三方基序家族样蛋白1和2在猪早期概念发育和胎盘中的表达。

IF 3.4 Q2 REPRODUCTIVE BIOLOGY
Reproduction & fertility Pub Date : 2025-04-08 Print Date: 2025-04-01 DOI:10.1530/RAF-24-0107
Emily K Eitel, Mariana Sponchiado, Riley M Sullivan, Caroline G Lucas, Bethany K Redel, Paula R Chen, Kevin D Wells, Randall S Prather, Wesley C Warren, Rodney D Geisert
{"title":"三方基序家族样蛋白1和2在猪早期概念发育和胎盘中的表达。","authors":"Emily K Eitel, Mariana Sponchiado, Riley M Sullivan, Caroline G Lucas, Bethany K Redel, Paula R Chen, Kevin D Wells, Randall S Prather, Wesley C Warren, Rodney D Geisert","doi":"10.1530/RAF-24-0107","DOIUrl":null,"url":null,"abstract":"<p><strong>Abstract: </strong>The eutherian placenta is highly complex, evolving to regulate the inflammatory phase of pregnancy during conceptus attachment and placental tissue development. Tripartite motif family-like (TRIMLs) proteins are implicated in downregulating inflammation. In mammals, TRIML1 and TRIML2 show preferential expression in gonads, preimplantation embryos and placenta. TRIML1 domains differ between eutherians and marsupials, while TRIML2 is absent in marsupials, suggesting it may play a unique role in regulating the inflammatory phase during conceptus attachment, critical for establishing and maintaining pregnancy to term. This study aimed to investigate the expression pattern of TRIML1 and TRIML2 in various tissues, as well as during embryo development, conceptus attachment, and placental formation in pigs. Transcripts for TRIML2 were detected in embryos, conceptuses, extraembryonic membranes, ovary and testis but not in any of the other tissues examined. In contrast, TRIML1 expression was only observed in testis. In situ hybridization of TRIML1 and TRIML2 confirmed these results. The specific expression of TRIML2 in immune privileged sites is consistent with it serving as an anti-inflammatory factor to provide immunological protection of the eutherian placenta. To further investigate the role of TRIML2, CRISPR/Cas9 gene editing was employed to knock out either TRIML1 (control) or TRIML2. TRIML1 -/- and TRIML2 -/- porcine fetal fibroblasts were used for somatic cell nuclear transfer, and the resulting embryos were transferred into surrogate gilts. Early conceptus and placental development were not affected by the loss of conceptus TRIML2. Although a tissue-specific expression pattern was found, TRIML1 or TRIML2 are not required for pregnancy establishment in the pig.</p><p><strong>Lay summary: </strong>This study investigates the expression and possible roles of two specific proteins in pigs. These proteins are implicated in regulating inflammation and are thought to be important for the proper development of the placenta, which is essential for a successful pregnancy. TRIML2 was found in embryos and certain tissues, including ovary, testis and placenta, while TRIML1 appears only in the testis. We further used gene-editing techniques to generate pig embryos lacking these proteins to test whether their absence would affect early pregnancy and placental development. Lack of either TRIML1 or TRIML2 did not disrupt the early stages of pregnancy or placental formation, indicating that these proteins may not be critical for these processes in pigs.</p>","PeriodicalId":101312,"journal":{"name":"Reproduction & fertility","volume":" ","pages":""},"PeriodicalIF":3.4000,"publicationDate":"2025-04-08","publicationTypes":"Journal Article","fieldsOfStudy":null,"isOpenAccess":false,"openAccessPdf":"https://www.ncbi.nlm.nih.gov/pmc/articles/PMC12007913/pdf/","citationCount":"0","resultStr":"{\"title\":\"Expression of tripartite motif family-like protein 1 and 2 in early conceptus development and placentation in the pig.