ige交联诱导的荧光素酶表达试验作为异尖线虫过敏的敏感指标。

IF 2.7 Q3 IMMUNOLOGY
Antibodies Pub Date : 2025-02-25 DOI:10.3390/antib14010019
Haruyo Akiyama, Masashi Niwa, Chisato Kurisaka, Yuto Hamada, Yuma Fukutomi, Reiko Teshima
{"title":"ige交联诱导的荧光素酶表达试验作为异尖线虫过敏的敏感指标。","authors":"Haruyo Akiyama, Masashi Niwa, Chisato Kurisaka, Yuto Hamada, Yuma Fukutomi, Reiko Teshima","doi":"10.3390/antib14010019","DOIUrl":null,"url":null,"abstract":"<p><p><b>Background:</b><i>Anisakis</i> allergy has been increasing, and the diagnosis of it is based on specific serum IgE detection. Recently, the IgE-crosslinking-induced luciferase expression (EXiLE) test has been proposed as convenient tool for detecting functionally specific IgE antibodies. Here, we investigated if the EXiLE test is a useful tool in the diagnosis of <i>Anisakis</i> allergy. <b>Methods:</b> HuRa-40 cells were sensitized using six serum types from three patients with <i>Anisakis</i> allergy at the time of the initial test and after 6-12 months. Thereafter, various concentrations of <i>Anisakis</i> worm protein (AWP) were reacted to measure the degree of EXiLE. The degree of EXiLE was compared with <i>Anisakis</i>-specific IgE antibody levels measured by the CAP-FEIA method, and the IgE-antibody-binding protein profile was examined using IgE immunoblotting. <b>Results:</b> The results showed a good correlation between the CAP-FEIA values and EXiLE obtained with 5 μg/mL of AWP (R = 0.91, <i>p</i> < 0.01), a strong response on IgE immunoblotting in the region containing proteins weighing ≥40,000 Da. In addition, after the onset of <i>Anisakis</i> allergy, the degree of serum EXiLE decreased in two patients whose <i>Anisakis</i>-specific IgE antibody levels decreased over time but increased in one patient whose specific IgE antibodies increased after repeated antigen sensitization. <b>Conclusions:</b> Based on these data, the AWP-induced EXiLE test seemed to be useful and convenient for the diagnosis of <i>Anisakis</i> allergy, supplementing specific IgE determinants. After allergy onset, the use of this method to observe changes in specific IgE levels over time may be important for predicting the risk of recurrence.</p>","PeriodicalId":8188,"journal":{"name":"Antibodies","volume":"14 1","pages":""},"PeriodicalIF":2.7000,"publicationDate":"2025-02-25","publicationTypes":"Journal Article","fieldsOfStudy":null,"isOpenAccess":false,"openAccessPdf":"https://www.ncbi.nlm.nih.gov/pmc/articles/PMC11939268/pdf/","citationCount":"0","resultStr":"{\"title\":\"IgE-Crosslinking-Induced Luciferase Expression Test as a Sensitive Indicator of <i>Anisakis</i> Allergy.\",\"authors\":\"Haruyo Akiyama, Masashi Niwa, Chisato Kurisaka, Yuto Hamada, Yuma Fukutomi, Reiko Teshima\",\"doi\":\"10.3390/antib14010019\",\"DOIUrl\":null,\"url\":null,\"abstract\":\"<p><p><b>Background:</b><i>Anisakis</i> allergy has been increasing, and the diagnosis of it is based on specific serum IgE detection. Recently, the IgE-crosslinking-induced luciferase expression (EXiLE) test has been proposed as convenient tool for detecting functionally specific IgE antibodies. Here, we investigated if the EXiLE test is a useful tool in the diagnosis of <i>Anisakis</i> allergy. <b>Methods:</b> HuRa-40 cells were sensitized using six serum types from three patients with <i>Anisakis</i> allergy at the time of the initial test and after 6-12 months. Thereafter, various concentrations of <i>Anisakis</i> worm protein (AWP) were reacted to measure the degree of EXiLE. The degree of EXiLE was compared with <i>Anisakis</i>-specific IgE antibody levels measured by the CAP-FEIA method, and the IgE-antibody-binding protein profile was examined using IgE immunoblotting. <b>Results:</b> The results showed a good correlation between the CAP-FEIA values and EXiLE obtained with 5 μg/mL of AWP (R = 0.91, <i>p</i> < 0.01), a strong response on IgE immunoblotting in the region containing proteins weighing ≥40,000 Da. In addition, after the onset of <i>Anisakis</i> allergy, the degree of serum EXiLE decreased in two patients whose <i>Anisakis</i>-specific IgE antibody levels decreased over time but increased in one patient whose specific IgE antibodies increased after repeated antigen sensitization. <b>Conclusions:</b> Based on these data, the AWP-induced EXiLE test seemed to be useful and convenient for the diagnosis of <i>Anisakis</i> allergy, supplementing specific IgE determinants. After allergy onset, the use of this method to observe changes in specific IgE levels over time may be important for predicting the risk of recurrence.</p>\",\"PeriodicalId\":8188,\"journal\":{\"name\":\"Antibodies\",\"volume\":\"14 1\",\"pages\":\"\"},\"PeriodicalIF\":2.7000,\"publicationDate\":\"2025-02-25\",\"publicationTypes\":\"Journal Article\",\"fieldsOfStudy\":null,\"isOpenAccess\":false,\"openAccessPdf\":\"https://www.ncbi.nlm.nih.gov/pmc/articles/PMC11939268/pdf/\",\"citationCount\":\"0\",\"resultStr\":null,\"platform\":\"Semanticscholar\",\"paperid\":null,\"PeriodicalName\":\"Antibodies\",\"FirstCategoryId\":\"1085\",\"ListUrlMain\":\"https://doi.org/10.3390/antib14010019\",\"RegionNum\":0,\"RegionCategory\":null,\"ArticlePicture\":[],\"TitleCN\":null,\"AbstractTextCN\":null,\"PMCID\":null,\"EPubDate\":\"\",\"PubModel\":\"\",\"JCR\":\"Q3\",\"JCRName\":\"IMMUNOLOGY\",\"Score\":null,\"Total\":0}","platform":"Semanticscholar","paperid":null,"PeriodicalName":"Antibodies","FirstCategoryId":"1085","ListUrlMain":"https://doi.org/10.3390/antib14010019","RegionNum":0,"RegionCategory":null,"ArticlePicture":[],"TitleCN":null,"AbstractTextCN":null,"PMCID":null,"EPubDate":"","PubModel":"","JCR":"Q3","JCRName":"IMMUNOLOGY","Score":null,"Total":0}
引用次数: 0

