病例报告:一例非小细胞肺癌患者发生阿勒替尼相关的肠道溃疡和结肠炎,美沙拉嗪有效治疗。

IF 2.3 4区 医学 Q3 ONCOLOGY
Pathology & Oncology Research Pub Date : 2025-03-06 eCollection Date: 2025-01-01 DOI:10.3389/pore.2025.1612040
Zijian Qiu, Fei Ke, Xiaoping Zhu
{"title":"病例报告:一例非小细胞肺癌患者发生阿勒替尼相关的肠道溃疡和结肠炎,美沙拉嗪有效治疗。","authors":"Zijian Qiu, Fei Ke, Xiaoping Zhu","doi":"10.3389/pore.2025.1612040","DOIUrl":null,"url":null,"abstract":"<p><strong>Background: </strong>Alectinib is effective in extending the survival of patients with anaplastic lymphoma kinase (ALK)-positive non-small cell lung cancer (NSCLC) and generally has manageable side effects. However, intestinal ulcers and colitis are rare but serious adverse reactions linked to Alectinib, meriting further investigation into their causes.</p><p><strong>Case presentation: </strong>We report the case of a 62-year-old woman with NSCLC and brain metastases, who tested positive for ALK. She had been treated with Alectinib for nearly 4 years. The patient experienced diarrhea for 4 days, and a subsequent colonoscopy revealed pancolitis along with multiple ulcers in the terminal ileum and ileocecal valve. Given the severity of these symptoms, classified as a grade 3 adverse event by the Common Terminology Criteria for Adverse Events (CTCAE), Alectinib was discontinued. Treatment with oral enteric-coated Mesalazine tablets led to a resolution of the diarrhea and a significant improvement in the pancolitis and ulcers upon follow-up. The patient's anticancer therapy was subsequently switched to Ceritinib capsules. At follow-up, she demonstrated a stable tumor condition with no recurrence of intestinal ulcers or colitis.</p><p><strong>Conclusion: </strong>To our knowledge, this is the first reported case of intestinal ulceration and colitis induced by Alectinib. Although such adverse events are exceedingly rare, they require vigilant monitoring in clinical practice. Decisions on continuing with Alectinib should consider the severity of side effects, classified by CTCAE grade. For managing these specific adverse events, oral Mesalazine enteric-coated tablets appear to be an effective treatment option.</p>","PeriodicalId":19981,"journal":{"name":"Pathology & Oncology Research","volume":"31 ","pages":"1612040"},"PeriodicalIF":2.3000,"publicationDate":"2025-03-06","publicationTypes":"Journal Article","fieldsOfStudy":null,"isOpenAccess":false,"openAccessPdf":"https://www.ncbi.nlm.nih.gov/pmc/articles/PMC11922678/pdf/","citationCount":"0","resultStr":"{\"title\":\"Case report: Alectinib-associated intestinal ulceration and colitis in a patient with non-small cell lung cancer and effective treatment with Mesalazine.\",\"authors\":\"Zijian Qiu, Fei Ke, Xiaoping Zhu\",\"doi\":\"10.3389/pore.2025.1612040\",\"DOIUrl\":null,\"url\":null,\"abstract\":\"<p><strong>Background: </strong>Alectinib is effective in extending the survival of patients with anaplastic lymphoma kinase (ALK)-positive non-small cell lung cancer (NSCLC) and generally has manageable side effects. However, intestinal ulcers and colitis are rare but serious adverse reactions linked to Alectinib, meriting further investigation into their causes.</p><p><strong>Case presentation: </strong>We report the case of a 62-year-old woman with NSCLC and brain metastases, who tested positive for ALK. She had been treated with Alectinib for nearly 4 years. The patient experienced diarrhea for 4 days, and a subsequent colonoscopy revealed pancolitis along with multiple ulcers in the terminal ileum and ileocecal valve. Given the severity of these symptoms, classified as a grade 3 adverse event by the Common Terminology Criteria for Adverse Events (CTCAE), Alectinib was discontinued. Treatment with oral enteric-coated Mesalazine tablets led to a resolution of the diarrhea and a significant improvement in the pancolitis and ulcers upon follow-up. The patient's anticancer therapy was subsequently switched to Ceritinib capsules. At follow-up, she demonstrated a stable tumor condition with no recurrence of intestinal ulcers or colitis.</p><p><strong>Conclusion: </strong>To our knowledge, this is the first reported case of intestinal ulceration and colitis induced by Alectinib. Although such adverse events are exceedingly rare, they require vigilant monitoring in clinical practice. Decisions on continuing with Alectinib should consider the severity of side effects, classified by CTCAE grade. For managing these specific adverse events, oral Mesalazine enteric-coated tablets appear to be an effective treatment option.</p>\",\"PeriodicalId\":19981,\"journal\":{\"name\":\"Pathology & Oncology Research\",\"volume\":\"31 \",\"pages\":\"1612040\"},\"PeriodicalIF\":2.3000,\"publicationDate\":\"2025-03-06\",\"publicationTypes\":\"Journal Article\",\"fieldsOfStudy\":null,\"isOpenAccess\":false,\"openAccessPdf\":\"https://www.ncbi.nlm.nih.gov/pmc/articles/PMC11922678/pdf/\",\"citationCount\":\"0\",\"resultStr\":null,\"platform\":\"Semanticscholar\",\"paperid\":null,\"PeriodicalName\":\"Pathology & Oncology Research\",\"FirstCategoryId\":\"3\",\"ListUrlMain\":\"https://doi.org/10.3389/pore.2025.1612040\",\"RegionNum\":4,\"RegionCategory\":\"医学\",\"ArticlePicture\":[],\"TitleCN\":null,\"AbstractTextCN\":null,\"PMCID\":null,\"EPubDate\":\"2025/1/1 0:00:00\",\"PubModel\":\"eCollection\",\"JCR\":\"Q3\",\"JCRName\":\"ONCOLOGY\",\"Score\":null,\"Total\":0}","platform":"Semanticscholar","paperid":null,"PeriodicalName":"Pathology & Oncology Research","FirstCategoryId":"3","ListUrlMain":"https://doi.org/10.3389/pore.2025.1612040","RegionNum":4,"RegionCategory":"医学","ArticlePicture":[],"TitleCN":null,"AbstractTextCN":null,"PMCID":null,"EPubDate":"2025/1/1 0:00:00","PubModel":"eCollection","JCR":"Q3","JCRName":"ONCOLOGY","Score":null,"Total":0}
引用次数: 0

