全膝关节置换术后自发性肝素诱导的血小板减少引起的急性脑出血伴广泛静脉血栓形成:一例报告。

IF 1.2 Q4 HEMATOLOGY
Mehdi Kashani, Meghan Brown, Juan Pablo Domecq Graces
{"title":"全膝关节置换术后自发性肝素诱导的血小板减少引起的急性脑出血伴广泛静脉血栓形成:一例报告。","authors":"Mehdi Kashani, Meghan Brown, Juan Pablo Domecq Graces","doi":"10.3390/hematolrep17020012","DOIUrl":null,"url":null,"abstract":"<p><strong>Introduction: </strong>Heparin-induced thrombocytopenia (HIT) is an autoimmune life-threatening prothrombotic syndrome associated with low platelet count after heparin exposure. Spontaneous heparin-induced thrombocytopenia (S-HIT) is an even less frequent variant of HIT, with only a handful of reports available in the literature, where unexplained thrombocytopenia and/or thrombosis without recent heparin exposure occurs in the setting of positive anti-PF4 antibodies.</p><p><strong>Case presentation: </strong>We report a case of S-HIT associated with pulmonary artery embolism, left internal jugular vein, and cerebral vein sinus thrombosis complicated with ipsilateral acute intracerebral hemorrhage.</p><p><strong>Discussion: </strong>It is important to highlight that in patients with otherwise unexplained thrombocytopenia and prior exposure to an inflammatory process, S-HIT should be on the differential.</p><p><strong>Conclusions: </strong>Recognition and avoidance of heparin exposure is the most important aspect of S-HIT, as the management is otherwise similar to HIT.</p>","PeriodicalId":12829,"journal":{"name":"Hematology Reports","volume":"17 2","pages":""},"PeriodicalIF":1.2000,"publicationDate":"2025-03-13","publicationTypes":"Journal Article","fieldsOfStudy":null,"isOpenAccess":false,"openAccessPdf":"https://www.ncbi.nlm.nih.gov/pmc/articles/PMC11932193/pdf/","citationCount":"0","resultStr":"{\"title\":\"Acute Intracerebral Hemorrhage Associated with Extensive Venous Thrombosis Due to Spontaneous Heparin-Induced Thrombocytopenia After Total Knee Replacement: A Case Report.\",\"authors\":\"Mehdi Kashani, Meghan Brown, Juan Pablo Domecq Graces\",\"doi\":\"10.3390/hematolrep17020012\",\"DOIUrl\":null,\"url\":null,\"abstract\":\"<p><strong>Introduction: </strong>Heparin-induced thrombocytopenia (HIT) is an autoimmune life-threatening prothrombotic syndrome associated with low platelet count after heparin exposure. Spontaneous heparin-induced thrombocytopenia (S-HIT) is an even less frequent variant of HIT, with only a handful of reports available in the literature, where unexplained thrombocytopenia and/or thrombosis without recent heparin exposure occurs in the setting of positive anti-PF4 antibodies.</p><p><strong>Case presentation: </strong>We report a case of S-HIT associated with pulmonary artery embolism, left internal jugular vein, and cerebral vein sinus thrombosis complicated with ipsilateral acute intracerebral hemorrhage.</p><p><strong>Discussion: </strong>It is important to highlight that in patients with otherwise unexplained thrombocytopenia and prior exposure to an inflammatory process, S-HIT should be on the differential.</p><p><strong>Conclusions: </strong>Recognition and avoidance of heparin exposure is the most important aspect of S-HIT, as the management is otherwise similar to HIT.</p>\",\"PeriodicalId\":12829,\"journal\":{\"name\":\"Hematology Reports\",\"volume\":\"17 2\",\"pages\":\"\"},\"PeriodicalIF\":1.2000,\"publicationDate\":\"2025-03-13\",\"publicationTypes\":\"Journal Article\",\"fieldsOfStudy\":null,\"isOpenAccess\":false,\"openAccessPdf\":\"https://www.ncbi.nlm.nih.gov/pmc/articles/PMC11932193/pdf/\",\"citationCount\":\"0\",\"resultStr\":null,\"platform\":\"Semanticscholar\",\"paperid\":null,\"PeriodicalName\":\"Hematology Reports\",\"FirstCategoryId\":\"1085\",\"ListUrlMain\":\"https://doi.org/10.3390/hematolrep17020012\",\"RegionNum\":0,\"RegionCategory\":null,\"ArticlePicture\":[],\"TitleCN\":null,\"AbstractTextCN\":null,\"PMCID\":null,\"EPubDate\":\"\",\"PubModel\":\"\",\"JCR\":\"Q4\",\"JCRName\":\"HEMATOLOGY\",\"Score\":null,\"Total\":0}","platform":"Semanticscholar","paperid":null,"PeriodicalName":"Hematology Reports","FirstCategoryId":"1085","ListUrlMain":"https://doi.org/10.3390/hematolrep17020012","RegionNum":0,"RegionCategory":null,"ArticlePicture":[],"TitleCN":null,"AbstractTextCN":null,"PMCID":null,"EPubDate":"","PubModel":"","JCR":"Q4","JCRName":"HEMATOLOGY","Score":null,"Total":0}
引用次数: 0

