1例罕见的化学输送导管在肺动脉内移位。

Case Reports in Vascular Medicine Pub Date : 2025-03-19 eCollection Date: 2025-01-01 DOI:10.1155/crvm/9100288
Sanjay Shrestha, Naveen Kumar Pandey, Lokesh Shekher Jaiswal, Achyut Gyawali, Brijesh Pandey, Rajan Thapa, Jeet Prasad Ghimire, Bhuwan Thapa, Pawan Chaurasia
{"title":"1例罕见的化学输送导管在肺动脉内移位。","authors":"Sanjay Shrestha, Naveen Kumar Pandey, Lokesh Shekher Jaiswal, Achyut Gyawali, Brijesh Pandey, Rajan Thapa, Jeet Prasad Ghimire, Bhuwan Thapa, Pawan Chaurasia","doi":"10.1155/crvm/9100288","DOIUrl":null,"url":null,"abstract":"<p><p>Implantable subcutaneous chemoports are routinely employed for delivering chemotherapy in oncology. Spontaneous catheter dislodgement and embolization of the catheters are rare complications of the procedure. Herein, we report our experience with a patient presenting with spontaneous dislodgement and migration of the catheter to the pulmonary artery. The patient having familial adenomatous polyposis with adenocarcinoma of the right colon underwent total proctocolectomy and had placement of the chemoport through the internal jugular vein for adjuvant FOLFOX chemotherapy. The entrapped catheter was successfully managed by percutaneous retrieval by an interventional cardiologist.</p>","PeriodicalId":9632,"journal":{"name":"Case Reports in Vascular Medicine","volume":"2025 ","pages":"9100288"},"PeriodicalIF":0.0000,"publicationDate":"2025-03-19","publicationTypes":"Journal Article","fieldsOfStudy":null,"isOpenAccess":false,"openAccessPdf":"https://www.ncbi.nlm.nih.gov/pmc/articles/PMC11944778/pdf/","citationCount":"0","resultStr":"{\"title\":\"A Rare Case of Dislodged Chemoport Catheter Entrapment in the Pulmonary Artery.\",\"authors\":\"Sanjay Shrestha, Naveen Kumar Pandey, Lokesh Shekher Jaiswal, Achyut Gyawali, Brijesh Pandey, Rajan Thapa, Jeet Prasad Ghimire, Bhuwan Thapa, Pawan Chaurasia\",\"doi\":\"10.1155/crvm/9100288\",\"DOIUrl\":null,\"url\":null,\"abstract\":\"<p><p>Implantable subcutaneous chemoports are routinely employed for delivering chemotherapy in oncology. Spontaneous catheter dislodgement and embolization of the catheters are rare complications of the procedure. Herein, we report our experience with a patient presenting with spontaneous dislodgement and migration of the catheter to the pulmonary artery. The patient having familial adenomatous polyposis with adenocarcinoma of the right colon underwent total proctocolectomy and had placement of the chemoport through the internal jugular vein for adjuvant FOLFOX chemotherapy. The entrapped catheter was successfully managed by percutaneous retrieval by an interventional cardiologist.</p>\",\"PeriodicalId\":9632,\"journal\":{\"name\":\"Case Reports in Vascular Medicine\",\"volume\":\"2025 \",\"pages\":\"9100288\"},\"PeriodicalIF\":0.0000,\"publicationDate\":\"2025-03-19\",\"publicationTypes\":\"Journal Article\",\"fieldsOfStudy\":null,\"isOpenAccess\":false,\"openAccessPdf\":\"https://www.ncbi.nlm.nih.gov/pmc/articles/PMC11944778/pdf/\",\"citationCount\":\"0\",\"resultStr\":null,\"platform\":\"Semanticscholar\",\"paperid\":null,\"PeriodicalName\":\"Case Reports in Vascular Medicine\",\"FirstCategoryId\":\"1085\",\"ListUrlMain\":\"https://doi.org/10.1155/crvm/9100288\",\"RegionNum\":0,\"RegionCategory\":null,\"ArticlePicture\":[],\"TitleCN\":null,\"AbstractTextCN\":null,\"PMCID\":null,\"EPubDate\":\"2025/1/1 0:00:00\",\"PubModel\":\"eCollection\",\"JCR\":\"\",\"JCRName\":\"\",\"Score\":null,\"Total\":0}","platform":"Semanticscholar","paperid":null,"PeriodicalName":"Case Reports in Vascular Medicine","FirstCategoryId":"1085","ListUrlMain":"https://doi.org/10.1155/crvm/9100288","RegionNum":0,"RegionCategory":null,"ArticlePicture":[],"TitleCN":null,"AbstractTextCN":null,"PMCID":null,"EPubDate":"2025/1/1 0:00:00","PubModel":"eCollection","JCR":"","JCRName":"","Score":null,"Total":0}
引用次数: 0

摘要

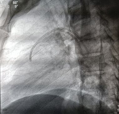
植入式皮下化疗孔是肿瘤化疗的常规载体。自发的导管脱位和导管栓塞是手术中罕见的并发症。在此,我们报告我们的经验,病人表现为自发性脱位和导管迁移到肺动脉。家族性腺瘤性息肉病合并右结肠腺癌患者行全直结肠切除术,经颈内静脉放置化疗孔,进行FOLFOX辅助化疗。被夹住的导管由介入心脏病专家通过经皮回收成功处理。
本文章由计算机程序翻译,如有差异,请以英文原文为准。

A Rare Case of Dislodged Chemoport Catheter Entrapment in the Pulmonary Artery.

A Rare Case of Dislodged Chemoport Catheter Entrapment in the Pulmonary Artery.

A Rare Case of Dislodged Chemoport Catheter Entrapment in the Pulmonary Artery.

A Rare Case of Dislodged Chemoport Catheter Entrapment in the Pulmonary Artery.

Implantable subcutaneous chemoports are routinely employed for delivering chemotherapy in oncology. Spontaneous catheter dislodgement and embolization of the catheters are rare complications of the procedure. Herein, we report our experience with a patient presenting with spontaneous dislodgement and migration of the catheter to the pulmonary artery. The patient having familial adenomatous polyposis with adenocarcinoma of the right colon underwent total proctocolectomy and had placement of the chemoport through the internal jugular vein for adjuvant FOLFOX chemotherapy. The entrapped catheter was successfully managed by percutaneous retrieval by an interventional cardiologist.

求助全文
通过发布文献求助,成功后即可免费获取论文全文。 去求助
来源期刊
自引率
0.00%
发文量
21
审稿时长
15 weeks
×
引用
GB/T 7714-2015
复制
MLA
复制
APA
复制
导出至
BibTeX EndNote RefMan NoteFirst NoteExpress
×
提示
您的信息不完整,为了账户安全,请先补充。
现在去补充
×
提示
您因"违规操作"
具体请查看互助需知
我知道了
×
提示
确定
请完成安全验证×
copy
已复制链接
快去分享给好友吧!
我知道了
右上角分享
点击右上角分享
0
联系我们:info@booksci.cn Book学术提供免费学术资源搜索服务,方便国内外学者检索中英文文献。致力于提供最便捷和优质的服务体验。 Copyright © 2023 布克学术 All rights reserved.
京ICP备2023020795号-1
ghs 京公网安备 11010802042870号
Book学术文献互助
Book学术文献互助群
群 号:604180095
Book学术官方微信