肺移植受者急性肺栓塞的治疗:机械取栓和导管溶栓。

IF 1.5 Q3 CARDIAC & CARDIOVASCULAR SYSTEMS
Ahmad Arar, Samuel L Rice, Mhd Wisam Alnablsi, Akhilesh Pillai, Jamaal Benjamin, Rehan Quadri, Daniel Lamus, Anil Pillai
{"title":"肺移植受者急性肺栓塞的治疗:机械取栓和导管溶栓。","authors":"Ahmad Arar, Samuel L Rice, Mhd Wisam Alnablsi, Akhilesh Pillai, Jamaal Benjamin, Rehan Quadri, Daniel Lamus, Anil Pillai","doi":"10.1186/s42155-024-00512-z","DOIUrl":null,"url":null,"abstract":"<p><strong>Purpose: </strong>Acute pulmonary embolism (PE) presents a significant challenge in lung transplant recipients (LTR), even with prophylactic anticoagulation. Due to the heightened risk of complications in this population, the optimal treatment approach for acute PE remains uncertain. This retrospective case series aims to elucidate the outcomes of percutaneous mechanical thrombectomy with the Inari device (MT) and catheter-directed thrombolysis (CDT) in managing acute PE in lung transplant patients.</p><p><strong>Materials and methods: </strong>This study examines the treatment outcomes of nine consecutive post-lung transplantation patients with acute PE confirmed with Computed Tomography Angiography (CTA). Treatment interventions included either MT or CDT. Follow-up assessments encompassed a minimum of one year and up to 3 years post-treatment, evaluating various parameters including ICU stay, ventricular pressures, pulmonary function, and laboratory tests.</p><p><strong>Results: </strong>Both MT and CDT achieved a 100% technical success rate, leading to the successful restoration of pulmonary blood flow and improvements in hemodynamic parameters, with a one-year survival rate of 100%.</p><p><strong>Conclusion: </strong>Percutaneous treatments, including MT and CDT, demonstrate feasibility and efficacy in managing acute PE among lung transplant patients. These treatments lead to rapid thrombus resolution, post-treatment improvements, and enhanced overall survival.</p>","PeriodicalId":52351,"journal":{"name":"CVIR Endovascular","volume":"8 1","pages":"19"},"PeriodicalIF":1.5000,"publicationDate":"2025-03-11","publicationTypes":"Journal Article","fieldsOfStudy":null,"isOpenAccess":false,"openAccessPdf":"https://www.ncbi.nlm.nih.gov/pmc/articles/PMC11896909/pdf/","citationCount":"0","resultStr":"{\"title\":\"Acute pulmonary embolism treatment in lung transplant recipients: mechanical thrombectomy and catheter directed thrombolysis.\",\"authors\":\"Ahmad Arar, Samuel L Rice, Mhd Wisam Alnablsi, Akhilesh Pillai, Jamaal Benjamin, Rehan Quadri, Daniel Lamus, Anil Pillai\",\"doi\":\"10.1186/s42155-024-00512-z\",\"DOIUrl\":null,\"url\":null,\"abstract\":\"<p><strong>Purpose: </strong>Acute pulmonary embolism (PE) presents a significant challenge in lung transplant recipients (LTR), even with prophylactic anticoagulation. Due to the heightened risk of complications in this population, the optimal treatment approach for acute PE remains uncertain. This retrospective case series aims to elucidate the outcomes of percutaneous mechanical thrombectomy with the Inari device (MT) and catheter-directed thrombolysis (CDT) in managing acute PE in lung transplant patients.</p><p><strong>Materials and methods: </strong>This study examines the treatment outcomes of nine consecutive post-lung transplantation patients with acute PE confirmed with Computed Tomography Angiography (CTA). Treatment interventions included either MT or CDT. Follow-up assessments encompassed a minimum of one year and up to 3 years post-treatment, evaluating various parameters including ICU stay, ventricular pressures, pulmonary function, and laboratory tests.</p><p><strong>Results: </strong>Both MT and CDT achieved a 100% technical success rate, leading to the successful restoration of pulmonary blood flow and improvements in hemodynamic parameters, with a one-year survival rate of 100%.</p><p><strong>Conclusion: </strong>Percutaneous treatments, including MT and CDT, demonstrate feasibility and efficacy in managing acute PE among lung transplant patients. These treatments lead to rapid thrombus resolution, post-treatment improvements, and enhanced overall survival.</p>\",\"PeriodicalId\":52351,\"journal\":{\"name\":\"CVIR Endovascular\",\"volume\":\"8 1\",\"pages\":\"19\"},\"PeriodicalIF\":1.5000,\"publicationDate\":\"2025-03-11\",\"publicationTypes\":\"Journal Article\",\"fieldsOfStudy\":null,\"isOpenAccess\":false,\"openAccessPdf\":\"https://www.ncbi.nlm.nih.gov/pmc/articles/PMC11896909/pdf/\",\"citationCount\":\"0\",\"resultStr\":null,\"platform\":\"Semanticscholar\",\"paperid\":null,\"PeriodicalName\":\"CVIR Endovascular\",\"FirstCategoryId\":\"1085\",\"ListUrlMain\":\"https://doi.org/10.1186/s42155-024-00512-z\",\"RegionNum\":0,\"RegionCategory\":null,\"ArticlePicture\":[],\"TitleCN\":null,\"AbstractTextCN\":null,\"PMCID\":null,\"EPubDate\":\"\",\"PubModel\":\"\",\"JCR\":\"Q3\",\"JCRName\":\"CARDIAC & CARDIOVASCULAR SYSTEMS\",\"Score\":null,\"Total\":0}","platform":"Semanticscholar","paperid":null,"PeriodicalName":"CVIR Endovascular","FirstCategoryId":"1085","ListUrlMain":"https://doi.org/10.1186/s42155-024-00512-z","RegionNum":0,"RegionCategory":null,"ArticlePicture":[],"TitleCN":null,"AbstractTextCN":null,"PMCID":null,"EPubDate":"","PubModel":"","JCR":"Q3","JCRName":"CARDIAC & CARDIOVASCULAR SYSTEMS","Score":null,"Total":0}
引用次数: 0

