经主动脉瓣和三尖瓣的内窥镜下双室血栓的有效切除。

IF 0.9 4区 医学
Texas Heart Institute Journal Pub Date : 2025-03-21 eCollection Date: 2025-01-01 DOI:10.14503/THIJ-24-8534
Yuki Endo, Yoshiei Shimamura, Chizuo Kikuchi, Hiroshi Niinami
{"title":"经主动脉瓣和三尖瓣的内窥镜下双室血栓的有效切除。","authors":"Yuki Endo, Yoshiei Shimamura, Chizuo Kikuchi, Hiroshi Niinami","doi":"10.14503/THIJ-24-8534","DOIUrl":null,"url":null,"abstract":"<p><p>The simultaneous formation of thrombi in the left and right ventricles is extremely rare, and this condition's clinical characteristics and prognosis remain unknown. Therefore, treatment methods are still controversial. This case highlights the potential for endoscopic thrombectomy as a viable option for the treatment of giant floating biventricular thrombi in a patient with restricted cardiac function. This approach via the aortic and tricuspid heart valves allowed for effective and complete removal of the thrombi, thereby preventing further embolic complications.</p>","PeriodicalId":48680,"journal":{"name":"Texas Heart Institute Journal","volume":"52 1","pages":"e248534"},"PeriodicalIF":0.9000,"publicationDate":"2025-03-21","publicationTypes":"Journal Article","fieldsOfStudy":null,"isOpenAccess":false,"openAccessPdf":"https://www.ncbi.nlm.nih.gov/pmc/articles/PMC11933893/pdf/","citationCount":"0","resultStr":"{\"title\":\"Effective Thrombectomy for Biventricular Thrombosis With an Endoscope via the Aortic and Tricuspid Heart Valves.\",\"authors\":\"Yuki Endo, Yoshiei Shimamura, Chizuo Kikuchi, Hiroshi Niinami\",\"doi\":\"10.14503/THIJ-24-8534\",\"DOIUrl\":null,\"url\":null,\"abstract\":\"<p><p>The simultaneous formation of thrombi in the left and right ventricles is extremely rare, and this condition's clinical characteristics and prognosis remain unknown. Therefore, treatment methods are still controversial. This case highlights the potential for endoscopic thrombectomy as a viable option for the treatment of giant floating biventricular thrombi in a patient with restricted cardiac function. This approach via the aortic and tricuspid heart valves allowed for effective and complete removal of the thrombi, thereby preventing further embolic complications.</p>\",\"PeriodicalId\":48680,\"journal\":{\"name\":\"Texas Heart Institute Journal\",\"volume\":\"52 1\",\"pages\":\"e248534\"},\"PeriodicalIF\":0.9000,\"publicationDate\":\"2025-03-21\",\"publicationTypes\":\"Journal Article\",\"fieldsOfStudy\":null,\"isOpenAccess\":false,\"openAccessPdf\":\"https://www.ncbi.nlm.nih.gov/pmc/articles/PMC11933893/pdf/\",\"citationCount\":\"0\",\"resultStr\":null,\"platform\":\"Semanticscholar\",\"paperid\":null,\"PeriodicalName\":\"Texas Heart Institute Journal\",\"FirstCategoryId\":\"3\",\"ListUrlMain\":\"https://doi.org/10.14503/THIJ-24-8534\",\"RegionNum\":4,\"RegionCategory\":\"医学\",\"ArticlePicture\":[],\"TitleCN\":null,\"AbstractTextCN\":null,\"PMCID\":null,\"EPubDate\":\"2025/1/1 0:00:00\",\"PubModel\":\"eCollection\",\"JCR\":\"\",\"JCRName\":\"\",\"Score\":null,\"Total\":0}","platform":"Semanticscholar","paperid":null,"PeriodicalName":"Texas Heart Institute Journal","FirstCategoryId":"3","ListUrlMain":"https://doi.org/10.14503/THIJ-24-8534","RegionNum":4,"RegionCategory":"医学","ArticlePicture":[],"TitleCN":null,"AbstractTextCN":null,"PMCID":null,"EPubDate":"2025/1/1 0:00:00","PubModel":"eCollection","JCR":"","JCRName":"","Score":null,"Total":0}
引用次数: 0

