非洲患者的黑痣:一个在临床实践中最有可能被误诊的实体。

IF 3.1 Q2 Medicine
International Journal of Women''s Dermatology Pub Date : 2025-01-06 eCollection Date: 2025-03-01 DOI:10.1097/JW9.0000000000000190
Frans Maruma, Ncoza Dlova, Thabiso Rafaki Petrus Mofokeng, Boitshoko Claudia Moloabi
{"title":"非洲患者的黑痣:一个在临床实践中最有可能被误诊的实体。","authors":"Frans Maruma, Ncoza Dlova, Thabiso Rafaki Petrus Mofokeng, Boitshoko Claudia Moloabi","doi":"10.1097/JW9.0000000000000190","DOIUrl":null,"url":null,"abstract":"<p><strong>Background: </strong>Nevus of Hori (HN) has been primarily reported in patients of Eastern Asian descent, with a paucity of data regarding HN occurring in African patients. In this study, we report on South African patients with HN initially thought to have melasma.</p><p><strong>Objective: </strong>To characterize the histopathological and clinical phenotypes of HN in African patients.</p><p><strong>Methods: </strong>Retrospective data were collected from patients who met the inclusion criteria. These data entailed the clinical distribution, demographic data, Fitzpatrick skin phototype, and histopathologic features of African patients diagnosed with HN from a single private aesthetic center in Bloemfontein, South Africa.</p><p><strong>Results: </strong>Thirty patients with an average age of 49 ± 7.37 were included in this analysis. The majority of patients were female (<i>n</i> = 29; 96.67%), and most patients were of Fitzpatrick skin phototype V (<i>n</i> = 22; 73.3%). The most common clinical distribution pattern was bitemporal (76.7%), followed by the zygomatic pattern (20%), mixed type (16.7%), and finally the central forehead pattern (3.3%). Histopathologically, the dendritic cell type of melanocytes was observed in the majority of patients (<i>n</i> = 25; 83.3%), while spindle-shaped cells were observed in few patients (<i>n</i> = 7; 23.33%), and none of the patients had bipolar-type melanocytes.</p><p><strong>Limitations: </strong>This study has limitations inherent to small sample size and its inability to accurately generalize the findings.</p><p><strong>Conclusion: </strong>HN can clinically mimic melasma in African patients. The most common clinical presentation was bitemporal. To our knowledge, this study is the largest regarding the clinicopathological profile of HN in African patients and it is likely to be the first to report these compelling findings.</p>","PeriodicalId":53478,"journal":{"name":"International Journal of Women''s Dermatology","volume":"11 1","pages":"e190"},"PeriodicalIF":3.1000,"publicationDate":"2025-01-06","publicationTypes":"Journal Article","fieldsOfStudy":null,"isOpenAccess":false,"openAccessPdf":"https://www.ncbi.nlm.nih.gov/pmc/articles/PMC11698270/pdf/","citationCount":"0","resultStr":"{\"title\":\"Nevus of Hori in African patients: an entity that is most likely underdiagnosed in clinical practice.\",\"authors\":\"Frans Maruma, Ncoza Dlova, Thabiso Rafaki Petrus Mofokeng, Boitshoko Claudia Moloabi\",\"doi\":\"10.1097/JW9.0000000000000190\",\"DOIUrl\":null,\"url\":null,\"abstract\":\"<p><strong>Background: </strong>Nevus of Hori (HN) has been primarily reported in patients of Eastern Asian descent, with a paucity of data regarding HN occurring in African patients. In this study, we report on South African patients with HN initially thought to have melasma.</p><p><strong>Objective: </strong>To characterize the histopathological and clinical phenotypes of HN in African patients.</p><p><strong>Methods: </strong>Retrospective data were collected from patients who met the inclusion criteria. These data entailed the clinical distribution, demographic data, Fitzpatrick skin phototype, and histopathologic features of African patients diagnosed with HN from a single private aesthetic center in Bloemfontein, South Africa.</p><p><strong>Results: </strong>Thirty patients with an average age of 49 ± 7.37 were included in this analysis. The majority of patients were female (<i>n</i> = 29; 96.67%), and most patients were of Fitzpatrick skin phototype V (<i>n</i> = 22; 73.3%). The most common clinical distribution pattern was bitemporal (76.7%), followed by the zygomatic pattern (20%), mixed type (16.7%), and finally the central forehead pattern (3.3%). Histopathologically, the dendritic cell type of melanocytes was observed in the majority of patients (<i>n</i> = 25; 83.3%), while spindle-shaped cells were observed in few patients (<i>n</i> = 7; 23.33%), and none of the patients had bipolar-type melanocytes.</p><p><strong>Limitations: </strong>This study has limitations inherent to small sample size and its inability to accurately generalize the findings.</p><p><strong>Conclusion: </strong>HN can clinically mimic melasma in African patients. The most common clinical presentation was bitemporal. To our knowledge, this study is the largest regarding the clinicopathological profile of HN in African patients and it is likely to be the first to report these compelling findings.</p>\",\"PeriodicalId\":53478,\"journal\":{\"name\":\"International Journal of Women''s Dermatology\",\"volume\":\"11 1\",\"pages\":\"e190\"},\"PeriodicalIF\":3.1000,\"publicationDate\":\"2025-01-06\",\"publicationTypes\":\"Journal Article\",\"fieldsOfStudy\":null,\"isOpenAccess\":false,\"openAccessPdf\":\"https://www.ncbi.nlm.nih.gov/pmc/articles/PMC11698270/pdf/\",\"citationCount\":\"0\",\"resultStr\":null,\"platform\":\"Semanticscholar\",\"paperid\":null,\"PeriodicalName\":\"International Journal of Women''s Dermatology\",\"FirstCategoryId\":\"1085\",\"ListUrlMain\":\"https://doi.org/10.1097/JW9.0000000000000190\",\"RegionNum\":0,\"RegionCategory\":null,\"ArticlePicture\":[],\"TitleCN\":null,\"AbstractTextCN\":null,\"PMCID\":null,\"EPubDate\":\"2025/3/1 0:00:00\",\"PubModel\":\"eCollection\",\"JCR\":\"Q2\",\"JCRName\":\"Medicine\",\"Score\":null,\"Total\":0}","platform":"Semanticscholar","paperid":null,"PeriodicalName":"International Journal of Women''s Dermatology","FirstCategoryId":"1085","ListUrlMain":"https://doi.org/10.1097/JW9.0000000000000190","RegionNum":0,"RegionCategory":null,"ArticlePicture":[],"TitleCN":null,"AbstractTextCN":null,"PMCID":null,"EPubDate":"2025/3/1 0:00:00","PubModel":"eCollection","JCR":"Q2","JCRName":"Medicine","Score":null,"Total":0}
引用次数: 0

