虫草素通过激活SLC7A11/GPX4通路改善糖尿病肾病损伤。

IF 3 3区 医学 Q2 ENDOCRINOLOGY & METABOLISM
Bing Wu, Jing Wang, Xiaohui Yan, Gang Jin, Qiong Wang
{"title":"虫草素通过激活SLC7A11/GPX4通路改善糖尿病肾病损伤。","authors":"Bing Wu,&nbsp;Jing Wang,&nbsp;Xiaohui Yan,&nbsp;Gang Jin,&nbsp;Qiong Wang","doi":"10.1111/jdi.14407","DOIUrl":null,"url":null,"abstract":"<div>\n \n \n <section>\n \n <h3> Background</h3>\n \n <p>Cordycepin (CRD) has been identified to alleviate diabetes-induced injuries and complications including diabetic nephropathy (DN). Here, this work focused on probing the specific effects and potential mechanisms of CRD on DN progression.</p>\n </section>\n \n <section>\n \n <h3> Methods</h3>\n \n <p>High glucose (HG)-induced mouse podocyte cell line (MPC5) was used for in vitro functional analyses. Cell proliferation and apoptosis were determined using cell counting kit-8 assay, 5-ethynyl-2′-deoxyuridine assay, and flow cytometry, respectively. ELISA analysis detected inflammatory factors. Cell ferroptosis was assessed by measuring the levels of Fe2+, glutathione, reactive oxygen species, and malonaldehyde.</p>\n </section>\n \n <section>\n \n <h3> Results</h3>\n \n <p>CRD treatment suppressed HG-induced apoptosis, inflammation, and ferroptosis in podocytes. CRD treatment elevated SLC7A11 and GPX4 expression in HG-treated podocytes. The overexpression of SLC7A11 or GPX4 suppressed HG-evoked apoptosis, inflammation, and ferroptosis in podocytes. Moreover, the silencing of SLC7A11 or GPX4 abolished the protective effects of CRD on HG-treated podocytes. Moreover, CRD ameliorated renal structure injury and inflammation in STZ-induced diabetic mice by modulating SLC7A11 or GPX4 expression.</p>\n </section>\n \n <section>\n \n <h3> Conclusions</h3>\n \n <p>Cordycepin suppressed HG-induced apoptosis, inflammation, and ferroptosis in podocytes in vitro, and ameliorated renal injury and inflammation in STZ-induced diabetic mice by activating the SLC7A11/GPX4 pathway.</p>\n </section>\n </div>","PeriodicalId":51250,"journal":{"name":"Journal of Diabetes Investigation","volume":"16 6","pages":"992-1000"},"PeriodicalIF":3.0000,"publicationDate":"2025-03-22","publicationTypes":"Journal Article","fieldsOfStudy":null,"isOpenAccess":false,"openAccessPdf":"https://onlinelibrary.wiley.com/doi/epdf/10.1111/jdi.14407","citationCount":"0","resultStr":"{\"title\":\"Cordycepin ameliorates diabetic nephropathy injury by activating the SLC7A11/GPX4 pathway\",\"authors\":\"Bing Wu,&nbsp;Jing Wang,&nbsp;Xiaohui Yan,&nbsp;Gang Jin,&nbsp;Qiong Wang\",\"doi\":\"10.1111/jdi.14407\",\"DOIUrl\":null,\"url\":null,\"abstract\":\"<div>\\n \\n \\n <section>\\n \\n <h3> Background</h3>\\n \\n <p>Cordycepin (CRD) has been identified to alleviate diabetes-induced injuries and complications including diabetic nephropathy (DN). Here, this work focused on probing the specific effects and potential mechanisms of CRD on DN progression.</p>\\n </section>\\n \\n <section>\\n \\n <h3> Methods</h3>\\n \\n <p>High glucose (HG)-induced mouse podocyte cell line (MPC5) was used for in vitro functional analyses. Cell proliferation and apoptosis were determined using cell counting kit-8 assay, 5-ethynyl-2′-deoxyuridine assay, and flow cytometry, respectively. ELISA analysis detected inflammatory factors. Cell ferroptosis was assessed by measuring the levels of Fe2+, glutathione, reactive oxygen species, and malonaldehyde.</p>\\n </section>\\n \\n <section>\\n \\n <h3> Results</h3>\\n \\n <p>CRD treatment suppressed HG-induced apoptosis, inflammation, and ferroptosis in podocytes. CRD treatment elevated SLC7A11 and GPX4 expression in HG-treated podocytes. The overexpression of SLC7A11 or GPX4 suppressed HG-evoked apoptosis, inflammation, and ferroptosis in podocytes. Moreover, the silencing of SLC7A11 or GPX4 abolished the protective effects of CRD on HG-treated podocytes. Moreover, CRD ameliorated renal structure injury and inflammation in STZ-induced diabetic mice by modulating SLC7A11 or GPX4 expression.</p>\\n </section>\\n \\n <section>\\n \\n <h3> Conclusions</h3>\\n \\n <p>Cordycepin suppressed HG-induced apoptosis, inflammation, and ferroptosis in podocytes in vitro, and ameliorated renal injury and inflammation in STZ-induced diabetic mice by activating the SLC7A11/GPX4 pathway.</p>\\n </section>\\n </div>\",\"PeriodicalId\":51250,\"journal\":{\"name\":\"Journal of Diabetes Investigation\",\"volume\":\"16 6\",\"pages\":\"992-1000\"},\"PeriodicalIF\":3.0000,\"publicationDate\":\"2025-03-22\",\"publicationTypes\":\"Journal Article\",\"fieldsOfStudy\":null,\"isOpenAccess\":false,\"openAccessPdf\":\"https://onlinelibrary.wiley.com/doi/epdf/10.1111/jdi.14407\",\"citationCount\":\"0\",\"resultStr\":null,\"platform\":\"Semanticscholar\",\"paperid\":null,\"PeriodicalName\":\"Journal of Diabetes Investigation\",\"FirstCategoryId\":\"3\",\"ListUrlMain\":\"https://onlinelibrary.wiley.com/doi/10.1111/jdi.14407\",\"RegionNum\":3,\"RegionCategory\":\"医学\",\"ArticlePicture\":[],\"TitleCN\":null,\"AbstractTextCN\":null,\"PMCID\":null,\"EPubDate\":\"\",\"PubModel\":\"\",\"JCR\":\"Q2\",\"JCRName\":\"ENDOCRINOLOGY & METABOLISM\",\"Score\":null,\"Total\":0}","platform":"Semanticscholar","paperid":null,"PeriodicalName":"Journal of Diabetes Investigation","FirstCategoryId":"3","ListUrlMain":"https://onlinelibrary.wiley.com/doi/10.1111/jdi.14407","RegionNum":3,"RegionCategory":"医学","ArticlePicture":[],"TitleCN":null,"AbstractTextCN":null,"PMCID":null,"EPubDate":"","PubModel":"","JCR":"Q2","JCRName":"ENDOCRINOLOGY & METABOLISM","Score":null,"Total":0}
引用次数: 0

