结直肠癌的CT和MR成像:诊断、分期、反应评估和随访的工具。

IF 0.8 Q4 ONCOLOGY
South Asian Journal of Cancer Pub Date : 2025-01-24 eCollection Date: 2024-10-01 DOI:10.1055/s-0045-1802336
Samarjit Singh Ghuman, Rohit Kochhar, Harsh Mahajan, T B S Buxi, Arun Gupta, Anil Arora, K K Saxena, Seema Sud, Aditi Sud, Kishan Rawat, Munish K Sachdeva, Ajit Yadav, Saumitra Rawat, Shyam Aggarwal, Purvish M Parikh, C Selvasekar
{"title":"结直肠癌的CT和MR成像:诊断、分期、反应评估和随访的工具。","authors":"Samarjit Singh Ghuman, Rohit Kochhar, Harsh Mahajan, T B S Buxi, Arun Gupta, Anil Arora, K K Saxena, Seema Sud, Aditi Sud, Kishan Rawat, Munish K Sachdeva, Ajit Yadav, Saumitra Rawat, Shyam Aggarwal, Purvish M Parikh, C Selvasekar","doi":"10.1055/s-0045-1802336","DOIUrl":null,"url":null,"abstract":"<p><p>The present review highlights the role of computed tomography (CT), CT colonography (CTC), and magnetic resonance imaging (MRI) in the diagnosis, staging, response evaluation, and follow-up of colorectal cancer. For a CT scan, prior bowel preparation is required. This is done to enhance imaging of the colon with the use of oral or rectal contrast agents. Negative contrast like air or carbon dioxide are helpful in detecting polyps and masses by distending the colon. Virtual colonoscopy offers a lower-radiation alternative for polyp and cancer detection. Intravenous contrast administration with arterial and venous phase CT images is also important in complete staging of a known case of colon cancer and for evaluation of residual/recurrent disease. With respect to MRI, high-resolution T2-weighted images in multiple planes are important, with diffusion-weighted imaging (DWI) sequences being important for restaging. Intravenous contrast is not generally recommended. Contrast-enhanced CT and MRI are used for nodal and distant metastasis staging, with special attention to the pelvic side wall nodes. Positron emission tomography (PET) CT is to be considered for further evaluation if the findings are unclear and recurrence is suspected.</p>","PeriodicalId":22053,"journal":{"name":"South Asian Journal of Cancer","volume":"13 4","pages":"236-240"},"PeriodicalIF":0.8000,"publicationDate":"2025-01-24","publicationTypes":"Journal Article","fieldsOfStudy":null,"isOpenAccess":false,"openAccessPdf":"https://www.ncbi.nlm.nih.gov/pmc/articles/PMC11888816/pdf/","citationCount":"0","resultStr":"{\"title\":\"CT and MR Imaging in Colorectal Carcinoma: A Tool for Diagnosis, Staging, Response Evaluation, and Follow-Up.\",\"authors\":\"Samarjit Singh Ghuman, Rohit Kochhar, Harsh Mahajan, T B S Buxi, Arun Gupta, Anil Arora, K K Saxena, Seema Sud, Aditi Sud, Kishan Rawat, Munish K Sachdeva, Ajit Yadav, Saumitra Rawat, Shyam Aggarwal, Purvish M Parikh, C Selvasekar\",\"doi\":\"10.1055/s-0045-1802336\",\"DOIUrl\":null,\"url\":null,\"abstract\":\"<p><p>The present review highlights the role of computed tomography (CT), CT colonography (CTC), and magnetic resonance imaging (MRI) in the diagnosis, staging, response evaluation, and follow-up of colorectal cancer. For a CT scan, prior bowel preparation is required. This is done to enhance imaging of the colon with the use of oral or rectal contrast agents. Negative contrast like air or carbon dioxide are helpful in detecting polyps and masses by distending the colon. Virtual colonoscopy offers a lower-radiation alternative for polyp and cancer detection. Intravenous contrast administration with arterial and venous phase CT images is also important in complete staging of a known case of colon cancer and for evaluation of residual/recurrent disease. With respect to MRI, high-resolution T2-weighted images in multiple planes are important, with diffusion-weighted imaging (DWI) sequences being important for restaging. Intravenous contrast is not generally recommended. Contrast-enhanced CT and MRI are used for nodal and distant metastasis staging, with special attention to the pelvic side wall nodes. Positron emission tomography (PET) CT is to be considered for further evaluation if the findings are unclear and recurrence is suspected.</p>\",\"PeriodicalId\":22053,\"journal\":{\"name\":\"South Asian Journal of Cancer\",\"volume\":\"13 4\",\"pages\":\"236-240\"},\"PeriodicalIF\":0.8000,\"publicationDate\":\"2025-01-24\",\"publicationTypes\":\"Journal Article\",\"fieldsOfStudy\":null,\"isOpenAccess\":false,\"openAccessPdf\":\"https://www.ncbi.nlm.nih.gov/pmc/articles/PMC11888816/pdf/\",\"citationCount\":\"0\",\"resultStr\":null,\"platform\":\"Semanticscholar\",\"paperid\":null,\"PeriodicalName\":\"South Asian Journal of Cancer\",\"FirstCategoryId\":\"1085\",\"ListUrlMain\":\"https://doi.org/10.1055/s-0045-1802336\",\"RegionNum\":0,\"RegionCategory\":null,\"ArticlePicture\":[],\"TitleCN\":null,\"AbstractTextCN\":null,\"PMCID\":null,\"EPubDate\":\"2024/10/1 0:00:00\",\"PubModel\":\"eCollection\",\"JCR\":\"Q4\",\"JCRName\":\"ONCOLOGY\",\"Score\":null,\"Total\":0}","platform":"Semanticscholar","paperid":null,"PeriodicalName":"South Asian Journal of Cancer","FirstCategoryId":"1085","ListUrlMain":"https://doi.org/10.1055/s-0045-1802336","RegionNum":0,"RegionCategory":null,"ArticlePicture":[],"TitleCN":null,"AbstractTextCN":null,"PMCID":null,"EPubDate":"2024/10/1 0:00:00","PubModel":"eCollection","JCR":"Q4","JCRName":"ONCOLOGY","Score":null,"Total":0}
引用次数: 0

