Chanarin-Dorfman综合征的jordan异常。

IF 1.1 Q4 MEDICAL LABORATORY TECHNOLOGY
Advances in laboratory medicine Pub Date : 2024-11-18 eCollection Date: 2025-03-01 DOI:10.1515/almed-2024-0159
Jorge Sánchez-Cortés, Xavier Gabaldó-Barrios
{"title":"Chanarin-Dorfman综合征的jordan异常。","authors":"Jorge Sánchez-Cortés, Xavier Gabaldó-Barrios","doi":"10.1515/almed-2024-0159","DOIUrl":null,"url":null,"abstract":"<p><strong>Objectives: </strong>Chanarin-Dorfman syndrome is a rare disease inherited in an autosomal recessive pattern whose prevalence does not exceed 130 cases worldwide.</p><p><strong>Case presentation: </strong>A 4-year-old patient with generalized erythematous-desquamative ichthyosiform syndrome since birth. The main laboratory finding was persistent hypertransaminasemia. Supplementary studies included peripheral blood smear (PBS), which revealed the presence of multiple cytoplasmatic vacuoles in polymorphonuclear leukocytes (PMN) and platelets. Ichthyosiform lesions concomitant to the presence of lipid vacuoles in peripheral blood PMNs are signs of Chanarin-Dorfman syndrome. Diagnostic suspicion was confirmed by genetic sequencing.</p><p><strong>Conclusions: </strong>Chanarin-Dorfman syndrome is characterized by a mutation in the <i>CGI-58</i> gene. This gene is involved in the catabolism of long-chain triglycerides stored in cytoplasmic lipid droplets. Jordans' anomaly is a congenital alteration characterized by the presence of multiple vacuoles in the granulocytic series due to defective lipid metabolism. In this syndrome, long-chain triglycerides build up in tissues, thereby causing dermatological manifestations that are controllable through diet.</p>","PeriodicalId":72097,"journal":{"name":"Advances in laboratory medicine","volume":"6 1","pages":"118-121"},"PeriodicalIF":1.1000,"publicationDate":"2024-11-18","publicationTypes":"Journal Article","fieldsOfStudy":null,"isOpenAccess":false,"openAccessPdf":"https://www.ncbi.nlm.nih.gov/pmc/articles/PMC11949554/pdf/","citationCount":"0","resultStr":"{\"title\":\"Jordans' anomaly in Chanarin-Dorfman syndrome.\",\"authors\":\"Jorge Sánchez-Cortés, Xavier Gabaldó-Barrios\",\"doi\":\"10.1515/almed-2024-0159\",\"DOIUrl\":null,\"url\":null,\"abstract\":\"<p><strong>Objectives: </strong>Chanarin-Dorfman syndrome is a rare disease inherited in an autosomal recessive pattern whose prevalence does not exceed 130 cases worldwide.</p><p><strong>Case presentation: </strong>A 4-year-old patient with generalized erythematous-desquamative ichthyosiform syndrome since birth. The main laboratory finding was persistent hypertransaminasemia. Supplementary studies included peripheral blood smear (PBS), which revealed the presence of multiple cytoplasmatic vacuoles in polymorphonuclear leukocytes (PMN) and platelets. Ichthyosiform lesions concomitant to the presence of lipid vacuoles in peripheral blood PMNs are signs of Chanarin-Dorfman syndrome. Diagnostic suspicion was confirmed by genetic sequencing.</p><p><strong>Conclusions: </strong>Chanarin-Dorfman syndrome is characterized by a mutation in the <i>CGI-58</i> gene. This gene is involved in the catabolism of long-chain triglycerides stored in cytoplasmic lipid droplets. Jordans' anomaly is a congenital alteration characterized by the presence of multiple vacuoles in the granulocytic series due to defective lipid metabolism. In this syndrome, long-chain triglycerides build up in tissues, thereby causing dermatological manifestations that are controllable through diet.</p>\",\"PeriodicalId\":72097,\"journal\":{\"name\":\"Advances in laboratory medicine\",\"volume\":\"6 1\",\"pages\":\"118-121\"},\"PeriodicalIF\":1.1000,\"publicationDate\":\"2024-11-18\",\"publicationTypes\":\"Journal Article\",\"fieldsOfStudy\":null,\"isOpenAccess\":false,\"openAccessPdf\":\"https://www.ncbi.nlm.nih.gov/pmc/articles/PMC11949554/pdf/\",\"citationCount\":\"0\",\"resultStr\":null,\"platform\":\"Semanticscholar\",\"paperid\":null,\"PeriodicalName\":\"Advances in laboratory medicine\",\"FirstCategoryId\":\"1085\",\"ListUrlMain\":\"https://doi.org/10.1515/almed-2024-0159\",\"RegionNum\":0,\"RegionCategory\":null,\"ArticlePicture\":[],\"TitleCN\":null,\"AbstractTextCN\":null,\"PMCID\":null,\"EPubDate\":\"2025/3/1 0:00:00\",\"PubModel\":\"eCollection\",\"JCR\":\"Q4\",\"JCRName\":\"MEDICAL LABORATORY TECHNOLOGY\",\"Score\":null,\"Total\":0}","platform":"Semanticscholar","paperid":null,"PeriodicalName":"Advances in laboratory medicine","FirstCategoryId":"1085","ListUrlMain":"https://doi.org/10.1515/almed-2024-0159","RegionNum":0,"RegionCategory":null,"ArticlePicture":[],"TitleCN":null,"AbstractTextCN":null,"PMCID":null,"EPubDate":"2025/3/1 0:00:00","PubModel":"eCollection","JCR":"Q4","JCRName":"MEDICAL LABORATORY TECHNOLOGY","Score":null,"Total":0}
引用次数: 0

