下颌骨水泥骨化纤维瘤。

IF 1.3 4区 医学 Q4 RADIOLOGY, NUCLEAR MEDICINE & MEDICAL IMAGING
Journal of the Belgian Society of Radiology Pub Date : 2025-03-28 eCollection Date: 2025-01-01 DOI:10.5334/jbsr.3872
Michael Matthys, Filip M Vanhoenacker
{"title":"下颌骨水泥骨化纤维瘤。","authors":"Michael Matthys, Filip M Vanhoenacker","doi":"10.5334/jbsr.3872","DOIUrl":null,"url":null,"abstract":"<p><p><i>Teaching point:</i> Cemento‑ossifying fibroma is a benign tumor of the jaws with a mixed radiolucent-radiopaque appearance and causes root resorption and bone expansion.</p>","PeriodicalId":55987,"journal":{"name":"Journal of the Belgian Society of Radiology","volume":"109 1","pages":"15"},"PeriodicalIF":1.3000,"publicationDate":"2025-03-28","publicationTypes":"Journal Article","fieldsOfStudy":null,"isOpenAccess":false,"openAccessPdf":"https://www.ncbi.nlm.nih.gov/pmc/articles/PMC11951967/pdf/","citationCount":"0","resultStr":"{\"title\":\"Mandibular Cemento‑ossifying Fibroma.\",\"authors\":\"Michael Matthys, Filip M Vanhoenacker\",\"doi\":\"10.5334/jbsr.3872\",\"DOIUrl\":null,\"url\":null,\"abstract\":\"<p><p><i>Teaching point:</i> Cemento‑ossifying fibroma is a benign tumor of the jaws with a mixed radiolucent-radiopaque appearance and causes root resorption and bone expansion.</p>\",\"PeriodicalId\":55987,\"journal\":{\"name\":\"Journal of the Belgian Society of Radiology\",\"volume\":\"109 1\",\"pages\":\"15\"},\"PeriodicalIF\":1.3000,\"publicationDate\":\"2025-03-28\",\"publicationTypes\":\"Journal Article\",\"fieldsOfStudy\":null,\"isOpenAccess\":false,\"openAccessPdf\":\"https://www.ncbi.nlm.nih.gov/pmc/articles/PMC11951967/pdf/\",\"citationCount\":\"0\",\"resultStr\":null,\"platform\":\"Semanticscholar\",\"paperid\":null,\"PeriodicalName\":\"Journal of the Belgian Society of Radiology\",\"FirstCategoryId\":\"3\",\"ListUrlMain\":\"https://doi.org/10.5334/jbsr.3872\",\"RegionNum\":4,\"RegionCategory\":\"医学\",\"ArticlePicture\":[],\"TitleCN\":null,\"AbstractTextCN\":null,\"PMCID\":null,\"EPubDate\":\"2025/1/1 0:00:00\",\"PubModel\":\"eCollection\",\"JCR\":\"Q4\",\"JCRName\":\"RADIOLOGY, NUCLEAR MEDICINE & MEDICAL IMAGING\",\"Score\":null,\"Total\":0}","platform":"Semanticscholar","paperid":null,"PeriodicalName":"Journal of the Belgian Society of Radiology","FirstCategoryId":"3","ListUrlMain":"https://doi.org/10.5334/jbsr.3872","RegionNum":4,"RegionCategory":"医学","ArticlePicture":[],"TitleCN":null,"AbstractTextCN":null,"PMCID":null,"EPubDate":"2025/1/1 0:00:00","PubModel":"eCollection","JCR":"Q4","JCRName":"RADIOLOGY, NUCLEAR MEDICINE & MEDICAL IMAGING","Score":null,"Total":0}
引用次数: 0

摘要

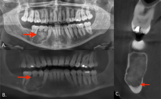
教学点:骨水泥骨化纤维瘤是颌骨的一种良性肿瘤,具有混合透光-不透光外观,引起牙根吸收和骨扩张。
本文章由计算机程序翻译,如有差异,请以英文原文为准。

Mandibular Cemento‑ossifying Fibroma.

Mandibular Cemento‑ossifying Fibroma.

Mandibular Cemento‑ossifying Fibroma.

Teaching point: Cemento‑ossifying fibroma is a benign tumor of the jaws with a mixed radiolucent-radiopaque appearance and causes root resorption and bone expansion.

求助全文
通过发布文献求助,成功后即可免费获取论文全文。 去求助
来源期刊
Journal of the Belgian Society of Radiology
Journal of the Belgian Society of Radiology Medicine-Radiology, Nuclear Medicine and Imaging
CiteScore
0.70
自引率
5.00%
发文量
96
期刊介绍: The purpose of the Journal of the Belgian Society of Radiology is the publication of articles dealing with diagnostic and interventional radiology, related imaging techniques, allied sciences, and continuing education.
×
引用
GB/T 7714-2015
复制
MLA
复制
APA
复制
导出至
BibTeX EndNote RefMan NoteFirst NoteExpress
×
提示
您的信息不完整,为了账户安全,请先补充。
现在去补充
×
提示
您因"违规操作"
具体请查看互助需知
我知道了
×
提示
确定
请完成安全验证×
copy
已复制链接
快去分享给好友吧!
我知道了
右上角分享
点击右上角分享
0
联系我们:info@booksci.cn Book学术提供免费学术资源搜索服务,方便国内外学者检索中英文文献。致力于提供最便捷和优质的服务体验。 Copyright © 2023 布克学术 All rights reserved.
京ICP备2023020795号-1
ghs 京公网安备 11010802042870号
Book学术文献互助
Book学术文献互助群
群 号:604180095
Book学术官方微信