治疗胡桃夹子综合征的争议。

IF 1.5 Q3 CARDIAC & CARDIOVASCULAR SYSTEMS
Vitorio Perić, Thomas Ferenc, Tomica Bratić, Jana Bebek, Ivan Antun Mašić, Filip Ferega, Vid Vrčić, Danko Milošević, Helga Sertić Milić, Vinko Vidjak
{"title":"治疗胡桃夹子综合征的争议。","authors":"Vitorio Perić, Thomas Ferenc, Tomica Bratić, Jana Bebek, Ivan Antun Mašić, Filip Ferega, Vid Vrčić, Danko Milošević, Helga Sertić Milić, Vinko Vidjak","doi":"10.1186/s42155-025-00544-z","DOIUrl":null,"url":null,"abstract":"<p><p>Nutcracker syndrome (NCS) is a relatively uncommon vascular condition characterized by compression of the left renal vein (LRV), resulting in a variable spectrum of nonspecific symptoms, including hematuria, flank pain, varicocele, and pelvic congestion syndrome. NCS can be classified into anterior and posterior types regarding the origin of LRV compression: anterior NCS occurs when LRV is compressed between the aorta and superior mesenteric artery, whereas posterior NCS involves LRV compression between the aorta and the spine. Despite advancements in diagnostic modalities, including Doppler ultrasound, computed tomography, magnetic resonance imaging, and invasive techniques like phlebography, there is still no globally accepted diagnostic algorithm, leading to inconsistencies in diagnosis. Moreover, due to the lack of standardized treatment guidelines, the optimal management of anterior NCS remains a topic of debate. While conservative management is usually recommended in the pediatric population, invasive treatments-including surgical options like LRV transposition and renal autotransplantation, as well as interventional radiology procedures like stenting, present challenges such as stent migration, restenosis, and long-term material durability. Nevertheless, the emergence of 3D-printed stents offers potential improvements in patient-specific treatment, particularly in the pediatric population, yet their clinical efficacy and safety remain under investigation. This brief communication addresses the current discussions regarding anterior NCS management, emphasizing the need for standardized diagnostic algorithms, a multidisciplinary approach, and continued technological advancements to refine treatment possibilities and strategies. Further research is critical to resolve these controversies and establish a consensus on best practices.</p>","PeriodicalId":52351,"journal":{"name":"CVIR Endovascular","volume":"8 1","pages":"26"},"PeriodicalIF":1.5000,"publicationDate":"2025-03-28","publicationTypes":"Journal Article","fieldsOfStudy":null,"isOpenAccess":false,"openAccessPdf":"https://www.ncbi.nlm.nih.gov/pmc/articles/PMC11950451/pdf/","citationCount":"0","resultStr":"{\"title\":\"Controversies in treating nutcracker syndrome.\",\"authors\":\"Vitorio Perić, Thomas Ferenc, Tomica Bratić, Jana Bebek, Ivan Antun Mašić, Filip Ferega, Vid Vrčić, Danko Milošević, Helga Sertić Milić, Vinko Vidjak\",\"doi\":\"10.1186/s42155-025-00544-z\",\"DOIUrl\":null,\"url\":null,\"abstract\":\"<p><p>Nutcracker syndrome (NCS) is a relatively uncommon vascular condition characterized by compression of the left renal vein (LRV), resulting in a variable spectrum of nonspecific symptoms, including hematuria, flank pain, varicocele, and pelvic congestion syndrome. NCS can be classified into anterior and posterior types regarding the origin of LRV compression: anterior NCS occurs when LRV is compressed between the aorta and superior mesenteric artery, whereas posterior NCS involves LRV compression between the aorta and the spine. Despite advancements in diagnostic modalities, including Doppler ultrasound, computed tomography, magnetic resonance imaging, and invasive techniques like phlebography, there is still no globally accepted diagnostic algorithm, leading to inconsistencies in diagnosis. Moreover, due to the lack of standardized treatment guidelines, the optimal management of anterior NCS remains a topic of debate. While conservative management is usually recommended in the pediatric population, invasive treatments-including surgical options like LRV transposition and renal autotransplantation, as well as interventional radiology procedures like stenting, present challenges such as stent migration, restenosis, and long-term material durability. Nevertheless, the emergence of 3D-printed stents offers potential improvements in patient-specific treatment, particularly in the pediatric population, yet their clinical efficacy and safety remain under investigation. This brief communication addresses the current discussions regarding anterior NCS management, emphasizing the need for standardized diagnostic algorithms, a multidisciplinary approach, and continued technological advancements to refine treatment possibilities and strategies. Further research is critical to resolve these controversies and establish a consensus on best practices.</p>\",\"PeriodicalId\":52351,\"journal\":{\"name\":\"CVIR Endovascular\",\"volume\":\"8 1\",\"pages\":\"26\"},\"PeriodicalIF\":1.5000,\"publicationDate\":\"2025-03-28\",\"publicationTypes\":\"Journal Article\",\"fieldsOfStudy\":null,\"isOpenAccess\":false,\"openAccessPdf\":\"https://www.ncbi.nlm.nih.gov/pmc/articles/PMC11950451/pdf/\",\"citationCount\":\"0\",\"resultStr\":null,\"platform\":\"Semanticscholar\",\"paperid\":null,\"PeriodicalName\":\"CVIR Endovascular\",\"FirstCategoryId\":\"1085\",\"ListUrlMain\":\"https://doi.org/10.1186/s42155-025-00544-z\",\"RegionNum\":0,\"RegionCategory\":null,\"ArticlePicture\":[],\"TitleCN\":null,\"AbstractTextCN\":null,\"PMCID\":null,\"EPubDate\":\"\",\"PubModel\":\"\",\"JCR\":\"Q3\",\"JCRName\":\"CARDIAC & CARDIOVASCULAR SYSTEMS\",\"Score\":null,\"Total\":0}","platform":"Semanticscholar","paperid":null,"PeriodicalName":"CVIR Endovascular","FirstCategoryId":"1085","ListUrlMain":"https://doi.org/10.1186/s42155-025-00544-z","RegionNum":0,"RegionCategory":null,"ArticlePicture":[],"TitleCN":null,"AbstractTextCN":null,"PMCID":null,"EPubDate":"","PubModel":"","JCR":"Q3","JCRName":"CARDIAC & CARDIOVASCULAR SYSTEMS","Score":null,"Total":0}
引用次数: 0

