肺少转移的比较剂量学和生物学风险评估SBRT: VMAT,螺旋断层治疗和射波刀。

IF 2.8 4区 医学 Q3 ONCOLOGY
Technology in Cancer Research & Treatment Pub Date : 2025-01-01 Epub Date: 2025-03-28 DOI:10.1177/15330338251330781
Zhenjiong Shen, Mingyuan Pan, Lan Sun, Aihui Feng, Yanhua Duan, Hengle Gu, Yan Shao, Hua Chen, Hao Wang, Ying Huang, Zhiyong Xu
{"title":"肺少转移的比较剂量学和生物学风险评估SBRT: VMAT,螺旋断层治疗和射波刀。","authors":"Zhenjiong Shen, Mingyuan Pan, Lan Sun, Aihui Feng, Yanhua Duan, Hengle Gu, Yan Shao, Hua Chen, Hao Wang, Ying Huang, Zhiyong Xu","doi":"10.1177/15330338251330781","DOIUrl":null,"url":null,"abstract":"<p><p>PurposeTo compare the dosimetry and biological risk of volumetric modulated arc therapy (VMAT), helical tomotherapy (HT) and cyberKnife (CK) in the treatment of lung oligometastases.Methods and materialsThis retrospective study included a cohort of 21 lung oligometastasis patients, each with 2 or 3 lesions, who had previously undergone stereotactic body radiation therapy (SBRT). VMAT, HT and CK plans were made for each patient. The dose distribution of planning target volume (PTV) and organs at risk (OARs) were evaluated. Three biological risks were evaluated, namely radiation pneumonitis (RP), coronary artery disease (CAD) and congestive heart failure (CHF). Monitor Units (MUs) and beam-on-time were also recorded.ResultsAll techniques were able to produce clinically deliverable plans. The expected biological risks for VMAT plans, CK plans, and HT plans were 6.69%, 5.05%, 5.88% for RP, 1.20%, 1.15%, and 1.17% for CAD, 1.26%, 1.19%, and 1.22% for CHF. The expected risks of RP were slightly lower in CK plans compared to VMAT and HT plans (p < 0.001), with VMAT plans showing the highest expected risks. For central lung cancer, the expected CAD risks of CK and HT plans were lower than those of VMAT plans (p < 0.05). The delivery efficiency of VMAT plans was significantly higher than that of CK plans and HT plans.ConclusionsAll three techniques, VMAT, HT, and CK, meet the therapeutic requirements for target coverage and dose constraints for OARs. Although there are statistical differences, the difference between the expected risk values of RP and CAD is very small, so the clinical manifestations may not show differences.</p>","PeriodicalId":22203,"journal":{"name":"Technology in Cancer Research & Treatment","volume":"24 ","pages":"15330338251330781"},"PeriodicalIF":2.8000,"publicationDate":"2025-01-01","publicationTypes":"Journal Article","fieldsOfStudy":null,"isOpenAccess":false,"openAccessPdf":"https://www.ncbi.nlm.nih.gov/pmc/articles/PMC11951914/pdf/","citationCount":"0","resultStr":"{\"title\":\"Comparative Dosimetry and Biological Risk Assessment of Lung Oligometastasis SBRT: VMAT, Helical Tomotherapy, and CyberKnife.\",\"authors\":\"Zhenjiong Shen, Mingyuan Pan, Lan Sun, Aihui Feng, Yanhua Duan, Hengle Gu, Yan Shao, Hua Chen, Hao Wang, Ying Huang, Zhiyong Xu\",\"doi\":\"10.1177/15330338251330781\",\"DOIUrl\":null,\"url\":null,\"abstract\":\"<p><p>PurposeTo compare the dosimetry and biological risk of volumetric modulated arc therapy (VMAT), helical tomotherapy (HT) and cyberKnife (CK) in the treatment of lung oligometastases.Methods and materialsThis retrospective study included a cohort of 21 lung oligometastasis patients, each with 2 or 3 lesions, who had previously undergone stereotactic body radiation therapy (SBRT). VMAT, HT and CK plans were made for each patient. The dose distribution of planning target volume (PTV) and organs at risk (OARs) were evaluated. Three biological risks were evaluated, namely radiation pneumonitis (RP), coronary artery disease (CAD) and congestive heart failure (CHF). Monitor Units (MUs) and beam-on-time were also recorded.ResultsAll techniques were able to produce clinically deliverable plans. The expected biological risks for VMAT plans, CK plans, and HT plans were 6.69%, 5.05%, 5.88% for RP, 1.20%, 1.15%, and 1.17% for CAD, 1.26%, 1.19%, and 1.22% for CHF. The expected risks of RP were slightly lower in CK plans compared to VMAT and HT plans (p < 0.001), with VMAT plans showing the highest expected risks. For central lung cancer, the expected CAD risks of CK and HT plans were lower than those of VMAT plans (p < 0.05). The delivery efficiency of VMAT plans was significantly higher than that of CK plans and HT plans.ConclusionsAll three techniques, VMAT, HT, and CK, meet the therapeutic requirements for target coverage and dose constraints for OARs. Although there are statistical differences, the difference between the expected risk values of RP and CAD is very small, so the clinical manifestations may not show differences.</p>\",\"PeriodicalId\":22203,\"journal\":{\"name\":\"Technology in Cancer Research & Treatment\",\"volume\":\"24 \",\"pages\":\"15330338251330781\"},\"PeriodicalIF\":2.8000,\"publicationDate\":\"2025-01-01\",\"publicationTypes\":\"Journal Article\",\"fieldsOfStudy\":null,\"isOpenAccess\":false,\"openAccessPdf\":\"https://www.ncbi.nlm.nih.gov/pmc/articles/PMC11951914/pdf/\",\"citationCount\":\"0\",\"resultStr\":null,\"platform\":\"Semanticscholar\",\"paperid\":null,\"PeriodicalName\":\"Technology in Cancer Research & Treatment\",\"FirstCategoryId\":\"3\",\"ListUrlMain\":\"https://doi.org/10.1177/15330338251330781\",\"RegionNum\":4,\"RegionCategory\":\"医学\",\"ArticlePicture\":[],\"TitleCN\":null,\"AbstractTextCN\":null,\"PMCID\":null,\"EPubDate\":\"2025/3/28 0:00:00\",\"PubModel\":\"Epub\",\"JCR\":\"Q3\",\"JCRName\":\"ONCOLOGY\",\"Score\":null,\"Total\":0}","platform":"Semanticscholar","paperid":null,"PeriodicalName":"Technology in Cancer Research & Treatment","FirstCategoryId":"3","ListUrlMain":"https://doi.org/10.1177/15330338251330781","RegionNum":4,"RegionCategory":"医学","ArticlePicture":[],"TitleCN":null,"AbstractTextCN":null,"PMCID":null,"EPubDate":"2025/3/28 0:00:00","PubModel":"Epub","JCR":"Q3","JCRName":"ONCOLOGY","Score":null,"Total":0}
引用次数: 0