摘要

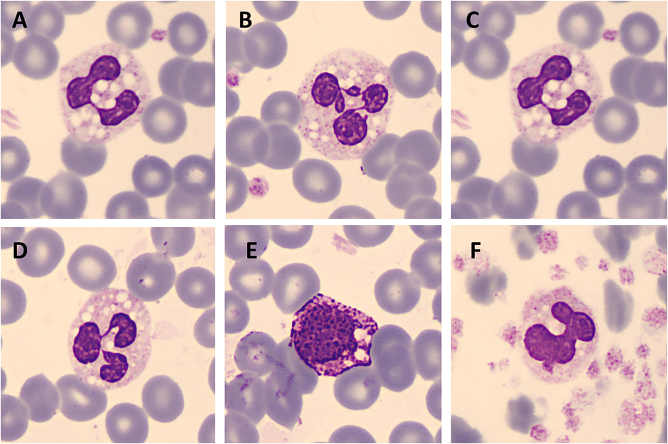
目的:Chanarin-Dorfman综合征是一种罕见的常染色体隐性遗传疾病,全球患病率不超过130例。病例介绍:1例4岁患者,自出生起就患有全身性红斑脱皮鱼鳞样综合征。主要的实验室发现是持续性高转氨酶血症。补充研究包括外周血涂片(PBS),显示多形核白细胞(PMN)和血小板中存在多个细胞质空泡。鱼鳞样病变伴外周血PMNs出现脂质空泡是Chanarin-Dorfman综合征的征象。基因测序证实了诊断怀疑。结论:Chanarin-Dorfman综合征以CGI-58基因突变为特征。该基因参与储存在细胞质脂滴中的长链甘油三酯的分解代谢。Jordans异常是一种先天性改变,其特征是由于脂质代谢缺陷导致粒细胞系列中存在多个空泡。在这种综合征中,长链甘油三酯在组织中积聚,从而引起可通过饮食控制的皮肤病表现。
本文章由计算机程序翻译,如有差异,请以英文原文为准。

Jordans' anomaly in Chanarin-Dorfman syndrome.

Jordans' anomaly in Chanarin-Dorfman syndrome.

Objectives: Chanarin-Dorfman syndrome is a rare disease inherited in an autosomal recessive pattern whose prevalence does not exceed 130 cases worldwide.

Case presentation: A 4-year-old patient with generalized erythematous-desquamative ichthyosiform syndrome since birth. The main laboratory finding was persistent hypertransaminasemia. Supplementary studies included peripheral blood smear (PBS), which revealed the presence of multiple cytoplasmatic vacuoles in polymorphonuclear leukocytes (PMN) and platelets. Ichthyosiform lesions concomitant to the presence of lipid vacuoles in peripheral blood PMNs are signs of Chanarin-Dorfman syndrome. Diagnostic suspicion was confirmed by genetic sequencing.

Conclusions: Chanarin-Dorfman syndrome is characterized by a mutation in the CGI-58 gene. This gene is involved in the catabolism of long-chain triglycerides stored in cytoplasmic lipid droplets. Jordans' anomaly is a congenital alteration characterized by the presence of multiple vacuoles in the granulocytic series due to defective lipid metabolism. In this syndrome, long-chain triglycerides build up in tissues, thereby causing dermatological manifestations that are controllable through diet.

求助全文
通过发布文献求助,成功后即可免费获取论文全文。 去求助
来源期刊
CiteScore
1.10
自引率
0.00%
发文量
0
×
引用
GB/T 7714-2015
复制
MLA
复制
APA
复制
导出至
BibTeX EndNote RefMan NoteFirst NoteExpress
×
提示
您的信息不完整,为了账户安全,请先补充。
现在去补充
×
提示
您因"违规操作"
具体请查看互助需知
我知道了
×
提示
确定
请完成安全验证×
copy
已复制链接
快去分享给好友吧!
我知道了
右上角分享
点击右上角分享
0
联系我们:info@booksci.cn Book学术提供免费学术资源搜索服务,方便国内外学者检索中英文文献。致力于提供最便捷和优质的服务体验。 Copyright © 2023 布克学术 All rights reserved.
京ICP备2023020795号-1
ghs 京公网安备 11010802042870号
Book学术文献互助
Book学术文献互助群
群 号:604180095
Book学术官方微信