摘要

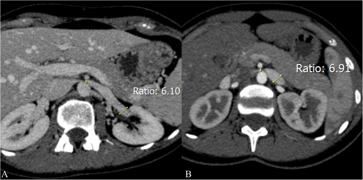
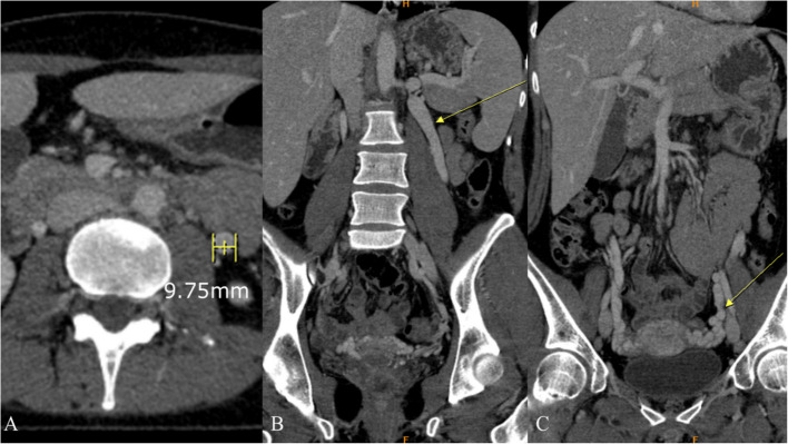
胡桃夹子综合征(NCS)是一种相对罕见的血管疾病,其特征是左肾静脉(LRV)受压,导致多种非特异性症状,包括血尿、侧腹疼痛、精索静脉曲张和盆腔充血综合征。LRV受压来源可分为前、后两种:前路NCS发生于LRV受压于主动脉与肠系膜上动脉之间,后路NCS发生于主动脉与脊柱之间。尽管诊断方式有了进步,包括多普勒超声、计算机断层扫描、磁共振成像和侵入性技术,如静脉造影术,但仍然没有全球公认的诊断算法,导致诊断不一致。此外,由于缺乏标准化的治疗指南,前路NCS的最佳治疗仍然是一个有争议的话题。虽然在儿童人群中通常推荐保守治疗,但侵入性治疗——包括LRV转位和肾脏自体移植等手术选择,以及介入放射治疗(如支架置入术)——存在支架移位、再狭窄和材料长期耐用性等挑战。尽管如此,3d打印支架的出现为患者特异性治疗提供了潜在的改进,特别是在儿科人群中,但其临床疗效和安全性仍在调查中。本文简要介绍了目前关于前路NCS治疗的讨论,强调需要标准化的诊断算法、多学科方法和持续的技术进步来完善治疗可能性和策略。进一步的研究对于解决这些争议和就最佳做法达成共识至关重要。
本文章由计算机程序翻译,如有差异,请以英文原文为准。

