慢性高维生素C消耗导致肾草酸病和继发性高草酸尿1例报告。

Clinical nephrology. Case studies Pub Date : 2025-03-14 eCollection Date: 2025-01-01 DOI:10.5414/CNCS111462
Ioannis Eleftherios Neofytou, Georgios Lioulios, Emmanouil Almaliotis, Dimitra Vasilia Daikidou, Aikaterini Mplatsa, Elias Minasidis
{"title":"慢性高维生素C消耗导致肾草酸病和继发性高草酸尿1例报告。","authors":"Ioannis Eleftherios Neofytou, Georgios Lioulios, Emmanouil Almaliotis, Dimitra Vasilia Daikidou, Aikaterini Mplatsa, Elias Minasidis","doi":"10.5414/CNCS111462","DOIUrl":null,"url":null,"abstract":"<p><p>Renal oxalosis occurs from supersaturation of the urine with oxalate in the presence of calcium, resulting in deposition of calcium oxalate crystals within renal tissue and, consequently, progressive renal disease. One of the causes of secondary hyperoxaluria is a high intake of vitamin C, which exceeds the renal excretion capacity, and can induce renal oxalosis. We present a case involving a 67-year-old patient with chronic kidney disease and proteinuria, associated with secondary hyperoxaluria and renal oxalosis, who reported prolonged, excessive intake of vitamin C supplements. The patient presented with a gradual worsening of his renal function and proteinuria during the last 6-month period, after an episode of SARS-CoV-2 infection. The kidney biopsy revealed calcium oxalate crystals within the renal tissue. Thorough investigation and history-taking revealed a substantial increase in vitamin C supplementation during the SARS-CoV-2 infection (up to 3 g daily), indicating secondary hyperoxaluria as the causative factor. Overall during the pandemic, supplement consumption dramatically increased and patients were not adequately informed about the risks of various over-the-counter products. Excessive intake of vitamin C, popularized for its supposed health benefits, can lead, among others, to secondary hyperoxaluria and renal oxalosis. Prompt recognition is pivotal to initiate management and to prevent irreversible kidney damage.</p>","PeriodicalId":510898,"journal":{"name":"Clinical nephrology. Case studies","volume":"13 ","pages":"18-27"},"PeriodicalIF":0.0000,"publicationDate":"2025-03-14","publicationTypes":"Journal Article","fieldsOfStudy":null,"isOpenAccess":false,"openAccessPdf":"https://www.ncbi.nlm.nih.gov/pmc/articles/PMC11924107/pdf/","citationCount":"0","resultStr":"{\"title\":\"A case report of renal oxalosis and secondary hyperoxaluria due to chronic high vitamin C consumption.\",\"authors\":\"Ioannis Eleftherios Neofytou, Georgios Lioulios, Emmanouil Almaliotis, Dimitra Vasilia Daikidou, Aikaterini Mplatsa, Elias Minasidis\",\"doi\":\"10.5414/CNCS111462\",\"DOIUrl\":null,\"url\":null,\"abstract\":\"<p><p>Renal oxalosis occurs from supersaturation of the urine with oxalate in the presence of calcium, resulting in deposition of calcium oxalate crystals within renal tissue and, consequently, progressive renal disease. One of the causes of secondary hyperoxaluria is a high intake of vitamin C, which exceeds the renal excretion capacity, and can induce renal oxalosis. We present a case involving a 67-year-old patient with chronic kidney disease and proteinuria, associated with secondary hyperoxaluria and renal oxalosis, who reported prolonged, excessive intake of vitamin C supplements. The patient presented with a gradual worsening of his renal function and proteinuria during the last 6-month period, after an episode of SARS-CoV-2 infection. The kidney biopsy revealed calcium oxalate crystals within the renal tissue. Thorough investigation and history-taking revealed a substantial increase in vitamin C supplementation during the SARS-CoV-2 infection (up to 3 g daily), indicating secondary hyperoxaluria as the causative factor. Overall during the pandemic, supplement consumption dramatically increased and patients were not adequately informed about the risks of various over-the-counter products. Excessive intake of vitamin C, popularized for its supposed health benefits, can lead, among others, to secondary hyperoxaluria and renal oxalosis. Prompt recognition is pivotal to initiate management and to prevent irreversible kidney damage.</p>\",\"PeriodicalId\":510898,\"journal\":{\"name\":\"Clinical nephrology. Case studies\",\"volume\":\"13 \",\"pages\":\"18-27\"},\"PeriodicalIF\":0.0000,\"publicationDate\":\"2025-03-14\",\"publicationTypes\":\"Journal Article\",\"fieldsOfStudy\":null,\"isOpenAccess\":false,\"openAccessPdf\":\"https://www.ncbi.nlm.nih.gov/pmc/articles/PMC11924107/pdf/\",\"citationCount\":\"0\",\"resultStr\":null,\"platform\":\"Semanticscholar\",\"paperid\":null,\"PeriodicalName\":\"Clinical nephrology. Case studies\",\"FirstCategoryId\":\"1085\",\"ListUrlMain\":\"https://doi.org/10.5414/CNCS111462\",\"RegionNum\":0,\"RegionCategory\":null,\"ArticlePicture\":[],\"TitleCN\":null,\"AbstractTextCN\":null,\"PMCID\":null,\"EPubDate\":\"2025/1/1 0:00:00\",\"PubModel\":\"eCollection\",\"JCR\":\"\",\"JCRName\":\"\",\"Score\":null,\"Total\":0}","platform":"Semanticscholar","paperid":null,"PeriodicalName":"Clinical nephrology. Case studies","FirstCategoryId":"1085","ListUrlMain":"https://doi.org/10.5414/CNCS111462","RegionNum":0,"RegionCategory":null,"ArticlePicture":[],"TitleCN":null,"AbstractTextCN":null,"PMCID":null,"EPubDate":"2025/1/1 0:00:00","PubModel":"eCollection","JCR":"","JCRName":"","Score":null,"Total":0}
引用次数: 0

