HTLV-1感染中肿瘤抑制因子Menin及其靶点Bach2的失调

IF 3.9 3区 医学 Q3 VIROLOGY
Hiroe Sejima, Tadasuke Naito, Takuya Fukushima, Mineki Saito
{"title":"HTLV-1感染中肿瘤抑制因子Menin及其靶点Bach2的失调","authors":"Hiroe Sejima, Tadasuke Naito, Takuya Fukushima, Mineki Saito","doi":"10.1186/s12977-025-00660-7","DOIUrl":null,"url":null,"abstract":"<p><strong>Background: </strong>The tumor suppressor Menin, prone to mutations in both hereditary and sporadic endocrine tumors, along with its direct target Bach2, plays a crucial role in preventing autoimmunity by regulating CD4 + T cell senescence and maintaining cytokine homeostasis. Since human T-cell leukemia virus type 1 (HTLV-1) primarily infects CD4 + T cells, and its dysregulation contributes to both the hematological malignancy of adult T-cell leukemia/lymphoma (ATL) and HTLV-1-associated myelopathy/tropical spastic paraparesis (HAM/TSP), we examined the involvement of the Menin-Bach2 pathway in HTLV-1 infection.</p><p><strong>Methods: </strong>The mRNA expression of menin and bach2 in HTLV-1-infected and uninfected human T-cell lines, peripheral blood mononuclear cells (PBMCs) from patients with ATL, HAM/TSP, and asymptomatic carriers were analyzed. Additionally, interactions between Menin or Bach2 and the Tax or HBZ; the subcellular localization of these proteins; the effect of knockdown of menin, tax, and HBZ genes; and the effects of interaction inhibitors between menin and its cofactor, mixed lineage leukemia (MLL), on the proliferation of HTLV-1-infected T cells were evaluated.</p><p><strong>Results: </strong>The findings were as follows: (1) In all eight HTLV-1-infected T-cell lines tested, Menin protein was expressed, whereas Bach2 expression was absent in five of them; (2) the mRNA levels of both menin and bach2 significantly decreased in PBMCs from patients with HAM/TSP and ATL; (3) Tax and HBZ each physically interacted with both Menin and Bach2; (4) knockdown of tax, but not HBZ, downregulated Bach2, but not Menin expression in HTLV-1-transformed T-cell lines MT-2 and SLB-1; (5) knockdown of menin downregulated Bach2 expression in MT-2 but not in SLB-1; (6) A Menin-MLL interaction inhibitor suppressed cell growth of MT-2 but not in SLB-1; (7) HBZ and Menin exhibited different subcellular localization between MT-2 and SLB-1.</p><p><strong>Conclusions: </strong>HTLV-1 infection alters the regulation of the Menin-Bach2 pathway, which controls cell proliferation. The Menin-MLL interaction inhibitor loses its effectiveness in suppressing cell proliferation when Menin loses control over Bach2 expression. Dysregulation of the Menin-Bach2 pathway may contribute to HTLV-1-associated disease pathogenesis.</p>","PeriodicalId":21123,"journal":{"name":"Retrovirology","volume":"22 1","pages":"3"},"PeriodicalIF":3.9000,"publicationDate":"2025-03-25","publicationTypes":"Journal Article","fieldsOfStudy":null,"isOpenAccess":false,"openAccessPdf":"https://www.ncbi.nlm.nih.gov/pmc/articles/PMC11934541/pdf/","citationCount":"0","resultStr":"{\"title\":\"Dysregulation of the tumor suppressor Menin and its target Bach2 in HTLV-1 infection.