自发性腹壁子宫内膜异位症1例。

Q3 Nursing
Malaysian Family Physician Pub Date : 2025-02-26 eCollection Date: 2025-01-01 DOI:10.51866/cr.646
Mohd Pazudin Ismail, Erinna Mohamad Zon, W Fadhlina W Adnan, Nasibah Mohamad, Nur Asma Sapiai, Sharifah Emilia Tuan Shariff
{"title":"自发性腹壁子宫内膜异位症1例。","authors":"Mohd Pazudin Ismail, Erinna Mohamad Zon, W Fadhlina W Adnan, Nasibah Mohamad, Nur Asma Sapiai, Sharifah Emilia Tuan Shariff","doi":"10.51866/cr.646","DOIUrl":null,"url":null,"abstract":"<p><p>Abdominal wall endometriosis (AWE) is a rare type of endometriosis, with an incidence ranging from 0.1% to 0.4%. It requires a high index of suspicion to avoid delays in diagnosis and treatment. This case is rather special because AWE occurred without a history of abdominal surgery or pelvic endometriosis. Herein, we report the case of a 48-year-old para-3 woman with localised cyclical abdominal pain associated with abdominal distension. On assessment during menstruation, there were localised tenderness at the right suprapubic area and a non-tender suprapubic mass corresponding to a 14-week-sized gravid uterus. An ultrasound revealed the presence of a heterogeneous hypoechoic lesion at the subcutaneous layer of the right suprapubic region sized 1.8×3.2×4.4 cm with poor demarcation. There were also multiple uterine fibroids varying in size and location. She underwent exploratory laparotomy, total abdominal hysterectomy with bilateral salpingo-oophorectomy and abdominal wall mass resection. Intraoperatively, the right abdominal wall mass measuring 6x5 cm and involving the subcutaneous layer was found to adhere to the rectus sheath with some chocolate-stained areas without connection to the peritoneal cavity. Additionally, multiple uterine fibroids were noted. There was no pelvic endometriosis, and the other pelvic organs were normal. The histopathological diagnosis of the abdominal wall mass was endometriosis. AWE should be one of the differential diagnoses even in the absence of previous surgery when encountering a patient with an abdominal wall mass especially when it is related to the menstrual cycle.</p>","PeriodicalId":40017,"journal":{"name":"Malaysian Family Physician","volume":"20 ","pages":"12"},"PeriodicalIF":0.0000,"publicationDate":"2025-02-26","publicationTypes":"Journal Article","fieldsOfStudy":null,"isOpenAccess":false,"openAccessPdf":"https://www.ncbi.nlm.nih.gov/pmc/articles/PMC11910310/pdf/","citationCount":"0","resultStr":"{\"title\":\"Spontaneous abdominal wall endometriosis: A case report.\",\"authors\":\"Mohd Pazudin Ismail, Erinna Mohamad Zon, W Fadhlina W Adnan, Nasibah Mohamad, Nur Asma Sapiai, Sharifah Emilia Tuan Shariff\",\"doi\":\"10.51866/cr.646\",\"DOIUrl\":null,\"url\":null,\"abstract\":\"<p><p>Abdominal wall endometriosis (AWE) is a rare type of endometriosis, with an incidence ranging from 0.1% to 0.4%. It requires a high index of suspicion to avoid delays in diagnosis and treatment. This case is rather special because AWE occurred without a history of abdominal surgery or pelvic endometriosis. Herein, we report the case of a 48-year-old para-3 woman with localised cyclical abdominal pain associated with abdominal distension. On assessment during menstruation, there were localised tenderness at the right suprapubic area and a non-tender suprapubic mass corresponding to a 14-week-sized gravid uterus. An ultrasound revealed the presence of a heterogeneous hypoechoic lesion at the subcutaneous layer of the right suprapubic region sized 1.8×3.2×4.4 cm with poor demarcation. There were also multiple uterine fibroids varying in size and location. She underwent exploratory laparotomy, total abdominal hysterectomy with bilateral salpingo-oophorectomy and abdominal wall mass resection. Intraoperatively, the right abdominal wall mass measuring 6x5 cm and involving the subcutaneous layer was found to adhere to the rectus sheath with some chocolate-stained areas without connection to the peritoneal cavity. Additionally, multiple uterine fibroids were noted. There was no pelvic endometriosis, and the other pelvic organs were normal. The histopathological diagnosis of the abdominal wall mass was endometriosis. AWE should be one of the differential diagnoses even in the absence of previous surgery when encountering a patient with an abdominal wall mass especially when it is related to the menstrual cycle.</p>\",\"PeriodicalId\":40017,\"journal\":{\"name\":\"Malaysian Family Physician\",\"volume\":\"20 \",\"pages\":\"12\"},\"PeriodicalIF\":0.0000,\"publicationDate\":\"2025-02-26\",\"publicationTypes\":\"Journal Article\",\"fieldsOfStudy\":null,\"isOpenAccess\":false,\"openAccessPdf\":\"https://www.ncbi.nlm.nih.gov/pmc/articles/PMC11910310/pdf/\",\"citationCount\":\"0\",\"resultStr\":null,\"platform\":\"Semanticscholar\",\"paperid\":null,\"PeriodicalName\":\"Malaysian Family Physician\",\"FirstCategoryId\":\"1085\",\"ListUrlMain\":\"https://doi.org/10.51866/cr.646\",\"RegionNum\":0,\"RegionCategory\":null,\"ArticlePicture\":[],\"TitleCN\":null,\"AbstractTextCN\":null,\"PMCID\":null,\"EPubDate\":\"2025/1/1 0:00:00\",\"PubModel\":\"eCollection\",\"JCR\":\"Q3\",\"JCRName\":\"Nursing\",\"Score\":null,\"Total\":0}","platform":"Semanticscholar","paperid":null,"PeriodicalName":"Malaysian Family Physician","FirstCategoryId":"1085","ListUrlMain":"https://doi.org/10.51866/cr.646","RegionNum":0,"RegionCategory":null,"ArticlePicture":[],"TitleCN":null,"AbstractTextCN":null,"PMCID":null,"EPubDate":"2025/1/1 0:00:00","PubModel":"eCollection","JCR":"Q3","JCRName":"Nursing","Score":null,"Total":0}
引用次数: 0