摘要

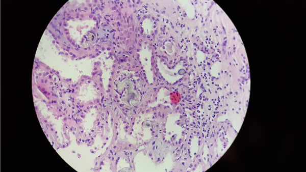
肾草化病发生于有钙存在的草酸盐尿液过饱和,导致草酸钙晶体在肾组织内沉积,从而导致进行性肾脏疾病。继发性高草酸尿的原因之一是维生素C摄入过多,超过肾脏排泄能力,可诱发肾草酸中毒。我们报告了一个67岁的慢性肾脏疾病和蛋白尿患者,伴有继发性高草酸尿和肾草酸病,他报告长期过量摄入维生素C补充剂。在SARS-CoV-2感染发作后,患者在过去6个月期间出现肾功能和蛋白尿逐渐恶化。肾活检显示肾组织内有草酸钙晶体。彻底的调查和病史记录显示,在SARS-CoV-2感染期间维生素C补充量大幅增加(每日高达3g),表明继发性高血氧血症是致病因素。总体而言,在大流行期间,补充剂的消费量急剧增加,患者没有充分了解各种非处方产品的风险。维生素C因其所谓的健康益处而广为人知,但过量摄入维生素C可能导致继发性高草酸尿症和肾草酸中毒。及时识别是开始治疗和防止不可逆肾损害的关键。
本文章由计算机程序翻译,如有差异,请以英文原文为准。

A case report of renal oxalosis and secondary hyperoxaluria due to chronic high vitamin C consumption.

A case report of renal oxalosis and secondary hyperoxaluria due to chronic high vitamin C consumption.

A case report of renal oxalosis and secondary hyperoxaluria due to chronic high vitamin C consumption.

Renal oxalosis occurs from supersaturation of the urine with oxalate in the presence of calcium, resulting in deposition of calcium oxalate crystals within renal tissue and, consequently, progressive renal disease. One of the causes of secondary hyperoxaluria is a high intake of vitamin C, which exceeds the renal excretion capacity, and can induce renal oxalosis. We present a case involving a 67-year-old patient with chronic kidney disease and proteinuria, associated with secondary hyperoxaluria and renal oxalosis, who reported prolonged, excessive intake of vitamin C supplements. The patient presented with a gradual worsening of his renal function and proteinuria during the last 6-month period, after an episode of SARS-CoV-2 infection. The kidney biopsy revealed calcium oxalate crystals within the renal tissue. Thorough investigation and history-taking revealed a substantial increase in vitamin C supplementation during the SARS-CoV-2 infection (up to 3 g daily), indicating secondary hyperoxaluria as the causative factor. Overall during the pandemic, supplement consumption dramatically increased and patients were not adequately informed about the risks of various over-the-counter products. Excessive intake of vitamin C, popularized for its supposed health benefits, can lead, among others, to secondary hyperoxaluria and renal oxalosis. Prompt recognition is pivotal to initiate management and to prevent irreversible kidney damage.

求助全文
通过发布文献求助,成功后即可免费获取论文全文。 去求助
来源期刊
自引率
0.00%
发文量
0
×
引用
GB/T 7714-2015
复制
MLA
复制
APA
复制
导出至
BibTeX EndNote RefMan NoteFirst NoteExpress
×
提示
您的信息不完整,为了账户安全,请先补充。
现在去补充
×
提示
您因"违规操作"
具体请查看互助需知
我知道了
×
提示
确定
请完成安全验证×
copy
已复制链接
快去分享给好友吧!
我知道了
右上角分享
点击右上角分享
0
联系我们:info@booksci.cn Book学术提供免费学术资源搜索服务,方便国内外学者检索中英文文献。致力于提供最便捷和优质的服务体验。 Copyright © 2023 布克学术 All rights reserved.
京ICP备2023020795号-1
ghs 京公网安备 11010802042870号
Book学术文献互助
Book学术文献互助群
群 号:604180095
Book学术官方微信