摘要

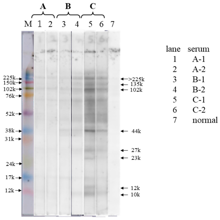
背景:恙虫病过敏症日益增多,其诊断主要依据特异性血清 IgE 检测。最近,IgE-交联诱导荧光素酶表达(EXiLE)试验被认为是检测功能特异性 IgE 抗体的便捷工具。在此,我们研究了 EXiLE 试验是否是诊断疟原虫过敏的有用工具。方法:在初次检测时和 6-12 个月后,使用三名恙虫过敏患者的六种血清对 HuRa-40 细胞进行致敏。之后,对不同浓度的疟原虫虫体蛋白(AWP)进行反应,以测量 EXiLE 的程度。将 EXiLE 的程度与 CAP-FEIA 法测得的疟原虫特异性 IgE 抗体水平进行比较,并使用 IgE 免疫印迹法检测 IgE-抗体结合蛋白图谱。结果显示结果显示,CAP-FEIA 值与 5 μg/mL AWP 的 EXiLE 值之间存在良好的相关性(R = 0.91,p < 0.01),IgE 免疫印迹在含有重量≥40,000 Da 蛋白质的区域有强烈反应。此外,在疟原虫过敏发生后,两名患者的血清 EXiLE 水平下降,其疟原虫特异性 IgE 抗体水平随时间推移而下降,但一名患者的血清 EXiLE 水平升高,其特异性 IgE 抗体在反复抗原致敏后升高。结论:根据这些数据,AWP 诱导的 EXiLE 试验似乎对诊断恙虫过敏有用且方便,是对特异性 IgE 决定因素的补充。过敏发病后,使用这种方法观察特异性 IgE 水平随时间的变化,可能对预测复发风险非常重要。
本文章由计算机程序翻译,如有差异,请以英文原文为准。

IgE-Crosslinking-Induced Luciferase Expression Test as a Sensitive Indicator of <i>Anisakis</i> Allergy.