Controversies in treating nutcracker syndrome.

Controversies in treating nutcracker syndrome.

Controversies in treating nutcracker syndrome.

Controversies in treating nutcracker syndrome.

Nutcracker syndrome (NCS) is a relatively uncommon vascular condition characterized by compression of the left renal vein (LRV), resulting in a variable spectrum of nonspecific symptoms, including hematuria, flank pain, varicocele, and pelvic congestion syndrome. NCS can be classified into anterior and posterior types regarding the origin of LRV compression: anterior NCS occurs when LRV is compressed between the aorta and superior mesenteric artery, whereas posterior NCS involves LRV compression between the aorta and the spine. Despite advancements in diagnostic modalities, including Doppler ultrasound, computed tomography, magnetic resonance imaging, and invasive techniques like phlebography, there is still no globally accepted diagnostic algorithm, leading to inconsistencies in diagnosis. Moreover, due to the lack of standardized treatment guidelines, the optimal management of anterior NCS remains a topic of debate. While conservative management is usually recommended in the pediatric population, invasive treatments-including surgical options like LRV transposition and renal autotransplantation, as well as interventional radiology procedures like stenting, present challenges such as stent migration, restenosis, and long-term material durability. Nevertheless, the emergence of 3D-printed stents offers potential improvements in patient-specific treatment, particularly in the pediatric population, yet their clinical efficacy and safety remain under investigation. This brief communication addresses the current discussions regarding anterior NCS management, emphasizing the need for standardized diagnostic algorithms, a multidisciplinary approach, and continued technological advancements to refine treatment possibilities and strategies. Further research is critical to resolve these controversies and establish a consensus on best practices.

求助全文
通过发布文献求助,成功后即可免费获取论文全文。 去求助
来源期刊
CVIR Endovascular
CVIR Endovascular Medicine-Radiology, Nuclear Medicine and Imaging
CiteScore
2.30
自引率
0.00%
发文量
59
×
引用
GB/T 7714-2015
复制
MLA
复制
APA
复制
导出至
BibTeX EndNote RefMan NoteFirst NoteExpress
×
提示
您的信息不完整,为了账户安全,请先补充。
现在去补充
×
提示
您因"违规操作"
具体请查看互助需知
我知道了
×
提示
确定
请完成安全验证×
copy
已复制链接
快去分享给好友吧!
我知道了
右上角分享
点击右上角分享
0
联系我们:info@booksci.cn Book学术提供免费学术资源搜索服务,方便国内外学者检索中英文文献。致力于提供最便捷和优质的服务体验。 Copyright © 2023 布克学术 All rights reserved.
京ICP备2023020795号-1
ghs 京公网安备 11010802042870号
Book学术文献互助
Book学术文献互助群
群 号:604180095
Book学术官方微信