免疫功能正常患者脑室炎继发于脑曲霉病的上矢状窦血栓形成1例。

Asian journal of neurosurgery Pub Date : 2024-10-10 eCollection Date: 2025-03-01 DOI:10.1055/s-0044-1791714
Chonnawee Chaisawasthomrong
{"title":"免疫功能正常患者脑室炎继发于脑曲霉病的上矢状窦血栓形成1例。","authors":"Chonnawee Chaisawasthomrong","doi":"10.1055/s-0044-1791714","DOIUrl":null,"url":null,"abstract":"<p><p>Cerebral aspergillosis is an opportunistic fungal infection that is exceedingly rare in immunocompetent patients. The primary etiological locations for these infections typically involve the nasal cavity and hematological dissemination. A 62-year-old male, focused on wellness, presented with intermittent, nonprogressive headaches in the occipital region, generalized clonic-tonic seizures, and altered consciousness. A computed tomography scan revealed multiple small rim-enhancing lesions in both occipital lobes, with vasogenic edema in both occipital lobes adjacent to the confluence of the sinuses and the posterior superior sagittal sinus. In this case, superior sagittal sinus thrombosis secondary to cerebral aspergillosis was discovered, a condition not previously diagnosed in this specific location but manageable through surgical intervention. A combination of surgical resection and antifungal therapy resulted in favorable outcomes. The prognosis for patients depends significantly on early diagnosis and prompt, aggressive treatment.</p>","PeriodicalId":94300,"journal":{"name":"Asian journal of neurosurgery","volume":"20 1","pages":"160-164"},"PeriodicalIF":0.0000,"publicationDate":"2024-10-10","publicationTypes":"Journal Article","fieldsOfStudy":null,"isOpenAccess":false,"openAccessPdf":"https://www.ncbi.nlm.nih.gov/pmc/articles/PMC11875696/pdf/","citationCount":"0","resultStr":"{\"title\":\"Superior Sagittal Sinus Thrombosis Secondary to Cerebral Aspergillosis with Ventriculitis in an Immunocompetent Patient: A Case Report.\",\"authors\":\"Chonnawee Chaisawasthomrong\",\"doi\":\"10.1055/s-0044-1791714\",\"DOIUrl\":null,\"url\":null,\"abstract\":\"<p><p>Cerebral aspergillosis is an opportunistic fungal infection that is exceedingly rare in immunocompetent patients. The primary etiological locations for these infections typically involve the nasal cavity and hematological dissemination. A 62-year-old male, focused on wellness, presented with intermittent, nonprogressive headaches in the occipital region, generalized clonic-tonic seizures, and altered consciousness. A computed tomography scan revealed multiple small rim-enhancing lesions in both occipital lobes, with vasogenic edema in both occipital lobes adjacent to the confluence of the sinuses and the posterior superior sagittal sinus. In this case, superior sagittal sinus thrombosis secondary to cerebral aspergillosis was discovered, a condition not previously diagnosed in this specific location but manageable through surgical intervention. A combination of surgical resection and antifungal therapy resulted in favorable outcomes. The prognosis for patients depends significantly on early diagnosis and prompt, aggressive treatment.</p>\",\"PeriodicalId\":94300,\"journal\":{\"name\":\"Asian journal of neurosurgery\",\"volume\":\"20 1\",\"pages\":\"160-164\"},\"PeriodicalIF\":0.0000,\"publicationDate\":\"2024-10-10\",\"publicationTypes\":\"Journal Article\",\"fieldsOfStudy\":null,\"isOpenAccess\":false,\"openAccessPdf\":\"https://www.ncbi.nlm.nih.gov/pmc/articles/PMC11875696/pdf/\",\"citationCount\":\"0\",\"resultStr\":null,\"platform\":\"Semanticscholar\",\"paperid\":null,\"PeriodicalName\":\"Asian journal of neurosurgery\",\"FirstCategoryId\":\"1085\",\"ListUrlMain\":\"https://doi.org/10.1055/s-0044-1791714\",\"RegionNum\":0,\"RegionCategory\":null,\"ArticlePicture\":[],\"TitleCN\":null,\"AbstractTextCN\":null,\"PMCID\":null,\"EPubDate\":\"2025/3/1 0:00:00\",\"PubModel\":\"eCollection\",\"JCR\":\"\",\"JCRName\":\"\",\"Score\":null,\"Total\":0}","platform":"Semanticscholar","paperid":null,"PeriodicalName":"Asian journal of neurosurgery","FirstCategoryId":"1085","ListUrlMain":"https://doi.org/10.1055/s-0044-1791714","RegionNum":0,"RegionCategory":null,"ArticlePicture":[],"TitleCN":null,"AbstractTextCN":null,"PMCID":null,"EPubDate":"2025/3/1 0:00:00","PubModel":"eCollection","JCR":"","JCRName":"","Score":null,"Total":0}
引用次数: 0

