“优化”心脏收缩调节装置的麻醉剂。

Q3 Medicine
Journal of Innovations in Cardiac Rhythm Management Pub Date : 2025-03-15 eCollection Date: 2025-03-01 DOI:10.19102/icrm.2025.16032
Samit Ghia, Ashanay Allen, Ranjit Suri, Himani Bhatt
{"title":"“优化”心脏收缩调节装置的麻醉剂。","authors":"Samit Ghia, Ashanay Allen, Ranjit Suri, Himani Bhatt","doi":"10.19102/icrm.2025.16032","DOIUrl":null,"url":null,"abstract":"<p><p>We present a case report of a patient undergoing implantation of a cardiac contractility modulation (CCM) device. The Optimizer<sup>®</sup> Smart Implantable Pulse Generator (Impulse Dynamics, Orangeburg, NY, USA) provides electrical energy to the right ventricular septum to modulate cardiac contractility and improve cardiac function in heart failure patients. The non-excitatory electrical signals are delivered by transvenous leads during the refractory period. Anesthetic administration during implantation can affect appropriate lead positioning. Propofol at high doses can attenuate diaphragmatic contraction and discomfort from inappropriate lead positioning, resulting in diaphragm stimulation. Therefore, local or conscious sedation is preferred during CCM device implantation. In patients undergoing procedures with this CCM device in situ, the Optimizer<sup>®</sup> activity causes upward deflections of the RS segment on the electrocardiogram. Also, strong electromagnetic fields can disrupt device function. This case report reviews the novel CCM device and its major anesthetic considerations.</p>","PeriodicalId":36299,"journal":{"name":"Journal of Innovations in Cardiac Rhythm Management","volume":"16 3","pages":"6223-6228"},"PeriodicalIF":0.0000,"publicationDate":"2025-03-15","publicationTypes":"Journal Article","fieldsOfStudy":null,"isOpenAccess":false,"openAccessPdf":"https://www.ncbi.nlm.nih.gov/pmc/articles/PMC11927600/pdf/","citationCount":"0","resultStr":"{\"title\":\"\\\"Optimizing\\\" the Anesthetic for Cardiac Contractility Modulation Devices.\",\"authors\":\"Samit Ghia, Ashanay Allen, Ranjit Suri, Himani Bhatt\",\"doi\":\"10.19102/icrm.2025.16032\",\"DOIUrl\":null,\"url\":null,\"abstract\":\"<p><p>We present a case report of a patient undergoing implantation of a cardiac contractility modulation (CCM) device. The Optimizer<sup>®</sup> Smart Implantable Pulse Generator (Impulse Dynamics, Orangeburg, NY, USA) provides electrical energy to the right ventricular septum to modulate cardiac contractility and improve cardiac function in heart failure patients. The non-excitatory electrical signals are delivered by transvenous leads during the refractory period. Anesthetic administration during implantation can affect appropriate lead positioning. Propofol at high doses can attenuate diaphragmatic contraction and discomfort from inappropriate lead positioning, resulting in diaphragm stimulation. Therefore, local or conscious sedation is preferred during CCM device implantation. In patients undergoing procedures with this CCM device in situ, the Optimizer<sup>®</sup> activity causes upward deflections of the RS segment on the electrocardiogram. Also, strong electromagnetic fields can disrupt device function. This case report reviews the novel CCM device and its major anesthetic considerations.</p>\",\"PeriodicalId\":36299,\"journal\":{\"name\":\"Journal of Innovations in Cardiac Rhythm Management\",\"volume\":\"16 3\",\"pages\":\"6223-6228\"},\"PeriodicalIF\":0.0000,\"publicationDate\":\"2025-03-15\",\"publicationTypes\":\"Journal Article\",\"fieldsOfStudy\":null,\"isOpenAccess\":false,\"openAccessPdf\":\"https://www.ncbi.nlm.nih.gov/pmc/articles/PMC11927600/pdf/\",\"citationCount\":\"0\",\"resultStr\":null,\"platform\":\"Semanticscholar\",\"paperid\":null,\"PeriodicalName\":\"Journal of Innovations in Cardiac Rhythm Management\",\"FirstCategoryId\":\"1085\",\"ListUrlMain\":\"https://doi.org/10.19102/icrm.2025.16032\",\"RegionNum\":0,\"RegionCategory\":null,\"ArticlePicture\":[],\"TitleCN\":null,\"AbstractTextCN\":null,\"PMCID\":null,\"EPubDate\":\"2025/3/1 0:00:00\",\"PubModel\":\"eCollection\",\"JCR\":\"Q3\",\"JCRName\":\"Medicine\",\"Score\":null,\"Total\":0}","platform":"Semanticscholar","paperid":null,"PeriodicalName":"Journal of Innovations in Cardiac Rhythm Management","FirstCategoryId":"1085","ListUrlMain":"https://doi.org/10.19102/icrm.2025.16032","RegionNum":0,"RegionCategory":null,"ArticlePicture":[],"TitleCN":null,"AbstractTextCN":null,"PMCID":null,"EPubDate":"2025/3/1 0:00:00","PubModel":"eCollection","JCR":"Q3","JCRName":"Medicine","Score":null,"Total":0}
引用次数: 0

