二硫桥在大肠杆菌衍生重组SCARB2与EV-A71衣壳相互作用中的作用

Q3 Biochemistry, Genetics and Molecular Biology
Hai-Vy Vo-Nguyen, Thuoc Linh Tran, Hieu Tran-Van
{"title":"二硫桥在大肠杆菌衍生重组SCARB2与EV-A71衣壳相互作用中的作用","authors":"Hai-Vy Vo-Nguyen, Thuoc Linh Tran, Hieu Tran-Van","doi":"10.18502/ajmb.v17i1.17675","DOIUrl":null,"url":null,"abstract":"<p><strong>Background: </strong>Hand, Foot, and Mouth disease is an acute infectious disease caused by a group of enteroviruses, including <i>Coxsackievirus A16</i> and <i>Enterovirus 71</i>. EV-A71-causing disease can give rise to severe complications in children, leading to meningitis, encephalitis, and even death. A potential approach to prevent the virus spread is inhibiting the invasion of EV-A71 into target cells, thereby helping to prevent not only the spread of EV-A71 in the community but also lessen the risk of outbreaks. EV-A71 cell's receptor, human scavenger receptor class B member 2, SCARB2, was used as a trap to gather the virus and limit its spreading.</p><p><strong>Methods: </strong>In this study, the recombinant receptor was expressed using <i>Escherichia coli</i> (<i>E. coli</i>) system. SCARB2 proteins expressed from <i>E. coli</i> BL21(DE3), and <i>E. coli</i> SHuffle<sup>®</sup> T7 Express were in inclusion bodies and subsequently refolded into soluble forms with recovery efficiencies of 57.57, and 82.2%, respectively. The presence of intramolecular disulfide bridges in the refolded SCARB2 was examined by SDS-PAGE in combination with Dithiothreitol (DTT). The two proteins were then utilized to evaluate the interaction with EV-A71 capsid by Indirect Enzyme-Linked Immunosorbent Assay (ELISA) at different pH levels to compare the adhesion efficiency.</p><p><strong>Results: </strong>The results showed that SCARB2 protein expressed from <i>E. coli</i> SHuffle<sup>®</sup> T7 Express with disulfide bond modifications had better adhesion to the viral capsid. Notably, when the medium pH was lowered to acidic levels, the binding efficiency of recombinant receptors to the viral capsid increased.</p><p><strong>Conclusion: </strong>To our knowledge, this study reported for the first time the activity of SCARB2 under extreme pH conditions and also revealed the crucial role of disulfide bridges in the interaction with EV-A71's capsid. This finding contributed to the strategy using recombinant SCARB2 as a viral trap.</p>","PeriodicalId":8669,"journal":{"name":"Avicenna journal of medical biotechnology","volume":"17 1","pages":"31-38"},"PeriodicalIF":0.0000,"publicationDate":"2025-01-01","publicationTypes":"Journal Article","fieldsOfStudy":null,"isOpenAccess":false,"openAccessPdf":"https://www.ncbi.nlm.nih.gov/pmc/articles/PMC11910027/pdf/","citationCount":"0","resultStr":"{\"title\":\"The Role of Disulfide Bridges in the Interaction of <i>E. coli</i> -Derived Recombinant SCARB2 and EV-A71's Capsid.\",\"authors\":\"Hai-Vy Vo-Nguyen, Thuoc Linh Tran, Hieu Tran-Van\",\"doi\":\"10.18502/ajmb.v17i1.17675\",\"DOIUrl\":null,\"url\":null,\"abstract\":\"<p><strong>Background: </strong>Hand, Foot, and Mouth disease is an acute infectious disease caused by a group of enteroviruses, including <i>Coxsackievirus A16</i> and <i>Enterovirus 71</i>. EV-A71-causing disease can give rise to severe complications in children, leading to meningitis, encephalitis, and even death. A potential approach to prevent the virus spread is inhibiting the invasion of EV-A71 into target cells, thereby helping to prevent not only the spread of EV-A71 in the community but also lessen the risk of outbreaks. EV-A71 cell's receptor, human scavenger receptor class B member 2, SCARB2, was used as a trap to gather the virus and limit its spreading.</p><p><strong>Methods: </strong>In this study, the recombinant receptor was expressed using <i>Escherichia coli</i> (<i>E. coli</i>) system. SCARB2 proteins expressed from <i>E. coli</i> BL21(DE3), and <i>E. coli</i> SHuffle<sup>®</sup> T7 Express were in inclusion bodies and subsequently refolded into soluble forms with recovery efficiencies of 57.57, and 82.2%, respectively. The presence of intramolecular disulfide bridges in the refolded SCARB2 was examined by SDS-PAGE in combination with Dithiothreitol (DTT). The two proteins were then utilized to evaluate the interaction with EV-A71 capsid by Indirect Enzyme-Linked Immunosorbent Assay (ELISA) at different pH levels to compare the adhesion efficiency.</p><p><strong>Results: </strong>The results showed that SCARB2 protein expressed from <i>E. coli</i> SHuffle<sup>®</sup> T7 Express with disulfide bond modifications had better adhesion to the viral capsid. Notably, when the medium pH was lowered to acidic levels, the binding efficiency of recombinant receptors to the viral capsid increased.</p><p><strong>Conclusion: </strong>To our knowledge, this study reported for the first time the activity of SCARB2 under extreme pH conditions and also revealed the crucial role of disulfide bridges in the interaction with EV-A71's capsid. This finding contributed to the strategy using recombinant SCARB2 as a viral trap.</p>\",\"PeriodicalId\":8669,\"journal\":{\"name\":\"Avicenna journal of medical biotechnology\",\"volume\":\"17 1\",\"pages\":\"31-38\"},\"PeriodicalIF\":0.0000,\"publicationDate\":\"2025-01-01\",\"publicationTypes\":\"Journal Article\",\"fieldsOfStudy\":null,\"isOpenAccess\":false,\"openAccessPdf\":\"https://www.ncbi.nlm.nih.gov/pmc/articles/PMC11910027/pdf/\",\"citationCount\":\"0\",\"resultStr\":null,\"platform\":\"Semanticscholar\",\"paperid\":null,\"PeriodicalName\":\"Avicenna journal of medical biotechnology\",\"FirstCategoryId\":\"1085\",\"ListUrlMain\":\"https://doi.org/10.18502/ajmb.v17i1.17675\",\"RegionNum\":0,\"RegionCategory\":null,\"ArticlePicture\":[],\"TitleCN\":null,\"AbstractTextCN\":null,\"PMCID\":null,\"EPubDate\":\"\",\"PubModel\":\"\",\"JCR\":\"Q3\",\"JCRName\":\"Biochemistry, Genetics and Molecular Biology\",\"Score\":null,\"Total\":0}","platform":"Semanticscholar","paperid":null,"PeriodicalName":"Avicenna journal of medical biotechnology","FirstCategoryId":"1085","ListUrlMain":"https://doi.org/10.18502/ajmb.v17i1.17675","RegionNum":0,"RegionCategory":null,"ArticlePicture":[],"TitleCN":null,"AbstractTextCN":null,"PMCID":null,"EPubDate":"","PubModel":"","JCR":"Q3","JCRName":"Biochemistry, Genetics and Molecular Biology","Score":null,"Total":0}
引用次数: 0

