通过营养药品和/或身体活动调节大鼠幼鼠注意缺陷/多动障碍(ADHD)样行为的多种分子轨迹。

IF 3.5
Karema Abu-Elfotuh, Gellan Alaa Mohamed Kamel, Mazin A A Najm, Ahmed M E Hamdan, Mona T Koullah, Rasha K E Fahmy, Heba Abdelnaser Aboelsoud, Manar A Alghusn, Budor R Albalawi, Ahmed M Atwa, Khaled R Abdelhakim, Abdou M A Elsharkawy, Ehsan K Mohamed, Nada S Abdou, Reema Almotairi, Hoda A Salem, Ayah M H Gowifel
{"title":"通过营养药品和/或身体活动调节大鼠幼鼠注意缺陷/多动障碍(ADHD)样行为的多种分子轨迹。","authors":"Karema Abu-Elfotuh, Gellan Alaa Mohamed Kamel, Mazin A A Najm, Ahmed M E Hamdan, Mona T Koullah, Rasha K E Fahmy, Heba Abdelnaser Aboelsoud, Manar A Alghusn, Budor R Albalawi, Ahmed M Atwa, Khaled R Abdelhakim, Abdou M A Elsharkawy, Ehsan K Mohamed, Nada S Abdou, Reema Almotairi, Hoda A Salem, Ayah M H Gowifel","doi":"10.1007/s11481-025-10188-4","DOIUrl":null,"url":null,"abstract":"<p><p>Attention deficit/hyperactivity disorder (ADHD) is a neurodevelopmental condition affecting cognitive and social functions all over childhood. Monosodium glutamate (MSG) is a common food additive associated with ADHD-like symptoms in children. Nutraceuticals, like sesamol (SE) and astaxanthin (AST), or physical activity (PHA) were reported to possess beneficial effects on human health. Meanwhile, still their neuroprotective effect against ADHD has been poorly investigated. This study aimed to investigate the impact of SE, AST and PHA either separately or combined on ADHD-like behaviors induced by MSG in rat pups. Eighty-four male Sprague Dawley rat pups were randomly allocated into seven groups; control, MSG, (PHA + MSG), (SE + MSG), (AST + MSG), (SE + AST + MSG), and (COMB [PHA + SE + AST] + MSG) and treated for eight weeks. MSG-induced ADHD-like behavior was evaluated, via assessing behavioral outcomes; neurotransmitters' levels; five pathway biomarkers, coupled with histopathological and immunohistochemical studies. Rats exposed to PHA or treated with SE or AST either separately or combined exhibited enhanced attention, locomotor, and cognitive abilities, compared to MSG-intoxicated group. All treatments remarkably improved MSG-induced abnormalities in neurotransmitters' levels; biochemical markers; along with histological findings, via modulating HMGB1/RAGE/JAK-2/STAT-3, PI3K/AKT/CREB/BDNF, AMPK/SIRT-1 and PERK/CHOP pathways. Nevertheless, the combination of PHA with nutraceuticals (SE and AST) elicited more favorable effects in all measured parameters and histological findings, compared to other treated groups. In conclusion, this study revealed the superiority of the combination of nutraceuticals with PHA, over other standalone treatments, in amelioration of MSG-induced ADHD-like behaviors in rat pups, via fine-tuning of HMGB1/RAGE, PI3K/AKT/CREB/BDNF, AMPK/SIRT-1 and PERK/CHOP pathways.</p>","PeriodicalId":73858,"journal":{"name":"Journal of neuroimmune pharmacology : the official journal of the Society on NeuroImmune Pharmacology","volume":"20 1","pages":"27"},"PeriodicalIF":3.5000,"publicationDate":"2025-03-18","publicationTypes":"Journal Article","fieldsOfStudy":null,"isOpenAccess":false,"openAccessPdf":"https://www.ncbi.nlm.nih.gov/pmc/articles/PMC11920304/pdf/","citationCount":"0","resultStr":"{\"title\":\"Modulating Multiple Molecular Trajectories by Nutraceuticals and/or Physical Activity in Attention-Deficit/Hyperactivity Disorder (ADHD)-Like Behaviors in Rat Pups.\",\"authors\":\"Karema Abu-Elfotuh, Gellan Alaa Mohamed Kamel, Mazin A A Najm, Ahmed M E Hamdan, Mona T Koullah, Rasha K E Fahmy, Heba Abdelnaser Aboelsoud, Manar A Alghusn, Budor R Albalawi, Ahmed M Atwa, Khaled R Abdelhakim, Abdou M A Elsharkawy, Ehsan K Mohamed, Nada S Abdou, Reema Almotairi, Hoda A Salem, Ayah M H Gowifel\",\"doi\":\"10.1007/s11481-025-10188-4\",\"DOIUrl\":null,\"url\":null,\"abstract\":\"<p><p>Attention deficit/hyperactivity disorder (ADHD) is a neurodevelopmental condition affecting cognitive and social functions all over childhood. Monosodium glutamate (MSG) is a common food additive associated with ADHD-like symptoms in children. Nutraceuticals, like sesamol (SE) and astaxanthin (AST), or physical activity (PHA) were reported to possess beneficial effects on human health. Meanwhile, still their neuroprotective effect against ADHD has been poorly investigated. This study aimed to investigate the impact of SE, AST and PHA either separately or combined on ADHD-like behaviors induced by MSG in rat pups. Eighty-four male Sprague Dawley rat pups were randomly allocated into seven groups; control, MSG, (PHA + MSG), (SE + MSG), (AST + MSG), (SE + AST + MSG), and (COMB [PHA + SE + AST] + MSG) and treated for eight weeks. MSG-induced ADHD-like behavior was evaluated, via assessing behavioral outcomes; neurotransmitters' levels; five pathway biomarkers, coupled with histopathological and immunohistochemical studies. Rats exposed to PHA or treated with SE or AST either separately or combined exhibited enhanced attention, locomotor, and cognitive abilities, compared to MSG-intoxicated group. All treatments remarkably improved MSG-induced abnormalities in neurotransmitters' levels; biochemical markers; along with histological findings, via modulating HMGB1/RAGE/JAK-2/STAT-3, PI3K/AKT/CREB/BDNF, AMPK/SIRT-1 and PERK/CHOP pathways. Nevertheless, the combination of PHA with nutraceuticals (SE and AST) elicited more favorable effects in all measured parameters and histological findings, compared to other treated groups. In conclusion, this study revealed the superiority of the combination of nutraceuticals with PHA, over other standalone treatments, in amelioration of MSG-induced ADHD-like behaviors in rat pups, via fine-tuning of HMGB1/RAGE, PI3K/AKT/CREB/BDNF, AMPK/SIRT-1 and PERK/CHOP pathways.</p>\",\"PeriodicalId\":73858,\"journal\":{\"name\":\"Journal of neuroimmune pharmacology : the official journal of the Society on NeuroImmune Pharmacology\",\"volume\":\"20 1\",\"pages\":\"27\"},\"PeriodicalIF\":3.5000,\"publicationDate\":\"2025-03-18\",\"publicationTypes\":\"Journal Article\",\"fieldsOfStudy\":null,\"isOpenAccess\":false,\"openAccessPdf\":\"https://www.ncbi.nlm.nih.gov/pmc/articles/PMC11920304/pdf/\",\"citationCount\":\"0\",\"resultStr\":null,\"platform\":\"Semanticscholar\",\"paperid\":null,\"PeriodicalName\":\"Journal of neuroimmune pharmacology : the official journal of the Society on NeuroImmune Pharmacology\",\"FirstCategoryId\":\"1085\",\"ListUrlMain\":\"https://doi.org/10.1007/s11481-025-10188-4\",\"RegionNum\":0,\"RegionCategory\":null,\"ArticlePicture\":[],\"TitleCN\":null,\"AbstractTextCN\":null,\"PMCID\":null,\"EPubDate\":\"\",\"PubModel\":\"\",\"JCR\":\"\",\"JCRName\":\"\",\"Score\":null,\"Total\":0}","platform":"Semanticscholar","paperid":null,"PeriodicalName":"Journal of neuroimmune pharmacology : the official journal of the Society on NeuroImmune Pharmacology","FirstCategoryId":"1085","ListUrlMain":"https://doi.org/10.1007/s11481-025-10188-4","RegionNum":0,"RegionCategory":null,"ArticlePicture":[],"TitleCN":null,"AbstractTextCN":null,"PMCID":null,"EPubDate":"","PubModel":"","JCR":"","JCRName":"","Score":null,"Total":0}
引用次数: 0