摘要

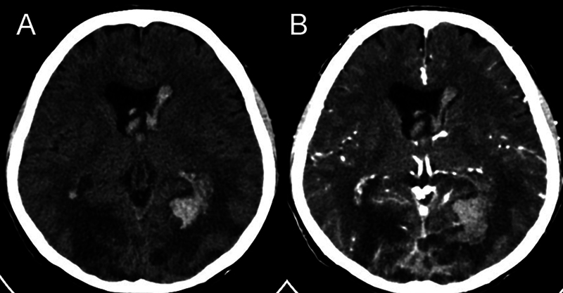
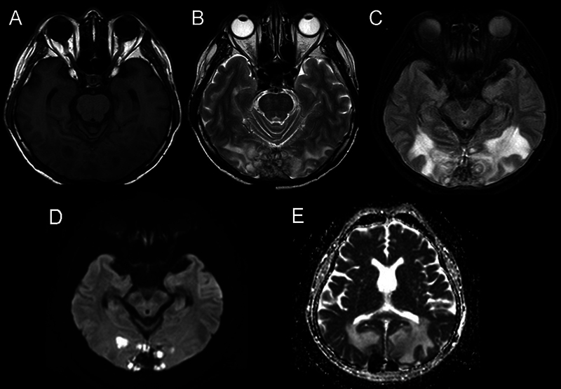
脑曲霉菌病是一种机会性真菌感染,在免疫功能正常的患者中极为罕见。这些感染的主要病因通常涉及鼻腔和血液传播。一名 62 岁的男性患者注重养生,出现间歇性、非进行性枕部头痛、全身阵挛强直发作和意识改变。计算机断层扫描显示,两侧枕叶有多个边缘强化的小病灶,两侧枕叶邻近蝶窦和后上矢状窦汇合处有血管源性水肿。在这个病例中,发现了继发于脑曲霉菌病的上矢状窦血栓形成,这种情况以前从未在这个特定部位确诊过,但可以通过手术干预加以控制。手术切除和抗真菌治疗相结合,取得了良好的疗效。患者的预后很大程度上取决于早期诊断和及时、积极的治疗。
本文章由计算机程序翻译,如有差异,请以英文原文为准。

Superior Sagittal Sinus Thrombosis Secondary to Cerebral Aspergillosis with Ventriculitis in an Immunocompetent Patient: A Case Report.

Superior Sagittal Sinus Thrombosis Secondary to Cerebral Aspergillosis with Ventriculitis in an Immunocompetent Patient: A Case Report.

Superior Sagittal Sinus Thrombosis Secondary to Cerebral Aspergillosis with Ventriculitis in an Immunocompetent Patient: A Case Report.

Superior Sagittal Sinus Thrombosis Secondary to Cerebral Aspergillosis with Ventriculitis in an Immunocompetent Patient: A Case Report.

Cerebral aspergillosis is an opportunistic fungal infection that is exceedingly rare in immunocompetent patients. The primary etiological locations for these infections typically involve the nasal cavity and hematological dissemination. A 62-year-old male, focused on wellness, presented with intermittent, nonprogressive headaches in the occipital region, generalized clonic-tonic seizures, and altered consciousness. A computed tomography scan revealed multiple small rim-enhancing lesions in both occipital lobes, with vasogenic edema in both occipital lobes adjacent to the confluence of the sinuses and the posterior superior sagittal sinus. In this case, superior sagittal sinus thrombosis secondary to cerebral aspergillosis was discovered, a condition not previously diagnosed in this specific location but manageable through surgical intervention. A combination of surgical resection and antifungal therapy resulted in favorable outcomes. The prognosis for patients depends significantly on early diagnosis and prompt, aggressive treatment.

求助全文
通过发布文献求助,成功后即可免费获取论文全文。 去求助
来源期刊
自引率
0.00%
发文量
0
×
引用
GB/T 7714-2015
复制
MLA
复制
APA
复制
导出至
BibTeX EndNote RefMan NoteFirst NoteExpress
×
提示
您的信息不完整,为了账户安全,请先补充。
现在去补充
×
提示
您因"违规操作"
具体请查看互助需知
我知道了
×
提示
确定
请完成安全验证×
copy
已复制链接
快去分享给好友吧!
我知道了
右上角分享
点击右上角分享
0
联系我们:info@booksci.cn Book学术提供免费学术资源搜索服务,方便国内外学者检索中英文文献。致力于提供最便捷和优质的服务体验。 Copyright © 2023 布克学术 All rights reserved.
京ICP备2023020795号-1
ghs 京公网安备 11010802042870号
Book学术文献互助
Book学术文献互助群
群 号:604180095
Book学术官方微信