连续超声心动图在早产儿支气管肺发育不良:诊断和处理复发性肺静脉狭窄。

IF 0.2 Q4 OBSTETRICS & GYNECOLOGY
Case Reports in Perinatal Medicine Pub Date : 2025-03-24 eCollection Date: 2025-01-01 DOI:10.1515/crpm-2024-0038
Oishi Sikdar, Mahesh Nanjundappa, Aaron Bell, Matthew Jones, Anne Greenough
{"title":"连续超声心动图在早产儿支气管肺发育不良:诊断和处理复发性肺静脉狭窄。","authors":"Oishi Sikdar, Mahesh Nanjundappa, Aaron Bell, Matthew Jones, Anne Greenough","doi":"10.1515/crpm-2024-0038","DOIUrl":null,"url":null,"abstract":"<p><strong>Objectives: </strong>To highlight the importance of serial echocardiography in preterm infants with bronchopulmonary dysplasia (BPD) to diagnose recurrent pulmonary vein stenosis (PVS) and understand its contribution to respiratory deteriorations.</p><p><strong>Case presentation: </strong>A preterm female infant born at 23+5 weeks gestation had numerous complications related to extreme prematurity, including BPD. She was diagnosed with PVS on echocardiogram after experiencing recurrent respiratory deteriorations and pulmonary hypertensive crises. Initial management involved transcutaneous balloon dilatation. A serial echocardiographic programme was implemented, with weekly monitoring of PVS. She suffered multiple respiratory deteriorations secondary to recurrence of PVS, necessitating repeat cardiac catheterisations and transcatheter stenting. Systemic macrolide therapy with sirolimus was used as adjunctive therapy.</p><p><strong>Conclusions: </strong>Extremely prematurely born infants who develop BPD are at higher risk of recurrent PVS. We demonstrate that serial echocardiographic monitoring facilitates early diagnosis and prompt intervention of PVS. Any respiratory deterioration in such infants should be assessed by an echocardiogram.</p>","PeriodicalId":9617,"journal":{"name":"Case Reports in Perinatal Medicine","volume":"14 1","pages":"20240038"},"PeriodicalIF":0.2000,"publicationDate":"2025-03-24","publicationTypes":"Journal Article","fieldsOfStudy":null,"isOpenAccess":false,"openAccessPdf":"https://www.ncbi.nlm.nih.gov/pmc/articles/PMC11931581/pdf/","citationCount":"0","resultStr":"{\"title\":\"Serial echocardiography in preterm infants with bronchopulmonary dysplasia: diagnosing and managing recurrent pulmonary vein stenosis.\",\"authors\":\"Oishi Sikdar, Mahesh Nanjundappa, Aaron Bell, Matthew Jones, Anne Greenough\",\"doi\":\"10.1515/crpm-2024-0038\",\"DOIUrl\":null,\"url\":null,\"abstract\":\"<p><strong>Objectives: </strong>To highlight the importance of serial echocardiography in preterm infants with bronchopulmonary dysplasia (BPD) to diagnose recurrent pulmonary vein stenosis (PVS) and understand its contribution to respiratory deteriorations.</p><p><strong>Case presentation: </strong>A preterm female infant born at 23+5 weeks gestation had numerous complications related to extreme prematurity, including BPD. She was diagnosed with PVS on echocardiogram after experiencing recurrent respiratory deteriorations and pulmonary hypertensive crises. Initial management involved transcutaneous balloon dilatation. A serial echocardiographic programme was implemented, with weekly monitoring of PVS. She suffered multiple respiratory deteriorations secondary to recurrence of PVS, necessitating repeat cardiac catheterisations and transcatheter stenting. Systemic macrolide therapy with sirolimus was used as adjunctive therapy.</p><p><strong>Conclusions: </strong>Extremely prematurely born infants who develop BPD are at higher risk of recurrent PVS. We demonstrate that serial echocardiographic monitoring facilitates early diagnosis and prompt intervention of PVS. Any respiratory deterioration in such infants should be assessed by an echocardiogram.</p>\",\"PeriodicalId\":9617,\"journal\":{\"name\":\"Case Reports in Perinatal Medicine\",\"volume\":\"14 1\",\"pages\":\"20240038\"},\"PeriodicalIF\":0.2000,\"publicationDate\":\"2025-03-24\",\"publicationTypes\":\"Journal Article\",\"fieldsOfStudy\":null,\"isOpenAccess\":false,\"openAccessPdf\":\"https://www.ncbi.nlm.nih.gov/pmc/articles/PMC11931581/pdf/\",\"citationCount\":\"0\",\"resultStr\":null,\"platform\":\"Semanticscholar\",\"paperid\":null,\"PeriodicalName\":\"Case Reports in Perinatal Medicine\",\"FirstCategoryId\":\"1085\",\"ListUrlMain\":\"https://doi.org/10.1515/crpm-2024-0038\",\"RegionNum\":0,\"RegionCategory\":null,\"ArticlePicture\":[],\"TitleCN\":null,\"AbstractTextCN\":null,\"PMCID\":null,\"EPubDate\":\"2025/1/1 0:00:00\",\"PubModel\":\"eCollection\",\"JCR\":\"Q4\",\"JCRName\":\"OBSTETRICS & GYNECOLOGY\",\"Score\":null,\"Total\":0}","platform":"Semanticscholar","paperid":null,"PeriodicalName":"Case Reports in Perinatal Medicine","FirstCategoryId":"1085","ListUrlMain":"https://doi.org/10.1515/crpm-2024-0038","RegionNum":0,"RegionCategory":null,"ArticlePicture":[],"TitleCN":null,"AbstractTextCN":null,"PMCID":null,"EPubDate":"2025/1/1 0:00:00","PubModel":"eCollection","JCR":"Q4","JCRName":"OBSTETRICS & GYNECOLOGY","Score":null,"Total":0}
引用次数: 0

