使用顺磁造影剂的磁共振血管造影--病例报告。

IF 1.9 Q3 UROLOGY & NEPHROLOGY
Central European Journal of Urology Pub Date : 2024-01-01 Epub Date: 2024-09-21 DOI:10.5173/ceju.2024.117
Franciszek Rzymkowski, Michał Kozub, Patryk Sulmiński, Jan Karol Wolski, Magdalena Zagrodzka
{"title":"使用顺磁造影剂的磁共振血管造影--病例报告。","authors":"Franciszek Rzymkowski, Michał Kozub, Patryk Sulmiński, Jan Karol Wolski, Magdalena Zagrodzka","doi":"10.5173/ceju.2024.117","DOIUrl":null,"url":null,"abstract":"<p><p>Azoospermia is recognised in 10-15% of men diagnosed due to infertility. Obstructive azoospermia occurs in 20-40% in this group of patients and it is characterised by normal FSH values, testes of normal size, and epididymal enlargement. Obstructive azoospermia is a common cause of male infertility. Several imaging techniques are used to assess the patency of the seminal tract, including the following: scrotal ultrasound, transrectal ultrasound (TRUS), and scrotal magnetic resonance imaging (MRI), with vasography being considered a gold standard. However, each of these methods has its limitations, and no single test can provide a comprehensive diagnosis. This article describes an attempt to combine high-resolution multiplanar MRI with functional evaluation of the patency of the seminal tract of classical vasography. A detailed description of the level of spermatic duct obstruction may help decide whether the condition qualifies for surgical treatment.</p>","PeriodicalId":9744,"journal":{"name":"Central European Journal of Urology","volume":"77 3","pages":"566-569"},"PeriodicalIF":1.9000,"publicationDate":"2024-01-01","publicationTypes":"Journal Article","fieldsOfStudy":null,"isOpenAccess":false,"openAccessPdf":"https://www.ncbi.nlm.nih.gov/pmc/articles/PMC11921947/pdf/","citationCount":"0","resultStr":"{\"title\":\"Magnetic resonance vasography using paramagnetic contrast agent - a case report.\",\"authors\":\"Franciszek Rzymkowski, Michał Kozub, Patryk Sulmiński, Jan Karol Wolski, Magdalena Zagrodzka\",\"doi\":\"10.5173/ceju.2024.117\",\"DOIUrl\":null,\"url\":null,\"abstract\":\"<p><p>Azoospermia is recognised in 10-15% of men diagnosed due to infertility. Obstructive azoospermia occurs in 20-40% in this group of patients and it is characterised by normal FSH values, testes of normal size, and epididymal enlargement. Obstructive azoospermia is a common cause of male infertility. Several imaging techniques are used to assess the patency of the seminal tract, including the following: scrotal ultrasound, transrectal ultrasound (TRUS), and scrotal magnetic resonance imaging (MRI), with vasography being considered a gold standard. However, each of these methods has its limitations, and no single test can provide a comprehensive diagnosis. This article describes an attempt to combine high-resolution multiplanar MRI with functional evaluation of the patency of the seminal tract of classical vasography. A detailed description of the level of spermatic duct obstruction may help decide whether the condition qualifies for surgical treatment.</p>\",\"PeriodicalId\":9744,\"journal\":{\"name\":\"Central European Journal of Urology\",\"volume\":\"77 3\",\"pages\":\"566-569\"},\"PeriodicalIF\":1.9000,\"publicationDate\":\"2024-01-01\",\"publicationTypes\":\"Journal Article\",\"fieldsOfStudy\":null,\"isOpenAccess\":false,\"openAccessPdf\":\"https://www.ncbi.nlm.nih.gov/pmc/articles/PMC11921947/pdf/\",\"citationCount\":\"0\",\"resultStr\":null,\"platform\":\"Semanticscholar\",\"paperid\":null,\"PeriodicalName\":\"Central European Journal of Urology\",\"FirstCategoryId\":\"1085\",\"ListUrlMain\":\"https://doi.org/10.5173/ceju.2024.117\",\"RegionNum\":0,\"RegionCategory\":null,\"ArticlePicture\":[],\"TitleCN\":null,\"AbstractTextCN\":null,\"PMCID\":null,\"EPubDate\":\"2024/9/21 0:00:00\",\"PubModel\":\"Epub\",\"JCR\":\"Q3\",\"JCRName\":\"UROLOGY & NEPHROLOGY\",\"Score\":null,\"Total\":0}","platform":"Semanticscholar","paperid":null,"PeriodicalName":"Central European Journal of Urology","FirstCategoryId":"1085","ListUrlMain":"https://doi.org/10.5173/ceju.2024.117","RegionNum":0,"RegionCategory":null,"ArticlePicture":[],"TitleCN":null,"AbstractTextCN":null,"PMCID":null,"EPubDate":"2024/9/21 0:00:00","PubModel":"Epub","JCR":"Q3","JCRName":"UROLOGY & NEPHROLOGY","Score":null,"Total":0}
引用次数: 0