摘要

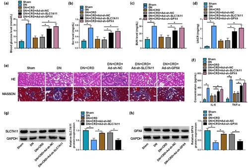
背景:虫草素(CRD)已被证实可减轻糖尿病引起的损伤和并发症,包括糖尿病肾病(DN)。本文旨在探讨CRD对DN进展的具体影响及其潜在机制。方法:采用高糖诱导小鼠足细胞(MPC5)进行体外功能分析。分别采用细胞计数试剂盒-8法、5-乙基-2′-脱氧尿苷法和流式细胞术检测细胞增殖和凋亡。ELISA法检测炎症因子。通过测量Fe2+、谷胱甘肽、活性氧和丙二醛的水平来评估细胞铁下垂。结果:CRD治疗可抑制hg诱导的足细胞凋亡、炎症和铁下垂。CRD处理可提高hg处理足细胞中SLC7A11和GPX4的表达。SLC7A11或GPX4的过表达抑制hg诱导的足细胞凋亡、炎症和铁下垂。此外,SLC7A11或GPX4的沉默消除了CRD对hg处理足细胞的保护作用。此外,CRD通过调节SLC7A11或GPX4的表达,改善了stz诱导的糖尿病小鼠肾脏结构损伤和炎症。结论:虫草素通过激活SLC7A11/GPX4通路,在体外抑制hg诱导的足细胞凋亡、炎症和铁凋亡,改善stz诱导的糖尿病小鼠肾损伤和炎症。
本文章由计算机程序翻译,如有差异,请以英文原文为准。