\",\"authors\":\"Emily K Eitel, Mariana Sponchiado, Riley M Sullivan, Caroline G Lucas, Bethany K Redel, Paula R Chen, Kevin D Wells, Randall S Prather, Wesley C Warren, Rodney D Geisert\",\"doi\":\"10.1530/RAF-24-0107\",\"DOIUrl\":null,\"url\":null,\"abstract\":\"<p><strong>Abstract: </strong>The eutherian placenta is highly complex, evolving to regulate the inflammatory phase of pregnancy during conceptus attachment and placental tissue development. Tripartite motif family-like (TRIMLs) proteins are implicated in downregulating inflammation. In mammals, TRIML1 and TRIML2 show preferential expression in gonads, preimplantation embryos and placenta. TRIML1 domains differ between eutherians and marsupials, while TRIML2 is absent in marsupials, suggesting it may play a unique role in regulating the inflammatory phase during conceptus attachment, critical for establishing and maintaining pregnancy to term. This study aimed to investigate the expression pattern of TRIML1 and TRIML2 in various tissues, as well as during embryo development, conceptus attachment, and placental formation in pigs. Transcripts for TRIML2 were detected in embryos, conceptuses, extraembryonic membranes, ovary and testis but not in any of the other tissues examined. In contrast, TRIML1 expression was only observed in testis. In situ hybridization of TRIML1 and TRIML2 confirmed these results. The specific expression of TRIML2 in immune privileged sites is consistent with it serving as an anti-inflammatory factor to provide immunological protection of the eutherian placenta. To further investigate the role of TRIML2, CRISPR/Cas9 gene editing was employed to knock out either TRIML1 (control) or TRIML2. TRIML1 -/- and TRIML2 -/- porcine fetal fibroblasts were used for somatic cell nuclear transfer, and the resulting embryos were transferred into surrogate gilts. Early conceptus and placental development were not affected by the loss of conceptus TRIML2. Although a tissue-specific expression pattern was found, TRIML1 or TRIML2 are not required for pregnancy establishment in the pig.</p><p><strong>Lay summary: </strong>This study investigates the expression and possible roles of two specific proteins in pigs. These proteins are implicated in regulating inflammation and are thought to be important for the proper development of the placenta, which is essential for a successful pregnancy. TRIML2 was found in embryos and certain tissues, including ovary, testis and placenta, while TRIML1 appears only in the testis. We further used gene-editing techniques to generate pig embryos lacking these proteins to test whether their absence would affect early pregnancy and placental development. Lack of either TRIML1 or TRIML2 did not disrupt the early stages of pregnancy or placental formation, indicating that these proteins may not be critical for these processes in pigs.</p>\",\"PeriodicalId\":101312,\"journal\":{\"name\":\"Reproduction & fertility\",\"volume\":\" \",\"pages\":\"\"},\"PeriodicalIF\":3.4000,\"publicationDate\":\"2025-04-08\",\"publicationTypes\":\"Journal Article\",\"fieldsOfStudy\":null,\"isOpenAccess\":false,\"openAccessPdf\":\"https://www.ncbi.nlm.nih.gov/pmc/articles/PMC12007913/pdf/\",\"citationCount\":\"0\",\"resultStr\":null,\"platform\":\"Semanticscholar\",\"paperid\":null,\"PeriodicalName\":\"Reproduction & fertility\",\"FirstCategoryId\":\"1085\",\"ListUrlMain\":\"https://doi.org/10.1530/RAF-24-0107\",\"RegionNum\":0,\"RegionCategory\":null,\"ArticlePicture\":[],\"TitleCN\":null,\"AbstractTextCN\":null,\"PMCID\":null,\"EPubDate\":\"2025/4/1 0:00:00\",\"PubModel\":\"Print\",\"JCR\":\"Q2\",\"JCRName\":\"REPRODUCTIVE BIOLOGY\",\"Score\":null,\"Total\":0}","platform":"Semanticscholar","paperid":null,"PeriodicalName":"Reproduction & fertility","FirstCategoryId":"1085","ListUrlMain":"https://doi.org/10.1530/RAF-24-0107","RegionNum":0,"RegionCategory":null,"ArticlePicture":[],"TitleCN":null,"AbstractTextCN":null,"PMCID":null,"EPubDate":"2025/4/1 0:00:00","PubModel":"Print","JCR":"Q2","JCRName":"REPRODUCTIVE BIOLOGY","Score":null,"Total":0}
引用次数: 0

