肾部分切除术后经皮肾肿瘤冷冻消融。

IF 1.9 4区 医学 Q2 SURGERY
Videosurgery and Other Miniinvasive Techniques Pub Date : 2024-10-25 eCollection Date: 2024-12-27 DOI:10.20452/wiitm.2024.17904
Wojciech Krajewski, Maciej Guziński, Wojciech Tomczak, Łukasz Nowak, Jan Łaszkiewicz, Joanna Chorbińska, Adam Chełmoński, Katarzyna Grunwald, Bartosz Małkiewicz, Tomasz Szydełko
{"title":"肾部分切除术后经皮肾肿瘤冷冻消融。","authors":"Wojciech Krajewski, Maciej Guziński, Wojciech Tomczak, Łukasz Nowak, Jan Łaszkiewicz, Joanna Chorbińska, Adam Chełmoński, Katarzyna Grunwald, Bartosz Małkiewicz, Tomasz Szydełko","doi":"10.20452/wiitm.2024.17904","DOIUrl":null,"url":null,"abstract":"<p><strong>Introduction: </strong>The widespread use of ultrasound and cross‑sectional imaging has led to a steady increase in the incidental discovery of renal masses. Most of them are treated with partial nephrectomy (PN), as recommended by the European Association of Urology guidelines. However, this approach carries a risk of local recurrence. In such a case, surgical reintervention can be more challenging and is often associated with worse prognosis. In this context, percutaneous ablative therapies are a promising alternative.</p><p><strong>Aim: </strong>This study presents our experience with using percutaneous cryoablation (PCA) to manage recurrences and new masses in previously operated kidneys.</p><p><strong>Materials and methods: </strong>We conducted a retrospective data analysis to evaluate patients treated with PCA for tumor recurrence or residual disease in the postresection bed, excluding those with de novo or recurrent tumors in the contralateral kidney.</p><p><strong>Results: </strong>A total of 23 individuals met the inclusion criteria. Of those, 14 initially underwent laparoscopic PN, and 9 were treated with open surgery. The median interval from the initial surgery to recurrence‑targeted PCA was 23 months (range, 7-228). The mean (SD) RENAL score on admission was 7.5 (1.9), and the median (interquartile range) tumor volume was 3 (1.6-4.5) ml. The median length of hospital stay was 23 hours (range, 6-55). There was no significant change in estimated glomerular filtration rate following cryoablation. All the recorded complications, except one, were grade I and resolved with hydration or treatment with nonsteroidal anti‑inflammatory drugs. No patient required dialysis in the perioperative period.</p><p><strong>Conclusions: </strong>Imaging‑guided PCA is a feasible and effective treatment option for patients with renal tumor recurrences after PN.</p>","PeriodicalId":49361,"journal":{"name":"Videosurgery and Other Miniinvasive Techniques","volume":"19 4","pages":"483-488"},"PeriodicalIF":1.9000,"publicationDate":"2024-10-25","publicationTypes":"Journal Article","fieldsOfStudy":null,"isOpenAccess":false,"openAccessPdf":"https://www.ncbi.nlm.nih.gov/pmc/articles/PMC11927780/pdf/","citationCount":"0","resultStr":"{\"title\":\"Percutaneous cryoablation of kidney tumors after partial nephrectomy.\",\"authors\":\"Wojciech Krajewski, Maciej Guziński, Wojciech Tomczak, Łukasz Nowak, Jan Łaszkiewicz, Joanna Chorbińska, Adam Chełmoński, Katarzyna Grunwald, Bartosz Małkiewicz, Tomasz Szydełko\",\"doi\":\"10.20452/wiitm.2024.17904\",\"DOIUrl\":null,\"url\":null,\"abstract\":\"<p><strong>Introduction: </strong>The widespread use of ultrasound and cross‑sectional imaging has led to a steady increase in the incidental discovery of renal masses. Most of them are treated with partial nephrectomy (PN), as recommended by the European Association of Urology guidelines. However, this approach carries a risk of local recurrence. In such a case, surgical reintervention can be more challenging and is often associated with worse prognosis. In this context, percutaneous ablative therapies are a promising alternative.</p><p><strong>Aim: </strong>This study presents our experience with using percutaneous cryoablation (PCA) to manage recurrences and new masses in previously operated kidneys.</p><p><strong>Materials and methods: </strong>We conducted a retrospective data analysis to evaluate patients treated with PCA for tumor recurrence or residual disease in the postresection bed, excluding those with de novo or recurrent tumors in the contralateral kidney.</p><p><strong>Results: </strong>A total of 23 individuals met the inclusion criteria. Of those, 14 initially underwent laparoscopic PN, and 9 were treated with open surgery. The median interval from the initial surgery to recurrence‑targeted PCA was 23 months (range, 7-228). The mean (SD) RENAL score on admission was 7.5 (1.9), and the median (interquartile range) tumor volume was 3 (1.6-4.5) ml. The median length of hospital stay was 23 hours (range, 6-55). There was no significant change in estimated glomerular filtration rate following cryoablation. All the recorded complications, except one, were grade I and resolved with hydration or treatment with nonsteroidal anti‑inflammatory drugs. No patient required dialysis in the perioperative period.</p><p><strong>Conclusions: </strong>Imaging‑guided PCA is a feasible and effective treatment option for patients with renal tumor recurrences after PN.</p>\",\"PeriodicalId\":49361,\"journal\":{\"name\":\"Videosurgery and Other Miniinvasive Techniques\",\"volume\":\"19 4\",\"pages\":\"483-488\"},\"PeriodicalIF\":1.9000,\"publicationDate\":\"2024-10-25\",\"publicationTypes\":\"Journal Article\",\"fieldsOfStudy\":null,\"isOpenAccess\":false,\"openAccessPdf\":\"https://www.ncbi.nlm.nih.gov/pmc/articles/PMC11927780/pdf/\",\"citationCount\":\"0\",\"resultStr\":null,\"platform\":\"Semanticscholar\",\"paperid\":null,\"PeriodicalName\":\"Videosurgery and Other Miniinvasive Techniques\",\"FirstCategoryId\":\"3\",\"ListUrlMain\":\"https://doi.org/10.20452/wiitm.2024.17904\",\"RegionNum\":4,\"RegionCategory\":\"医学\",\"ArticlePicture\":[],\"TitleCN\":null,\"AbstractTextCN\":null,\"PMCID\":null,\"EPubDate\":\"2024/12/27 0:00:00\",\"PubModel\":\"eCollection\",\"JCR\":\"Q2\",\"JCRName\":\"SURGERY\",\"Score\":null,\"Total\":0}","platform":"Semanticscholar","paperid":null,"PeriodicalName":"Videosurgery and Other Miniinvasive Techniques","FirstCategoryId":"3","ListUrlMain":"https://doi.org/10.20452/wiitm.2024.17904","RegionNum":4,"RegionCategory":"医学","ArticlePicture":[],"TitleCN":null,"AbstractTextCN":null,"PMCID":null,"EPubDate":"2024/12/27 0:00:00","PubModel":"eCollection","JCR":"Q2","JCRName":"SURGERY","Score":null,"Total":0}
引用次数: 0