摘要

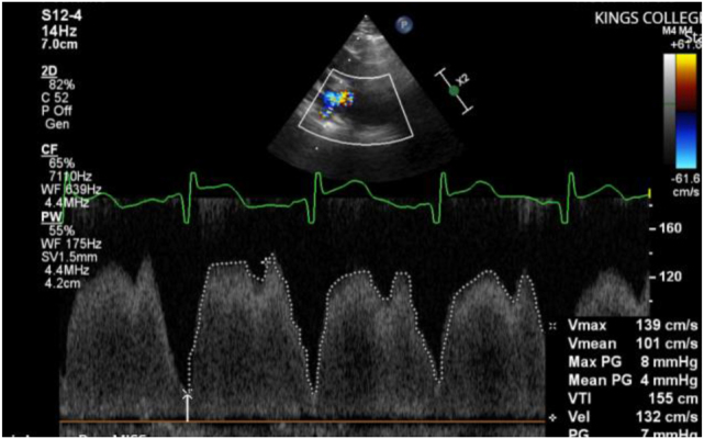
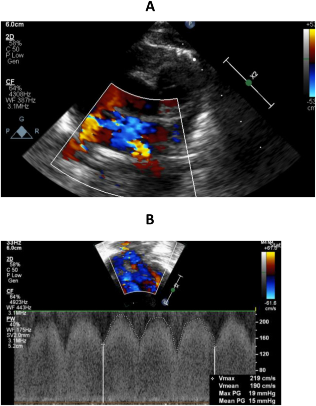
目的:强调连续超声心动图对支气管肺发育不良(BPD)早产儿诊断复发性肺静脉狭窄(PVS)的重要性,并了解其对呼吸系统恶化的贡献。病例介绍:一名妊娠23+5周出生的早产女婴有许多与极端早产相关的并发症,包括BPD。在经历了反复的呼吸恶化和肺动脉高压危象后,她在超声心动图上被诊断为PVS。最初的治疗涉及经皮球囊扩张。实施连续超声心动图计划,每周监测PVS。她因PVS复发而出现多次呼吸系统恶化,需要重复心导管和经导管支架置入。全身大环内酯类药物联合西罗莫司作为辅助治疗。结论:极度早产的BPD患儿复发性PVS的风险较高。我们证明连续超声心动图监测有助于早期诊断和及时干预PVS。这类婴儿的任何呼吸恶化都应通过超声心动图进行评估。
本文章由计算机程序翻译,如有差异,请以英文原文为准。

