结直肠腺癌的孤立性胆道同步转移。

IF 2.2 Q3 ONCOLOGY
World Journal of Oncology Pub Date : 2025-04-01 Epub Date: 2025-03-18 DOI:10.14740/wjon2008
Kyla Wright, Michael A Mederos, Irene R Riahi, Bita V Naini, Jena Depetris, Mark D Girgis
{"title":"结直肠腺癌的孤立性胆道同步转移。","authors":"Kyla Wright, Michael A Mederos, Irene R Riahi, Bita V Naini, Jena Depetris, Mark D Girgis","doi":"10.14740/wjon2008","DOIUrl":null,"url":null,"abstract":"<p><p>Malignant biliary obstruction can, in rare cases, arise from metastases to the biliary tree from distant primary tumors. This phenomenon often poses a diagnostic challenge, as bile duct metastases may clinically and radiologically mimic primary biliary tumors, such as cholangiocarcinoma. We present a unique case of solitary, synchronous intraductal biliary metastasis in a patient with colorectal adenocarcinoma that led to biliary obstruction. The patient initially presented with a new diagnosis of colon cancer at the hepatic flexure and was found, on cross-sectional imaging, to have biliary obstruction due to an intraductal mass. Initially, the nature of the intraductal lesion was uncertain; however, it was ultimately confirmed through histopathological examination to be metastatic colorectal adenocarcinoma. This case underscores the difficulty of distinguishing metastatic biliary obstruction from primary biliary tumors and highlights the importance of considering metastatic disease in atypical presentations of biliary masses. We discuss several key radiologic and histopathological features that may help differentiate intraductal colorectal adenocarcinoma metastases from primary biliary tumors.</p>","PeriodicalId":46797,"journal":{"name":"World Journal of Oncology","volume":"16 2","pages":"227-234"},"PeriodicalIF":2.2000,"publicationDate":"2025-04-01","publicationTypes":"Journal Article","fieldsOfStudy":null,"isOpenAccess":false,"openAccessPdf":"https://www.ncbi.nlm.nih.gov/pmc/articles/PMC11954611/pdf/","citationCount":"0","resultStr":"{\"title\":\"Solitary Synchronous Biliary Metastasis in Colorectal Adenocarcinoma.\",\"authors\":\"Kyla Wright, Michael A Mederos, Irene R Riahi, Bita V Naini, Jena Depetris, Mark D Girgis\",\"doi\":\"10.14740/wjon2008\",\"DOIUrl\":null,\"url\":null,\"abstract\":\"<p><p>Malignant biliary obstruction can, in rare cases, arise from metastases to the biliary tree from distant primary tumors. This phenomenon often poses a diagnostic challenge, as bile duct metastases may clinically and radiologically mimic primary biliary tumors, such as cholangiocarcinoma. We present a unique case of solitary, synchronous intraductal biliary metastasis in a patient with colorectal adenocarcinoma that led to biliary obstruction. The patient initially presented with a new diagnosis of colon cancer at the hepatic flexure and was found, on cross-sectional imaging, to have biliary obstruction due to an intraductal mass. Initially, the nature of the intraductal lesion was uncertain; however, it was ultimately confirmed through histopathological examination to be metastatic colorectal adenocarcinoma. This case underscores the difficulty of distinguishing metastatic biliary obstruction from primary biliary tumors and highlights the importance of considering metastatic disease in atypical presentations of biliary masses. We discuss several key radiologic and histopathological features that may help differentiate intraductal colorectal adenocarcinoma metastases from primary biliary tumors.</p>\",\"PeriodicalId\":46797,\"journal\":{\"name\":\"World Journal of Oncology\",\"volume\":\"16 2\",\"pages\":\"227-234\"},\"PeriodicalIF\":2.2000,\"publicationDate\":\"2025-04-01\",\"publicationTypes\":\"Journal Article\",\"fieldsOfStudy\":null,\"isOpenAccess\":false,\"openAccessPdf\":\"https://www.ncbi.nlm.nih.gov/pmc/articles/PMC11954611/pdf/\",\"citationCount\":\"0\",\"resultStr\":null,\"platform\":\"Semanticscholar\",\"paperid\":null,\"PeriodicalName\":\"World Journal of Oncology\",\"FirstCategoryId\":\"1085\",\"ListUrlMain\":\"https://doi.org/10.14740/wjon2008\",\"RegionNum\":0,\"RegionCategory\":null,\"ArticlePicture\":[],\"TitleCN\":null,\"AbstractTextCN\":null,\"PMCID\":null,\"EPubDate\":\"2025/3/18 0:00:00\",\"PubModel\":\"Epub\",\"JCR\":\"Q3\",\"JCRName\":\"ONCOLOGY\",\"Score\":null,\"Total\":0}","platform":"Semanticscholar","paperid":null,"PeriodicalName":"World Journal of Oncology","FirstCategoryId":"1085","ListUrlMain":"https://doi.org/10.14740/wjon2008","RegionNum":0,"RegionCategory":null,"ArticlePicture":[],"TitleCN":null,"AbstractTextCN":null,"PMCID":null,"EPubDate":"2025/3/18 0:00:00","PubModel":"Epub","JCR":"Q3","JCRName":"ONCOLOGY","Score":null,"Total":0}
引用次数: 0

