MEN2A综合征合并艾森曼格综合征患者围手术期管理的挑战。

IF 0.9 Q3 ANESTHESIOLOGY
Amit Rastogi, Gaurav Agarwal, Sumit Sachan, Aditya Kapoor, Preeti Dabadghao
{"title":"MEN2A综合征合并艾森曼格综合征患者围手术期管理的挑战。","authors":"Amit Rastogi, Gaurav Agarwal, Sumit Sachan, Aditya Kapoor, Preeti Dabadghao","doi":"10.4274/TJAR.2025.241768","DOIUrl":null,"url":null,"abstract":"<p><p>Multiple endocrine neoplasia type 2A (MEN2A), is associated with pheochromocytoma and medullary carcinoma of the thyroid. A surgical procedure in these patients can be complicated if they have any congenital heart disease (CHD). Nowadays, CHD patients are increasingly presenting at advanced age for non-cardiac surgeries, posing unique challenges to anesthesiologists. We hereby present a 44-year-old male with Eisenmenger syndrome (ES) and MEN2A, scheduled for bilateral adrenal excision and thyroidectomy. Patients with ES require meticulous and goal-directed management during non-cardiac surgery, depending upon pulmonary hypertension, cyanosis, and right ventricular dysfunction.</p>","PeriodicalId":23353,"journal":{"name":"Turkish journal of anaesthesiology and reanimation","volume":"53 2","pages":"82-86"},"PeriodicalIF":0.9000,"publicationDate":"2025-03-21","publicationTypes":"Journal Article","fieldsOfStudy":null,"isOpenAccess":false,"openAccessPdf":"https://www.ncbi.nlm.nih.gov/pmc/articles/PMC11931255/pdf/","citationCount":"0","resultStr":"{\"title\":\"Challenging Perioperative Management of a MEN2A Syndrome Patient Complicated by Eisenmenger Syndrome.\",\"authors\":\"Amit Rastogi, Gaurav Agarwal, Sumit Sachan, Aditya Kapoor, Preeti Dabadghao\",\"doi\":\"10.4274/TJAR.2025.241768\",\"DOIUrl\":null,\"url\":null,\"abstract\":\"<p><p>Multiple endocrine neoplasia type 2A (MEN2A), is associated with pheochromocytoma and medullary carcinoma of the thyroid. A surgical procedure in these patients can be complicated if they have any congenital heart disease (CHD). Nowadays, CHD patients are increasingly presenting at advanced age for non-cardiac surgeries, posing unique challenges to anesthesiologists. We hereby present a 44-year-old male with Eisenmenger syndrome (ES) and MEN2A, scheduled for bilateral adrenal excision and thyroidectomy. Patients with ES require meticulous and goal-directed management during non-cardiac surgery, depending upon pulmonary hypertension, cyanosis, and right ventricular dysfunction.</p>\",\"PeriodicalId\":23353,\"journal\":{\"name\":\"Turkish journal of anaesthesiology and reanimation\",\"volume\":\"53 2\",\"pages\":\"82-86\"},\"PeriodicalIF\":0.9000,\"publicationDate\":\"2025-03-21\",\"publicationTypes\":\"Journal Article\",\"fieldsOfStudy\":null,\"isOpenAccess\":false,\"openAccessPdf\":\"https://www.ncbi.nlm.nih.gov/pmc/articles/PMC11931255/pdf/\",\"citationCount\":\"0\",\"resultStr\":null,\"platform\":\"Semanticscholar\",\"paperid\":null,\"PeriodicalName\":\"Turkish journal of anaesthesiology and reanimation\",\"FirstCategoryId\":\"1085\",\"ListUrlMain\":\"https://doi.org/10.4274/TJAR.2025.241768\",\"RegionNum\":0,\"RegionCategory\":null,\"ArticlePicture\":[],\"TitleCN\":null,\"AbstractTextCN\":null,\"PMCID\":null,\"EPubDate\":\"\",\"PubModel\":\"\",\"JCR\":\"Q3\",\"JCRName\":\"ANESTHESIOLOGY\",\"Score\":null,\"Total\":0}","platform":"Semanticscholar","paperid":null,"PeriodicalName":"Turkish journal of anaesthesiology and reanimation","FirstCategoryId":"1085","ListUrlMain":"https://doi.org/10.4274/TJAR.2025.241768","RegionNum":0,"RegionCategory":null,"ArticlePicture":[],"TitleCN":null,"AbstractTextCN":null,"PMCID":null,"EPubDate":"","PubModel":"","JCR":"Q3","JCRName":"ANESTHESIOLOGY","Score":null,"Total":0}
引用次数: 0

摘要

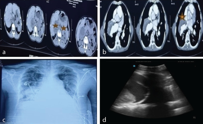
多发性内分泌肿瘤2A型(MEN2A),与嗜铬细胞瘤和甲状腺髓样癌相关。如果这些患者患有先天性心脏病(CHD),手术可能会很复杂。如今,越来越多的冠心病患者在高龄时进行非心脏手术,这给麻醉师带来了独特的挑战。我们在此报告一名44岁男性,患有艾森曼格综合征(ES)和MEN2A,计划进行双侧肾上腺切除术和甲状腺切除术。ES患者在非心脏手术中需要细致和目标导向的管理,这取决于肺动脉高压、紫绀和右室功能障碍。
本文章由计算机程序翻译,如有差异,请以英文原文为准。

Challenging Perioperative Management of a MEN2A Syndrome Patient Complicated by Eisenmenger Syndrome.

Challenging Perioperative Management of a MEN2A Syndrome Patient Complicated by Eisenmenger Syndrome.

Challenging Perioperative Management of a MEN2A Syndrome Patient Complicated by Eisenmenger Syndrome.

Multiple endocrine neoplasia type 2A (MEN2A), is associated with pheochromocytoma and medullary carcinoma of the thyroid. A surgical procedure in these patients can be complicated if they have any congenital heart disease (CHD). Nowadays, CHD patients are increasingly presenting at advanced age for non-cardiac surgeries, posing unique challenges to anesthesiologists. We hereby present a 44-year-old male with Eisenmenger syndrome (ES) and MEN2A, scheduled for bilateral adrenal excision and thyroidectomy. Patients with ES require meticulous and goal-directed management during non-cardiac surgery, depending upon pulmonary hypertension, cyanosis, and right ventricular dysfunction.

求助全文
通过发布文献求助,成功后即可免费获取论文全文。 去求助
来源期刊
CiteScore
1.10
自引率
0.00%
发文量
0
×
引用
GB/T 7714-2015
复制
MLA
复制
APA
复制
导出至
BibTeX EndNote RefMan NoteFirst NoteExpress
×
提示
您的信息不完整,为了账户安全,请先补充。
现在去补充
×
提示
您因"违规操作"
具体请查看互助需知
我知道了
×
提示
确定
请完成安全验证×
copy
已复制链接
快去分享给好友吧!
我知道了
右上角分享
点击右上角分享
0
联系我们:info@booksci.cn Book学术提供免费学术资源搜索服务,方便国内外学者检索中英文文献。致力于提供最便捷和优质的服务体验。 Copyright © 2023 布克学术 All rights reserved.
京ICP备2023020795号-1
ghs 京公网安备 11010802042870号
Book学术文献互助
Book学术文献互助群
群 号:604180095
Book学术官方微信