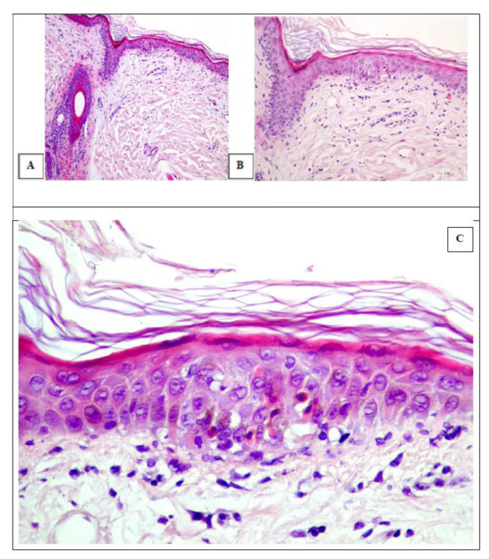
用Ruxolitinib成功治疗类固醇耐药的皮肤急性移植物抗宿主病(中毒性表皮坏死溶解症)。

IF 1.5 4区 医学 Q3 HEMATOLOGY
Fahir Ozturk, Mehmet Sezgin Pepeler, Esra Ucaryilmaz Ozhamam, Gulten Korkmaz
{"title":"用Ruxolitinib成功治疗类固醇耐药的皮肤急性移植物抗宿主病(中毒性表皮坏死溶解症)。","authors":"Fahir Ozturk, Mehmet Sezgin Pepeler, Esra Ucaryilmaz Ozhamam, Gulten Korkmaz","doi":"10.4084/MJHID.2025.020","DOIUrl":null,"url":null,"abstract":"","PeriodicalId":18498,"journal":{"name":"Mediterranean Journal of Hematology and Infectious Diseases","volume":"17 1","pages":"e2025020"},"PeriodicalIF":1.5000,"publicationDate":"2025-03-01","publicationTypes":"Journal Article","fieldsOfStudy":null,"isOpenAccess":false,"openAccessPdf":"https://www.ncbi.nlm.nih.gov/pmc/articles/PMC11906136/pdf/","citationCount":"0","resultStr":"{\"title\":\"Successful Management of Steroid-Resistant cutaneous Acute Graft-versus-Host Disease, Toxic Epidermal Necrolysis-Like, with Ruxolitinib.\",\"authors\":\"Fahir Ozturk, Mehmet Sezgin Pepeler, Esra Ucaryilmaz Ozhamam, Gulten Korkmaz\",\"doi\":\"10.4084/MJHID.2025.020\",\"DOIUrl\":null,\"url\":null,\"abstract\":\"\",\"PeriodicalId\":18498,\"journal\":{\"name\":\"Mediterranean Journal of Hematology and Infectious Diseases\",\"volume\":\"17 1\",\"pages\":\"e2025020\"},\"PeriodicalIF\":1.5000,\"publicationDate\":\"2025-03-01\",\"publicationTypes\":\"Journal Article\",\"fieldsOfStudy\":null,\"isOpenAccess\":false,\"openAccessPdf\":\"https://www.ncbi.nlm.nih.gov/pmc/articles/PMC11906136/pdf/\",\"citationCount\":\"0\",\"resultStr\":null,\"platform\":\"Semanticscholar\",\"paperid\":null,\"PeriodicalName\":\"Mediterranean Journal of Hematology and Infectious Diseases\",\"FirstCategoryId\":\"3\",\"ListUrlMain\":\"https://doi.org/10.4084/MJHID.2025.020\",\"RegionNum\":4,\"RegionCategory\":\"医学\",\"ArticlePicture\":[],\"TitleCN\":null,\"AbstractTextCN\":null,\"PMCID\":null,\"EPubDate\":\"2025/1/1 0:00:00\",\"PubModel\":\"eCollection\",\"JCR\":\"Q3\",\"JCRName\":\"HEMATOLOGY\",\"Score\":null,\"Total\":0}","platform":"Semanticscholar","paperid":null,"PeriodicalName":"Mediterranean Journal of Hematology and Infectious Diseases","FirstCategoryId":"3","ListUrlMain":"https://doi.org/10.4084/MJHID.2025.020","RegionNum":4,"RegionCategory":"医学","ArticlePicture":[],"TitleCN":null,"AbstractTextCN":null,"PMCID":null,"EPubDate":"2025/1/1 0:00:00","PubModel":"eCollection","JCR":"Q3","JCRName":"HEMATOLOGY","Score":null,"Total":0}
引用次数: 0

摘要

本文章由计算机程序翻译,如有差异,请以英文原文为准。

Successful Management of Steroid-Resistant cutaneous Acute Graft-versus-Host Disease, Toxic Epidermal Necrolysis-Like, with Ruxolitinib.

Successful Management of Steroid-Resistant cutaneous Acute Graft-versus-Host Disease, Toxic Epidermal Necrolysis-Like, with Ruxolitinib.

Successful Management of Steroid-Resistant cutaneous Acute Graft-versus-Host Disease, Toxic Epidermal Necrolysis-Like, with Ruxolitinib.

Successful Management of Steroid-Resistant cutaneous Acute Graft-versus-Host Disease, Toxic Epidermal Necrolysis-Like, with Ruxolitinib.
求助全文
通过发布文献求助,成功后即可免费获取论文全文。 去求助
来源期刊
CiteScore
4.20
自引率
6.20%
发文量
113
审稿时长
12 weeks
期刊介绍: Reciprocal interdependence between infectious and hematologic diseases (malignant and non-malignant) is well known. This relationship is particularly evident in Mediterranean countries. Parasitosis as Malaria, Leishmaniosis, B Hookworms, Teniasis, very common in the southeast Mediterranean area, infect about a billion people and manifest prevalently with anemia so that they are usually diagnosed mostly by experienced hematologist on blood or bone marrow smear. On the other hand, infections are also a significant problem in patients affected by hematological malignancies. The blood is the primary vector of HIV infection, which otherwise manifest with symptoms related to a reduction in T lymphocytes. In turn, infections can favor the insurgency of hematological malignancies. The causative relationship between Epstein-Barr virus infection, Helicobacter pylori, hepatitis C virus, HIV and lymphoproliferative diseases is well known.
×
引用
GB/T 7714-2015
复制
MLA
复制
APA
复制
导出至
BibTeX EndNote RefMan NoteFirst NoteExpress
×
提示
您的信息不完整,为了账户安全,请先补充。
现在去补充
×
提示
您因"违规操作"
具体请查看互助需知
我知道了
×
提示
确定
请完成安全验证×
copy
已复制链接
快去分享给好友吧!
我知道了
右上角分享
点击右上角分享
0
联系我们:info@booksci.cn Book学术提供免费学术资源搜索服务,方便国内外学者检索中英文文献。致力于提供最便捷和优质的服务体验。 Copyright © 2023 布克学术 All rights reserved.
京ICP备2023020795号-1
ghs 京公网安备 11010802042870号
Book学术文献互助
Book学术文献互助群
群 号:604180095
Book学术官方微信