自发性颅颈交界处椎动脉硬膜瘘的血管内分流治疗及文献复习。

Megan Finneran, Ajeet Gordhan
{"title":"自发性颅颈交界处椎动脉硬膜瘘的血管内分流治疗及文献复习。","authors":"Megan Finneran, Ajeet Gordhan","doi":"10.7461/jcen.2025.E2024.10.001","DOIUrl":null,"url":null,"abstract":"<p><p>Vertebral artery dural arteriovenous fistulae (VADAVF) are a rare entity. We present a patient who experienced pre-syncopal symptoms and was found to have a VADAVF between the posterior meningeal artery and a cortical vein draining into the sigmoid sinus. The patient initially underwent surgical intervention, which failed to obliterate the shunt. Endovascular treatment with use of a flow diverter provided definitive disconnection of the shunt.</p>","PeriodicalId":94072,"journal":{"name":"Journal of cerebrovascular and endovascular neurosurgery","volume":" ","pages":"165-170"},"PeriodicalIF":0.0000,"publicationDate":"2025-06-01","publicationTypes":"Journal Article","fieldsOfStudy":null,"isOpenAccess":false,"openAccessPdf":"https://www.ncbi.nlm.nih.gov/pmc/articles/PMC12235256/pdf/","citationCount":"0","resultStr":"{\"title\":\"Endovascular flow diversion treatment of spontaneous craniocervical junction vertebral artery dural fistula and literature review.\",\"authors\":\"Megan Finneran, Ajeet Gordhan\",\"doi\":\"10.7461/jcen.2025.E2024.10.001\",\"DOIUrl\":null,\"url\":null,\"abstract\":\"<p><p>Vertebral artery dural arteriovenous fistulae (VADAVF) are a rare entity. We present a patient who experienced pre-syncopal symptoms and was found to have a VADAVF between the posterior meningeal artery and a cortical vein draining into the sigmoid sinus. The patient initially underwent surgical intervention, which failed to obliterate the shunt. Endovascular treatment with use of a flow diverter provided definitive disconnection of the shunt.</p>\",\"PeriodicalId\":94072,\"journal\":{\"name\":\"Journal of cerebrovascular and endovascular neurosurgery\",\"volume\":\" \",\"pages\":\"165-170\"},\"PeriodicalIF\":0.0000,\"publicationDate\":\"2025-06-01\",\"publicationTypes\":\"Journal Article\",\"fieldsOfStudy\":null,\"isOpenAccess\":false,\"openAccessPdf\":\"https://www.ncbi.nlm.nih.gov/pmc/articles/PMC12235256/pdf/\",\"citationCount\":\"0\",\"resultStr\":null,\"platform\":\"Semanticscholar\",\"paperid\":null,\"PeriodicalName\":\"Journal of cerebrovascular and endovascular neurosurgery\",\"FirstCategoryId\":\"1085\",\"ListUrlMain\":\"https://doi.org/10.7461/jcen.2025.E2024.10.001\",\"RegionNum\":0,\"RegionCategory\":null,\"ArticlePicture\":[],\"TitleCN\":null,\"AbstractTextCN\":null,\"PMCID\":null,\"EPubDate\":\"2025/3/24 0:00:00\",\"PubModel\":\"Epub\",\"JCR\":\"\",\"JCRName\":\"\",\"Score\":null,\"Total\":0}","platform":"Semanticscholar","paperid":null,"PeriodicalName":"Journal of cerebrovascular and endovascular neurosurgery","FirstCategoryId":"1085","ListUrlMain":"https://doi.org/10.7461/jcen.2025.E2024.10.001","RegionNum":0,"RegionCategory":null,"ArticlePicture":[],"TitleCN":null,"AbstractTextCN":null,"PMCID":null,"EPubDate":"2025/3/24 0:00:00","PubModel":"Epub","JCR":"","JCRName":"","Score":null,"Total":0}
引用次数: 0

摘要

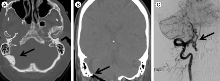
摘要椎动脉硬膜动静脉瘘是一种罕见的疾病。我们报告了一位有晕厥前症状的患者,发现在脑膜后动脉和流入乙状窦的皮质静脉之间有VADAVF。患者最初接受了手术干预,但未能消除分流。使用分流器的血管内治疗提供了明确的分流断开。
本文章由计算机程序翻译,如有差异,请以英文原文为准。

Endovascular flow diversion treatment of spontaneous craniocervical junction vertebral artery dural fistula and literature review.

Endovascular flow diversion treatment of spontaneous craniocervical junction vertebral artery dural fistula and literature review.

Endovascular flow diversion treatment of spontaneous craniocervical junction vertebral artery dural fistula and literature review.

Endovascular flow diversion treatment of spontaneous craniocervical junction vertebral artery dural fistula and literature review.

Vertebral artery dural arteriovenous fistulae (VADAVF) are a rare entity. We present a patient who experienced pre-syncopal symptoms and was found to have a VADAVF between the posterior meningeal artery and a cortical vein draining into the sigmoid sinus. The patient initially underwent surgical intervention, which failed to obliterate the shunt. Endovascular treatment with use of a flow diverter provided definitive disconnection of the shunt.

求助全文
通过发布文献求助,成功后即可免费获取论文全文。 去求助
来源期刊
CiteScore
1.10
自引率
0.00%
发文量
0
×
引用
GB/T 7714-2015
复制
MLA
复制
APA
复制
导出至
BibTeX EndNote RefMan NoteFirst NoteExpress
×
提示
您的信息不完整,为了账户安全,请先补充。
现在去补充
×
提示
您因"违规操作"
具体请查看互助需知
我知道了
×
提示
确定
请完成安全验证×
copy
已复制链接
快去分享给好友吧!
我知道了
右上角分享
点击右上角分享
0
联系我们:info@booksci.cn Book学术提供免费学术资源搜索服务,方便国内外学者检索中英文文献。致力于提供最便捷和优质的服务体验。 Copyright © 2023 布克学术 All rights reserved.
京ICP备2023020795号-1
ghs 京公网安备 11010802042870号
Book学术文献互助
Book学术文献互助群
群 号:604180095
Book学术官方微信