摘要

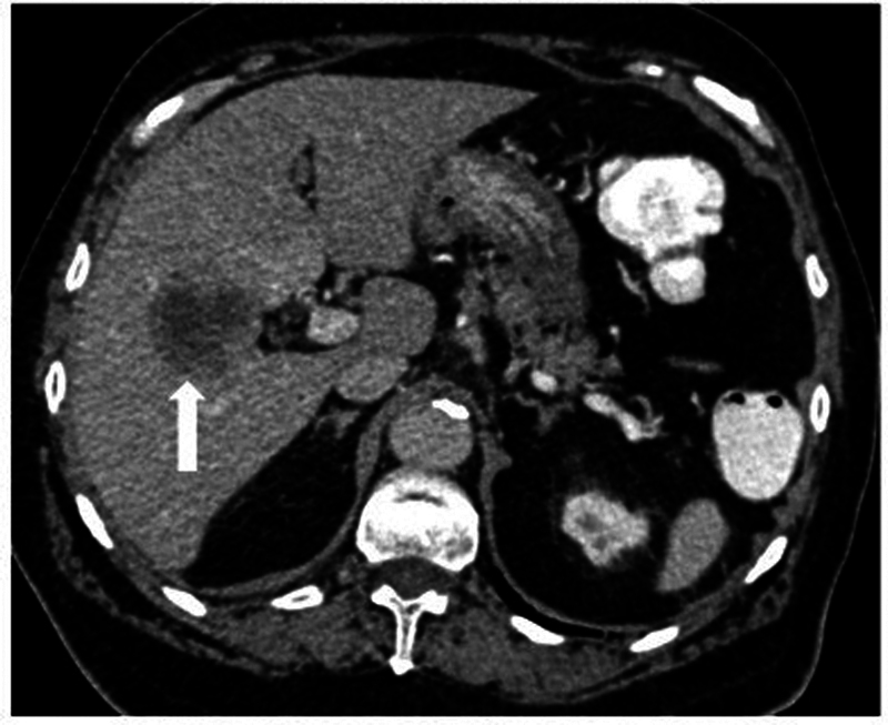
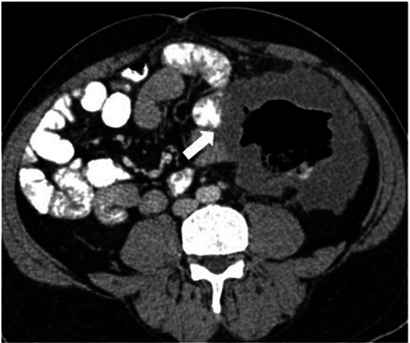
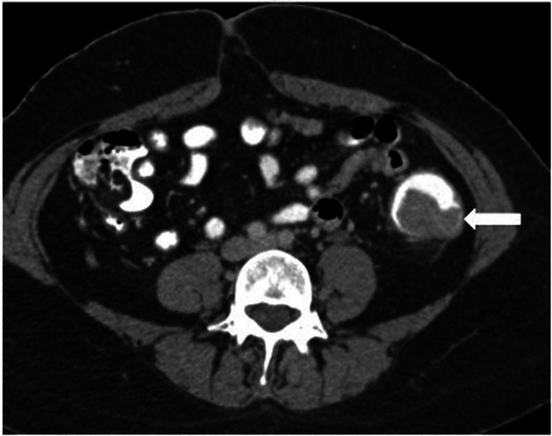
本文综述了计算机断层扫描(CT)、CT结肠镜检查(CTC)和磁共振成像(MRI)在结直肠癌的诊断、分期、疗效评估和随访中的作用。对于CT扫描,需要事先进行肠道准备。这是通过使用口服或直肠造影剂来增强结肠成像。像空气或二氧化碳之类的阴性对比有助于通过扩张结肠来检测息肉和肿块。虚拟结肠镜检查为息肉和癌症的检测提供了一种低辐射的选择。动脉和静脉相CT图像的静脉造影剂管理对于已知结肠癌病例的完全分期和残留/复发疾病的评估也很重要。对于MRI来说,多平面的高分辨率t2加权图像很重要,弥散加权成像(DWI)序列对重新定位很重要。一般不推荐静脉造影剂。对比增强CT和MRI用于淋巴结和远处转移分期,特别注意盆腔侧壁淋巴结。如果发现不明确或怀疑复发,应考虑进行正电子发射断层扫描(PET) CT进一步评估。
本文章由计算机程序翻译,如有差异,请以英文原文为准。

