腮腺肿瘤性黏液表皮样癌

IF 4.1 Q2 PATHOLOGY
Prokopios P Argyris, Paul E Wakely
{"title":"腮腺肿瘤性黏液表皮样癌","authors":"Prokopios P Argyris, Paul E Wakely","doi":"10.1007/s12105-025-01768-0","DOIUrl":null,"url":null,"abstract":"<p><strong>Case presentation: </strong>A 30-year-old man presented with a multilobulated left parotid mass measuring 5.2 × 4.1 × 2.4 cm by imaging, and numerous enlarged left cervical lymph nodes, suspicious for metastasis. FNA cytopathology of the mass showed loose clusters of large cells displaying increased N/C ratios and ample granular oncocytic cytoplasm. A superficial left parotidectomy with radical resection of the cheek and cervical lymphadenectomy was performed. Histopathologic examination disclosed a circumscribed, unencapsulated neoplasm exhibiting a solid growth pattern composed of infiltrative islands and nests of cohesive, polygonal, oncocytoid cells in a densely fibrous stroma. Lesional cells exhibited enlarged, oval, open-face nuclei with coarse chromatin and a single acidophilic macronucleolus, voluminous eosinophilic granular cytoplasm and distinct cell membrane borders. Mitotic activity and necrosis were absent. Microcystic architecture was noted solely in a single tumor nest at the periphery. These spaces contained mucinous secretions and were lined by cuboidal oncocytic and intermediate cells with interspersed mucocytes, highlighted by mucicarmine stain. Immunohistochemically, oncocytic cells were strongly and diffusely positive for cytokeratin AE1/AE3, p63 and p40, and uniformly negative for androgen receptor, GATA3, S100, SOX10 and Her-2. A MAML2 rearrangement was identified by FISH, thus confirming the diagnosis of oncocytic variant of mucoepidermoid carcinoma.</p><p><strong>Conclusion: </strong>In this illustrative example, we present the clinicoradiologic, cytologic, histopathologic, and immunophenotypic characteristics of this rare variant of mucoepidermoid carcinoma, together with molecular documentation.</p>","PeriodicalId":47972,"journal":{"name":"Head & Neck Pathology","volume":"19 1","pages":"30"},"PeriodicalIF":4.1000,"publicationDate":"2025-03-15","publicationTypes":"Journal Article","fieldsOfStudy":null,"isOpenAccess":false,"openAccessPdf":"https://www.ncbi.nlm.nih.gov/pmc/articles/PMC11910479/pdf/","citationCount":"0","resultStr":"{\"title\":\"Oncocytic Mucoepidermoid Carcinoma of the Parotid Gland.\",\"authors\":\"Prokopios P Argyris, Paul E Wakely\",\"doi\":\"10.1007/s12105-025-01768-0\",\"DOIUrl\":null,\"url\":null,\"abstract\":\"<p><strong>Case presentation: </strong>A 30-year-old man presented with a multilobulated left parotid mass measuring 5.2 × 4.1 × 2.4 cm by imaging, and numerous enlarged left cervical lymph nodes, suspicious for metastasis. FNA cytopathology of the mass showed loose clusters of large cells displaying increased N/C ratios and ample granular oncocytic cytoplasm. A superficial left parotidectomy with radical resection of the cheek and cervical lymphadenectomy was performed. Histopathologic examination disclosed a circumscribed, unencapsulated neoplasm exhibiting a solid growth pattern composed of infiltrative islands and nests of cohesive, polygonal, oncocytoid cells in a densely fibrous stroma. Lesional cells exhibited enlarged, oval, open-face nuclei with coarse chromatin and a single acidophilic macronucleolus, voluminous eosinophilic granular cytoplasm and distinct cell membrane borders. Mitotic activity and necrosis were absent. Microcystic architecture was noted solely in a single tumor nest at the periphery. These spaces contained mucinous secretions and were lined by cuboidal oncocytic and intermediate cells with interspersed mucocytes, highlighted by mucicarmine stain. Immunohistochemically, oncocytic cells were strongly and diffusely positive for cytokeratin AE1/AE3, p63 and p40, and uniformly negative for androgen receptor, GATA3, S100, SOX10 and Her-2. A MAML2 rearrangement was identified by FISH, thus confirming the diagnosis of oncocytic variant of mucoepidermoid carcinoma.</p><p><strong>Conclusion: </strong>In this illustrative example, we present the clinicoradiologic, cytologic, histopathologic, and immunophenotypic characteristics of this rare variant of mucoepidermoid carcinoma, together with molecular documentation.</p>\",\"PeriodicalId\":47972,\"journal\":{\"name\":\"Head & Neck Pathology\",\"volume\":\"19 1\",\"pages\":\"30\"},\"PeriodicalIF\":4.1000,\"publicationDate\":\"2025-03-15\",\"publicationTypes\":\"Journal Article\",\"fieldsOfStudy\":null,\"isOpenAccess\":false,\"openAccessPdf\":\"https://www.ncbi.nlm.nih.gov/pmc/articles/PMC11910479/pdf/\",\"citationCount\":\"0\",\"resultStr\":null,\"platform\":\"Semanticscholar\",\"paperid\":null,\"PeriodicalName\":\"Head & Neck Pathology\",\"FirstCategoryId\":\"1085\",\"ListUrlMain\":\"https://doi.org/10.1007/s12105-025-01768-0\",\"RegionNum\":0,\"RegionCategory\":null,\"ArticlePicture\":[],\"TitleCN\":null,\"AbstractTextCN\":null,\"PMCID\":null,\"EPubDate\":\"\",\"PubModel\":\"\",\"JCR\":\"Q2\",\"JCRName\":\"PATHOLOGY\",\"Score\":null,\"Total\":0}","platform":"Semanticscholar","paperid":null,"PeriodicalName":"Head & Neck Pathology","FirstCategoryId":"1085","ListUrlMain":"https://doi.org/10.1007/s12105-025-01768-0","RegionNum":0,"RegionCategory":null,"ArticlePicture":[],"TitleCN":null,"AbstractTextCN":null,"PMCID":null,"EPubDate":"","PubModel":"","JCR":"Q2","JCRName":"PATHOLOGY","Score":null,"Total":0}
引用次数: 0

