链脲佐菌素-烟酰胺诱导的糖尿病大鼠肠促胰岛素通路中苦瓜提取物的降糖活性取决于剂量差异。

Q3 Biochemistry, Genetics and Molecular Biology
Muhammad Fadhol Romdhoni, Muchsin Doewes, Soetrisno Soetrisno, Ratih Puspita Febrinasari
{"title":"链脲佐菌素-烟酰胺诱导的糖尿病大鼠肠促胰岛素通路中苦瓜提取物的降糖活性取决于剂量差异。","authors":"Muhammad Fadhol Romdhoni, Muchsin Doewes, Soetrisno Soetrisno, Ratih Puspita Febrinasari","doi":"10.18502/ajmb.v17i1.17677","DOIUrl":null,"url":null,"abstract":"<p><strong>Background: </strong>This study addresses the increasing prevalence of type 2 Diabetes Mellitus (T2DM) and the need for alternative, cost-effective medications. The research problem focuses on the need to further study the dose effectiveness of <i>Momordica charantia</i> Extracts (MCE) on T2DM parameters, including Glucagon-Like Peptide 1 (GLP-1), Dipeptidyl Peptidase 4 (DPP-4), alpha glucosidase, glucosetransporter 5 (GLUT5), and pancreatic tissue histopathology.</p><p><strong>Methods: </strong>The methodology employed an experimental research design with 30 Wistar rats divided into six groups, each receiving different inductions and doses. Parameters were measured using Elisa, and histological analysis of pancreatic tissue was conducted using HE staining.</p><p><strong>Results: </strong>The Kruskal-Wallis test revealed significant differences in each group for the GLP-1 (p=0.003). However, the DPP4 test suggested a lack of significant difference in each group (p=0.192), and the GLUT5 test showed insignificant changes between each group (p=0.119). The ANOVA analysis on alpha-glucosidase revealed no statistically significant differences among the groups (p=0.202). Additionally, a qualitative examination of the histological analysis of pancreatic tissue indicated an improvement in the condition of the pancreatic tissue.</p><p><strong>Conclusion: </strong>MCE can increase GLP-1 levels, lower DPP-4, lower alpha-glucosidase, and raise GLUT5. However, there are no significant differences between other groups and the morphology of pancreatic tissue in rat model T2DM at a dose of 300 <i>mg/kg.</i></p>","PeriodicalId":8669,"journal":{"name":"Avicenna journal of medical biotechnology","volume":"17 1","pages":"47-55"},"PeriodicalIF":0.0000,"publicationDate":"2025-01-01","publicationTypes":"Journal Article","fieldsOfStudy":null,"isOpenAccess":false,"openAccessPdf":"https://www.ncbi.nlm.nih.gov/pmc/articles/PMC11910019/pdf/","citationCount":"0","resultStr":"{\"title\":\"Antidiabetic Activity of <i>Momordica charantia</i> Extracts Through Incretin Pathway in Streptozotocin-Nicotinamide Induced Diabetic Rat Depends on Dose Differences.\",\"authors\":\"Muhammad Fadhol Romdhoni, Muchsin Doewes, Soetrisno Soetrisno, Ratih Puspita Febrinasari\",\"doi\":\"10.18502/ajmb.v17i1.17677\",\"DOIUrl\":null,\"url\":null,\"abstract\":\"<p><strong>Background: </strong>This study addresses the increasing prevalence of type 2 Diabetes Mellitus (T2DM) and the need for alternative, cost-effective medications. The research problem focuses on the need to further study the dose effectiveness of <i>Momordica charantia</i> Extracts (MCE) on T2DM parameters, including Glucagon-Like Peptide 1 (GLP-1), Dipeptidyl Peptidase 4 (DPP-4), alpha glucosidase, glucosetransporter 5 (GLUT5), and pancreatic tissue histopathology.</p><p><strong>Methods: </strong>The methodology employed an experimental research design with 30 Wistar rats divided into six groups, each receiving different inductions and doses. Parameters were measured using Elisa, and histological analysis of pancreatic tissue was conducted using HE staining.</p><p><strong>Results: </strong>The Kruskal-Wallis test revealed significant differences in each group for the GLP-1 (p=0.003). However, the DPP4 test suggested a lack of significant difference in each group (p=0.192), and the GLUT5 test showed insignificant changes between each group (p=0.119). The ANOVA analysis on alpha-glucosidase revealed no statistically significant differences among the groups (p=0.202). Additionally, a qualitative examination of the histological analysis of pancreatic tissue indicated an improvement in the condition of the pancreatic tissue.</p><p><strong>Conclusion: </strong>MCE can increase GLP-1 levels, lower DPP-4, lower alpha-glucosidase, and raise GLUT5. However, there are no significant differences between other groups and the morphology of pancreatic tissue in rat model T2DM at a dose of 300 <i>mg/kg.</i></p>\",\"PeriodicalId\":8669,\"journal\":{\"name\":\"Avicenna journal of medical biotechnology\",\"volume\":\"17 1\",\"pages\":\"47-55\"},\"PeriodicalIF\":0.0000,\"publicationDate\":\"2025-01-01\",\"publicationTypes\":\"Journal Article\",\"fieldsOfStudy\":null,\"isOpenAccess\":false,\"openAccessPdf\":\"https://www.ncbi.nlm.nih.gov/pmc/articles/PMC11910019/pdf/\",\"citationCount\":\"0\",\"resultStr\":null,\"platform\":\"Semanticscholar\",\"paperid\":null,\"PeriodicalName\":\"Avicenna journal of medical biotechnology\",\"FirstCategoryId\":\"1085\",\"ListUrlMain\":\"https://doi.org/10.18502/ajmb.v17i1.17677\",\"RegionNum\":0,\"RegionCategory\":null,\"ArticlePicture\":[],\"TitleCN\":null,\"AbstractTextCN\":null,\"PMCID\":null,\"EPubDate\":\"\",\"PubModel\":\"\",\"JCR\":\"Q3\",\"JCRName\":\"Biochemistry, Genetics and Molecular Biology\",\"Score\":null,\"Total\":0}","platform":"Semanticscholar","paperid":null,"PeriodicalName":"Avicenna journal of medical biotechnology","FirstCategoryId":"1085","ListUrlMain":"https://doi.org/10.18502/ajmb.v17i1.17677","RegionNum":0,"RegionCategory":null,"ArticlePicture":[],"TitleCN":null,"AbstractTextCN":null,"PMCID":null,"EPubDate":"","PubModel":"","JCR":"Q3","JCRName":"Biochemistry, Genetics and Molecular Biology","Score":null,"Total":0}
引用次数: 0

