后路 Schanz 螺钉系统在胸腰椎爆裂性骨折解剖复位中的有效性:10年单一机构经验。

IF 1.3 Q2 OTORHINOLARYNGOLOGY
Pietro Domenico Giorgi, Simona Legrenzi, Ye Youchen, Bove Federico, Giuseppe Rosario Schirò
{"title":"后路 Schanz 螺钉系统在胸腰椎爆裂性骨折解剖复位中的有效性:10年单一机构经验。","authors":"Pietro Domenico Giorgi, Simona Legrenzi, Ye Youchen, Bove Federico, Giuseppe Rosario Schirò","doi":"10.4103/jcvjs.jcvjs_118_24","DOIUrl":null,"url":null,"abstract":"<p><strong>Introduction: </strong>The Schanz screw system was developed for manual reduction of traumatic sagittal deformity of thoracic and lumbar vertebral fracture. The aim of this study was to evaluate clinical and radiological effectiveness of this system in the surgical treatment of thoracolumbar burst fractures (TLBFs) with severe kyphotic deformity without neurological deficit.</p><p><strong>Materials and methods: </strong>A retrospective analysis was conducted on 101 patients who underwent short posterior fixation with transpedicular Schanz screws between 2012 and 2022 for single-level (T12 or L1) TLBFs. Clinical outcomes (Oswestry Disability Index [ODI] and Visual Analog Scale [VAS]) and radiological parameters (sagittal alignment and spinal canal dimensions) were assessed with a minimum 2-year follow-up.</p><p><strong>Results: </strong>A total of 101 TLBFs patients with an average age of 48.1 years (range: 26-65) were included in this study. Intraoperative reduction of the Sagittal Kyphosis (SK) achieved an average of 12.31° ± 8.1°°, with a mean sagittal index (SI) correction of 15.23° ± 4.24°. At a minimum 2-year follow-up, the total amount of kyphosis reduction was maintained, with no significant difference between immediate postoperative and early follow-up measurements. Load-sharing score >8, body mass index >26, preoperative radiological parameters (SI, SK, and anterior body height [ABH] ratio), and postoperative ABH ratio were identified as significant predictors of correction loss >10°. At the final follow-up, all patients had minimal disability, with an average ODI of 7.9%. VAS scores also showed significant improvement, indicating substantial clinical effectiveness of the Schanz screw system in managing these complex spinal injuries.</p><p><strong>Discussion: </strong>The Schanz screw system proved to be an effective and reliable method for treating TLBFs with severe kyphosis. The system's ability to achieve and maintain deformity reduction, coupled with favorable clinical outcomes, supported its use in the surgical management of these challenging spinal injuries.</p><p><strong>Conclusion: </strong>The Schanz screw system offered a viable treatment option for severe kyphotic deformity in TLBFs.</p>","PeriodicalId":51721,"journal":{"name":"Journal of Craniovertebral Junction and Spine","volume":"15 4","pages":"411-418"},"PeriodicalIF":1.3000,"publicationDate":"2024-10-01","publicationTypes":"Journal Article","fieldsOfStudy":null,"isOpenAccess":false,"openAccessPdf":"https://www.ncbi.nlm.nih.gov/pmc/articles/PMC11888046/pdf/","citationCount":"0","resultStr":"{\"title\":\"The effectiveness of posterior Schanz screw system in the anatomical restoration of thoracolumbar vertebral burst fractures: A 10-year single-institution experience.\",\"authors\":\"Pietro Domenico Giorgi, Simona Legrenzi, Ye Youchen, Bove Federico, Giuseppe Rosario Schirò\",\"doi\":\"10.4103/jcvjs.jcvjs_118_24\",\"DOIUrl\":null,\"url\":null,\"abstract\":\"<p><strong>Introduction: </strong>The Schanz screw system was developed for manual reduction of traumatic sagittal deformity of thoracic and lumbar vertebral fracture. The aim of this study was to evaluate clinical and radiological effectiveness of this system in the surgical treatment of thoracolumbar burst fractures (TLBFs) with severe kyphotic deformity without neurological deficit.</p><p><strong>Materials and methods: </strong>A retrospective analysis was conducted on 101 patients who underwent short posterior fixation with transpedicular Schanz screws between 2012 and 2022 for single-level (T12 or L1) TLBFs. Clinical outcomes (Oswestry Disability Index [ODI] and Visual Analog Scale [VAS]) and radiological parameters (sagittal alignment and spinal canal dimensions) were assessed with a minimum 2-year follow-up.</p><p><strong>Results: </strong>A total of 101 TLBFs patients with an average age of 48.1 years (range: 26-65) were included in this study. Intraoperative reduction of the Sagittal Kyphosis (SK) achieved an average of 12.31° ± 8.1°°, with a mean sagittal index (SI) correction of 15.23° ± 4.24°. At a minimum 2-year follow-up, the total amount of kyphosis reduction was maintained, with no significant difference between immediate postoperative and early follow-up measurements. Load-sharing score >8, body mass index >26, preoperative radiological parameters (SI, SK, and anterior body height [ABH] ratio), and postoperative ABH ratio were identified as significant predictors of correction loss >10°. At the final follow-up, all patients had minimal disability, with an average ODI of 7.9%. VAS scores also showed significant improvement, indicating substantial clinical effectiveness of the Schanz screw system in managing these complex spinal injuries.</p><p><strong>Discussion: </strong>The Schanz screw system proved to be an effective and reliable method for treating TLBFs with severe kyphosis. The system's ability to achieve and maintain deformity reduction, coupled with favorable clinical outcomes, supported its use in the surgical management of these challenging spinal injuries.</p><p><strong>Conclusion: </strong>The Schanz screw system offered a viable treatment option for severe kyphotic deformity in TLBFs.</p>\",\"PeriodicalId\":51721,\"journal\":{\"name\":\"Journal of Craniovertebral Junction and Spine\",\"volume\":\"15 4\",\"pages\":\"411-418\"},\"PeriodicalIF\":1.3000,\"publicationDate\":\"2024-10-01\",\"publicationTypes\":\"Journal Article\",\"fieldsOfStudy\":null,\"isOpenAccess\":false,\"openAccessPdf\":\"https://www.ncbi.nlm.nih.gov/pmc/articles/PMC11888046/pdf/\",\"citationCount\":\"0\",\"resultStr\":null,\"platform\":\"Semanticscholar\",\"paperid\":null,\"PeriodicalName\":\"Journal of Craniovertebral Junction and Spine\",\"FirstCategoryId\":\"1085\",\"ListUrlMain\":\"https://doi.org/10.4103/jcvjs.jcvjs_118_24\",\"RegionNum\":0,\"RegionCategory\":null,\"ArticlePicture\":[],\"TitleCN\":null,\"AbstractTextCN\":null,\"PMCID\":null,\"EPubDate\":\"2025/1/15 0:00:00\",\"PubModel\":\"Epub\",\"JCR\":\"Q2\",\"JCRName\":\"OTORHINOLARYNGOLOGY\",\"Score\":null,\"Total\":0}","platform":"Semanticscholar","paperid":null,"PeriodicalName":"Journal of Craniovertebral Junction and Spine","FirstCategoryId":"1085","ListUrlMain":"https://doi.org/10.4103/jcvjs.jcvjs_118_24","RegionNum":0,"RegionCategory":null,"ArticlePicture":[],"TitleCN":null,"AbstractTextCN":null,"PMCID":null,"EPubDate":"2025/1/15 0:00:00","PubModel":"Epub","JCR":"Q2","JCRName":"OTORHINOLARYNGOLOGY","Score":null,"Total":0}
引用次数: 0