摘要

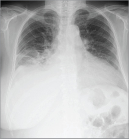
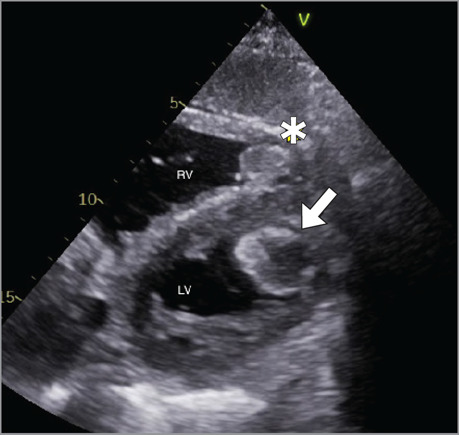
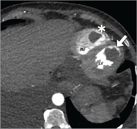
左、右心室同时形成血栓极为罕见,其临床特点及预后尚不清楚。因此,治疗方法仍存在争议。本病例强调了内窥镜取栓术作为治疗心功能受限患者巨大漂浮双室血栓的可行选择的潜力。经主动脉瓣和三尖瓣入路可以有效、完全地清除血栓,从而防止进一步的栓塞并发症。
本文章由计算机程序翻译,如有差异,请以英文原文为准。

Effective Thrombectomy for Biventricular Thrombosis With an Endoscope via the Aortic and Tricuspid Heart Valves.

Effective Thrombectomy for Biventricular Thrombosis With an Endoscope via the Aortic and Tricuspid Heart Valves.

Effective Thrombectomy for Biventricular Thrombosis With an Endoscope via the Aortic and Tricuspid Heart Valves.

Effective Thrombectomy for Biventricular Thrombosis With an Endoscope via the Aortic and Tricuspid Heart Valves.

The simultaneous formation of thrombi in the left and right ventricles is extremely rare, and this condition's clinical characteristics and prognosis remain unknown. Therefore, treatment methods are still controversial. This case highlights the potential for endoscopic thrombectomy as a viable option for the treatment of giant floating biventricular thrombi in a patient with restricted cardiac function. This approach via the aortic and tricuspid heart valves allowed for effective and complete removal of the thrombi, thereby preventing further embolic complications.

求助全文
通过发布文献求助,成功后即可免费获取论文全文。 去求助
来源期刊
Texas Heart Institute Journal
Texas Heart Institute Journal CARDIAC & CARDIOVASCULAR SYSTEMS-
自引率
11.10%
发文量
131
期刊介绍: For more than 45 years, the Texas Heart Institute Journal has been published by the Texas Heart Institute as part of its medical education program. Our bimonthly peer-reviewed journal enjoys a global audience of physicians, scientists, and healthcare professionals who are contributing to the prevention, diagnosis, and treatment of cardiovascular disease. The Journal was printed under the name of Cardiovascular Diseases from 1974 through 1981 (ISSN 0093-3546). The name was changed to Texas Heart Institute Journal in 1982 and was printed through 2013 (ISSN 0730-2347). In 2014, the Journal moved to online-only publication. It is indexed by Index Medicus/MEDLINE and by other indexing and abstracting services worldwide. Our full archive is available at PubMed Central. The Journal invites authors to submit these article types for review: -Clinical Investigations- Laboratory Investigations- Reviews- Techniques- Coronary Anomalies- History of Medicine- Case Reports/Case Series (Submission Fee: $70.00 USD)- Images in Cardiovascular Medicine (Submission Fee: $35.00 USD)- Guest Editorials- Peabody’s Corner- Letters to the Editor
×
引用
GB/T 7714-2015
复制
MLA
复制
APA
复制
导出至
BibTeX EndNote RefMan NoteFirst NoteExpress
×
提示
您的信息不完整,为了账户安全,请先补充。
现在去补充
×
提示
您因"违规操作"
具体请查看互助需知
我知道了
×
提示
确定
请完成安全验证×
copy
已复制链接
快去分享给好友吧!
我知道了
右上角分享
点击右上角分享
0
联系我们:info@booksci.cn Book学术提供免费学术资源搜索服务,方便国内外学者检索中英文文献。致力于提供最便捷和优质的服务体验。 Copyright © 2023 布克学术 All rights reserved.
京ICP备2023020795号-1
ghs 京公网安备 11010802042870号
Book学术文献互助
Book学术文献互助群
群 号:604180095
Book学术官方微信