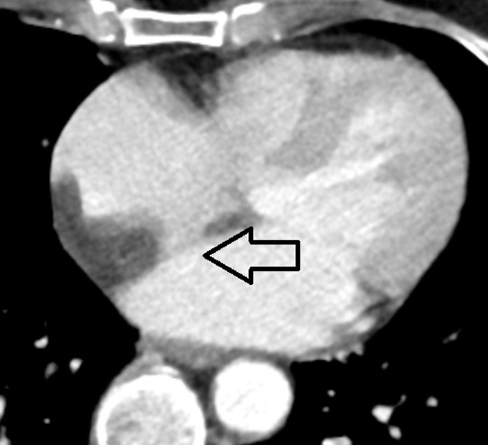
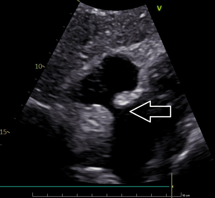
富含脂质的脂肪组织在房间隔(IAS)内异常堆积是房间隔脂肪瘤性肥厚(LHIS)的特征,这是一种相对罕见的病症。要准确鉴别 LHIS,必须识别 IAS 的特征性 "哑铃 "形状。在此,我们介绍了一例 59 岁女性的病例,她被怀疑患有心脏肌瘤,随后住进了我院。经胸超声心动图显示,患者的 IAS 在卵圆孔区域没有增厚,IAS 的基底和穹隆部分呈高回声结构。心脏计算机断层扫描(CT)发现,位于卵圆孔前方的 IAS 中有一个异常肿块,但未浸润卵圆孔。心脏磁共振成像(MRI)证实,IAS 内有大量脂肪沉积,卵圆孔窝未受影响,这与最初的检查结果一致。患者出院回家后,建议定期到心脏病学门诊进行 LHIS 监测。文章介绍了 LHIS 在连续诊断模式中的可视化表现,总结了 LHIS 的实际知识,并根据现有的成像方法对患者进行正确的 LHIS 诊断。
本文章由计算机程序翻译,如有差异,请以英文原文为准。

Lipomatous Hypertrophy of the Interatrial Septum.

Lipomatous Hypertrophy of the Interatrial Septum.

Lipomatous Hypertrophy of the Interatrial Septum.

Lipomatous Hypertrophy of the Interatrial Septum.

The abnormal accumulation of lipid-rich adipose tissue within the interatrial septum (IAS) is the hallmark of lipomatous hypertrophy of the interatrial septum (LHIS), a relatively rare medical condition. To accurately distinguish LHIS, it is essential to recognize the characteristic "dumbbell" shape of IAS. Here, we present a case of a 59-year-old woman who was suspected of having cardiac myxoma and was subsequently admitted to our hospital. Transthoracic echocardiography of the patient showed that the IAS had a lack of thickening in the region of the foramen ovale and a hyperechogenic structure in the basal and vault portions of IAS. An abnormal mass located in the IAS anterior to the foramen ovale and not infiltrating the foramen ovale was discovered by computed tomography (CT) scan of the heart. The cardiac magnetic resonance imaging (MRI) confirmed the presence of significant fat deposition within the IAS with sparing of the fossa ovalis, which was consistent with the initial findings. The patient was discharged home with the recommendation of regular visits to the cardiology outpatient clinic for LHIS monitoring. The article presents the visualization of LHIS in consecutive diagnostic modalities, summarizes the actual knowledge of LHIS, and enables proper LHIS diagnosis in patients based on available imaging methods.

求助全文
通过发布文献求助,成功后即可免费获取论文全文。 去求助
来源期刊
CiteScore
1.10
自引率
0.00%
发文量
0
×
引用
GB/T 7714-2015
复制
MLA
复制
APA
复制
导出至
BibTeX EndNote RefMan NoteFirst NoteExpress
×
提示
您的信息不完整,为了账户安全,请先补充。
现在去补充
×
提示
您因"违规操作"
具体请查看互助需知
我知道了
×
提示
确定
请完成安全验证×
copy
已复制链接
快去分享给好友吧!
我知道了
右上角分享
点击右上角分享
0
联系我们:info@booksci.cn Book学术提供免费学术资源搜索服务,方便国内外学者检索中英文文献。致力于提供最便捷和优质的服务体验。 Copyright © 2023 布克学术 All rights reserved.
京ICP备2023020795号-1
ghs 京公网安备 11010802042870号
Book学术文献互助
Book学术文献互助群
群 号:604180095
Book学术官方微信