摘要

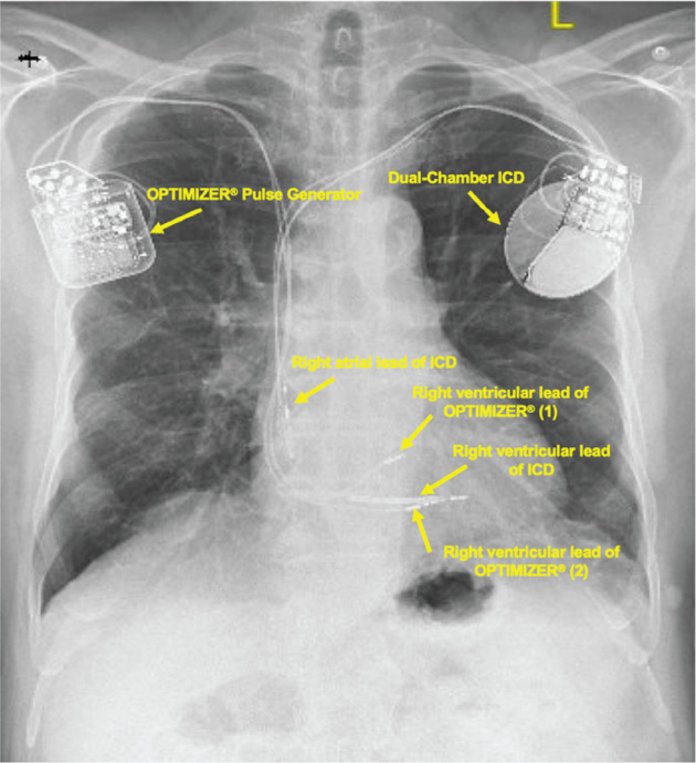
我们提出了一个病例报告的病人接受植入心脏收缩调节(CCM)装置。Optimizer®智能植入式脉冲发生器(Impulse Dynamics, Orangeburg, NY, USA)为心力衰竭患者的右室间隔提供电能,以调节心脏收缩力并改善心功能。非兴奋性电信号在不应期由经静脉导联传递。植入过程中的麻醉给药会影响引线的正确定位。高剂量异丙酚可以减弱膈肌收缩和不适当的导联位置引起的不适,从而导致膈肌刺激。因此,在CCM装置植入过程中,首选局部或有意识镇静。在使用该原位CCM设备进行手术的患者中,Optimizer®活动导致心电图上RS段向上偏转。此外,强电磁场会破坏设备的功能。本病例报告回顾了新型CCM装置及其主要麻醉注意事项。
本文章由计算机程序翻译,如有差异,请以英文原文为准。

"Optimizing" the Anesthetic for Cardiac Contractility Modulation Devices.

"Optimizing" the Anesthetic for Cardiac Contractility Modulation Devices.

"Optimizing" the Anesthetic for Cardiac Contractility Modulation Devices.

"Optimizing" the Anesthetic for Cardiac Contractility Modulation Devices.

We present a case report of a patient undergoing implantation of a cardiac contractility modulation (CCM) device. The Optimizer® Smart Implantable Pulse Generator (Impulse Dynamics, Orangeburg, NY, USA) provides electrical energy to the right ventricular septum to modulate cardiac contractility and improve cardiac function in heart failure patients. The non-excitatory electrical signals are delivered by transvenous leads during the refractory period. Anesthetic administration during implantation can affect appropriate lead positioning. Propofol at high doses can attenuate diaphragmatic contraction and discomfort from inappropriate lead positioning, resulting in diaphragm stimulation. Therefore, local or conscious sedation is preferred during CCM device implantation. In patients undergoing procedures with this CCM device in situ, the Optimizer® activity causes upward deflections of the RS segment on the electrocardiogram. Also, strong electromagnetic fields can disrupt device function. This case report reviews the novel CCM device and its major anesthetic considerations.

求助全文
通过发布文献求助,成功后即可免费获取论文全文。 去求助
来源期刊
Journal of Innovations in Cardiac Rhythm Management
Journal of Innovations in Cardiac Rhythm Management Medicine-Cardiology and Cardiovascular Medicine
CiteScore
1.50
自引率
0.00%
发文量
70
×
引用
GB/T 7714-2015
复制
MLA
复制
APA
复制
导出至
BibTeX EndNote RefMan NoteFirst NoteExpress
×
提示
您的信息不完整,为了账户安全,请先补充。
现在去补充
×
提示
您因"违规操作"
具体请查看互助需知
我知道了
×
提示
确定
请完成安全验证×
copy
已复制链接
快去分享给好友吧!
我知道了
右上角分享
点击右上角分享
0
联系我们:info@booksci.cn Book学术提供免费学术资源搜索服务,方便国内外学者检索中英文文献。致力于提供最便捷和优质的服务体验。 Copyright © 2023 布克学术 All rights reserved.
京ICP备2023020795号-1
ghs 京公网安备 11010802042870号
Book学术文献互助
Book学术文献互助群
群 号:604180095
Book学术官方微信