摘要

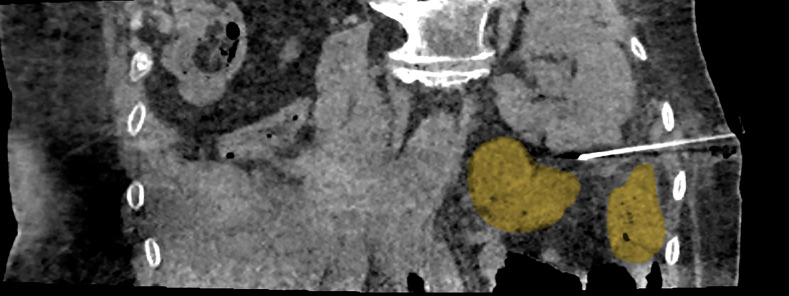
导语:超声和横断面成像的广泛应用导致偶然发现的肾脏肿块稳步增加。根据欧洲泌尿外科协会指南的建议,大多数患者采用部分肾切除术(PN)治疗。然而,这种方法有局部复发的风险。在这种情况下,手术再干预可能更具挑战性,通常伴有较差的预后。在这种情况下,经皮消融治疗是一个很有前途的选择。目的:本研究介绍了我们使用经皮冷冻消融(PCA)来处理以前手术过的肾脏复发和新肿块的经验。材料和方法:我们对采用PCA治疗的患者进行回顾性资料分析,以评估术后肿瘤复发或残留病变,不包括对侧肾脏新生或复发肿瘤。结果:共有23人符合纳入标准。其中,14人最初接受了腹腔镜PN, 9人接受了开放手术。从首次手术到针对复发的PCA的中位时间间隔为23个月(范围7-228)。入院时肾脏评分的平均值(SD)为7.5(1.9),肿瘤体积的中位数(四分位数范围)为3 (1.6-4.5)ml。住院时间的中位数为23小时(范围6-55)。冷冻消融后估计肾小球滤过率无显著变化。除一例外,所有记录的并发症均为I级,并通过水合或非甾体类抗炎药治疗得到解决。围手术期无患者需要透析。结论:影像引导下的PCA对于肾肿瘤PN术后复发患者是一种可行且有效的治疗选择。
本文章由计算机程序翻译,如有差异,请以英文原文为准。