\",\"authors\":\"Hiroe Sejima, Tadasuke Naito, Takuya Fukushima, Mineki Saito\",\"doi\":\"10.1186/s12977-025-00660-7\",\"DOIUrl\":null,\"url\":null,\"abstract\":\"<p><strong>Background: </strong>The tumor suppressor Menin, prone to mutations in both hereditary and sporadic endocrine tumors, along with its direct target Bach2, plays a crucial role in preventing autoimmunity by regulating CD4 + T cell senescence and maintaining cytokine homeostasis. Since human T-cell leukemia virus type 1 (HTLV-1) primarily infects CD4 + T cells, and its dysregulation contributes to both the hematological malignancy of adult T-cell leukemia/lymphoma (ATL) and HTLV-1-associated myelopathy/tropical spastic paraparesis (HAM/TSP), we examined the involvement of the Menin-Bach2 pathway in HTLV-1 infection.</p><p><strong>Methods: </strong>The mRNA expression of menin and bach2 in HTLV-1-infected and uninfected human T-cell lines, peripheral blood mononuclear cells (PBMCs) from patients with ATL, HAM/TSP, and asymptomatic carriers were analyzed. Additionally, interactions between Menin or Bach2 and the Tax or HBZ; the subcellular localization of these proteins; the effect of knockdown of menin, tax, and HBZ genes; and the effects of interaction inhibitors between menin and its cofactor, mixed lineage leukemia (MLL), on the proliferation of HTLV-1-infected T cells were evaluated.</p><p><strong>Results: </strong>The findings were as follows: (1) In all eight HTLV-1-infected T-cell lines tested, Menin protein was expressed, whereas Bach2 expression was absent in five of them; (2) the mRNA levels of both menin and bach2 significantly decreased in PBMCs from patients with HAM/TSP and ATL; (3) Tax and HBZ each physically interacted with both Menin and Bach2; (4) knockdown of tax, but not HBZ, downregulated Bach2, but not Menin expression in HTLV-1-transformed T-cell lines MT-2 and SLB-1; (5) knockdown of menin downregulated Bach2 expression in MT-2 but not in SLB-1; (6) A Menin-MLL interaction inhibitor suppressed cell growth of MT-2 but not in SLB-1; (7) HBZ and Menin exhibited different subcellular localization between MT-2 and SLB-1.</p><p><strong>Conclusions: </strong>HTLV-1 infection alters the regulation of the Menin-Bach2 pathway, which controls cell proliferation. The Menin-MLL interaction inhibitor loses its effectiveness in suppressing cell proliferation when Menin loses control over Bach2 expression. Dysregulation of the Menin-Bach2 pathway may contribute to HTLV-1-associated disease pathogenesis.</p>\",\"PeriodicalId\":21123,\"journal\":{\"name\":\"Retrovirology\",\"volume\":\"22 1\",\"pages\":\"3\"},\"PeriodicalIF\":3.9000,\"publicationDate\":\"2025-03-25\",\"publicationTypes\":\"Journal Article\",\"fieldsOfStudy\":null,\"isOpenAccess\":false,\"openAccessPdf\":\"https://www.ncbi.nlm.nih.gov/pmc/articles/PMC11934541/pdf/\",\"citationCount\":\"0\",\"resultStr\":null,\"platform\":\"Semanticscholar\",\"paperid\":null,\"PeriodicalName\":\"Retrovirology\",\"FirstCategoryId\":\"3\",\"ListUrlMain\":\"https://doi.org/10.1186/s12977-025-00660-7\",\"RegionNum\":3,\"RegionCategory\":\"医学\",\"ArticlePicture\":[],\"TitleCN\":null,\"AbstractTextCN\":null,\"PMCID\":null,\"EPubDate\":\"\",\"PubModel\":\"\",\"JCR\":\"Q3\",\"JCRName\":\"VIROLOGY\",\"Score\":null,\"Total\":0}","platform":"Semanticscholar","paperid":null,"PeriodicalName":"Retrovirology","FirstCategoryId":"3","ListUrlMain":"https://doi.org/10.1186/s12977-025-00660-7","RegionNum":3,"RegionCategory":"医学","ArticlePicture":[],"TitleCN":null,"AbstractTextCN":null,"PMCID":null,"EPubDate":"","PubModel":"","JCR":"Q3","JCRName":"VIROLOGY","Score":null,"Total":0}
引用次数: 0