摘要

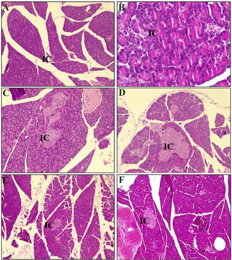
背景:本研究探讨了2型糖尿病(T2DM)日益增加的患病率以及对替代的、具有成本效益的药物的需求。研究问题集中在是否需要进一步研究苦瓜提取物(Momordica charantia Extracts, MCE)对T2DM参数的剂量效应,包括胰高血糖素样肽1 (Glucagon-Like Peptide 1, GLP-1)、二肽基肽酶4 (DPP-4)、α -葡萄糖苷酶、葡萄糖转运蛋白5 (glucsetransporter 5, GLUT5)和胰腺组织病理学。方法:采用实验研究设计,将30只Wistar大鼠分为6组,每组接受不同的诱导和剂量。Elisa法测定各项参数,HE染色法对胰腺组织进行组织学分析。结果:Kruskal-Wallis检验显示各组GLP-1有显著差异(p=0.003)。DPP4检测各组间差异无统计学意义(p=0.192), GLUT5检测各组间差异无统计学意义(p=0.119)。α -葡萄糖苷酶的方差分析显示各组间差异无统计学意义(p=0.202)。此外,胰腺组织组织学分析的定性检查表明胰腺组织的状况有所改善。结论:MCE可升高GLP-1水平,降低DPP-4、α -葡萄糖苷酶水平,升高GLUT5水平。300 mg/kg剂量组对T2DM模型大鼠胰腺组织形态无显著影响。
本文章由计算机程序翻译,如有差异,请以英文原文为准。

Antidiabetic Activity of <i>Momordica charantia</i> Extracts Through Incretin Pathway in Streptozotocin-Nicotinamide Induced Diabetic Rat Depends on Dose Differences.

Antidiabetic Activity of <i>Momordica charantia</i> Extracts Through Incretin Pathway in Streptozotocin-Nicotinamide Induced Diabetic Rat Depends on Dose Differences.

Antidiabetic Activity of Momordica charantia Extracts Through Incretin Pathway in Streptozotocin-Nicotinamide Induced Diabetic Rat Depends on Dose Differences.

Background: This study addresses the increasing prevalence of type 2 Diabetes Mellitus (T2DM) and the need for alternative, cost-effective medications. The research problem focuses on the need to further study the dose effectiveness of Momordica charantia Extracts (MCE) on T2DM parameters, including Glucagon-Like Peptide 1 (GLP-1), Dipeptidyl Peptidase 4 (DPP-4), alpha glucosidase, glucosetransporter 5 (GLUT5), and pancreatic tissue histopathology.

Methods: The methodology employed an experimental research design with 30 Wistar rats divided into six groups, each receiving different inductions and doses. Parameters were measured using Elisa, and histological analysis of pancreatic tissue was conducted using HE staining.

Results: The Kruskal-Wallis test revealed significant differences in each group for the GLP-1 (p=0.003). However, the DPP4 test suggested a lack of significant difference in each group (p=0.192), and the GLUT5 test showed insignificant changes between each group (p=0.119). The ANOVA analysis on alpha-glucosidase revealed no statistically significant differences among the groups (p=0.202). Additionally, a qualitative examination of the histological analysis of pancreatic tissue indicated an improvement in the condition of the pancreatic tissue.

Conclusion: MCE can increase GLP-1 levels, lower DPP-4, lower alpha-glucosidase, and raise GLUT5. However, there are no significant differences between other groups and the morphology of pancreatic tissue in rat model T2DM at a dose of 300 mg/kg.

求助全文
通过发布文献求助,成功后即可免费获取论文全文。 去求助
来源期刊
Avicenna journal of medical biotechnology
Avicenna journal of medical biotechnology Biochemistry, Genetics and Molecular Biology-Biotechnology
CiteScore
2.90
自引率
0.00%
发文量
43
×
引用
GB/T 7714-2015
复制
MLA
复制
APA
复制
导出至
BibTeX EndNote RefMan NoteFirst NoteExpress
×
提示
您的信息不完整,为了账户安全,请先补充。
现在去补充
×
提示
您因"违规操作"
具体请查看互助需知
我知道了
×
提示
确定
请完成安全验证×
copy
已复制链接
快去分享给好友吧!
我知道了
右上角分享
点击右上角分享
0
联系我们:info@booksci.cn Book学术提供免费学术资源搜索服务,方便国内外学者检索中英文文献。致力于提供最便捷和优质的服务体验。 Copyright © 2023 布克学术 All rights reserved.
京ICP备2023020795号-1
ghs 京公网安备 11010802042870号
Book学术文献互助
Book学术文献互助群
群 号:604180095
Book学术官方微信