摘要

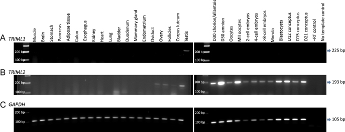
真胎胎盘是高度复杂的,在胚胎附着和胎盘组织发育过程中调节妊娠的炎症阶段。Tripartite motif family like (TRIMLs)蛋白参与炎症的下调。在哺乳动物中,TRIML1和TRIML2在性腺、着床前胚胎和胎盘中优先表达。TRIML1结构域在哺乳动物和有袋动物之间有所不同,而TRIML2在有袋动物中缺失,这表明它可能在调节妊娠依附期间的炎症阶段发挥独特作用,这对于建立和维持妊娠至足月至关重要。本研究旨在探讨TRIML1和TRIML2在猪不同组织以及胚胎发育、胎体着床和胎盘形成过程中的表达规律。TRIML2转录本在胚胎、胚胎、胚胎外膜、卵巢和睾丸中检测到,但在其他组织中未检测到。相比之下,TRIML1仅在睾丸中表达。TRIML1和TRIML2的原位杂交证实了这些结果。TRIML2在免疫特权部位的特异性表达与它作为抗炎因子对真胎胎盘提供免疫保护是一致的。为了进一步研究TRIML2的作用,采用CRISPR/Cas9基因编辑技术敲除TRIML1(对照)或TRIML2。采用TRIML1-/-和TRIML2-/-猪胚胎成纤维细胞进行体细胞核移植,并将胚胎移植到代后备母猪中。早期妊娠和胎盘发育不受TRIML2缺失的影响。尽管发现了组织特异性表达模式,但TRIML1或TRIML2并不需要在猪中建立妊娠。
本文章由计算机程序翻译,如有差异,请以英文原文为准。

Expression of tripartite motif family-like protein 1 and 2 in early conceptus development and placentation in the pig.

Expression of tripartite motif family-like protein 1 and 2 in early conceptus development and placentation in the pig.

Expression of tripartite motif family-like protein 1 and 2 in early conceptus development and placentation in the pig.

Expression of tripartite motif family-like protein 1 and 2 in early conceptus development and placentation in the pig.

Abstract: The eutherian placenta is highly complex, evolving to regulate the inflammatory phase of pregnancy during conceptus attachment and placental tissue development. Tripartite motif family-like (TRIMLs) proteins are implicated in downregulating inflammation. In mammals, TRIML1 and TRIML2 show preferential expression in gonads, preimplantation embryos and placenta. TRIML1 domains differ between eutherians and marsupials, while TRIML2 is absent in marsupials, suggesting it may play a unique role in regulating the inflammatory phase during conceptus attachment, critical for establishing and maintaining pregnancy to term. This study aimed to investigate the expression pattern of TRIML1 and TRIML2 in various tissues, as well as during embryo development, conceptus attachment, and placental formation in pigs. Transcripts for TRIML2 were detected in embryos, conceptuses, extraembryonic membranes, ovary and testis but not in any of the other tissues examined. In contrast, TRIML1 expression was only observed in testis. In situ hybridization of TRIML1 and TRIML2 confirmed these results. The specific expression of TRIML2 in immune privileged sites is consistent with it serving as an anti-inflammatory factor to provide immunological protection of the eutherian placenta. To further investigate the role of TRIML2, CRISPR/Cas9 gene editing was employed to knock out either TRIML1 (control) or TRIML2. TRIML1 -/- and TRIML2 -/- porcine fetal fibroblasts were used for somatic cell nuclear transfer, and the resulting embryos were transferred into surrogate gilts. Early conceptus and placental development were not affected by the loss of conceptus TRIML2. Although a tissue-specific expression pattern was found, TRIML1 or TRIML2 are not required for pregnancy establishment in the pig.

Lay summary: This study investigates the expression and possible roles of two specific proteins in pigs. These proteins are implicated in regulating inflammation and are thought to be important for the proper development of the placenta, which is essential for a successful pregnancy. TRIML2 was found in embryos and certain tissues, including ovary, testis and placenta, while TRIML1 appears only in the testis. We further used gene-editing techniques to generate pig embryos lacking these proteins to test whether their absence would affect early pregnancy and placental development. Lack of either TRIML1 or TRIML2 did not disrupt the early stages of pregnancy or placental formation, indicating that these proteins may not be critical for these processes in pigs.

求助全文
通过发布文献求助,成功后即可免费获取论文全文。 去求助
来源期刊
CiteScore
2.80
自引率
0.00%
发文量
0
×
引用
GB/T 7714-2015
复制
MLA
复制
APA
复制
导出至
BibTeX EndNote RefMan NoteFirst NoteExpress
×
提示
您的信息不完整,为了账户安全,请先补充。
现在去补充
×
提示
您因"违规操作"
具体请查看互助需知
我知道了
×
提示
确定
请完成安全验证×
copy
已复制链接
快去分享给好友吧!
我知道了
右上角分享
点击右上角分享
0
联系我们:info@booksci.cn Book学术提供免费学术资源搜索服务,方便国内外学者检索中英文文献。致力于提供最便捷和优质的服务体验。 Copyright © 2023 布克学术 All rights reserved.
京ICP备2023020795号-1
ghs 京公网安备 11010802042870号
Book学术文献互助
Book学术文献互助群
群 号:604180095
Book学术官方微信