摘要

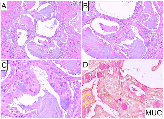
病例介绍一名 30 岁的男子因左侧腮腺多叶肿块就诊,影像学检查显示肿块大小为 5.2 × 4.1 × 2.4 厘米,左侧颈部淋巴结肿大,怀疑有转移。肿块的 FNA 细胞病理学检查显示,松散的大细胞簇显示出增高的 N/C 比值和大量颗粒状肿瘤细胞胞质。患者接受了左侧腮腺浅表切除术,同时进行了颊部根治性切除术和颈淋巴结切除术。组织病理学检查显示,肿瘤呈环形、无包膜的实性生长模式,由浸润岛和巢状的内聚性多角形肿瘤细胞组成,基质为致密的纤维基质。病变细胞核增大,呈椭圆形,核面开阔,染色质粗糙,有单个嗜酸性大核仁、大量嗜酸性颗粒状胞质和明显的细胞膜边界。无有丝分裂活动和坏死。微囊结构仅见于外围的单个瘤巢。这些空隙含有粘液性分泌物,内衬为立方体肿瘤细胞和中间细胞,中间夹杂着粘液细胞,粘液胭脂红染色可突出显示这些细胞。免疫组化显示,癌细胞细胞角蛋白AE1/AE3、p63和p40呈强弥漫阳性,雄激素受体、GATA3、S100、SOX10和Her-2呈均匀阴性。FISH 鉴定出 MAML2 重排,从而确诊为粘液表皮样癌的肿瘤细胞变异型:在这个例子中,我们介绍了这种罕见的粘液表皮样癌变体的临床放射学、细胞学、组织病理学和免疫表型特征,以及分子记录。
本文章由计算机程序翻译,如有差异,请以英文原文为准。

Oncocytic Mucoepidermoid Carcinoma of the Parotid Gland.