摘要

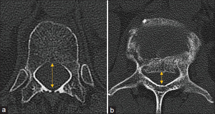
简介:Schanz螺钉系统是用于胸椎和腰椎骨折创伤性矢状畸形的手动复位。本研究的目的是评估该系统在外科治疗胸腰椎爆裂性骨折(TLBFs)伴有严重后凸畸形且无神经功能缺损的临床和放射学效果。材料和方法:回顾性分析2012年至2022年间101例经椎弓根Schanz螺钉短期后路固定治疗单节段(T12或L1) TLBFs的患者。临床结果(Oswestry残疾指数[ODI]和视觉模拟量表[VAS])和放射学参数(矢状面对齐和椎管尺寸)通过至少2年的随访进行评估。结果:本研究共纳入101例TLBFs患者,平均年龄48.1岁,范围26-65岁。术中矢状面后凸(SK)复位平均为12.31°±8.1°,矢状面指数(SI)矫正平均为15.23°±4.24°。在至少2年的随访中,后凸复位的总量保持不变,术后即刻和早期随访测量没有显著差异。负荷分担评分bbb8、体重指数>6、术前放射学参数(SI、SK和前体高[ABH]比)和术后ABH比被认为是矫正损失>0°的重要预测因素。在最后的随访中,所有患者都有最小的残疾,平均ODI为7.9%。VAS评分也有显著改善,表明Schanz螺钉系统在治疗这些复杂脊柱损伤方面具有显著的临床效果。讨论:Schanz螺钉系统被证明是治疗tlbf伴严重后凸的有效可靠的方法。该系统实现和维持畸形减少的能力,加上良好的临床结果,支持其在这些具有挑战性的脊柱损伤的外科治疗中使用。结论:Schanz螺钉系统为TLBFs严重后凸畸形提供了可行的治疗选择。
本文章由计算机程序翻译,如有差异,请以英文原文为准。