摘要

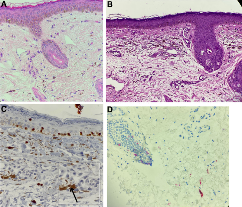
背景:黑痣(HN)主要在东亚血统的患者中报道,关于HN发生在非洲患者的数据很少。在这项研究中,我们报道了南非HN患者最初被认为患有黄褐斑。目的:探讨非洲HN患者的组织病理学和临床表型特征。方法:收集符合纳入标准的患者的回顾性资料。这些数据包括临床分布、人口统计数据、菲茨帕特里克皮肤光型和来自南非布隆方丹一家私人美容中心诊断为HN的非洲患者的组织病理学特征。结果:本组共纳入30例患者,平均年龄49±7.37岁。大多数患者为女性(n = 29;96.67%),大多数患者为Fitzpatrick皮肤光型V (n = 22;73.3%)。最常见的临床分布为双颞型(76.7%),其次为颧型(20%),混合型(16.7%),最后为前额中央型(3.3%)。组织病理学上,大多数患者的黑色素细胞为树突状细胞型(n = 25;83.3%),少数患者观察到梭形细胞(n = 7;23.33%),无双极型黑色素细胞。局限性:由于样本量小,本研究存在局限性,无法准确概括研究结果。结论:HN在临床上可模拟非洲患者的黄褐斑。最常见的临床表现是双颞叶。据我们所知,这项研究是关于非洲HN患者临床病理特征的最大研究,它可能是第一个报告这些令人信服的发现。
本文章由计算机程序翻译,如有差异,请以英文原文为准。