摘要

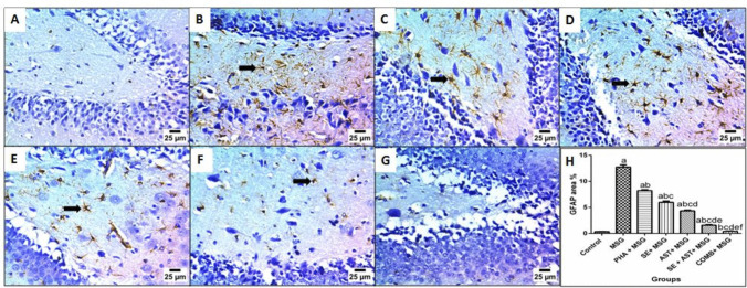
注意缺陷/多动障碍(ADHD)是一种影响整个儿童认知和社会功能的神经发育疾病。谷氨酸钠(MSG)是一种常见的食品添加剂,与儿童adhd样症状有关。据报道,芝麻素(SE)和虾青素(AST)或体育活动(PHA)等营养保健品对人体健康有有益的影响。与此同时,它们对多动症的神经保护作用还没有得到充分的研究。本研究旨在探讨SE、AST和PHA单独或联合对味精诱导的大鼠adhd样行为的影响。84只雄性斯普拉格·道利大鼠幼鼠随机分为7组;控制、味精(PHA +味精),(SE +味精),(AST +味精)(SE + AST +味精),(梳(PHA + SE + AST) +味精),治疗8周。通过评估行为结果来评估msg诱导的adhd样行为;神经传递素的水平;五种通路生物标志物,结合组织病理学和免疫组织化学研究。与味精中毒组相比,暴露于PHA或单独或联合接受SE或AST治疗的大鼠表现出更强的注意力、运动和认知能力。所有治疗均显著改善了msg诱导的神经递质水平异常;生化标记;通过调节HMGB1/RAGE/JAK-2/STAT-3、PI3K/AKT/CREB/BDNF、AMPK/SIRT-1和PERK/CHOP通路,然而,与其他治疗组相比,PHA与营养品(SE和AST)的组合在所有测量参数和组织学结果中都产生了更有利的效果。综上所述,本研究揭示了通过微调HMGB1/RAGE、PI3K/AKT/CREB/BDNF、AMPK/SIRT-1和PERK/CHOP通路,保健品与PHA联合治疗在改善msg诱导的大鼠幼鼠adhd样行为方面优于其他单独治疗。
本文章由计算机程序翻译,如有差异,请以英文原文为准。