摘要

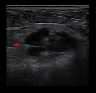
腹壁子宫内膜异位症(AWE)是一种罕见的子宫内膜异位症,发病率为0.1%至0.4%。它需要高度的怀疑指数,以避免诊断和治疗的延误。本病例比较特殊,因为AWE发生时没有腹部手术史或盆腔子宫内膜异位症。在此,我们报告的情况下,48岁的para-3妇女局部周期性腹痛与腹胀。在月经期间评估,有局部压痛在右侧耻骨上区域和一个非压痛的耻骨上肿块对应的14周大小的妊娠子宫。超声显示在右侧耻骨上区皮下层存在一个大小为1.8×3.2×4.4 cm的不均匀低回声病变,界限不清。也有多个不同大小和位置的子宫肌瘤。她接受了剖腹探查术、全腹子宫切除术、双侧输卵管卵巢切除术和腹壁肿块切除术。术中发现右腹壁肿块大小为6x5cm,累及皮下层,与直肌鞘粘连,伴巧克力色区域,未与腹膜腔相连。此外,发现多发性子宫肌瘤。无盆腔子宫内膜异位症,其他盆腔脏器正常。腹壁肿块的组织病理学诊断为子宫内膜异位症。当遇到腹壁肿块患者,特别是与月经周期有关的腹壁肿块时,即使没有手术史,AWE也应作为鉴别诊断之一。
本文章由计算机程序翻译,如有差异,请以英文原文为准。

Spontaneous abdominal wall endometriosis: A case report.

Spontaneous abdominal wall endometriosis: A case report.

Spontaneous abdominal wall endometriosis: A case report.

Spontaneous abdominal wall endometriosis: A case report.

Abdominal wall endometriosis (AWE) is a rare type of endometriosis, with an incidence ranging from 0.1% to 0.4%. It requires a high index of suspicion to avoid delays in diagnosis and treatment. This case is rather special because AWE occurred without a history of abdominal surgery or pelvic endometriosis. Herein, we report the case of a 48-year-old para-3 woman with localised cyclical abdominal pain associated with abdominal distension. On assessment during menstruation, there were localised tenderness at the right suprapubic area and a non-tender suprapubic mass corresponding to a 14-week-sized gravid uterus. An ultrasound revealed the presence of a heterogeneous hypoechoic lesion at the subcutaneous layer of the right suprapubic region sized 1.8×3.2×4.4 cm with poor demarcation. There were also multiple uterine fibroids varying in size and location. She underwent exploratory laparotomy, total abdominal hysterectomy with bilateral salpingo-oophorectomy and abdominal wall mass resection. Intraoperatively, the right abdominal wall mass measuring 6x5 cm and involving the subcutaneous layer was found to adhere to the rectus sheath with some chocolate-stained areas without connection to the peritoneal cavity. Additionally, multiple uterine fibroids were noted. There was no pelvic endometriosis, and the other pelvic organs were normal. The histopathological diagnosis of the abdominal wall mass was endometriosis. AWE should be one of the differential diagnoses even in the absence of previous surgery when encountering a patient with an abdominal wall mass especially when it is related to the menstrual cycle.

求助全文
通过发布文献求助,成功后即可免费获取论文全文。 去求助
来源期刊
Malaysian Family Physician
Malaysian Family Physician Medicine-Family Practice
CiteScore
1.20
自引率
0.00%
发文量
41
审稿时长
24 weeks
期刊介绍: The Malaysian Family Physician is the official journal of the Academy of Family Physicians of Malaysia. It is published three times a year. Circulation: The journal is distributed free of charge to all members of the Academy of Family Physicians of Malaysia. Complimentary copies are also sent to other organizations that are members of the World Organization of Family Doctors (WONCA).
×
引用
GB/T 7714-2015
复制
MLA
复制
APA
复制
导出至
BibTeX EndNote RefMan NoteFirst NoteExpress
×
提示
您的信息不完整,为了账户安全,请先补充。
现在去补充
×
提示
您因"违规操作"
具体请查看互助需知
我知道了
×
提示
确定
请完成安全验证×
copy
已复制链接
快去分享给好友吧!
我知道了
右上角分享
点击右上角分享
0
联系我们:info@booksci.cn Book学术提供免费学术资源搜索服务,方便国内外学者检索中英文文献。致力于提供最便捷和优质的服务体验。 Copyright © 2023 布克学术 All rights reserved.
京ICP备2023020795号-1
ghs 京公网安备 11010802042870号
Book学术文献互助
Book学术文献互助群
群 号:604180095
Book学术官方微信