摘要

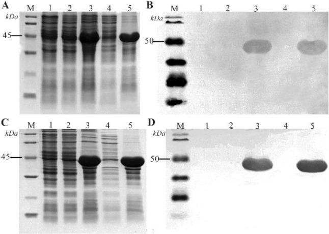
背景:手足口病是一种由柯萨奇病毒A16和肠病毒71等肠道病毒引起的急性感染性疾病。引起ev - a71的疾病可在儿童中引起严重并发症,导致脑膜炎、脑炎甚至死亡。预防病毒传播的一种潜在方法是抑制EV-A71向靶细胞的入侵,从而不仅有助于防止EV-A71在社区中的传播,还有助于降低暴发的风险。利用EV-A71细胞受体(人清扫者受体B类成员2 SCARB2)作为诱捕器收集病毒并限制其传播。方法:利用大肠杆菌系统表达重组受体。大肠杆菌BL21(DE3)和大肠杆菌SHuffle®T7 Express表达的SCARB2蛋白位于包涵体中,随后被折叠成可溶形式,回收率分别为57.57%和82.2%。利用SDS-PAGE与二硫苏糖醇(DTT)联合检测了SCARB2分子内二硫桥的存在。然后利用间接酶联免疫吸附法(ELISA)评价两种蛋白在不同pH水平下与EV-A71衣壳的相互作用,比较其粘附效率。结果:经二硫键修饰的大肠杆菌SHuffle®T7 Express表达的SCARB2蛋白与病毒衣壳具有较好的粘附性。值得注意的是,当培养基pH降低到酸性水平时,重组受体与病毒衣壳的结合效率提高。结论:据我们所知,本研究首次报道了SCARB2在极端pH条件下的活性,并揭示了二硫桥在EV-A71衣壳相互作用中的关键作用。这一发现有助于采用重组SCARB2作为病毒陷阱的策略。
本文章由计算机程序翻译,如有差异,请以英文原文为准。

