靶向HuR/E2F7轴与硼替佐米协同治疗多发性骨髓瘤。

IF 8.4 1区 医学 Q1 CHEMISTRY, MULTIDISCIPLINARY
Acta Pharmacologica Sinica Pub Date : 2025-08-01 Epub Date: 2025-03-25 DOI:10.1038/s41401-025-01529-3
Ming-Yuan Jia, Chao Wu, Ze Fu, Wen-Bin Xu, Jia Liu, Cheng-Yu Wu, Xin-Yi Zeng, Ying-Li Wu, Hua Yan
{"title":"靶向HuR/E2F7轴与硼替佐米协同治疗多发性骨髓瘤。","authors":"Ming-Yuan Jia, Chao Wu, Ze Fu, Wen-Bin Xu, Jia Liu, Cheng-Yu Wu, Xin-Yi Zeng, Ying-Li Wu, Hua Yan","doi":"10.1038/s41401-025-01529-3","DOIUrl":null,"url":null,"abstract":"<p><p>Multiple myeloma (MM) is a malignant hematological disease caused by the proliferation of abnormal plasma cells in the bone marrow and is still incurable. Relapse and drug resistance are common in MM. New therapeutic targets are urgently needed for MM treatment. Human antigen R (HuR) has been reported to play an important role in the malignant biological behavior of a variety of tumors, but its role in MM remains unclear. In this study, we found that HuR was highly expressed in MM patients and associated with a poor prognosis by analyzing public datasets. We found that targeting HuR with short hairpin RNA (shRNA) or its inhibitor CMLD-2 had significant anti-MM effects both in vitro and in vivo. The overexpression of HuR promotes MM cell proliferation in vitro and in vivo. Moreover, we demonstrated that bortezomib drug sensitivity increased and decreased with the knockdown and overexpression of HuR, respectively. This result provides a rationale for our subsequent combination of CMLD-2 with bortezomib in the treatment of MM. To further explore the mechanism of HuR in MM, we performed RNA sequencing and identified its downstream molecule, E2F7. HuR upregulated E2F7 expression by increasing the stability of its mRNA in MM cells. Higher levels of E2F7 were associated with a poorer prognosis. E2F7 knockdown had anti-MM effects in vitro and in vivo. E2F7 overexpression partially rescued the cell proliferation inhibition and apoptosis caused by targeting HuR in MM cells. We subsequently demonstrated that CMLD-2 synergized with the anti-MM effect of bortezomib both in vitro and in vivo. In conclusion, targeting the HuR/E2F7 axis synergizes with bortezomib against MM. Therefore, the HuR/E2F7 axis may serve as a promising therapeutic target for MM.</p>","PeriodicalId":6942,"journal":{"name":"Acta Pharmacologica Sinica","volume":" ","pages":"2296-2309"},"PeriodicalIF":8.4000,"publicationDate":"2025-08-01","publicationTypes":"Journal Article","fieldsOfStudy":null,"isOpenAccess":false,"openAccessPdf":"https://www.ncbi.nlm.nih.gov/pmc/articles/PMC12274554/pdf/","citationCount":"0","resultStr":"{\"title\":\"Targeting the HuR/E2F7 axis synergizes with bortezomib against multiple myeloma.\",\"authors\":\"Ming-Yuan Jia, Chao Wu, Ze Fu, Wen-Bin Xu, Jia Liu, Cheng-Yu Wu, Xin-Yi Zeng, Ying-Li Wu, Hua Yan\",\"doi\":\"10.1038/s41401-025-01529-3\",\"DOIUrl\":null,\"url\":null,\"abstract\":\"<p><p>Multiple myeloma (MM) is a malignant hematological disease caused by the proliferation of abnormal plasma cells in the bone marrow and is still incurable. Relapse and drug resistance are common in MM. New therapeutic targets are urgently needed for MM treatment. Human antigen R (HuR) has been reported to play an important role in the malignant biological behavior of a variety of tumors, but its role in MM remains unclear. In this study, we found that HuR was highly expressed in MM patients and associated with a poor prognosis by analyzing public datasets. We found that targeting HuR with short hairpin RNA (shRNA) or its inhibitor CMLD-2 had significant anti-MM effects both in vitro and in vivo. The overexpression of HuR promotes MM cell proliferation in vitro and in vivo. Moreover, we demonstrated that bortezomib drug sensitivity increased and decreased with the knockdown and overexpression of HuR, respectively. This result provides a rationale for our subsequent combination of CMLD-2 with bortezomib in the treatment of MM. To further explore the mechanism of HuR in MM, we performed RNA sequencing and identified its downstream molecule, E2F7. HuR upregulated E2F7 expression by increasing the stability of its mRNA in MM cells. Higher levels of E2F7 were associated with a poorer prognosis. E2F7 knockdown had anti-MM effects in vitro and in vivo. E2F7 overexpression partially rescued the cell proliferation inhibition and apoptosis caused by targeting HuR in MM cells. We subsequently demonstrated that CMLD-2 synergized with the anti-MM effect of bortezomib both in vitro and in vivo. In conclusion, targeting the HuR/E2F7 axis synergizes with bortezomib against MM. Therefore, the HuR/E2F7 axis may serve as a promising therapeutic target for MM.</p>\",\"PeriodicalId\":6942,\"journal\":{\"name\":\"Acta Pharmacologica Sinica\",\"volume\":\" \",\"pages\":\"2296-2309\"},\"PeriodicalIF\":8.4000,\"publicationDate\":\"2025-08-01\",\"publicationTypes\":\"Journal Article\",\"fieldsOfStudy\":null,\"isOpenAccess\":false,\"openAccessPdf\":\"https://www.ncbi.nlm.nih.gov/pmc/articles/PMC12274554/pdf/\",\"citationCount\":\"0\",\"resultStr\":null,\"platform\":\"Semanticscholar\",\"paperid\":null,\"PeriodicalName\":\"Acta Pharmacologica Sinica\",\"FirstCategoryId\":\"3\",\"ListUrlMain\":\"https://doi.org/10.1038/s41401-025-01529-3\",\"RegionNum\":1,\"RegionCategory\":\"医学\",\"ArticlePicture\":[],\"TitleCN\":null,\"AbstractTextCN\":null,\"PMCID\":null,\"EPubDate\":\"2025/3/25 0:00:00\",\"PubModel\":\"Epub\",\"JCR\":\"Q1\",\"JCRName\":\"CHEMISTRY, MULTIDISCIPLINARY\",\"Score\":null,\"Total\":0}","platform":"Semanticscholar","paperid":null,"PeriodicalName":"Acta Pharmacologica Sinica","FirstCategoryId":"3","ListUrlMain":"https://doi.org/10.1038/s41401-025-01529-3","RegionNum":1,"RegionCategory":"医学","ArticlePicture":[],"TitleCN":null,"AbstractTextCN":null,"PMCID":null,"EPubDate":"2025/3/25 0:00:00","PubModel":"Epub","JCR":"Q1","JCRName":"CHEMISTRY, MULTIDISCIPLINARY","Score":null,"Total":0}
引用次数: 0