Serial echocardiography in preterm infants with bronchopulmonary dysplasia: diagnosing and managing recurrent pulmonary vein stenosis.

Serial echocardiography in preterm infants with bronchopulmonary dysplasia: diagnosing and managing recurrent pulmonary vein stenosis.

Serial echocardiography in preterm infants with bronchopulmonary dysplasia: diagnosing and managing recurrent pulmonary vein stenosis.

Objectives: To highlight the importance of serial echocardiography in preterm infants with bronchopulmonary dysplasia (BPD) to diagnose recurrent pulmonary vein stenosis (PVS) and understand its contribution to respiratory deteriorations.

Case presentation: A preterm female infant born at 23+5 weeks gestation had numerous complications related to extreme prematurity, including BPD. She was diagnosed with PVS on echocardiogram after experiencing recurrent respiratory deteriorations and pulmonary hypertensive crises. Initial management involved transcutaneous balloon dilatation. A serial echocardiographic programme was implemented, with weekly monitoring of PVS. She suffered multiple respiratory deteriorations secondary to recurrence of PVS, necessitating repeat cardiac catheterisations and transcatheter stenting. Systemic macrolide therapy with sirolimus was used as adjunctive therapy.

Conclusions: Extremely prematurely born infants who develop BPD are at higher risk of recurrent PVS. We demonstrate that serial echocardiographic monitoring facilitates early diagnosis and prompt intervention of PVS. Any respiratory deterioration in such infants should be assessed by an echocardiogram.

求助全文
通过发布文献求助,成功后即可免费获取论文全文。 去求助
来源期刊
Case Reports in Perinatal Medicine
Case Reports in Perinatal Medicine OBSTETRICS & GYNECOLOGY-
自引率
0.00%
发文量
37
期刊介绍: Case Reports in Perinatal Medicine is a double-blind peer-reviewed journal. The objective of the new journal is very similar to that of JPM. In addition to evidence-based studies, practitioners in clinical practice esteem especially exemplary reports of cases that reveal specific manifestations of diseases, its progress or its treatment. We consider case reports and series to be brief reports describing an isolated clinical case or a small number of cases. They may describe new or uncommon diagnoses, unusual outcomes or prognosis, new or infrequently used therapies and side effects of therapy not usually discovered in clinical trials. They represent the basic concept of experiences for studies on representative groups for further evidence-based research. The potential roles of case reports and case series are: Recognition and description of new diseases Detection of drug side effects (adverse or beneficial) Study of mechanisms of disease Medical education and audit Recognition of rare manifestations of disease.
×
引用
GB/T 7714-2015
复制
MLA
复制
APA
复制
导出至
BibTeX EndNote RefMan NoteFirst NoteExpress
×
提示
您的信息不完整,为了账户安全,请先补充。
现在去补充
×
提示
您因"违规操作"
具体请查看互助需知
我知道了
×
提示
确定
请完成安全验证×
copy
已复制链接
快去分享给好友吧!
我知道了
右上角分享
点击右上角分享
0
联系我们:info@booksci.cn Book学术提供免费学术资源搜索服务,方便国内外学者检索中英文文献。致力于提供最便捷和优质的服务体验。 Copyright © 2023 布克学术 All rights reserved.
京ICP备2023020795号-1
ghs 京公网安备 11010802042870号
Book学术文献互助
Book学术文献互助群
群 号:604180095
Book学术官方微信