Cordycepin ameliorates diabetic nephropathy injury by activating the SLC7A11/GPX4 pathway

Cordycepin ameliorates diabetic nephropathy injury by activating the SLC7A11/GPX4 pathway

Background

Cordycepin (CRD) has been identified to alleviate diabetes-induced injuries and complications including diabetic nephropathy (DN). Here, this work focused on probing the specific effects and potential mechanisms of CRD on DN progression.

Methods

High glucose (HG)-induced mouse podocyte cell line (MPC5) was used for in vitro functional analyses. Cell proliferation and apoptosis were determined using cell counting kit-8 assay, 5-ethynyl-2′-deoxyuridine assay, and flow cytometry, respectively. ELISA analysis detected inflammatory factors. Cell ferroptosis was assessed by measuring the levels of Fe2+, glutathione, reactive oxygen species, and malonaldehyde.

Results

CRD treatment suppressed HG-induced apoptosis, inflammation, and ferroptosis in podocytes. CRD treatment elevated SLC7A11 and GPX4 expression in HG-treated podocytes. The overexpression of SLC7A11 or GPX4 suppressed HG-evoked apoptosis, inflammation, and ferroptosis in podocytes. Moreover, the silencing of SLC7A11 or GPX4 abolished the protective effects of CRD on HG-treated podocytes. Moreover, CRD ameliorated renal structure injury and inflammation in STZ-induced diabetic mice by modulating SLC7A11 or GPX4 expression.

Conclusions

Cordycepin suppressed HG-induced apoptosis, inflammation, and ferroptosis in podocytes in vitro, and ameliorated renal injury and inflammation in STZ-induced diabetic mice by activating the SLC7A11/GPX4 pathway.

求助全文
通过发布文献求助,成功后即可免费获取论文全文。 去求助
来源期刊
Journal of Diabetes Investigation
Journal of Diabetes Investigation ENDOCRINOLOGY & METABOLISM-
CiteScore
6.50
自引率
9.40%
发文量
218
审稿时长
6-12 weeks
期刊介绍: Journal of Diabetes Investigation is your core diabetes journal from Asia; the official journal of the Asian Association for the Study of Diabetes (AASD). The journal publishes original research, country reports, commentaries, reviews, mini-reviews, case reports, letters, as well as editorials and news. Embracing clinical and experimental research in diabetes and related areas, the Journal of Diabetes Investigation includes aspects of prevention, treatment, as well as molecular aspects and pathophysiology. Translational research focused on the exchange of ideas between clinicians and researchers is also welcome. Journal of Diabetes Investigation is indexed by Science Citation Index Expanded (SCIE).
×
引用
GB/T 7714-2015
复制
MLA
复制
APA
复制
导出至
BibTeX EndNote RefMan NoteFirst NoteExpress
×
提示
您的信息不完整,为了账户安全,请先补充。
现在去补充
×
提示
您因"违规操作"
具体请查看互助需知
我知道了
×
提示
确定
请完成安全验证×
copy
已复制链接
快去分享给好友吧!
我知道了
右上角分享
点击右上角分享
0
联系我们:info@booksci.cn Book学术提供免费学术资源搜索服务,方便国内外学者检索中英文文献。致力于提供最便捷和优质的服务体验。 Copyright © 2023 布克学术 All rights reserved.
京ICP备2023020795号-1
ghs 京公网安备 11010802042870号
Book学术文献互助
Book学术文献互助群
群 号:604180095
Book学术官方微信