摘要

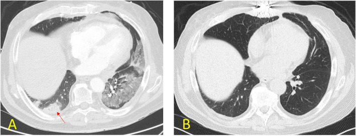
目的:急性肺栓塞(PE)是肺移植受者(LTR)面临的重大挑战,即使有预防性抗凝治疗。由于该人群并发症的风险增加,急性PE的最佳治疗方法仍不确定。本回顾性病例系列旨在阐明使用Inari装置(MT)和导管定向溶栓(CDT)经皮机械取栓治疗肺移植患者急性PE的结果。材料和方法:本研究分析了连续9例经ct血管造影(CTA)证实的肺移植后急性PE患者的治疗结果。治疗干预包括MT或CDT。随访评估包括治疗后至少1年至3年,评估各种参数,包括ICU住院时间、心室压、肺功能和实验室检查。结果:MT和CDT技术成功率均为100%,肺血流恢复顺利,血流动力学参数改善,1年生存率为100%。结论:经皮MT和CDT治疗肺移植患者急性PE是可行和有效的。这些治疗导致血栓快速溶解,治疗后改善,并提高总生存率。
本文章由计算机程序翻译,如有差异,请以英文原文为准。

Acute pulmonary embolism treatment in lung transplant recipients: mechanical thrombectomy and catheter directed thrombolysis.

Acute pulmonary embolism treatment in lung transplant recipients: mechanical thrombectomy and catheter directed thrombolysis.

Acute pulmonary embolism treatment in lung transplant recipients: mechanical thrombectomy and catheter directed thrombolysis.

Purpose: Acute pulmonary embolism (PE) presents a significant challenge in lung transplant recipients (LTR), even with prophylactic anticoagulation. Due to the heightened risk of complications in this population, the optimal treatment approach for acute PE remains uncertain. This retrospective case series aims to elucidate the outcomes of percutaneous mechanical thrombectomy with the Inari device (MT) and catheter-directed thrombolysis (CDT) in managing acute PE in lung transplant patients.

Materials and methods: This study examines the treatment outcomes of nine consecutive post-lung transplantation patients with acute PE confirmed with Computed Tomography Angiography (CTA). Treatment interventions included either MT or CDT. Follow-up assessments encompassed a minimum of one year and up to 3 years post-treatment, evaluating various parameters including ICU stay, ventricular pressures, pulmonary function, and laboratory tests.

Results: Both MT and CDT achieved a 100% technical success rate, leading to the successful restoration of pulmonary blood flow and improvements in hemodynamic parameters, with a one-year survival rate of 100%.

Conclusion: Percutaneous treatments, including MT and CDT, demonstrate feasibility and efficacy in managing acute PE among lung transplant patients. These treatments lead to rapid thrombus resolution, post-treatment improvements, and enhanced overall survival.

求助全文
通过发布文献求助,成功后即可免费获取论文全文。 去求助
来源期刊
CVIR Endovascular
CVIR Endovascular Medicine-Radiology, Nuclear Medicine and Imaging
CiteScore
2.30
自引率
0.00%
发文量
59
×
引用
GB/T 7714-2015
复制
MLA
复制
APA
复制
导出至
BibTeX EndNote RefMan NoteFirst NoteExpress
×
提示
您的信息不完整,为了账户安全,请先补充。
现在去补充
×
提示
您因"违规操作"
具体请查看互助需知
我知道了
×
提示
确定
请完成安全验证×
copy
已复制链接
快去分享给好友吧!
我知道了
右上角分享
点击右上角分享
0
联系我们:info@booksci.cn Book学术提供免费学术资源搜索服务,方便国内外学者检索中英文文献。致力于提供最便捷和优质的服务体验。 Copyright © 2023 布克学术 All rights reserved.
京ICP备2023020795号-1
ghs 京公网安备 11010802042870号
Book学术文献互助
Book学术文献互助群
群 号:604180095
Book学术官方微信