The Role of Disulfide Bridges in the Interaction of <i>E. coli</i> -Derived Recombinant SCARB2 and EV-A71's Capsid.

The Role of Disulfide Bridges in the Interaction of <i>E. coli</i> -Derived Recombinant SCARB2 and EV-A71's Capsid.

The Role of Disulfide Bridges in the Interaction of <i>E. coli</i> -Derived Recombinant SCARB2 and EV-A71's Capsid.

The Role of Disulfide Bridges in the Interaction of E. coli -Derived Recombinant SCARB2 and EV-A71's Capsid.

Background: Hand, Foot, and Mouth disease is an acute infectious disease caused by a group of enteroviruses, including Coxsackievirus A16 and Enterovirus 71. EV-A71-causing disease can give rise to severe complications in children, leading to meningitis, encephalitis, and even death. A potential approach to prevent the virus spread is inhibiting the invasion of EV-A71 into target cells, thereby helping to prevent not only the spread of EV-A71 in the community but also lessen the risk of outbreaks. EV-A71 cell's receptor, human scavenger receptor class B member 2, SCARB2, was used as a trap to gather the virus and limit its spreading.

Methods: In this study, the recombinant receptor was expressed using Escherichia coli (E. coli) system. SCARB2 proteins expressed from E. coli BL21(DE3), and E. coli SHuffle® T7 Express were in inclusion bodies and subsequently refolded into soluble forms with recovery efficiencies of 57.57, and 82.2%, respectively. The presence of intramolecular disulfide bridges in the refolded SCARB2 was examined by SDS-PAGE in combination with Dithiothreitol (DTT). The two proteins were then utilized to evaluate the interaction with EV-A71 capsid by Indirect Enzyme-Linked Immunosorbent Assay (ELISA) at different pH levels to compare the adhesion efficiency.

Results: The results showed that SCARB2 protein expressed from E. coli SHuffle® T7 Express with disulfide bond modifications had better adhesion to the viral capsid. Notably, when the medium pH was lowered to acidic levels, the binding efficiency of recombinant receptors to the viral capsid increased.

Conclusion: To our knowledge, this study reported for the first time the activity of SCARB2 under extreme pH conditions and also revealed the crucial role of disulfide bridges in the interaction with EV-A71's capsid. This finding contributed to the strategy using recombinant SCARB2 as a viral trap.

求助全文
通过发布文献求助,成功后即可免费获取论文全文。 去求助
来源期刊
Avicenna journal of medical biotechnology
Avicenna journal of medical biotechnology Biochemistry, Genetics and Molecular Biology-Biotechnology
CiteScore
2.90
自引率
0.00%
发文量
43
×
引用
GB/T 7714-2015
复制
MLA
复制
APA
复制
导出至
BibTeX EndNote RefMan NoteFirst NoteExpress
×
提示
您的信息不完整,为了账户安全,请先补充。
现在去补充
×
提示
您因"违规操作"
具体请查看互助需知
我知道了
×
提示
确定
请完成安全验证×
copy
已复制链接
快去分享给好友吧!
我知道了
右上角分享
点击右上角分享
0
联系我们:info@booksci.cn Book学术提供免费学术资源搜索服务,方便国内外学者检索中英文文献。致力于提供最便捷和优质的服务体验。 Copyright © 2023 布克学术 All rights reserved.
京ICP备2023020795号-1
ghs 京公网安备 11010802042870号
Book学术文献互助
Book学术文献互助群
群 号:604180095
Book学术官方微信