摘要

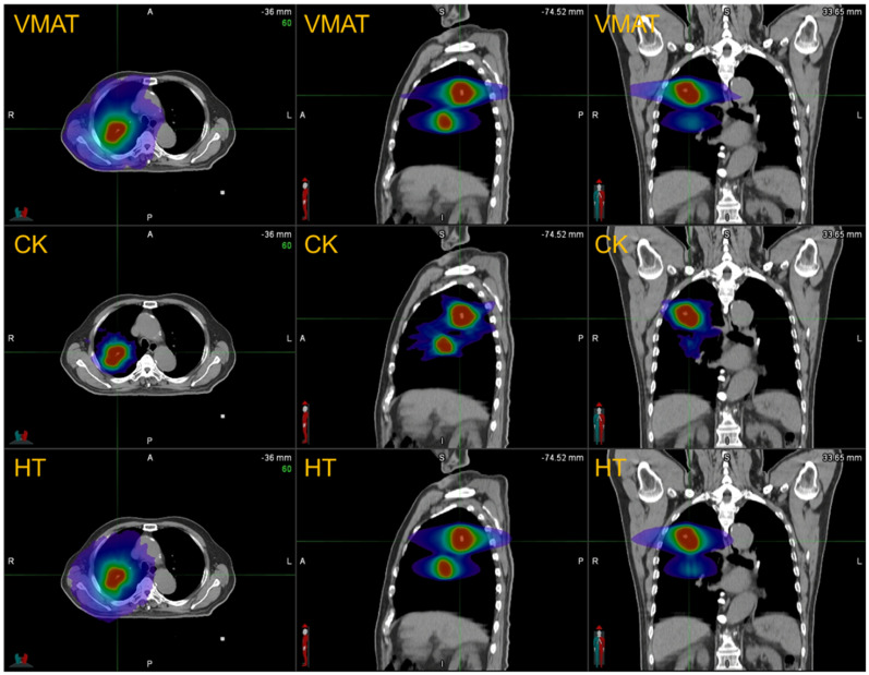
目的比较体积调节弧线治疗(VMAT)、螺旋断层治疗(HT)和射波刀(CK)治疗肺少转移瘤的剂量学和生物学风险。方法和材料本回顾性研究纳入了21例肺少转移患者,每个患者有2或3个病灶,之前接受过立体定向全身放射治疗(SBRT)。为每位患者制定VMAT、HT和CK计划。评估了计划靶体积(PTV)和危及器官(OARs)的剂量分布。评估了放射性肺炎(RP)、冠状动脉疾病(CAD)和充血性心力衰竭(CHF)三种生物学风险。同时记录监测单位(MUs)和光束接通时间。结果所有技术均能产生临床可交付的方案。VMAT计划、CK计划和HT计划的预期生物风险RP为6.69%、5.05%、5.88%,CAD为1.20%、1.15%、1.17%,CHF为1.26%、1.19%、1.22%。与VMAT和HT计划相比,CK计划RP的预期风险略低(p
本文章由计算机程序翻译,如有差异,请以英文原文为准。