摘要

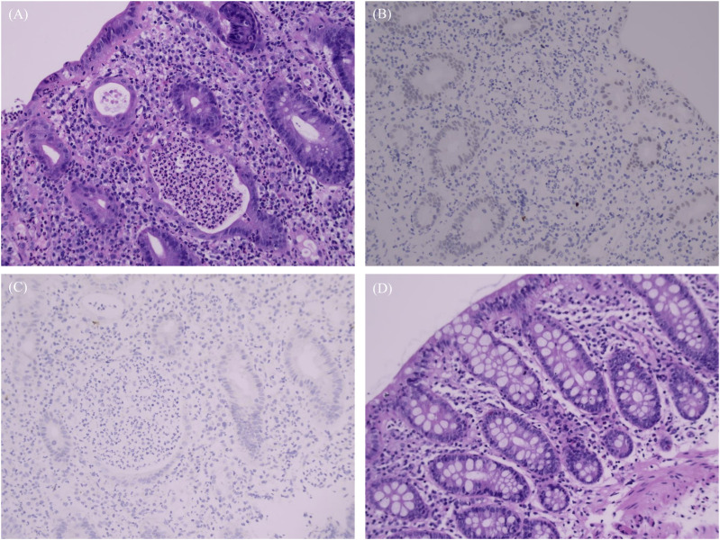
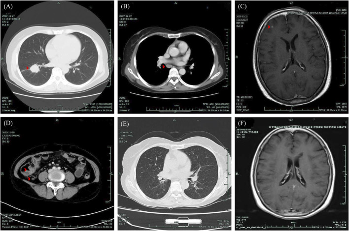
背景:阿来替尼能有效延长无性淋巴瘤激酶(ALK)阳性非小细胞肺癌(NSCLC)患者的生存期,且副作用一般可控。然而,肠溃疡和结肠炎是与阿来替尼相关的罕见但严重的不良反应,值得进一步调查其原因:我们报告了一名 62 岁女性的病例,她患有 NSCLC 和脑转移,ALK 检测呈阳性。她接受阿来替尼治疗近 4 年。患者腹泻 4 天,随后的结肠镜检查发现其患有胰腺炎,回肠末端和回盲瓣有多处溃疡。鉴于这些症状的严重性,根据《不良事件通用术语标准》(CTCAE)被列为 3 级不良事件,因此停用了 Alectinib。口服美沙拉嗪肠溶片治疗后,腹泻症状得到缓解,胰腺炎和溃疡也在随访中得到明显改善。随后,患者的抗癌治疗改为服用 Ceritinib 胶囊。在随访中,她的肿瘤情况稳定,肠溃疡和结肠炎没有复发:据我们所知,这是首例由阿来替尼诱发肠溃疡和结肠炎的病例。尽管此类不良事件极为罕见,但在临床实践中仍需警惕监测。在决定是否继续使用 Alectinib 时,应考虑副作用的严重程度(按 CTCAE 分级)。为了控制这些特定的不良反应,口服美沙拉秦肠溶片似乎是一种有效的治疗选择。
本文章由计算机程序翻译,如有差异,请以英文原文为准。