The effectiveness of posterior Schanz screw system in the anatomical restoration of thoracolumbar vertebral burst fractures: A 10-year single-institution experience.

The effectiveness of posterior Schanz screw system in the anatomical restoration of thoracolumbar vertebral burst fractures: A 10-year single-institution experience.

The effectiveness of posterior Schanz screw system in the anatomical restoration of thoracolumbar vertebral burst fractures: A 10-year single-institution experience.

The effectiveness of posterior Schanz screw system in the anatomical restoration of thoracolumbar vertebral burst fractures: A 10-year single-institution experience.

Introduction: The Schanz screw system was developed for manual reduction of traumatic sagittal deformity of thoracic and lumbar vertebral fracture. The aim of this study was to evaluate clinical and radiological effectiveness of this system in the surgical treatment of thoracolumbar burst fractures (TLBFs) with severe kyphotic deformity without neurological deficit.

Materials and methods: A retrospective analysis was conducted on 101 patients who underwent short posterior fixation with transpedicular Schanz screws between 2012 and 2022 for single-level (T12 or L1) TLBFs. Clinical outcomes (Oswestry Disability Index [ODI] and Visual Analog Scale [VAS]) and radiological parameters (sagittal alignment and spinal canal dimensions) were assessed with a minimum 2-year follow-up.

Results: A total of 101 TLBFs patients with an average age of 48.1 years (range: 26-65) were included in this study. Intraoperative reduction of the Sagittal Kyphosis (SK) achieved an average of 12.31° ± 8.1°°, with a mean sagittal index (SI) correction of 15.23° ± 4.24°. At a minimum 2-year follow-up, the total amount of kyphosis reduction was maintained, with no significant difference between immediate postoperative and early follow-up measurements. Load-sharing score >8, body mass index >26, preoperative radiological parameters (SI, SK, and anterior body height [ABH] ratio), and postoperative ABH ratio were identified as significant predictors of correction loss >10°. At the final follow-up, all patients had minimal disability, with an average ODI of 7.9%. VAS scores also showed significant improvement, indicating substantial clinical effectiveness of the Schanz screw system in managing these complex spinal injuries.

Discussion: The Schanz screw system proved to be an effective and reliable method for treating TLBFs with severe kyphosis. The system's ability to achieve and maintain deformity reduction, coupled with favorable clinical outcomes, supported its use in the surgical management of these challenging spinal injuries.

Conclusion: The Schanz screw system offered a viable treatment option for severe kyphotic deformity in TLBFs.

求助全文
通过发布文献求助,成功后即可免费获取论文全文。 去求助
来源期刊
CiteScore
1.90
自引率
9.10%
发文量
57
审稿时长
12 weeks
×
引用
GB/T 7714-2015
复制
MLA
复制
APA
复制
导出至
BibTeX EndNote RefMan NoteFirst NoteExpress
×
提示
您的信息不完整,为了账户安全,请先补充。
现在去补充
×
提示
您因"违规操作"
具体请查看互助需知
我知道了
×
提示
确定
请完成安全验证×
copy
已复制链接
快去分享给好友吧!
我知道了
右上角分享
点击右上角分享
0
联系我们:info@booksci.cn Book学术提供免费学术资源搜索服务,方便国内外学者检索中英文文献。致力于提供最便捷和优质的服务体验。 Copyright © 2023 布克学术 All rights reserved.
京ICP备2023020795号-1
ghs 京公网安备 11010802042870号
Book学术文献互助
Book学术文献互助群
群 号:604180095
Book学术官方微信