摘要

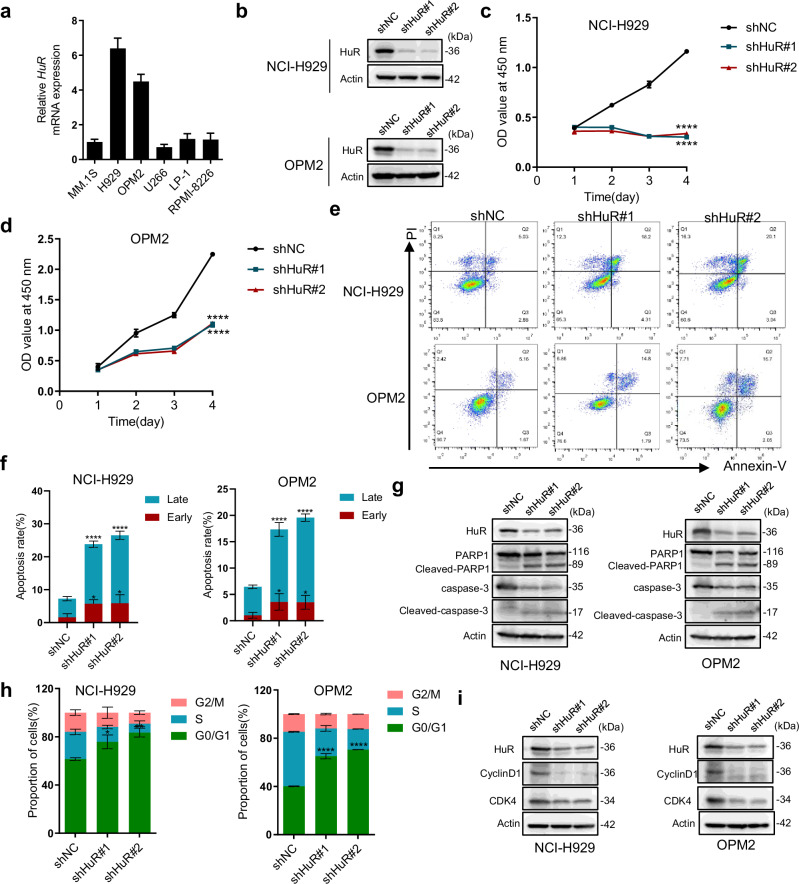
多发性骨髓瘤(MM)是一种由骨髓中异常浆细胞增生引起的恶性血液病,目前仍无法治愈。MM的复发和耐药是常见的,迫切需要新的治疗靶点。人类抗原R (Human antigen R, HuR)已被报道在多种肿瘤的恶性生物学行为中发挥重要作用,但其在MM中的作用尚不清楚。在这项研究中,我们通过分析公共数据集发现HuR在MM患者中高表达,并与不良预后相关。我们发现用短发夹RNA (short hairpin RNA, shRNA)或其抑制剂CMLD-2靶向HuR在体外和体内均具有显著的抗mm作用。HuR过表达促进MM细胞体外和体内增殖。此外,我们证明了硼替佐米的药物敏感性分别随着HuR的下调和过表达而增加和降低。这一结果为我们后续将CMLD-2与硼替佐米联合治疗MM提供了理论依据。为了进一步探索HuR在MM中的作用机制,我们进行了RNA测序并鉴定了其下游分子E2F7。HuR通过增加MM细胞中E2F7 mRNA的稳定性来上调其表达。较高水平的E2F7与较差的预后相关。E2F7敲除在体外和体内均有抗mm作用。E2F7过表达部分恢复了靶向HuR引起的MM细胞增殖抑制和凋亡。我们随后在体内和体外证明了CMLD-2与硼替佐米抗mm的协同作用。综上所述,靶向HuR/E2F7轴与硼替佐米协同治疗MM,因此,HuR/E2F7轴可能是一个有希望的治疗MM的靶点。
本文章由计算机程序翻译,如有差异,请以英文原文为准。