摘要

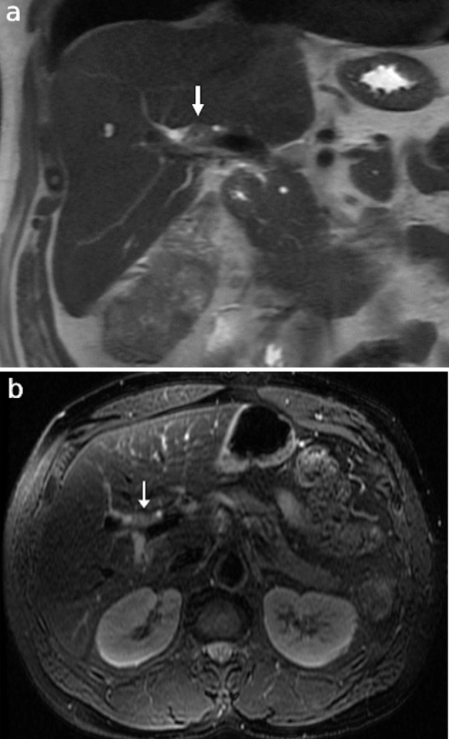
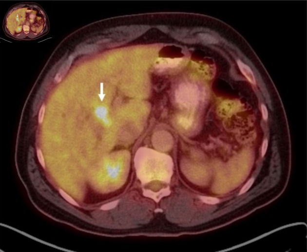
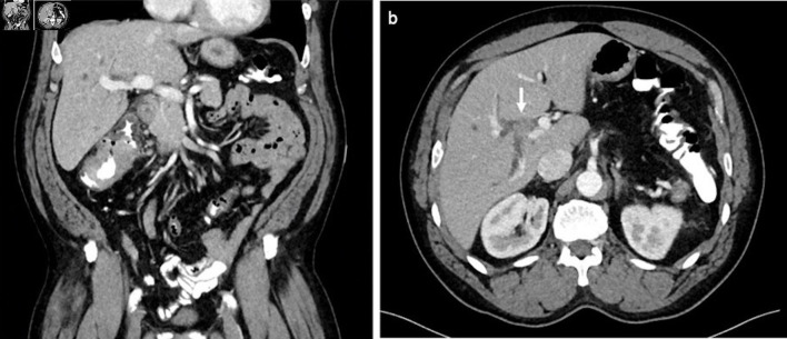
在极少数情况下,恶性胆道梗阻可能源于远处原发肿瘤转移到胆管。由于胆管转移瘤在临床和影像学上可能与胆管癌等原发性胆道肿瘤相似,因此这种现象往往给诊断带来挑战。我们介绍了一例独特的结直肠腺癌患者单发同步导管内胆管转移导致胆道梗阻的病例。患者最初被新诊断为肝曲处结肠癌,横断面影像学检查发现导管内肿块导致胆道梗阻。最初,导管内病变的性质并不确定,但通过组织病理学检查,最终确诊为转移性结直肠腺癌。该病例强调了区分转移性胆道梗阻和原发性胆道肿瘤的难度,并突出了在胆道肿块的非典型表现中考虑转移性疾病的重要性。我们讨论了有助于区分导管内结直肠腺癌转移瘤和原发性胆道肿瘤的几个关键放射学和组织病理学特征。
本文章由计算机程序翻译,如有差异,请以英文原文为准。