Percutaneous cryoablation of kidney tumors after partial nephrectomy.

Percutaneous cryoablation of kidney tumors after partial nephrectomy.

Percutaneous cryoablation of kidney tumors after partial nephrectomy.

Introduction: The widespread use of ultrasound and cross‑sectional imaging has led to a steady increase in the incidental discovery of renal masses. Most of them are treated with partial nephrectomy (PN), as recommended by the European Association of Urology guidelines. However, this approach carries a risk of local recurrence. In such a case, surgical reintervention can be more challenging and is often associated with worse prognosis. In this context, percutaneous ablative therapies are a promising alternative.

Aim: This study presents our experience with using percutaneous cryoablation (PCA) to manage recurrences and new masses in previously operated kidneys.

Materials and methods: We conducted a retrospective data analysis to evaluate patients treated with PCA for tumor recurrence or residual disease in the postresection bed, excluding those with de novo or recurrent tumors in the contralateral kidney.

Results: A total of 23 individuals met the inclusion criteria. Of those, 14 initially underwent laparoscopic PN, and 9 were treated with open surgery. The median interval from the initial surgery to recurrence‑targeted PCA was 23 months (range, 7-228). The mean (SD) RENAL score on admission was 7.5 (1.9), and the median (interquartile range) tumor volume was 3 (1.6-4.5) ml. The median length of hospital stay was 23 hours (range, 6-55). There was no significant change in estimated glomerular filtration rate following cryoablation. All the recorded complications, except one, were grade I and resolved with hydration or treatment with nonsteroidal anti‑inflammatory drugs. No patient required dialysis in the perioperative period.

Conclusions: Imaging‑guided PCA is a feasible and effective treatment option for patients with renal tumor recurrences after PN.

求助全文
通过发布文献求助,成功后即可免费获取论文全文。 去求助
来源期刊
CiteScore
2.80
自引率
23.50%
发文量
48
审稿时长
12 weeks
期刊介绍: Videosurgery and other miniinvasive techniques serves as a forum for exchange of multidisciplinary experiences in fields such as: surgery, gynaecology, urology, gastroenterology, neurosurgery, ENT surgery, cardiac surgery, anaesthesiology and radiology, as well as other branches of medicine dealing with miniinvasive techniques.
×
引用
GB/T 7714-2015
复制
MLA
复制
APA
复制
导出至
BibTeX EndNote RefMan NoteFirst NoteExpress
×
提示
您的信息不完整,为了账户安全,请先补充。
现在去补充
×
提示
您因"违规操作"
具体请查看互助需知
我知道了
×
提示
确定
请完成安全验证×
copy
已复制链接
快去分享给好友吧!
我知道了
右上角分享
点击右上角分享
0
联系我们:info@booksci.cn Book学术提供免费学术资源搜索服务,方便国内外学者检索中英文文献。致力于提供最便捷和优质的服务体验。 Copyright © 2023 布克学术 All rights reserved.
京ICP备2023020795号-1
ghs 京公网安备 11010802042870号
Book学术文献互助
Book学术文献互助群
群 号:604180095
Book学术官方微信