Nevus of Hori in African patients: an entity that is most likely underdiagnosed in clinical practice.

Nevus of Hori in African patients: an entity that is most likely underdiagnosed in clinical practice.

Nevus of Hori in African patients: an entity that is most likely underdiagnosed in clinical practice.

Nevus of Hori in African patients: an entity that is most likely underdiagnosed in clinical practice.

Background: Nevus of Hori (HN) has been primarily reported in patients of Eastern Asian descent, with a paucity of data regarding HN occurring in African patients. In this study, we report on South African patients with HN initially thought to have melasma.

Objective: To characterize the histopathological and clinical phenotypes of HN in African patients.

Methods: Retrospective data were collected from patients who met the inclusion criteria. These data entailed the clinical distribution, demographic data, Fitzpatrick skin phototype, and histopathologic features of African patients diagnosed with HN from a single private aesthetic center in Bloemfontein, South Africa.

Results: Thirty patients with an average age of 49 ± 7.37 were included in this analysis. The majority of patients were female (n = 29; 96.67%), and most patients were of Fitzpatrick skin phototype V (n = 22; 73.3%). The most common clinical distribution pattern was bitemporal (76.7%), followed by the zygomatic pattern (20%), mixed type (16.7%), and finally the central forehead pattern (3.3%). Histopathologically, the dendritic cell type of melanocytes was observed in the majority of patients (n = 25; 83.3%), while spindle-shaped cells were observed in few patients (n = 7; 23.33%), and none of the patients had bipolar-type melanocytes.

Limitations: This study has limitations inherent to small sample size and its inability to accurately generalize the findings.

Conclusion: HN can clinically mimic melasma in African patients. The most common clinical presentation was bitemporal. To our knowledge, this study is the largest regarding the clinicopathological profile of HN in African patients and it is likely to be the first to report these compelling findings.

求助全文
通过发布文献求助,成功后即可免费获取论文全文。 去求助
来源期刊
CiteScore
4.70
自引率
0.00%
发文量
52
审稿时长
18 weeks
期刊介绍: The IJWD publishes articles pertaining to dermatologic medical, surgical and cosmetic issues faced by female patients and their families. We are interested in original research articles, review articles, unusual case reports, new treatments, clinical trials, education, mentorship and viewpoint articles. Articles dealing with ethical issues in dermatology and medical legal scenarios are also welcome.Very important articles will have accompanying editorials. Topics which our subsections editors look forward to welcoming include: Women’s Health Oncology, Surgery and Aesthetics Pediatric Dermatology Medical Dermatology Society.
×
引用
GB/T 7714-2015
复制
MLA
复制
APA
复制
导出至
BibTeX EndNote RefMan NoteFirst NoteExpress
×
提示
您的信息不完整,为了账户安全,请先补充。
现在去补充
×
提示
您因"违规操作"
具体请查看互助需知
我知道了
×
提示
确定
请完成安全验证×
copy
已复制链接
快去分享给好友吧!
我知道了
右上角分享
点击右上角分享
0
联系我们:info@booksci.cn Book学术提供免费学术资源搜索服务,方便国内外学者检索中英文文献。致力于提供最便捷和优质的服务体验。 Copyright © 2023 布克学术 All rights reserved.
京ICP备2023020795号-1
ghs 京公网安备 11010802042870号
Book学术文献互助
Book学术文献互助群
群 号:604180095
Book学术官方微信