布尔哈夫综合征1例报告。

IF 1.3 4区 医学 Q4 RADIOLOGY, NUCLEAR MEDICINE & MEDICAL IMAGING
Journal of the Belgian Society of Radiology Pub Date : 2025-03-18 eCollection Date: 2025-01-01 DOI:10.5334/jbsr.3823
Marie Laure Gharingam, Axel Edouard Vanrossomme
{"title":"布尔哈夫综合征1例报告。","authors":"Marie Laure Gharingam, Axel Edouard Vanrossomme","doi":"10.5334/jbsr.3823","DOIUrl":null,"url":null,"abstract":"<p><p>A case is presented of Boerhaave syndrome in a 70‑year‑old female patient complaining of dysphagia with solids for a long time. She consulted for abdominal pain for 24 hours, accompanied by nausea and fecal vomiting. The patient had tachypnea, tachycardia, hypoxia, abdominal guarding, and absence of bowel sounds. Thoracoabdominal computed tomography revealed significant pyloric wall thickening with secondary gastric distension, cervical subcutaneous emphysema, bilateral pleural effusion, and pneumomediastinum.</p>","PeriodicalId":55987,"journal":{"name":"Journal of the Belgian Society of Radiology","volume":"109 1","pages":"11"},"PeriodicalIF":1.3000,"publicationDate":"2025-03-18","publicationTypes":"Journal Article","fieldsOfStudy":null,"isOpenAccess":false,"openAccessPdf":"https://www.ncbi.nlm.nih.gov/pmc/articles/PMC11927676/pdf/","citationCount":"0","resultStr":"{\"title\":\"Boerhaave Syndrome: A Case Report.\",\"authors\":\"Marie Laure Gharingam, Axel Edouard Vanrossomme\",\"doi\":\"10.5334/jbsr.3823\",\"DOIUrl\":null,\"url\":null,\"abstract\":\"<p><p>A case is presented of Boerhaave syndrome in a 70‑year‑old female patient complaining of dysphagia with solids for a long time. She consulted for abdominal pain for 24 hours, accompanied by nausea and fecal vomiting. The patient had tachypnea, tachycardia, hypoxia, abdominal guarding, and absence of bowel sounds. Thoracoabdominal computed tomography revealed significant pyloric wall thickening with secondary gastric distension, cervical subcutaneous emphysema, bilateral pleural effusion, and pneumomediastinum.</p>\",\"PeriodicalId\":55987,\"journal\":{\"name\":\"Journal of the Belgian Society of Radiology\",\"volume\":\"109 1\",\"pages\":\"11\"},\"PeriodicalIF\":1.3000,\"publicationDate\":\"2025-03-18\",\"publicationTypes\":\"Journal Article\",\"fieldsOfStudy\":null,\"isOpenAccess\":false,\"openAccessPdf\":\"https://www.ncbi.nlm.nih.gov/pmc/articles/PMC11927676/pdf/\",\"citationCount\":\"0\",\"resultStr\":null,\"platform\":\"Semanticscholar\",\"paperid\":null,\"PeriodicalName\":\"Journal of the Belgian Society of Radiology\",\"FirstCategoryId\":\"3\",\"ListUrlMain\":\"https://doi.org/10.5334/jbsr.3823\",\"RegionNum\":4,\"RegionCategory\":\"医学\",\"ArticlePicture\":[],\"TitleCN\":null,\"AbstractTextCN\":null,\"PMCID\":null,\"EPubDate\":\"2025/1/1 0:00:00\",\"PubModel\":\"eCollection\",\"JCR\":\"Q4\",\"JCRName\":\"RADIOLOGY, NUCLEAR MEDICINE & MEDICAL IMAGING\",\"Score\":null,\"Total\":0}","platform":"Semanticscholar","paperid":null,"PeriodicalName":"Journal of the Belgian Society of Radiology","FirstCategoryId":"3","ListUrlMain":"https://doi.org/10.5334/jbsr.3823","RegionNum":4,"RegionCategory":"医学","ArticlePicture":[],"TitleCN":null,"AbstractTextCN":null,"PMCID":null,"EPubDate":"2025/1/1 0:00:00","PubModel":"eCollection","JCR":"Q4","JCRName":"RADIOLOGY, NUCLEAR MEDICINE & MEDICAL IMAGING","Score":null,"Total":0}
引用次数: 0