Targeting the HuR/E2F7 axis synergizes with bortezomib against multiple myeloma.

Targeting the HuR/E2F7 axis synergizes with bortezomib against multiple myeloma.

Targeting the HuR/E2F7 axis synergizes with bortezomib against multiple myeloma.

Targeting the HuR/E2F7 axis synergizes with bortezomib against multiple myeloma.

Multiple myeloma (MM) is a malignant hematological disease caused by the proliferation of abnormal plasma cells in the bone marrow and is still incurable. Relapse and drug resistance are common in MM. New therapeutic targets are urgently needed for MM treatment. Human antigen R (HuR) has been reported to play an important role in the malignant biological behavior of a variety of tumors, but its role in MM remains unclear. In this study, we found that HuR was highly expressed in MM patients and associated with a poor prognosis by analyzing public datasets. We found that targeting HuR with short hairpin RNA (shRNA) or its inhibitor CMLD-2 had significant anti-MM effects both in vitro and in vivo. The overexpression of HuR promotes MM cell proliferation in vitro and in vivo. Moreover, we demonstrated that bortezomib drug sensitivity increased and decreased with the knockdown and overexpression of HuR, respectively. This result provides a rationale for our subsequent combination of CMLD-2 with bortezomib in the treatment of MM. To further explore the mechanism of HuR in MM, we performed RNA sequencing and identified its downstream molecule, E2F7. HuR upregulated E2F7 expression by increasing the stability of its mRNA in MM cells. Higher levels of E2F7 were associated with a poorer prognosis. E2F7 knockdown had anti-MM effects in vitro and in vivo. E2F7 overexpression partially rescued the cell proliferation inhibition and apoptosis caused by targeting HuR in MM cells. We subsequently demonstrated that CMLD-2 synergized with the anti-MM effect of bortezomib both in vitro and in vivo. In conclusion, targeting the HuR/E2F7 axis synergizes with bortezomib against MM. Therefore, the HuR/E2F7 axis may serve as a promising therapeutic target for MM.

求助全文
通过发布文献求助,成功后即可免费获取论文全文。 去求助
来源期刊
Acta Pharmacologica Sinica
Acta Pharmacologica Sinica 医学-化学综合
CiteScore
15.10
自引率
2.40%
发文量
4365
审稿时长
2 months
期刊介绍: APS (Acta Pharmacologica Sinica) welcomes submissions from diverse areas of pharmacology and the life sciences. While we encourage contributions across a broad spectrum, topics of particular interest include, but are not limited to: anticancer pharmacology, cardiovascular and pulmonary pharmacology, clinical pharmacology, drug discovery, gastrointestinal and hepatic pharmacology, genitourinary, renal, and endocrine pharmacology, immunopharmacology and inflammation, molecular and cellular pharmacology, neuropharmacology, pharmaceutics, and pharmacokinetics. Join us in sharing your research and insights in pharmacology and the life sciences.
×
引用
GB/T 7714-2015
复制
MLA
复制
APA
复制
导出至
BibTeX EndNote RefMan NoteFirst NoteExpress
×
提示
您的信息不完整,为了账户安全,请先补充。
现在去补充
×
提示
您因"违规操作"
具体请查看互助需知
我知道了
×
提示
确定
请完成安全验证×
copy
已复制链接
快去分享给好友吧!
我知道了
右上角分享
点击右上角分享
0
联系我们:info@booksci.cn Book学术提供免费学术资源搜索服务,方便国内外学者检索中英文文献。致力于提供最便捷和优质的服务体验。 Copyright © 2023 布克学术 All rights reserved.
京ICP备2023020795号-1
ghs 京公网安备 11010802042870号
Book学术文献互助
Book学术文献互助群
群 号:604180095
Book学术官方微信