Oncocytic Mucoepidermoid Carcinoma of the Parotid Gland.

Oncocytic Mucoepidermoid Carcinoma of the Parotid Gland.

Oncocytic Mucoepidermoid Carcinoma of the Parotid Gland.

Case presentation: A 30-year-old man presented with a multilobulated left parotid mass measuring 5.2 × 4.1 × 2.4 cm by imaging, and numerous enlarged left cervical lymph nodes, suspicious for metastasis. FNA cytopathology of the mass showed loose clusters of large cells displaying increased N/C ratios and ample granular oncocytic cytoplasm. A superficial left parotidectomy with radical resection of the cheek and cervical lymphadenectomy was performed. Histopathologic examination disclosed a circumscribed, unencapsulated neoplasm exhibiting a solid growth pattern composed of infiltrative islands and nests of cohesive, polygonal, oncocytoid cells in a densely fibrous stroma. Lesional cells exhibited enlarged, oval, open-face nuclei with coarse chromatin and a single acidophilic macronucleolus, voluminous eosinophilic granular cytoplasm and distinct cell membrane borders. Mitotic activity and necrosis were absent. Microcystic architecture was noted solely in a single tumor nest at the periphery. These spaces contained mucinous secretions and were lined by cuboidal oncocytic and intermediate cells with interspersed mucocytes, highlighted by mucicarmine stain. Immunohistochemically, oncocytic cells were strongly and diffusely positive for cytokeratin AE1/AE3, p63 and p40, and uniformly negative for androgen receptor, GATA3, S100, SOX10 and Her-2. A MAML2 rearrangement was identified by FISH, thus confirming the diagnosis of oncocytic variant of mucoepidermoid carcinoma.

Conclusion: In this illustrative example, we present the clinicoradiologic, cytologic, histopathologic, and immunophenotypic characteristics of this rare variant of mucoepidermoid carcinoma, together with molecular documentation.

求助全文
通过发布文献求助,成功后即可免费获取论文全文。 去求助
来源期刊
CiteScore
5.70
自引率
9.50%
发文量
99
期刊介绍: Head & Neck Pathology presents scholarly papers, reviews and symposia that cover the spectrum of human surgical pathology within the anatomic zones of the oral cavity, sinonasal tract, larynx, hypopharynx, salivary gland, ear and temporal bone, and neck. The journal publishes rapid developments in new diagnostic criteria, intraoperative consultation, immunohistochemical studies, molecular techniques, genetic analyses, diagnostic aids, experimental pathology, cytology, radiographic imaging, and application of uniform terminology to allow practitioners to continue to maintain and expand their knowledge in the subspecialty of head and neck pathology. Coverage of practical application to daily clinical practice is supported with proceedings and symposia from international societies and academies devoted to this field. Single-blind peer review The journal follows a single-blind review procedure, where the reviewers are aware of the names and affiliations of the authors, but the reviewer reports provided to authors are anonymous. Single-blind peer review is the traditional model of peer review that many reviewers are comfortable with, and it facilitates a dispassionate critique of a manuscript.
×
引用
GB/T 7714-2015
复制
MLA
复制
APA
复制
导出至
BibTeX EndNote RefMan NoteFirst NoteExpress
×
提示
您的信息不完整,为了账户安全,请先补充。
现在去补充
×
提示
您因"违规操作"
具体请查看互助需知
我知道了
×
提示
确定
请完成安全验证×
copy
已复制链接
快去分享给好友吧!
我知道了
右上角分享
点击右上角分享
0
联系我们:info@booksci.cn Book学术提供免费学术资源搜索服务,方便国内外学者检索中英文文献。致力于提供最便捷和优质的服务体验。 Copyright © 2023 布克学术 All rights reserved.
京ICP备2023020795号-1
ghs 京公网安备 11010802042870号
Book学术文献互助
Book学术文献互助群
群 号:604180095
Book学术官方微信