摘要

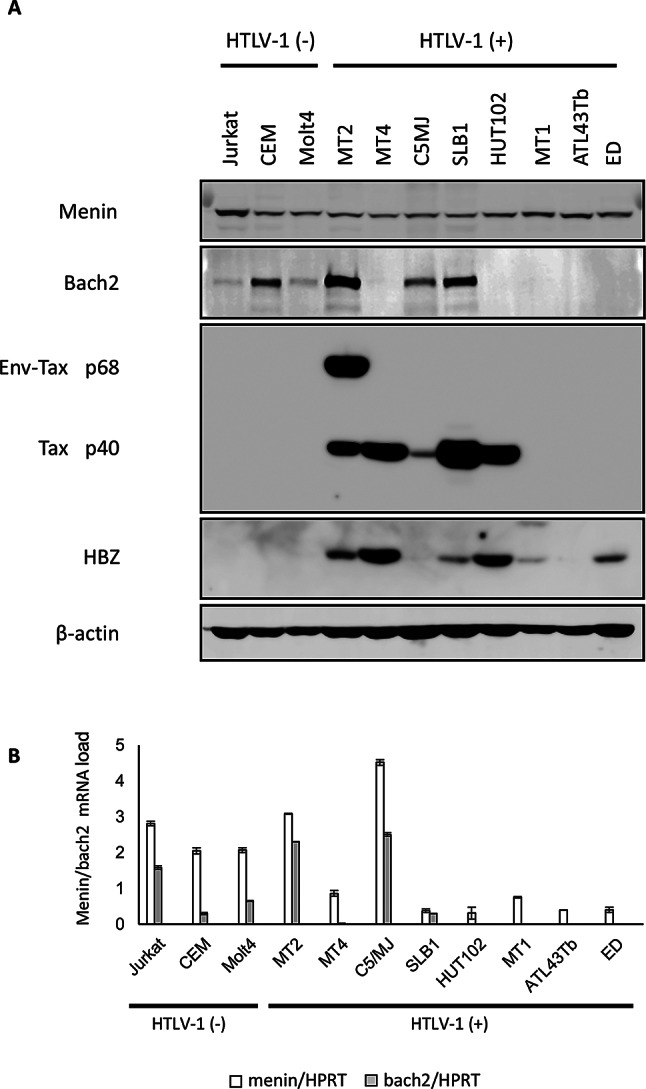
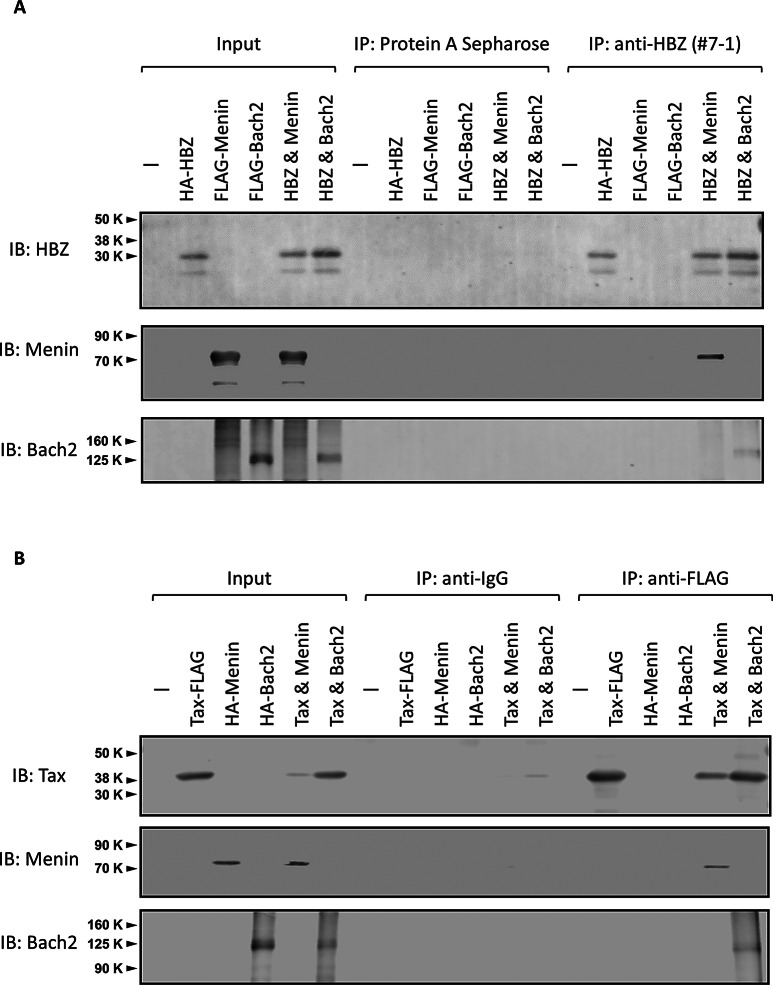
背景:肿瘤抑制因子Menin及其直接靶点Bach2在遗传性和散发性内分泌肿瘤中均易发生突变,通过调节CD4 + T细胞衰老和维持细胞因子稳态,在预防自身免疫中起重要作用。由于人类T细胞白血病病毒1型(HTLV-1)主要感染CD4 + T细胞,其失调有助于成人T细胞白血病/淋巴瘤(ATL)和HTLV-1相关脊髓病/热带痉挛性麻痹(HAM/TSP)的血液恶性肿瘤,我们研究了Menin-Bach2途径在HTLV-1感染中的作用。方法:分析htlv -1感染、未感染的人t细胞株、ATL、HAM/TSP、无症状携带者外周血单个核细胞(PBMCs)中menin和bach2 mRNA的表达。此外,Menin或Bach2与Tax或HBZ之间的相互作用;这些蛋白质的亚细胞定位;menin、tax和HBZ基因敲低的影响;并评估menin及其辅助因子混合谱系白血病(MLL)相互作用抑制剂对htlv -1感染T细胞增殖的影响。结果:(1)htlv -1感染的8株t细胞株均表达Menin蛋白,其中5株不表达Bach2;(2) HAM/TSP和ATL患者外周血中menin和bach2 mRNA水平均显著降低;(3) Tax和HBZ分别与Menin和Bach2发生物理交互;(4) htlv -1转化的t细胞系MT-2和SLB-1中,敲除tax而不敲除HBZ,下调Bach2而不下调Menin的表达;(5) menin的下调下调了MT-2中Bach2的表达,而SLB-1中没有;(6) Menin-MLL相互作用抑制剂抑制MT-2细胞生长,而对SLB-1细胞无抑制作用;(7) HBZ和Menin在MT-2和SLB-1之间表现出不同的亚细胞定位。结论:HTLV-1感染改变了Menin-Bach2通路的调控,而Menin-Bach2通路控制细胞增殖。当Menin失去对Bach2表达的控制时,Menin- mll相互作用抑制剂就失去了抑制细胞增殖的作用。Menin-Bach2通路的失调可能有助于htlv -1相关疾病的发病机制。
本文章由计算机程序翻译,如有差异,请以英文原文为准。