CT and MR Imaging in Colorectal Carcinoma: A Tool for Diagnosis, Staging, Response Evaluation, and Follow-Up.

CT and MR Imaging in Colorectal Carcinoma: A Tool for Diagnosis, Staging, Response Evaluation, and Follow-Up.

CT and MR Imaging in Colorectal Carcinoma: A Tool for Diagnosis, Staging, Response Evaluation, and Follow-Up.

CT and MR Imaging in Colorectal Carcinoma: A Tool for Diagnosis, Staging, Response Evaluation, and Follow-Up.

The present review highlights the role of computed tomography (CT), CT colonography (CTC), and magnetic resonance imaging (MRI) in the diagnosis, staging, response evaluation, and follow-up of colorectal cancer. For a CT scan, prior bowel preparation is required. This is done to enhance imaging of the colon with the use of oral or rectal contrast agents. Negative contrast like air or carbon dioxide are helpful in detecting polyps and masses by distending the colon. Virtual colonoscopy offers a lower-radiation alternative for polyp and cancer detection. Intravenous contrast administration with arterial and venous phase CT images is also important in complete staging of a known case of colon cancer and for evaluation of residual/recurrent disease. With respect to MRI, high-resolution T2-weighted images in multiple planes are important, with diffusion-weighted imaging (DWI) sequences being important for restaging. Intravenous contrast is not generally recommended. Contrast-enhanced CT and MRI are used for nodal and distant metastasis staging, with special attention to the pelvic side wall nodes. Positron emission tomography (PET) CT is to be considered for further evaluation if the findings are unclear and recurrence is suspected.

求助全文
通过发布文献求助,成功后即可免费获取论文全文。 去求助
来源期刊
CiteScore
1.00
自引率
0.00%
发文量
80
审稿时长
35 weeks
×
引用
GB/T 7714-2015
复制
MLA
复制
APA
复制
导出至
BibTeX EndNote RefMan NoteFirst NoteExpress
×
提示
您的信息不完整,为了账户安全,请先补充。
现在去补充
×
提示
您因"违规操作"
具体请查看互助需知
我知道了
×
提示
确定
请完成安全验证×
copy
已复制链接
快去分享给好友吧!
我知道了
右上角分享
点击右上角分享
0
联系我们:info@booksci.cn Book学术提供免费学术资源搜索服务,方便国内外学者检索中英文文献。致力于提供最便捷和优质的服务体验。 Copyright © 2023 布克学术 All rights reserved.
京ICP备2023020795号-1
ghs 京公网安备 11010802042870号
Book学术文献互助
Book学术文献互助群
群 号:604180095
Book学术官方微信