IgE-Crosslinking-Induced Luciferase Expression Test as a Sensitive Indicator of <i>Anisakis</i> Allergy.

IgE-Crosslinking-Induced Luciferase Expression Test as a Sensitive Indicator of <i>Anisakis</i> Allergy.

IgE-Crosslinking-Induced Luciferase Expression Test as a Sensitive Indicator of Anisakis Allergy.

Background:Anisakis allergy has been increasing, and the diagnosis of it is based on specific serum IgE detection. Recently, the IgE-crosslinking-induced luciferase expression (EXiLE) test has been proposed as convenient tool for detecting functionally specific IgE antibodies. Here, we investigated if the EXiLE test is a useful tool in the diagnosis of Anisakis allergy. Methods: HuRa-40 cells were sensitized using six serum types from three patients with Anisakis allergy at the time of the initial test and after 6-12 months. Thereafter, various concentrations of Anisakis worm protein (AWP) were reacted to measure the degree of EXiLE. The degree of EXiLE was compared with Anisakis-specific IgE antibody levels measured by the CAP-FEIA method, and the IgE-antibody-binding protein profile was examined using IgE immunoblotting. Results: The results showed a good correlation between the CAP-FEIA values and EXiLE obtained with 5 μg/mL of AWP (R = 0.91, p < 0.01), a strong response on IgE immunoblotting in the region containing proteins weighing ≥40,000 Da. In addition, after the onset of Anisakis allergy, the degree of serum EXiLE decreased in two patients whose Anisakis-specific IgE antibody levels decreased over time but increased in one patient whose specific IgE antibodies increased after repeated antigen sensitization. Conclusions: Based on these data, the AWP-induced EXiLE test seemed to be useful and convenient for the diagnosis of Anisakis allergy, supplementing specific IgE determinants. After allergy onset, the use of this method to observe changes in specific IgE levels over time may be important for predicting the risk of recurrence.

求助全文
通过发布文献求助,成功后即可免费获取论文全文。 去求助
来源期刊
Antibodies
Antibodies IMMUNOLOGY-
CiteScore
7.10
自引率
6.40%
发文量
68
审稿时长
11 weeks
期刊介绍: Antibodies (ISSN 2073-4468), an international, peer-reviewed open access journal which provides an advanced forum for studies related to antibodies and antigens. It publishes reviews, research articles, communications and short notes. Our aim is to encourage scientists to publish their experimental and theoretical results in as much detail as possible. There is no restriction on the length of the papers. Full experimental and/or methodical details must be provided. Electronic files or software regarding the full details of the calculation and experimental procedure - if unable to be published in a normal way - can be deposited as supplementary material. This journal covers all topics related to antibodies and antigens, topics of interest include (but are not limited to): antibody-producing cells (including B cells), antibody structure and function, antibody-antigen interactions, Fc receptors, antibody manufacturing antibody engineering, antibody therapy, immunoassays, antibody diagnosis, tissue antigens, exogenous antigens, endogenous antigens, autoantigens, monoclonal antibodies, natural antibodies, humoral immune responses, immunoregulatory molecules.
×
引用
GB/T 7714-2015
复制
MLA
复制
APA
复制
导出至
BibTeX EndNote RefMan NoteFirst NoteExpress
×
提示
您的信息不完整,为了账户安全,请先补充。
现在去补充
×
提示
您因"违规操作"
具体请查看互助需知
我知道了
×
提示
确定
请完成安全验证×
copy
已复制链接
快去分享给好友吧!
我知道了
右上角分享
点击右上角分享
0
联系我们:info@booksci.cn Book学术提供免费学术资源搜索服务,方便国内外学者检索中英文文献。致力于提供最便捷和优质的服务体验。 Copyright © 2023 布克学术 All rights reserved.
京ICP备2023020795号-1
ghs 京公网安备 11010802042870号
Book学术文献互助
Book学术文献互助群
群 号:604180095
Book学术官方微信