Dysregulation of the tumor suppressor Menin and its target Bach2 in HTLV-1 infection.

Dysregulation of the tumor suppressor Menin and its target Bach2 in HTLV-1 infection.

Dysregulation of the tumor suppressor Menin and its target Bach2 in HTLV-1 infection.

Dysregulation of the tumor suppressor Menin and its target Bach2 in HTLV-1 infection.

Background: The tumor suppressor Menin, prone to mutations in both hereditary and sporadic endocrine tumors, along with its direct target Bach2, plays a crucial role in preventing autoimmunity by regulating CD4 + T cell senescence and maintaining cytokine homeostasis. Since human T-cell leukemia virus type 1 (HTLV-1) primarily infects CD4 + T cells, and its dysregulation contributes to both the hematological malignancy of adult T-cell leukemia/lymphoma (ATL) and HTLV-1-associated myelopathy/tropical spastic paraparesis (HAM/TSP), we examined the involvement of the Menin-Bach2 pathway in HTLV-1 infection.

Methods: The mRNA expression of menin and bach2 in HTLV-1-infected and uninfected human T-cell lines, peripheral blood mononuclear cells (PBMCs) from patients with ATL, HAM/TSP, and asymptomatic carriers were analyzed. Additionally, interactions between Menin or Bach2 and the Tax or HBZ; the subcellular localization of these proteins; the effect of knockdown of menin, tax, and HBZ genes; and the effects of interaction inhibitors between menin and its cofactor, mixed lineage leukemia (MLL), on the proliferation of HTLV-1-infected T cells were evaluated.

Results: The findings were as follows: (1) In all eight HTLV-1-infected T-cell lines tested, Menin protein was expressed, whereas Bach2 expression was absent in five of them; (2) the mRNA levels of both menin and bach2 significantly decreased in PBMCs from patients with HAM/TSP and ATL; (3) Tax and HBZ each physically interacted with both Menin and Bach2; (4) knockdown of tax, but not HBZ, downregulated Bach2, but not Menin expression in HTLV-1-transformed T-cell lines MT-2 and SLB-1; (5) knockdown of menin downregulated Bach2 expression in MT-2 but not in SLB-1; (6) A Menin-MLL interaction inhibitor suppressed cell growth of MT-2 but not in SLB-1; (7) HBZ and Menin exhibited different subcellular localization between MT-2 and SLB-1.

Conclusions: HTLV-1 infection alters the regulation of the Menin-Bach2 pathway, which controls cell proliferation. The Menin-MLL interaction inhibitor loses its effectiveness in suppressing cell proliferation when Menin loses control over Bach2 expression. Dysregulation of the Menin-Bach2 pathway may contribute to HTLV-1-associated disease pathogenesis.

求助全文
通过发布文献求助,成功后即可免费获取论文全文。 去求助
来源期刊
Retrovirology
Retrovirology 医学-病毒学
CiteScore
5.80
自引率
3.00%
发文量
24
审稿时长
>0 weeks
期刊介绍: Retrovirology is an open access, online journal that publishes stringently peer-reviewed, high-impact articles on host-pathogen interactions, fundamental mechanisms of replication, immune defenses, animal models, and clinical science relating to retroviruses. Retroviruses are pleiotropically found in animals. Well-described examples include avian, murine and primate retroviruses. Two human retroviruses are especially important pathogens. These are the human immunodeficiency virus, HIV, and the human T-cell leukemia virus, HTLV. HIV causes AIDS while HTLV-1 is the etiological agent for adult T-cell leukemia and HTLV-1-associated myelopathy/tropical spastic paraparesis. Retrovirology aims to cover comprehensively all aspects of human and animal retrovirus research.
×
引用
GB/T 7714-2015
复制
MLA
复制
APA
复制
导出至
BibTeX EndNote RefMan NoteFirst NoteExpress
×
提示
您的信息不完整,为了账户安全,请先补充。
现在去补充
×
提示
您因"违规操作"
具体请查看互助需知
我知道了
×
提示
确定
请完成安全验证×
copy
已复制链接
快去分享给好友吧!
我知道了
右上角分享
点击右上角分享
0
联系我们:info@booksci.cn Book学术提供免费学术资源搜索服务,方便国内外学者检索中英文文献。致力于提供最便捷和优质的服务体验。 Copyright © 2023 布克学术 All rights reserved.
京ICP备2023020795号-1
ghs 京公网安备 11010802042870号
Book学术文献互助
Book学术文献互助群
群 号:604180095
Book学术官方微信