Modulating Multiple Molecular Trajectories by Nutraceuticals and/or Physical Activity in Attention-Deficit/Hyperactivity Disorder (ADHD)-Like Behaviors in Rat Pups.

Modulating Multiple Molecular Trajectories by Nutraceuticals and/or Physical Activity in Attention-Deficit/Hyperactivity Disorder (ADHD)-Like Behaviors in Rat Pups.

Modulating Multiple Molecular Trajectories by Nutraceuticals and/or Physical Activity in Attention-Deficit/Hyperactivity Disorder (ADHD)-Like Behaviors in Rat Pups.

Modulating Multiple Molecular Trajectories by Nutraceuticals and/or Physical Activity in Attention-Deficit/Hyperactivity Disorder (ADHD)-Like Behaviors in Rat Pups.

Attention deficit/hyperactivity disorder (ADHD) is a neurodevelopmental condition affecting cognitive and social functions all over childhood. Monosodium glutamate (MSG) is a common food additive associated with ADHD-like symptoms in children. Nutraceuticals, like sesamol (SE) and astaxanthin (AST), or physical activity (PHA) were reported to possess beneficial effects on human health. Meanwhile, still their neuroprotective effect against ADHD has been poorly investigated. This study aimed to investigate the impact of SE, AST and PHA either separately or combined on ADHD-like behaviors induced by MSG in rat pups. Eighty-four male Sprague Dawley rat pups were randomly allocated into seven groups; control, MSG, (PHA + MSG), (SE + MSG), (AST + MSG), (SE + AST + MSG), and (COMB [PHA + SE + AST] + MSG) and treated for eight weeks. MSG-induced ADHD-like behavior was evaluated, via assessing behavioral outcomes; neurotransmitters' levels; five pathway biomarkers, coupled with histopathological and immunohistochemical studies. Rats exposed to PHA or treated with SE or AST either separately or combined exhibited enhanced attention, locomotor, and cognitive abilities, compared to MSG-intoxicated group. All treatments remarkably improved MSG-induced abnormalities in neurotransmitters' levels; biochemical markers; along with histological findings, via modulating HMGB1/RAGE/JAK-2/STAT-3, PI3K/AKT/CREB/BDNF, AMPK/SIRT-1 and PERK/CHOP pathways. Nevertheless, the combination of PHA with nutraceuticals (SE and AST) elicited more favorable effects in all measured parameters and histological findings, compared to other treated groups. In conclusion, this study revealed the superiority of the combination of nutraceuticals with PHA, over other standalone treatments, in amelioration of MSG-induced ADHD-like behaviors in rat pups, via fine-tuning of HMGB1/RAGE, PI3K/AKT/CREB/BDNF, AMPK/SIRT-1 and PERK/CHOP pathways.

求助全文
通过发布文献求助,成功后即可免费获取论文全文。 去求助
来源期刊
自引率
0.00%
发文量
0
期刊介绍:
×
引用
GB/T 7714-2015
复制
MLA
复制
APA
复制
导出至
BibTeX EndNote RefMan NoteFirst NoteExpress
×
提示
您的信息不完整,为了账户安全,请先补充。
现在去补充
×
提示
您因"违规操作"
具体请查看互助需知
我知道了
×
提示
确定
请完成安全验证×
copy
已复制链接
快去分享给好友吧!
我知道了
右上角分享
点击右上角分享
0
联系我们:info@booksci.cn Book学术提供免费学术资源搜索服务,方便国内外学者检索中英文文献。致力于提供最便捷和优质的服务体验。 Copyright © 2023 布克学术 All rights reserved.
京ICP备2023020795号-1
ghs 京公网安备 11010802042870号
Book学术文献互助
Book学术文献互助群
群 号:604180095
Book学术官方微信