Comparative Dosimetry and Biological Risk Assessment of Lung Oligometastasis SBRT: VMAT, Helical Tomotherapy, and CyberKnife.

Comparative Dosimetry and Biological Risk Assessment of Lung Oligometastasis SBRT: VMAT, Helical Tomotherapy, and CyberKnife.

Comparative Dosimetry and Biological Risk Assessment of Lung Oligometastasis SBRT: VMAT, Helical Tomotherapy, and CyberKnife.

Comparative Dosimetry and Biological Risk Assessment of Lung Oligometastasis SBRT: VMAT, Helical Tomotherapy, and CyberKnife.

PurposeTo compare the dosimetry and biological risk of volumetric modulated arc therapy (VMAT), helical tomotherapy (HT) and cyberKnife (CK) in the treatment of lung oligometastases.Methods and materialsThis retrospective study included a cohort of 21 lung oligometastasis patients, each with 2 or 3 lesions, who had previously undergone stereotactic body radiation therapy (SBRT). VMAT, HT and CK plans were made for each patient. The dose distribution of planning target volume (PTV) and organs at risk (OARs) were evaluated. Three biological risks were evaluated, namely radiation pneumonitis (RP), coronary artery disease (CAD) and congestive heart failure (CHF). Monitor Units (MUs) and beam-on-time were also recorded.ResultsAll techniques were able to produce clinically deliverable plans. The expected biological risks for VMAT plans, CK plans, and HT plans were 6.69%, 5.05%, 5.88% for RP, 1.20%, 1.15%, and 1.17% for CAD, 1.26%, 1.19%, and 1.22% for CHF. The expected risks of RP were slightly lower in CK plans compared to VMAT and HT plans (p < 0.001), with VMAT plans showing the highest expected risks. For central lung cancer, the expected CAD risks of CK and HT plans were lower than those of VMAT plans (p < 0.05). The delivery efficiency of VMAT plans was significantly higher than that of CK plans and HT plans.ConclusionsAll three techniques, VMAT, HT, and CK, meet the therapeutic requirements for target coverage and dose constraints for OARs. Although there are statistical differences, the difference between the expected risk values of RP and CAD is very small, so the clinical manifestations may not show differences.

求助全文
通过发布文献求助,成功后即可免费获取论文全文。 去求助
来源期刊
CiteScore
4.40
自引率
0.00%
发文量
202
审稿时长
2 months
期刊介绍: Technology in Cancer Research & Treatment (TCRT) is a JCR-ranked, broad-spectrum, open access, peer-reviewed publication whose aim is to provide researchers and clinicians with a platform to share and discuss developments in the prevention, diagnosis, treatment, and monitoring of cancer.
×
引用
GB/T 7714-2015
复制
MLA
复制
APA
复制
导出至
BibTeX EndNote RefMan NoteFirst NoteExpress
×
提示
您的信息不完整,为了账户安全,请先补充。
现在去补充
×
提示
您因"违规操作"
具体请查看互助需知
我知道了
×
提示
确定
请完成安全验证×
copy
已复制链接
快去分享给好友吧!
我知道了
右上角分享
点击右上角分享
0
联系我们:info@booksci.cn Book学术提供免费学术资源搜索服务,方便国内外学者检索中英文文献。致力于提供最便捷和优质的服务体验。 Copyright © 2023 布克学术 All rights reserved.
京ICP备2023020795号-1
ghs 京公网安备 11010802042870号
Book学术文献互助
Book学术文献互助群
群 号:604180095
Book学术官方微信