摘要

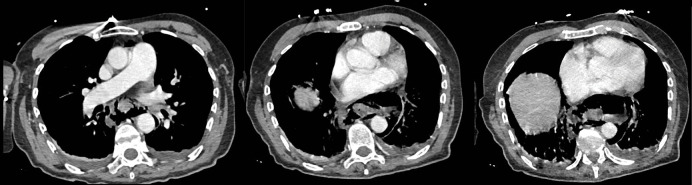
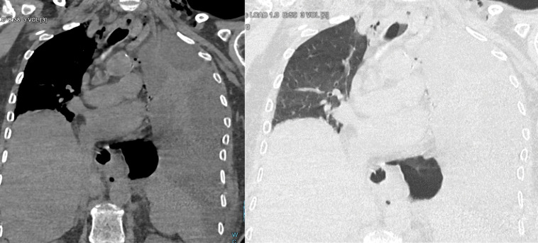
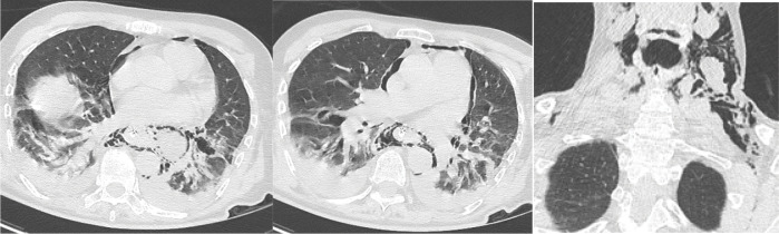
本文报告一位70岁女性患者,长期以进食困难伴固体食物为主诉,报告Boerhaave综合征。她腹痛24小时,伴有恶心和粪便性呕吐。患者有呼吸急促、心动过速、缺氧、腹部守卫、无肠音。胸腹计算机断层扫描显示幽门壁明显增厚,伴有继发性胃膨胀、颈部皮下肺气肿、双侧胸腔积液和纵隔气肿。
本文章由计算机程序翻译,如有差异,请以英文原文为准。

Boerhaave Syndrome: A Case Report.

Boerhaave Syndrome: A Case Report.

Boerhaave Syndrome: A Case Report.

Boerhaave Syndrome: A Case Report.

A case is presented of Boerhaave syndrome in a 70‑year‑old female patient complaining of dysphagia with solids for a long time. She consulted for abdominal pain for 24 hours, accompanied by nausea and fecal vomiting. The patient had tachypnea, tachycardia, hypoxia, abdominal guarding, and absence of bowel sounds. Thoracoabdominal computed tomography revealed significant pyloric wall thickening with secondary gastric distension, cervical subcutaneous emphysema, bilateral pleural effusion, and pneumomediastinum.

求助全文
通过发布文献求助,成功后即可免费获取论文全文。 去求助
来源期刊
Journal of the Belgian Society of Radiology
Journal of the Belgian Society of Radiology Medicine-Radiology, Nuclear Medicine and Imaging
CiteScore
0.70
自引率
5.00%
发文量
96
期刊介绍: The purpose of the Journal of the Belgian Society of Radiology is the publication of articles dealing with diagnostic and interventional radiology, related imaging techniques, allied sciences, and continuing education.
×
引用
GB/T 7714-2015
复制
MLA
复制
APA
复制
导出至
BibTeX EndNote RefMan NoteFirst NoteExpress
×
提示
您的信息不完整,为了账户安全,请先补充。
现在去补充
×
提示
您因"违规操作"
具体请查看互助需知
我知道了
×
提示
确定
请完成安全验证×
copy
已复制链接
快去分享给好友吧!
我知道了
右上角分享
点击右上角分享
0
联系我们:info@booksci.cn Book学术提供免费学术资源搜索服务,方便国内外学者检索中英文文献。致力于提供最便捷和优质的服务体验。 Copyright © 2023 布克学术 All rights reserved.
京ICP备2023020795号-1
ghs 京公网安备 11010802042870号
Book学术文献互助
Book学术文献互助群
群 号:604180095
Book学术官方微信