摘要

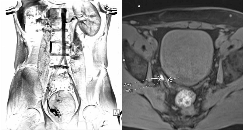
无精子症在10-15%的男性中被诊断为不孕症。梗阻性无精子症发生率为20-40%,其特征是卵泡刺激素值正常,睾丸大小正常,附睾增大。梗阻性无精子症是男性不育的常见原因。几种成像技术用于评估精液通畅,包括:阴囊超声、经直肠超声(TRUS)和阴囊磁共振成像(MRI),其中血管造影被认为是金标准。然而,每种方法都有其局限性,没有一种单一的测试可以提供全面的诊断。本文介绍了一种将高分辨率多平面MRI与经典血管造影的精道通畅功能评估相结合的尝试。精管阻塞程度的详细描述可能有助于决定是否需要手术治疗。
本文章由计算机程序翻译,如有差异,请以英文原文为准。

Magnetic resonance vasography using paramagnetic contrast agent - a case report.

Magnetic resonance vasography using paramagnetic contrast agent - a case report.

Magnetic resonance vasography using paramagnetic contrast agent - a case report.

Azoospermia is recognised in 10-15% of men diagnosed due to infertility. Obstructive azoospermia occurs in 20-40% in this group of patients and it is characterised by normal FSH values, testes of normal size, and epididymal enlargement. Obstructive azoospermia is a common cause of male infertility. Several imaging techniques are used to assess the patency of the seminal tract, including the following: scrotal ultrasound, transrectal ultrasound (TRUS), and scrotal magnetic resonance imaging (MRI), with vasography being considered a gold standard. However, each of these methods has its limitations, and no single test can provide a comprehensive diagnosis. This article describes an attempt to combine high-resolution multiplanar MRI with functional evaluation of the patency of the seminal tract of classical vasography. A detailed description of the level of spermatic duct obstruction may help decide whether the condition qualifies for surgical treatment.

求助全文
通过发布文献求助,成功后即可免费获取论文全文。 去求助
来源期刊
Central European Journal of Urology
Central European Journal of Urology UROLOGY & NEPHROLOGY-
CiteScore
2.30
自引率
8.30%
发文量
48
×
引用
GB/T 7714-2015
复制
MLA
复制
APA
复制
导出至
BibTeX EndNote RefMan NoteFirst NoteExpress
×
提示
您的信息不完整,为了账户安全,请先补充。
现在去补充
×
提示
您因"违规操作"
具体请查看互助需知
我知道了
×
提示
确定
请完成安全验证×
copy
已复制链接
快去分享给好友吧!
我知道了
右上角分享
点击右上角分享
0
联系我们:info@booksci.cn Book学术提供免费学术资源搜索服务,方便国内外学者检索中英文文献。致力于提供最便捷和优质的服务体验。 Copyright © 2023 布克学术 All rights reserved.
京ICP备2023020795号-1
ghs 京公网安备 11010802042870号
Book学术文献互助
Book学术文献互助群
群 号:604180095
Book学术官方微信