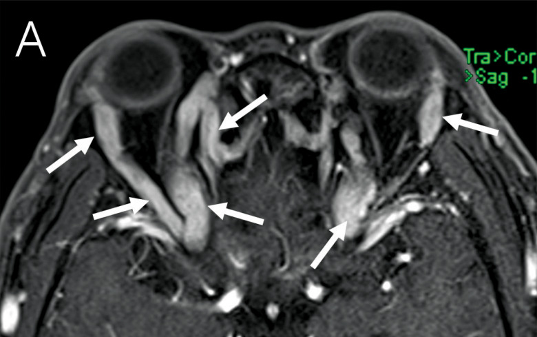
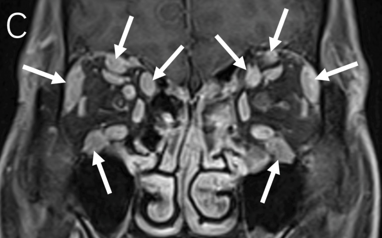
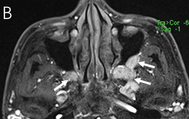
广泛累及双侧三叉神经分支是IgG4相关眼科疾病的唯一影像学表现

IF 1.3 4区 医学 Q4 RADIOLOGY, NUCLEAR MEDICINE & MEDICAL IMAGING
Journal of the Belgian Society of Radiology Pub Date : 2025-03-03 eCollection Date: 2025-01-01 DOI:10.5334/jbsr.3838
Chendong He, Wei Yang
{"title":"广泛累及双侧三叉神经分支是IgG4相关眼科疾病的唯一影像学表现","authors":"Chendong He, Wei Yang","doi":"10.5334/jbsr.3838","DOIUrl":null,"url":null,"abstract":"<p><p><i>Teaching point:</i> Immunoglobulin G4‑related ophthalmic disease (IgG4‑ROD) may present only as diffuse thickening of the orbital branches of the trigeminal nerve.</p>","PeriodicalId":55987,"journal":{"name":"Journal of the Belgian Society of Radiology","volume":"109 1","pages":"7"},"PeriodicalIF":1.3000,"publicationDate":"2025-03-03","publicationTypes":"Journal Article","fieldsOfStudy":null,"isOpenAccess":false,"openAccessPdf":"https://www.ncbi.nlm.nih.gov/pmc/articles/PMC11887467/pdf/","citationCount":"0","resultStr":"{\"title\":\"Extensive Involvement of the Bilateral Trigeminal Nerve Branch as the Only Imaging Manifestation of IgG4‑Related Ophthalmic Disease.\",\"authors\":\"Chendong He, Wei Yang\",\"doi\":\"10.5334/jbsr.3838\",\"DOIUrl\":null,\"url\":null,\"abstract\":\"<p><p><i>Teaching point:</i> Immunoglobulin G4‑related ophthalmic disease (IgG4‑ROD) may present only as diffuse thickening of the orbital branches of the trigeminal nerve.</p>\",\"PeriodicalId\":55987,\"journal\":{\"name\":\"Journal of the Belgian Society of Radiology\",\"volume\":\"109 1\",\"pages\":\"7\"},\"PeriodicalIF\":1.3000,\"publicationDate\":\"2025-03-03\",\"publicationTypes\":\"Journal Article\",\"fieldsOfStudy\":null,\"isOpenAccess\":false,\"openAccessPdf\":\"https://www.ncbi.nlm.nih.gov/pmc/articles/PMC11887467/pdf/\",\"citationCount\":\"0\",\"resultStr\":null,\"platform\":\"Semanticscholar\",\"paperid\":null,\"PeriodicalName\":\"Journal of the Belgian Society of Radiology\",\"FirstCategoryId\":\"3\",\"ListUrlMain\":\"https://doi.org/10.5334/jbsr.3838\",\"RegionNum\":4,\"RegionCategory\":\"医学\",\"ArticlePicture\":[],\"TitleCN\":null,\"AbstractTextCN\":null,\"PMCID\":null,\"EPubDate\":\"2025/1/1 0:00:00\",\"PubModel\":\"eCollection\",\"JCR\":\"Q4\",\"JCRName\":\"RADIOLOGY, NUCLEAR MEDICINE & MEDICAL IMAGING\",\"Score\":null,\"Total\":0}","platform":"Semanticscholar","paperid":null,"PeriodicalName":"Journal of the Belgian Society of Radiology","FirstCategoryId":"3","ListUrlMain":"https://doi.org/10.5334/jbsr.3838","RegionNum":4,"RegionCategory":"医学","ArticlePicture":[],"TitleCN":null,"AbstractTextCN":null,"PMCID":null,"EPubDate":"2025/1/1 0:00:00","PubModel":"eCollection","JCR":"Q4","JCRName":"RADIOLOGY, NUCLEAR MEDICINE & MEDICAL IMAGING","Score":null,"Total":0}
引用次数: 0

摘要

教学要点:免疫球蛋白G4相关性眼病(IgG4 - ROD)可能仅表现为三叉神经眶支弥漫性增厚。
本文章由计算机程序翻译,如有差异,请以英文原文为准。

Extensive Involvement of the Bilateral Trigeminal Nerve Branch as the Only Imaging Manifestation of IgG4‑Related Ophthalmic Disease.

Extensive Involvement of the Bilateral Trigeminal Nerve Branch as the Only Imaging Manifestation of IgG4‑Related Ophthalmic Disease.

Extensive Involvement of the Bilateral Trigeminal Nerve Branch as the Only Imaging Manifestation of IgG4‑Related Ophthalmic Disease.

Extensive Involvement of the Bilateral Trigeminal Nerve Branch as the Only Imaging Manifestation of IgG4‑Related Ophthalmic Disease.

Teaching point: Immunoglobulin G4‑related ophthalmic disease (IgG4‑ROD) may present only as diffuse thickening of the orbital branches of the trigeminal nerve.

求助全文
通过发布文献求助,成功后即可免费获取论文全文。 去求助
来源期刊
Journal of the Belgian Society of Radiology
Journal of the Belgian Society of Radiology Medicine-Radiology, Nuclear Medicine and Imaging
CiteScore
0.70
自引率
5.00%
发文量
96
期刊介绍: The purpose of the Journal of the Belgian Society of Radiology is the publication of articles dealing with diagnostic and interventional radiology, related imaging techniques, allied sciences, and continuing education.
×
引用
GB/T 7714-2015
复制
MLA
复制
APA
复制
导出至
BibTeX EndNote RefMan NoteFirst NoteExpress
×
提示
您的信息不完整,为了账户安全,请先补充。
现在去补充
×
提示
您因"违规操作"
具体请查看互助需知
我知道了
×
提示
确定
请完成安全验证×
copy
已复制链接
快去分享给好友吧!
我知道了
右上角分享
点击右上角分享
0
联系我们:info@booksci.cn Book学术提供免费学术资源搜索服务,方便国内外学者检索中英文文献。致力于提供最便捷和优质的服务体验。 Copyright © 2023 布克学术 All rights reserved.
京ICP备2023020795号-1
ghs 京公网安备 11010802042870号
Book学术文献互助
Book学术文献互助群
群 号:604180095
Book学术官方微信