Case report: Alectinib-associated intestinal ulceration and colitis in a patient with non-small cell lung cancer and effective treatment with Mesalazine.

Case report: Alectinib-associated intestinal ulceration and colitis in a patient with non-small cell lung cancer and effective treatment with Mesalazine.

Case report: Alectinib-associated intestinal ulceration and colitis in a patient with non-small cell lung cancer and effective treatment with Mesalazine.

Case report: Alectinib-associated intestinal ulceration and colitis in a patient with non-small cell lung cancer and effective treatment with Mesalazine.

Background: Alectinib is effective in extending the survival of patients with anaplastic lymphoma kinase (ALK)-positive non-small cell lung cancer (NSCLC) and generally has manageable side effects. However, intestinal ulcers and colitis are rare but serious adverse reactions linked to Alectinib, meriting further investigation into their causes.

Case presentation: We report the case of a 62-year-old woman with NSCLC and brain metastases, who tested positive for ALK. She had been treated with Alectinib for nearly 4 years. The patient experienced diarrhea for 4 days, and a subsequent colonoscopy revealed pancolitis along with multiple ulcers in the terminal ileum and ileocecal valve. Given the severity of these symptoms, classified as a grade 3 adverse event by the Common Terminology Criteria for Adverse Events (CTCAE), Alectinib was discontinued. Treatment with oral enteric-coated Mesalazine tablets led to a resolution of the diarrhea and a significant improvement in the pancolitis and ulcers upon follow-up. The patient's anticancer therapy was subsequently switched to Ceritinib capsules. At follow-up, she demonstrated a stable tumor condition with no recurrence of intestinal ulcers or colitis.

Conclusion: To our knowledge, this is the first reported case of intestinal ulceration and colitis induced by Alectinib. Although such adverse events are exceedingly rare, they require vigilant monitoring in clinical practice. Decisions on continuing with Alectinib should consider the severity of side effects, classified by CTCAE grade. For managing these specific adverse events, oral Mesalazine enteric-coated tablets appear to be an effective treatment option.

求助全文
通过发布文献求助,成功后即可免费获取论文全文。 去求助
来源期刊
CiteScore
6.30
自引率
0.00%
发文量
134
审稿时长
4-8 weeks
期刊介绍: Pathology & Oncology Research (POR) is an interdisciplinary Journal at the interface of pathology and oncology including the preclinical and translational research, diagnostics and therapy. Furthermore, POR is an international forum for the rapid communication of reviews, original research, critical and topical reports with excellence and novelty. Published quarterly, POR is dedicated to keeping scientists informed of developments on the selected biomedical fields bridging the gap between basic research and clinical medicine. It is a special aim for POR to promote pathological and oncological publishing activity of colleagues in the Central and East European region. The journal will be of interest to pathologists, and a broad range of experimental and clinical oncologists, and related experts. POR is supported by an acknowledged international advisory board and the Arányi Fundation for modern pathology.
×
引用
GB/T 7714-2015
复制
MLA
复制
APA
复制
导出至
BibTeX EndNote RefMan NoteFirst NoteExpress
×
提示
您的信息不完整,为了账户安全,请先补充。
现在去补充
×
提示
您因"违规操作"
具体请查看互助需知
我知道了
×
提示
确定
请完成安全验证×
copy
已复制链接
快去分享给好友吧!
我知道了
右上角分享
点击右上角分享
0
联系我们:info@booksci.cn Book学术提供免费学术资源搜索服务,方便国内外学者检索中英文文献。致力于提供最便捷和优质的服务体验。 Copyright © 2023 布克学术 All rights reserved.
京ICP备2023020795号-1
ghs 京公网安备 11010802042870号
Book学术文献互助
Book学术文献互助群
群 号:604180095
Book学术官方微信