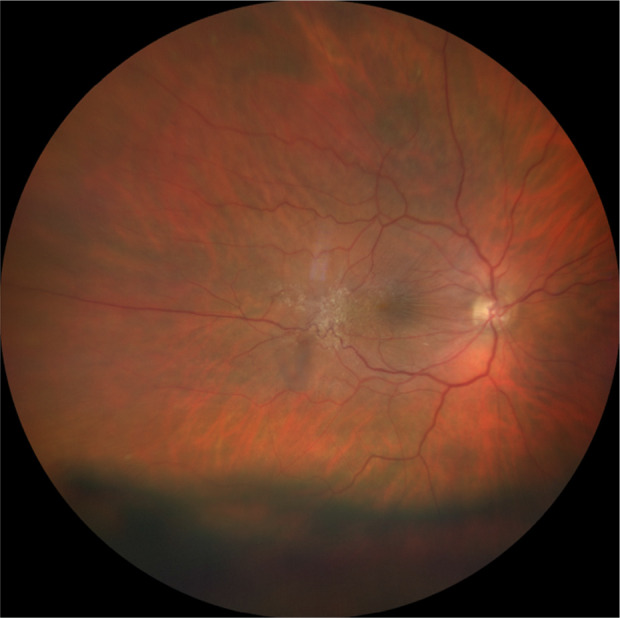
外科黄斑病变:视网膜前膜和全层黄斑孔。

Q4 Medicine
Community Eye Health Journal Pub Date : 2025-01-01 Epub Date: 2025-01-31
Anthony Hall
{"title":"外科黄斑病变:视网膜前膜和全层黄斑孔。","authors":"Anthony Hall","doi":"","DOIUrl":null,"url":null,"abstract":"","PeriodicalId":39837,"journal":{"name":"Community Eye Health Journal","volume":"37 125","pages":"13-15"},"PeriodicalIF":0.0000,"publicationDate":"2025-01-01","publicationTypes":"Journal Article","fieldsOfStudy":null,"isOpenAccess":false,"openAccessPdf":"https://www.ncbi.nlm.nih.gov/pmc/articles/PMC11938197/pdf/","citationCount":"0","resultStr":"{\"title\":\"Surgical maculopathies: epiretinal membranes and full-thickness macular holes.\",\"authors\":\"Anthony Hall\",\"doi\":\"\",\"DOIUrl\":null,\"url\":null,\"abstract\":\"\",\"PeriodicalId\":39837,\"journal\":{\"name\":\"Community Eye Health Journal\",\"volume\":\"37 125\",\"pages\":\"13-15\"},\"PeriodicalIF\":0.0000,\"publicationDate\":\"2025-01-01\",\"publicationTypes\":\"Journal Article\",\"fieldsOfStudy\":null,\"isOpenAccess\":false,\"openAccessPdf\":\"https://www.ncbi.nlm.nih.gov/pmc/articles/PMC11938197/pdf/\",\"citationCount\":\"0\",\"resultStr\":null,\"platform\":\"Semanticscholar\",\"paperid\":null,\"PeriodicalName\":\"Community Eye Health Journal\",\"FirstCategoryId\":\"1085\",\"ListUrlMain\":\"\",\"RegionNum\":0,\"RegionCategory\":null,\"ArticlePicture\":[],\"TitleCN\":null,\"AbstractTextCN\":null,\"PMCID\":null,\"EPubDate\":\"2025/1/31 0:00:00\",\"PubModel\":\"Epub\",\"JCR\":\"Q4\",\"JCRName\":\"Medicine\",\"Score\":null,\"Total\":0}","platform":"Semanticscholar","paperid":null,"PeriodicalName":"Community Eye Health Journal","FirstCategoryId":"1085","ListUrlMain":"","RegionNum":0,"RegionCategory":null,"ArticlePicture":[],"TitleCN":null,"AbstractTextCN":null,"PMCID":null,"EPubDate":"2025/1/31 0:00:00","PubModel":"Epub","JCR":"Q4","JCRName":"Medicine","Score":null,"Total":0}
引用次数: 0

摘要

本文章由计算机程序翻译,如有差异,请以英文原文为准。

Surgical maculopathies: epiretinal membranes and full-thickness macular holes.

Surgical maculopathies: epiretinal membranes and full-thickness macular holes.

Surgical maculopathies: epiretinal membranes and full-thickness macular holes.

Surgical maculopathies: epiretinal membranes and full-thickness macular holes.
求助全文
通过发布文献求助,成功后即可免费获取论文全文。 去求助
来源期刊
Community Eye Health Journal
Community Eye Health Journal Medicine-Ophthalmology
CiteScore
0.60
自引率
0.00%
发文量
16
审稿时长
14 weeks
期刊介绍: The Community Eye Health Journal is published by the International Centre for Eye Health, London School of Hygiene and Tropical Medicine, London. It addresses the elimination of avoidable blindness and focuses on countries where the burden of preventable blindness is greatest. Guided by the Global Initiative for the Elimination of Avoidable Blindness by 2020 - VISION 2020: the Right to Sight, the journal prioritises three key areas: disease control (with emphasis on VISION 2020 priority diseases such as cataract, childhood blindness, trachoma, refractive error and onchocerciasis) human resource development infrastructure and technology.
×
引用
GB/T 7714-2015
复制
MLA
复制
APA
复制
导出至
BibTeX EndNote RefMan NoteFirst NoteExpress
×
提示
您的信息不完整,为了账户安全,请先补充。
现在去补充
×
提示
您因"违规操作"
具体请查看互助需知
我知道了
×
提示
确定
请完成安全验证×
copy
已复制链接
快去分享给好友吧!
我知道了
右上角分享
点击右上角分享
0
联系我们:info@booksci.cn Book学术提供免费学术资源搜索服务,方便国内外学者检索中英文文献。致力于提供最便捷和优质的服务体验。 Copyright © 2023 布克学术 All rights reserved.
京ICP备2023020795号-1
ghs 京公网安备 11010802042870号
Book学术文献互助
Book学术文献互助群
群 号:604180095
Book学术官方微信