Solitary Synchronous Biliary Metastasis in Colorectal Adenocarcinoma.

Solitary Synchronous Biliary Metastasis in Colorectal Adenocarcinoma.

Solitary Synchronous Biliary Metastasis in Colorectal Adenocarcinoma.

Solitary Synchronous Biliary Metastasis in Colorectal Adenocarcinoma.

Malignant biliary obstruction can, in rare cases, arise from metastases to the biliary tree from distant primary tumors. This phenomenon often poses a diagnostic challenge, as bile duct metastases may clinically and radiologically mimic primary biliary tumors, such as cholangiocarcinoma. We present a unique case of solitary, synchronous intraductal biliary metastasis in a patient with colorectal adenocarcinoma that led to biliary obstruction. The patient initially presented with a new diagnosis of colon cancer at the hepatic flexure and was found, on cross-sectional imaging, to have biliary obstruction due to an intraductal mass. Initially, the nature of the intraductal lesion was uncertain; however, it was ultimately confirmed through histopathological examination to be metastatic colorectal adenocarcinoma. This case underscores the difficulty of distinguishing metastatic biliary obstruction from primary biliary tumors and highlights the importance of considering metastatic disease in atypical presentations of biliary masses. We discuss several key radiologic and histopathological features that may help differentiate intraductal colorectal adenocarcinoma metastases from primary biliary tumors.

求助全文
通过发布文献求助,成功后即可免费获取论文全文。 去求助
来源期刊
CiteScore
6.10
自引率
15.40%
发文量
37
期刊介绍: World Journal of Oncology, bimonthly, publishes original contributions describing basic research and clinical investigation of cancer, on the cellular, molecular, prevention, diagnosis, therapy and prognosis aspects. The submissions can be basic research or clinical investigation oriented. This journal welcomes those submissions focused on the clinical trials of new treatment modalities for cancer, and those submissions focused on molecular or cellular research of the oncology pathogenesis. Case reports submitted for consideration of publication should explore either a novel genomic event/description or a new safety signal from an oncolytic agent. The areas of interested manuscripts are these disciplines: tumor immunology and immunotherapy; cancer molecular pharmacology and chemotherapy; drug sensitivity and resistance; cancer epidemiology; clinical trials; cancer pathology; radiobiology and radiation oncology; solid tumor oncology; hematological malignancies; surgical oncology; pediatric oncology; molecular oncology and cancer genes; gene therapy; cancer endocrinology; cancer metastasis; prevention and diagnosis of cancer; other cancer related subjects. The types of manuscripts accepted are original article, review, editorial, short communication, case report, letter to the editor, book review.
×
引用
GB/T 7714-2015
复制
MLA
复制
APA
复制
导出至
BibTeX EndNote RefMan NoteFirst NoteExpress
×
提示
您的信息不完整,为了账户安全,请先补充。
现在去补充
×
提示
您因"违规操作"
具体请查看互助需知
我知道了
×
提示
确定
请完成安全验证×
copy
已复制链接
快去分享给好友吧!
我知道了
右上角分享
点击右上角分享
0
联系我们:info@booksci.cn Book学术提供免费学术资源搜索服务,方便国内外学者检索中英文文献。致力于提供最便捷和优质的服务体验。 Copyright © 2023 布克学术 All rights reserved.
京ICP备2023020795号-1
ghs 京公网安备 11010802042870号
Book学术文献互助
Book学术文献互助群
群 号:604180095
Book学术官方微信