摘要

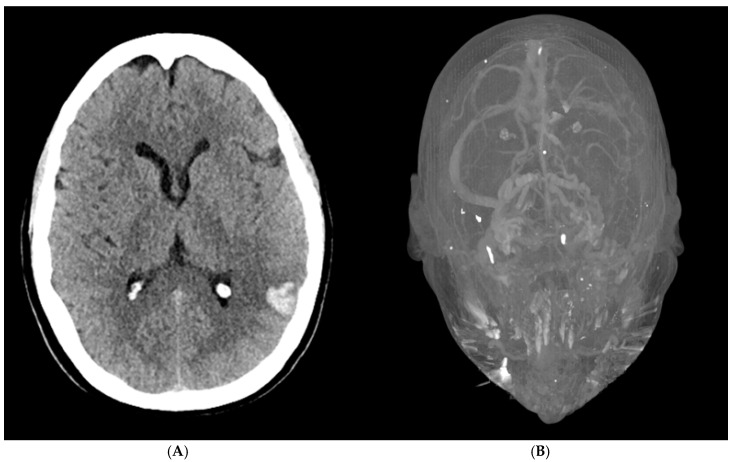
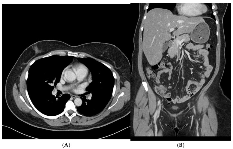
肝素诱导的血小板减少症(HIT)是一种危及生命的自身免疫性血栓形成前综合征,与肝素暴露后血小板计数低有关。自发性肝素诱导的血小板减少症(S-HIT)是HIT的一种更不常见的变体,文献中只有少数报道,其中不明原因的血小板减少症和/或血栓形成,近期没有肝素暴露,发生在抗pf4抗体阳性的情况下。病例介绍:我们报告一例S-HIT合并肺动脉栓塞、左颈内静脉及脑静脉窦血栓形成合并同侧急性脑出血的病例。讨论:重要的是要强调,在其他原因不明的血小板减少症患者和先前暴露于炎症过程中,S-HIT应该是鉴别的。结论:识别和避免肝素暴露是S-HIT最重要的方面,因为其他方面的管理与HIT相似。
本文章由计算机程序翻译,如有差异,请以英文原文为准。

Acute Intracerebral Hemorrhage Associated with Extensive Venous Thrombosis Due to Spontaneous Heparin-Induced Thrombocytopenia After Total Knee Replacement: A Case Report.

Acute Intracerebral Hemorrhage Associated with Extensive Venous Thrombosis Due to Spontaneous Heparin-Induced Thrombocytopenia After Total Knee Replacement: A Case Report.

Acute Intracerebral Hemorrhage Associated with Extensive Venous Thrombosis Due to Spontaneous Heparin-Induced Thrombocytopenia After Total Knee Replacement: A Case Report.

Acute Intracerebral Hemorrhage Associated with Extensive Venous Thrombosis Due to Spontaneous Heparin-Induced Thrombocytopenia After Total Knee Replacement: A Case Report.

Introduction: Heparin-induced thrombocytopenia (HIT) is an autoimmune life-threatening prothrombotic syndrome associated with low platelet count after heparin exposure. Spontaneous heparin-induced thrombocytopenia (S-HIT) is an even less frequent variant of HIT, with only a handful of reports available in the literature, where unexplained thrombocytopenia and/or thrombosis without recent heparin exposure occurs in the setting of positive anti-PF4 antibodies.

Case presentation: We report a case of S-HIT associated with pulmonary artery embolism, left internal jugular vein, and cerebral vein sinus thrombosis complicated with ipsilateral acute intracerebral hemorrhage.

Discussion: It is important to highlight that in patients with otherwise unexplained thrombocytopenia and prior exposure to an inflammatory process, S-HIT should be on the differential.

Conclusions: Recognition and avoidance of heparin exposure is the most important aspect of S-HIT, as the management is otherwise similar to HIT.

求助全文
通过发布文献求助,成功后即可免费获取论文全文。 去求助
来源期刊
Hematology Reports
Hematology Reports HEMATOLOGY-
CiteScore
0.90
自引率
0.00%
发文量
47
审稿时长
10 weeks
×
引用
GB/T 7714-2015
复制
MLA
复制
APA
复制
导出至
BibTeX EndNote RefMan NoteFirst NoteExpress
×
提示
您的信息不完整,为了账户安全,请先补充。
现在去补充
×
提示
您因"违规操作"
具体请查看互助需知
我知道了
×
提示
确定
请完成安全验证×
copy
已复制链接
快去分享给好友吧!
我知道了
右上角分享
点击右上角分享
0
联系我们:info@booksci.cn Book学术提供免费学术资源搜索服务,方便国内外学者检索中英文文献。致力于提供最便捷和优质的服务体验。 Copyright © 2023 布克学术 All rights reserved.
京ICP备2023020795号-1
ghs 京公网安备 11010802042870号
Book学术文献互助
Book学术文献互助群
群 号:604180095
Book学术官方微信